患者男性,74岁。因“咳嗽咳痰伴发热2周”入院。患者两周前无明显诱因下出现高热,最高到39℃,伴有咳嗽,咳痰。无明显刺激性干咳、胸闷、活动后气促症状,痰液白色黏稠,门诊考虑肺部感染,经抗感染治疗,症状缓解,现患者体温正常,少许咳嗽咳痰。2017年5月4日肺部CT显示:两肺纹理增多,双肺多发斑片实变影,右肺上叶及左肺下叶为重,患者为明确病因,收入我科。患病以来患者精神好,胃纳可,睡眠好,大小便正常,体重无明显下降。
入院查体
T 36.5℃,P 84次/min,R 14次/min,BP 138/77mmHg。 神志清楚,步入病房,全身皮肤黏膜未见异常,全身浅表淋巴结无肿大。口唇无发绀。胸廓对称无畸形,触觉语颤对称,未触及胸膜摩擦感,双肺呼吸音粗,左下肺可闻及少许湿性啰音,未闻及胸膜摩擦音。心率84次/min,律齐;腹平坦,腹壁软,全腹无压痛,肝脾肋下未触及。双下肢无水肿。肌力正常,肌张力正常,生理反射正常,病理反射未引出。
既往史及个人史
有高血压病史20年,平日服用氨氯地平降压,血压控制良好。有鼻炎病史多年,近两年反复使用液状石蜡滴鼻剂。否认吸烟史。
辅助检查
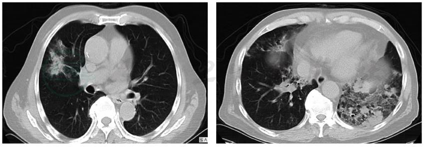
2017年5月4日肺部CT显示:两肺纹理增多,双肺多发斑片实变影,右肺上叶及左肺下叶为重(图1)。
图1 胸部CT表现:双肺多发斑片实变影,右肺上叶及左肺下叶为重
引自:主编:.呼吸与危重症医学疑难与危重病例精选.第1版.ISBN:978-7-117-30147-3
2017年5月5日肺功能检查:总呼吸道阻力增加,轻度混合性通气功能障碍,小气道轻度陷闭,吸气肌肌力减退,呼气肌肌力减退,呼吸中枢驱动力增加,肺弥散功能轻度减退。
2017年5月8日心脏超声:静息状态下左室各节段收缩活动未见明显异常,各瓣膜不增厚,肺动脉血流图未见异常,左心收缩舒张功能异常,EF值66%。
初步诊断
肺部阴影:感染可能
问题1:该患双肺多发肺部病变需考虑哪些疾病?
1.肺结核
多有结核接触史,常有低热、盗汗等结核中毒症状,多发于20~40岁青壮年,好发于双上肺尖段及后段,其次为下叶背段。影像学显示结核球边缘光滑,有完整纤维包膜,常为单发,洞壁较厚,内壁光滑、外壁清楚。X线表现多种多样,可有空洞、钙化、增殖性病灶,痰涂片或支气管灌洗可见抗酸杆菌阳性,T-spot试验阳性。该患者老年男性,否认既往有结核史,无明显反复低热、盗汗症状,影像学检查不属于典型的肺结核多发部位,可进一步行TSPOT,ESR,痰找抗酸杆菌,支气管镜灌洗液等进一步明确诊断。
2.肺炎
可表现为双肺多发实变或磨玻璃影,边缘一般较模糊。经过抗感染治疗后可较快吸收消散。本患者为老年男性,有高热、咳嗽咳痰症状,门诊考虑肺部感染,经抗感染治疗后体温平。2017年5月4日胸部CT平扫:双肺多发斑片实变影,需考虑肺部细菌感染性病变可能。
3.隐源性机化性肺炎
隐源性机化性肺炎(cryptogenic organizing pneumonia,COP)属于特发性间质性肺炎(IIPs)中的一种类型。病因不明,发病年龄以50~60岁为多,与吸烟无关。病程多在2~6个月以内,2/5的患者发病有类似流感的症状,如咳嗽、发热、周身不适、乏力和体重减轻等。常有吸气末的爆裂音。常规实验检查无特异。肺功能主要表现为限制性通气障碍。高分辨CT显示肺部斑片状肺泡腔内实变、毛玻璃影、小结节阴影和支气管壁的增厚和扩张,主要分布在肺周围,尤其是肺下野,复发性和游走性阴影常见。大多数患者对激素有较好的反应。本例中患者急性起病,起病初有发热,咳嗽咳痰症状,CT显示双肺多发性斑片状阴影。结合患者症状及影像学表现,亦需考虑隐源性机化性肺炎。
问题2:该患者如何明确诊断?
