患者女性,73岁。主因“反复咳嗽、咯血伴胸闷、胸痛1周,气喘2天”入院。患者1周前无明显诱因出现反复咳嗽,伴咯血,偶有整口鲜血,色鲜红,伴胸闷、胸痛,无咳痰、气喘、呼吸困难和发热等。外院诊断“咯血待查”。予以止血、抗感染和对症治疗后无明显缓解,遂就诊于我院急诊。2017年4月25日胸部CT检查提示:左上肺支气管扩张伴斑片状渗出影;左肺下叶支气管扩张,管腔可见“痰栓”(图1)。急诊予以抗感染、止血等对症支持治疗后,咯血症状好转离院。2天前,无明显诱因再次出现气喘和呼吸困难,且较前加重。为进一步诊治,以“咯血待查”收治我科。
图1 胸部CT扫描
A.左肺上叶尖后段斑片状渗出影;B.左肺下叶基底段支气管扩张,管腔可见“痰栓”(白箭)
引自:主编:.呼吸与危重症医学疑难与危重病例精选.第1版.ISBN:978-7-117-30147-3
入院查体
T 36.2℃,P 90 次/min,R 16 次/min,BP 139/68mmHg,神志清楚,全身皮肤黏膜无黄染,全身浅表淋巴结无肿大。口唇无发绀。颈软,无抵抗,颈静脉无怒张,气管居中,甲状腺无肿大。胸廓双侧对称无畸形,胸骨无压痛;左肺呼吸动度减弱;无胸膜摩擦感;右肺叩诊呈清音,左肺叩诊呈浊音;右肺呼吸音清晰,未闻及干、湿性啰音;左肺呼吸音消失。心率90次/min,律齐。各瓣膜听诊区未闻及病理性杂音。腹部平软,无压痛和反跳痛,肝脾肋下未及,肝肾区无叩击痛。关节无红肿,无杵状指(趾),双下肢无水肿。生理反射存在,病理反射未引出。
既往史及个人史
有“支气管扩张”病史多年。各系统回顾无特殊。否认结核病史,否认吸烟史。否认疫水接触史;否认家族遗传性疾病史;有“青霉素”过敏史。
初步诊断
咯血待查:支气管扩张?
问题1:患者胸闷、气短再次加重的原因是什么?
综合分析患者病情有如下特点:①患者系老年女性,以咯血、胸痛、气短急性起病;②既往有支气管扩张病史;③查体左肺呼吸音消失;④急诊给予止血、抗感染和对症处理,咯血缓解,但是胸闷、气短却再次加重。综上,患者胸闷、气短再次加重可能有以下原因:①咯血较前进一步加重;②查体左肺呼吸音消失提示肺不张可能;③存在可能导致胸闷、气短加重的其他病因。因此,需完善以下检查明确患者气短再次加重的原因。
辅助检查
血常规(2017-05-02):白细胞:10.56×109/L↑,血红蛋白:100g/L↓,血细胞比容:29.0%↓。
血气分析(2017-05-02):pH:7.42,PO2:10.2kPa,PCO2:5.29kPa。
肝、肾功能(2017-05-03):ALT:9U/L,AST:13U/L,CRE:38μmol/L,BUN:4mmol/L。
DIC(2017-05-03):PT:11.6s,APTT:28.1s,INR:0.97,D-二聚体:7.84FEUmg/L↑。
心肌标志物(2017-05-03):TNT:0.03ng/ml,NT-proBNP:325.7pg/ml↑。
T-SPOT(2017-05-03):阳性,抗原 A>60↑,抗原 B>50↑。
肿瘤标志物(2017-05-03):CEA:0.2μg/L,CY211:1.46ng/ml,NSE:15.06ng/ml,SCC:0.9ng/ml。
抗核抗体(2017-05-05):ANA:阴性;ENA:阴性;dsDNA 阴性,Sm 阴性,SSA 阴性,SSB 阴性,ANCA:阴性;抗心磷脂抗体:阴性。
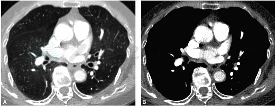
肺动脉CTA(2017-05-02):左全肺不张,右下肺动脉多发充盈缺损(图2)。
图2 肺动脉CTA显像
A.肺窗示左全肺不张;B.纵隔窗示右下肺动脉多发充盈缺损(白箭)
引自:主编:.呼吸与危重症医学疑难与危重病例精选.第1版.ISBN:978-7-117-30147-3
心脏超声检查(2017-05-10):左房增大,左心收缩功能正常,左心舒张功能轻度减退。
双下肢静脉加压超声检查(2017-05-11):右下肢深静脉全程栓塞,左下肢深静脉未见明显血栓。
易栓症筛查:阴性。
综合分析上述检查结果,患者咯血减轻但出血并未停止,胸部CT示左肺出血形成血栓填塞左肺支气管腔,导致继发左全肺不张,有效肺活量减少。肺动脉CTA示右下肺动脉多发充盈缺损,确诊急性肺栓塞;双下肢超声检查提示血栓来自右下肢深静脉。至此,患者最终诊断明确,气短进一步加重与咯血所致左全肺不张和急性肺栓塞有关。
问题2:如何制定合理的综合治疗方案?
