患者男性,45岁。因“反复咯血20年”入院。患者20年前在化工厂工作时吸入氯气后突发咳嗽、咯血,色鲜红,量较大,具体不详。咯血持续数日,无发热,无胸闷、胸痛,无头晕、气促等,未予治疗自行好转。患者在化工厂工作一年后转为办公室工作。此后咯血间断发作,每2~3年1次,色鲜红,但量少,发作时每日咳嗽、咯血1~2次,持续2天即好转。近来数年均未再发作。2016年8月12日患者劳累后起床时再次突发咳嗽、咯血,色暗红,量少,具体不详;无发热,无胸闷、胸痛,无气促。于当地医院行胸部CT检查,提示“右肺中叶支扩,右侧胸膜稍增厚;多发支气管壁欠光滑,可见多发不规则高密度影”,外院予“头孢地尼、卡络磺钠片”治疗,咯血仍反复发作,为进一步诊治收入我科。
入院查体
T 36.7℃,P 88次/min,R 18次/min,BP 116/89mmHg。 神志清楚,步入病房。全身皮肤黏膜未见异常,无肝掌、蜘蛛痣,全身浅表淋巴结无肿大,口唇无发绀。颈软,无抵抗,颈静脉无怒张,气管居中,甲状腺无肿大。胸廓对称无畸形,胸骨无压痛;双侧呼吸动度对称,双肺呼吸音清晰,未闻及干、湿性啰音。心率88次/min,律齐;各瓣膜听诊区未闻及杂音。腹平坦,腹壁软,全腹无压痛,无肌紧张及反跳痛;肝脾肋下未触及,肝、肾无叩击痛;肠鸣音4次/min。脊柱、四肢无畸形,关节无红肿,无杵状指(趾),双下肢无水肿。肌力正常,肌张力正常;生理反射正常,病理反射未引出。
既往史及个人史
吸烟史5年,20支/d,已戒烟20年。否认高血压、糖尿病史,否认食物、药物过敏史。
辅助检查
血常规:白细胞:11.1×109/L,中性粒细胞:79%,血红蛋白:155g/L,血小板:172×109/L。
血凝:D-二聚体:<0.16FEUmg/L。
外院CT报告:右肺中叶支扩,右侧胸膜稍增厚;多发支气管壁欠光滑,可见多发不规则高密度影。
初步诊断
咯血待查:炎性?结核性?肿瘤性?
问题1:患者咯血的原因?
患者病情有如下特点:①间断咯血20余年,无明显咳嗽、咳痰等呼吸道感染症状;②胸部CT示气管、支气管壁欠光滑,可见多发不规则高密度影,提示主要病变在气管和支气管;③给予抗感染、止血治疗效果不明显,可自行缓解;④有氯气吸入史。综上,可导致间断咯血症状且持续20年以上的气管、支气管病变需考虑支气管扩张、心脏瓣膜病、累及气管、支气管的结核、真菌等感染性病变、凝血功能障碍、自身免疫性病变和气管、支气管先天性发育不良和继发病变等。为明确诊断,需进一步做以下检查:
辅助检查
血清 T-spot:抗原 A:0,抗原 B:0。
肿瘤标志物:癌胚抗原:0.96μg/L,糖类抗原 125:<35.00U/ml,糖类抗原 15-3:<35.00U/ml,糖类抗原 19-9:<37.00U/ml,糖类抗原 72-4:4.19U/ml,细胞角蛋白 19 片段:1.05ng/ml,神经元特异性烯醇酶:<15.70ng/ml,甲胎蛋白:3.12μg/L。
G 试验(真菌 D-葡聚糖检测):84.72pg/ml。
血沉:21mm/h。
支气管镜检查:术中见咽喉部正常,声带活动左右对称、开闭良好,局部可见隆起;气管全程至隆突、双侧主支气管及中间段支气管可见弥散性丘状结节样隆起,质硬;结节表面黏膜光滑,基底部宽,乏血供。用一次性活检钳、K203活检钳、异物钳反复钳夹黏膜隆起结节,但是取材困难。遂于气管中段12点方向予电圈套器圈套部分组织并送检病理。镜下可见气管下段至右主支气管陈旧性血迹附着,局部黏膜可见少量渗血,镜下诊断骨化性气管支气管病(图1)。
图1 支气管镜检查:气管全程至隆突(A)、双侧主支气管及中间段支气管(B)可见弥漫性丘状结节样隆起,质硬;结节表面黏膜光滑,基底部宽;气管、支气管后壁未累及
引自:主编:.呼吸与危重症医学疑难与危重病例精选.第1版.ISBN:978-7-117-30147-3
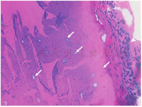
病理报告:(气管壁活检及电切)气管、支气管骨化病(图2)。
图2 HE染色(×100)示:支气管壁黏膜上皮鳞状化生(箭头),黏膜下骨化及软骨组织骨形成,可见散在支气管软骨细胞(白箭)
引自:主编:.呼吸与危重症医学疑难与危重病例精选.第1版.ISBN:978-7-117-30147-3
问题2:骨化性气管支气管病的临床特征?