2017年5月4日患者第一次入院后完善相关检查,查(2017-05-05)血沉:74mm/h↑,余血常规、肝功能、肾功能、电解质、肿瘤标志物:未见明显异常,呼吸道病原体九联检阴性,TSPOT、PCT和真菌G试验等:均正常。
于2017年5月5日行支气管镜检查,于左下叶基底段及背段予以灌洗,灌洗液细菌学、抗酸染色涂片及真菌涂片均阴性。
治疗上给予哌拉西林他唑巴坦4.5g/次,2次/d,静脉滴注;左氧氟沙星0.6g/d,静脉滴注,抗感染治疗,氨溴索化痰加强对症支持治疗。患者体温平,咳嗽咳痰症状好转,暂予出院,嘱患者出院后继续口服头孢克肟、左氧氟沙星抗感染,1个月后复查胸部CT。
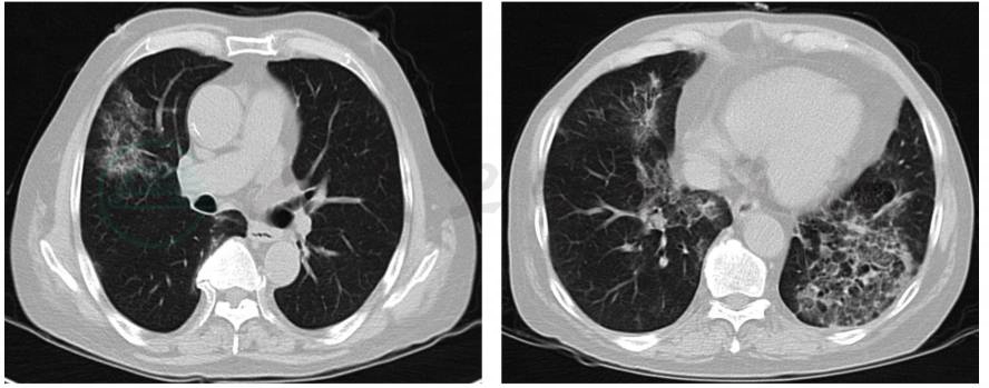
患者于2017年6月7日复查肺部CT显示:双肺多发实变影,同2017年5月4日大致相仿。肺部阴影无明显吸收(图2)。以上提示常规抗感染治疗无效,应考虑肺感染因素导致的双肺病变。为进一步明确诊断,于2017年6月9日行CT引导下经皮肺穿刺,病理提示类脂质性肺炎。
图2 胸部CT平扫:双肺多发实变影,同2017年5月4日比较病灶吸收不明显
引自:主编:.呼吸与危重症医学疑难与危重病例精选.第1版.ISBN:978-7-117-30147-3
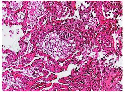
回顾病史,患者有反复使用液状石蜡滴鼻病史,结合病理学表现(图3),患者最终诊断明确。
图3 肺泡内充满富含脂质的泡沫样组织细胞,肺泡间隔增厚(HE,×400)
引自:主编:.呼吸与危重症医学疑难与危重病例精选.第1版.ISBN:978-7-117-30147-3
问题3:该患者如何治疗?
类脂质性肺炎是一种慢性间质性肺炎,临床上较为少见,是由于机体针对脂类物质在肺内的异常沉积所发生的慢性炎症反应。治疗上,首先应减少或避免诱发因素,部分病例可采用激素治疗。
问题4:该疾病诊断的关键是什么?