综合分析患者的最终诊断:支气管扩张伴咯血导致肺不张、肺实变,需要止血治疗和支气管镜下左肺支气管血栓清除术;但是患者又有肺栓塞和右下肢深静脉血栓,需要抗凝治疗。因此,患者任何的系统抗凝或止血治疗都会分别加重咯血或肺栓塞的病情,二者在治疗原则上是矛盾的,为了规避系统治疗带来的风险,我们制定了支气管、支气管动脉和肺动脉联合介入治疗方案。
问题3:如何制定后续全身系统治疗方案?
患者经局部治疗后,咯血止,无需止血治疗;但是,肺栓塞和右下肢深静脉血栓需要全身系统抗凝治疗。结合患者自身意愿,采用低分子肝素/华法林桥接抗凝模式。抗凝期间,密切观察患者出血情况,监测生命体征。鉴于患者系老年女性,有出血风险,口服华法林,INR维持在1.8~2.5之间,达标后出院。
1.支气管扩张伴咯血
2.急性肺栓塞,中危
3.右下肢深静脉血栓
第一步,全麻下右肺单侧通气,支气管镜下左肺支气管血栓清除术;第二步,DSA下左肺支气管动脉造影显像,实施破裂支气管动脉栓塞术;第三步,DSA下肺动脉造影,实施右下肺动脉溶栓治疗。具体实施过程如下:
患者在DSA手术室,全麻下行右肺单侧通气,支气管镜下左肺支气管血栓清除术,吸出多段陈旧性血栓,同时行支气管镜下冰盐水支气管灌洗,确保左侧各叶段支气管通畅。局麻下经右侧股动脉行双肺支气管动脉DSA造影,术中发现左肺上叶支气管动脉云雾状出血灶(图3),予以栓塞处理,再次DSA造影观察出血止。最后在DSA下行肺动脉造影,见右下肺动脉多发充盈缺损,予以尿激酶50万U局部溶栓治疗,再次DSA造影观察血栓基本溶解吸收。术毕拔管,患者安返病房,继续心电监护密切观察。术后患者自述胸闷、气短明显缓解,未再有新鲜咯血。
图3 DSA支气管动脉造影(2017-05-05):左肺上叶支气管动脉可见云雾状出血(白箭)
引自:主编:.呼吸与危重症医学疑难与危重病例精选.第1版.ISBN:978-7-117-30147-3
患者院外继续口服华法林抗凝治疗,疗程初定为3个月。抗凝期间胸闷、胸痛和气短症状明显缓解;无咯血;无皮肤、黏膜出血点和瘀斑;无便血和尿血等情况。
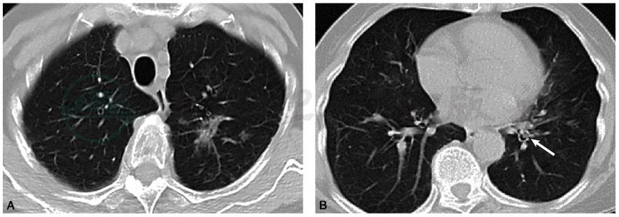
复查肺动脉CTA(2017-07-06):右下肺动脉溶栓术后,肺动脉各级分支未见明显栓塞征象(图4)。
复查下肢静脉超声(2017-07-07):右下肢深静脉血栓完全溶解再通;右小腿肌间静脉血栓,部分再通。
图4 口服华法林抗凝2个月余,复查肺动脉CTA示:左肺完全复张(A),肺动脉血栓基本溶解消散(B)
引自:主编:.呼吸与危重症医学疑难与危重病例精选.第1版.ISBN:978-7-117-30147-3
1.常见咯血病因
(1)原发于肺部疾病