骨化性气管支气管病(tracheobroncheopathia osteochondroplastica,TO)是指气管、支气管黏膜下有多发性骨质或软骨组织结节状增生并突向管腔的良性病变,一般不累及气道后壁。TO发病年龄通常在40岁以上,男女无显著差异。
多数TO患者早期无症状,临床症状通常与气道阻塞的位置和程度相关。常见的症状包括慢性咳嗽、咳痰、呼吸困难、反复呼吸道感染和急性感染所致的咯血。支气管扩张和结节性溃疡亦常见。Nienhuis等报道的15例TO患者,最常见的症状是咳嗽(66%)、咯血(60%)、劳力性呼吸困难(53%)、喘息(30%),同时有13%为无症状患者。
胸部CT检查显示钙化的软骨结节由气管支气管黏膜向管腔内突起,不侵犯气管支气管后壁;多发突起黏膜下伴或不伴钙化的无蒂结节,气管支气管软骨环非外压性变形、狭窄,或气管支气管黏膜下钙化为TO特征性的CT表现。TO患者CT三维重建显示气管前壁及两侧壁增厚及结节样钙化影突入管腔内,钙化主要位于黏膜下并突入气管支气管管腔内。此例患者具有间断咳嗽、咯血症状和典型的胸部CT特征,对TO诊断有一定的提示作用。
问题3:TO患者如何确诊?
TO的病理特点为支气管壁黏膜上皮鳞状化生,黏膜下骨化及软骨组织骨形成。TO患者临床表现无特异性,典型的CT表现对临床诊断有一定帮助,目前认为支气管镜检查为TO确诊的金标准,无需组织病理学确诊。TO患者支气管镜检查:TO可发生于喉、声门下区、气管、主支气管及右中间段支气管。支气管镜检查可确定诊断和病变范围,镜下可见气管支气管壁多发的孤立性或融合的骨或软骨结节,间隔1~10mm,向气管腔内凸出的多发结节,不累及气管后壁,这一特征对TO具有诊断性价值。2004年Herve和Ali等提出了一种基于支气管镜下病变形态和病变程度的疾病严重程度分级:Stage A:散在结节(少数结节,结节之间正常黏膜居多);Stage B:弥漫性结节(较多结节影响整个黏膜,无正常黏膜区);Stage C:结节病变融合(相邻病灶融合),可以引起气道机械性梗阻,导致不同程度的阻塞性通气功能障碍。此例患者TO病变累及喉、声门下区、气管、主支气管及右中间段支气管,范围较广,且可见多个病灶融合,气管镜分级为Stage C,组织病理报告符合TO诊断。
问题4:TO的鉴别诊断?
TO常见症状为慢性咳嗽、咳痰和咯血等,CT表现为气道壁不规则突起和狭窄,需与以下疾病相鉴别:①气管支气管淀粉样变,表现为多灶性黏膜下淀粉样斑块阻塞气管支气管管腔;与TO相反,淀粉样变性常累及气管后壁(膜部),组织病理学检查淀粉样组织刚果红染色阳性有助于两者的鉴别诊断。值得注意的是,气管支气管淀粉样变可合并TO。Leske等报道了16例活检标本提示气管支气管淀粉样变,有2例(13%)合并TO。②气管支气管肉瘤亦可出现气道内结节性病变。若病变侵犯气管支气管后壁需怀疑复发性多软骨炎、结节病、结核、淀粉样变和乳头状瘤等。弥漫性气管钙化也可见于老年患者或肺结核患者、软骨肉瘤、结节性肉芽肿性多血管炎和纤维瘤等。诊断TO时需与以上疾病相鉴别。
问题5:TO该如何治疗?
TO病因未明,可能的原因有:慢性感染,基因易感性,化学或机械刺激,退行性变和代谢障碍等。避免接触化学性烟雾、粉尘等刺激,可能对本病有延缓病情恶化的作用。目前TO尚无特异性方法治疗,如无严重气道狭窄,一般采取内科保守治疗,不需内镜下介入治疗。反复的肺部感染和肺不张是TO的常见并发症,当保守治疗失败,可考虑外科手术,包括切除TO受累部分气管,前喉裂、喉部分切除。另外,如有气道狭窄导致的呼吸困难,可行支气管镜下介入治疗。患者初次咯血时有明显的氯气接触史,且初次发病后仍在化工厂工作,可能为患者TO病因。
骨化性气管支气管病
患者因气管镜下未见明显气道狭窄,采用内科保守治疗。经抗感染、止血等治疗后,患者咳嗽、咯血明显减轻,遂出院观察。
TO预后良好。Leske等报道55%的TO患者随访至少1年后病情仍稳定,无疾病恶化,但有17%的患者出现了较明显的疾病进展,主要表现为气道狭窄。此例患者随访1年,避免受凉感冒,未再发生咯血等情况。
1.患者中年男性,有长期咯血史,CT提示气管、支气管多发不规则高密度影。此次发病以突发咯血为主,炎症,肿瘤,结核皆有可能。入院后完善相关检查,排除禁忌后行支气管镜检查,镜下考虑TO,最终组织病理支持该诊断。
2.TO的诊断思路 TO是一种良性病变。男女发病无差别,病程较长。由于无症状或症状不典型,易被漏诊、误诊。胸部CT检查显示钙化的软骨结节由气管支气管黏膜向管腔内突起,不侵犯气管支气管后壁的典型特征可提供诊断线索;支气管镜检查可见气管支气管壁多发的孤立性或融合的骨或软骨结节,向气管腔内凸出且不累及气管后壁,这一特征对TO具有诊断性价值。
(巨默涵 夏敬文 李圣青)
[1]ZHU Y,WU N,HUANG H D,et al.A clinical study of tracheobronchopathia osteochondroplastica:findings from a large Chinese cohort[J].PLoS One,2014,9(7):e102068.
[2]LUO S,WU L,ZHOU J,et al.Tracheobronchopathia osteochondroplastica:two cases and a review of the literature[J].Int J Clin Exp Pathol,2015,8(7):9681-9686.
[3]李时悦,欧阳能太,钟南山.骨化性气管支气管病[J].中华结核和呼吸杂志,2001,24(7):414-416.
[4]李园园,胡成平,杨红忠,等.支气管镜对骨化性气管支气管病的诊治价值[J].中华结核和呼吸杂志,2009,32(7):489-492.