类脂质肺炎分为内源性类脂质肺炎和外源性类脂质肺炎。
对于内源性类脂质肺炎,我们需仔细询问患者有无如骨折、肺癌、错构瘤、脂肪瘤等疾病史,或者伴发于其他疾病如肺结核、肺部分枝杆菌感染、呼吸衰竭、肺心病、高血钙等。对于外源性类脂质肺炎,我们应关注有无误吸的危险因素和证据。误吸的危险因素包括:高龄老人,常在脑血管病后、吞咽困难、咳嗽反射减弱、饮水或进食后呛咳,牙周病,建立人工气道、管饲食物、灌肠等医源性因素、胃食管反流或在发生呕吐、昏迷、癫痫大发作、醉酒等情况后。
因此,对于类脂质肺炎疾病的诊疗,病史(尤其是油脂类物质接触及误吸史)至关重要,追问病史可以让问题很快水落石出。但是也有部分患者误吸量少,误吸后数月甚至数年之久才因肺部不适或肺部阴影就诊,经反复追问也不一定能获知误吸史,此时需要经皮肺活检,经支气管镜肺活检或开胸肺活检组织病理学检查方能确诊。
外源性类脂质性肺炎
本例患者予以泼尼松口服治疗,同时嘱其慎用滴鼻剂。
问题4:该疾病诊断的关键是什么?
类脂质肺炎分为内源性类脂质肺炎和外源性类脂质肺炎。
对于内源性类脂质肺炎,我们需仔细询问患者有无如骨折、肺癌、错构瘤、脂肪瘤等疾病史,或者伴发于其他疾病如肺结核、肺部分枝杆菌感染、呼吸衰竭、肺心病、高血钙等。对于外源性类脂质肺炎,我们应关注有无误吸的危险因素和证据。误吸的危险因素包括:高龄老人,常在脑血管病后、吞咽困难、咳嗽反射减弱、饮水或进食后呛咳,牙周病,建立人工气道、管饲食物、灌肠等医源性因素、胃食管反流或在发生呕吐、昏迷、癫痫大发作、醉酒等情况后。
因此,对于类脂质肺炎疾病的诊疗,病史(尤其是油脂类物质接触及误吸史)至关重要,追问病史可以让问题很快水落石出。但是也有部分患者误吸量少,误吸后数月甚至数年之久才因肺部不适或肺部阴影就诊,经反复追问也不一定能获知误吸史,此时需要经皮肺活检,经支气管镜肺活检或开胸肺活检组织病理学检查方能确诊。
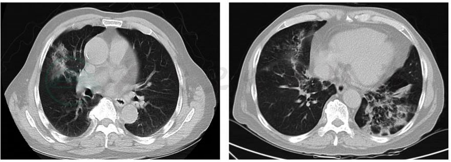
患者体温平,临床症状好转,2017年8月4日复查胸部CT提示病灶较前有所吸收、变淡(图4)。
图4 复查胸部CT平扫:双肺多发阴影,同2017年5月4日比较病灶明显吸收
引自:主编:.呼吸与危重症医学疑难与危重病例精选.第1版.ISBN:978-7-117-30147-3
1.类脂质肺炎临床上并不多见。本病呈慢性经过,缺乏典型的、特异性的临床表现,一般抗炎治疗效果往往不佳,且易复发。绝大多数患者白细胞增高,胸部影像学表现多种多样,病灶部位尤以右肺中叶和下叶基底段为多见。早期可出现肺部渗出、斑片状影、磨玻璃影、铺路石征和胸腔积液。易误诊为肺癌、肺结核及肺部慢性炎症等疾病。临床医生应提高对此类疾病的警惕,若单纯抗感染效果不佳的肺部团块影患者,需尽早行气管镜、肺穿刺等有创检查取病理以明确诊断。类脂性肺炎的主要病理所见是富含脂质的巨噬细胞、大量胆固醇结晶、慢性炎症和纤维化形成。
2.病史是诊断外源性类脂质性肺炎的重要依据,目前虽然有高分辨率CT,但是如果未能得到病人准确的病史,诊断类脂质性肺炎是比较困难的,大多数病人最后以活检/手术的方式送病理得出结论。我们需要提高对此类疾病的认识,提高问诊技巧,减少临床误诊和漏诊。
(吴琴 张有志 李圣青)
[1]NAKASHIMA S,ISHIMATSU Y,HARA S,et al.Exogenous lipoid pneumonia successfully treated with bronchoscopic segmental lavage therapy[J].Respiratory Care,2015,60(1):1-5.
[2]LAU C,ABDELMALAK B B,FARVER C F,et al.Whole lung lavage for lipoid pneumonia[J].Thorax,2016,71(11):1066-1067.