①肺部感染:临床可导致咯血的肺部感染性疾病常见的有肺结核、肺部真菌感染和寄生虫感染等,可根据影像学特点和病理、病原学结果明确诊断。②各种原因所致支气管扩张:可有脓痰,反复发作,影像学可见支气管囊柱样扩张,可呈蜂窝样改变。③急性肺栓塞:常有高危因素如手术、外伤病史,可有胸痛、咯血、D-二聚体增高,胸部CTA检查及肺通气/灌注扫描可确诊。④肺癌:可有咳嗽、胸痛、上腔静脉压迫等症状。影像学可有肺部占位、胸腔积液、阻塞性肺炎等表现。⑤肺血管畸形:一般检查难以确诊,需要DSA造影明确。⑥自身免疫性肺疾病:多种自身免疫性疾病累及肺实质、肺间质与肺血管;肺出血肾炎综合征等。⑦肺血管炎:大动脉炎、巨细胞动脉炎和白塞病等累及肺动脉均可导致咯血;肺肉芽肿性多血管炎和显微镜下多血管炎也可以咯血为临床主要表现。⑧肺动脉高压:常见于第一、二和四大类重度肺动脉高压患者,临床表现为胸闷、气短、胸痛和咯血等,右心导管检查提示肺动脉高压和右心功能不全。
(2)肺外疾病导致咯血
凝血功能异常,部分风湿性心脏病和先天性心脏病,血液系统疾病等均可引起咯血。临床需根据患者的病情特点进行系统的诊断筛查。
2.急性肺栓塞的介入治疗
急性高危PTE或伴临床恶化的中危PTE,若有肺动脉主干或主要分支血栓,并存在高出血风险或溶栓禁忌,或经溶栓或积极的内科治疗无效,在具备介入专业技术和条件的情况下,可行经皮导管介入治疗。对于系统性溶栓出血风险高的患者,如果有导管直接溶栓的设备和人员,导管直接溶栓优于系统性溶栓,导管溶栓时溶栓剂量可以进一步减低,从而降低出血风险。急性PTE介入治疗的目的是清除阻塞肺动脉的栓子,以利于恢复右心功能并改善症状和生存率。介入治疗包括:经导管碎解和抽吸血栓,或同时进行局部小剂量溶栓。介入治疗的并发症包括远端栓塞、肺动脉穿孔、肺出血、心脏压塞、心脏传导阻滞或心动过缓、溶血、肾功能不全以及穿刺相关并发症。对于有抗凝禁忌的急性PTE患者,为防止下肢深静脉大块血栓再次脱落阻塞肺动脉,可考虑放置下腔静脉滤器,建议应用可回收滤器,通常在2周之内取出。一般不考虑永久应用下腔静脉滤器。低危PTE不建议导管介入治疗。已接受抗凝治疗的急性DVT或PTE,不推荐放置下腔静脉滤器。此例患者我们首先在DSA下行左肺支气管动脉栓塞术;然后在DSA下实施右下肺动脉局部溶栓治疗,大大降低了患者的出血风险,为全身系统性抗凝治疗创造了条件。
(吴琴 张媛媛 李圣青)
[1]STEIN P D,HULL R D,PATEL K C,et al.D-dimer for the exclusion of acute venous thrombosis and pulmonary embolism:a systematic review[J].Ann Intern Med,2004,140:589-602.
[2]RIGHINI M,VAN E S J,DEN EXTER P L,et al.Age-adjusted D-dimer cutoff levels to rule out pulmonary embolism:the ADJUST-PE study[J].JAMA,2014,311:1117-1124.
[3]中华医学会呼吸病学分会肺栓塞与肺血管病学组,中国医师协会呼吸医师分会肺栓塞与肺血管病工作委员会,全国肺栓塞与肺血管病防治协作组.肺血栓栓塞症诊治与预防指南[J].中华医学杂志,2018,98(14):1060-1087.



