患者男性,64岁。主因“反复咳嗽、咳痰5年,加重伴发热2天”入院。5年前无明显诱因出现咳嗽、咳黄痰,偶痰中带血,伴发热,体温最高39.5℃。胸部CT平扫显示:右肺大片实变影。先后在当地医院予“青霉素、头孢菌素”等抗感染治疗;“氟康唑”抗真菌治疗;“异烟肼、利福平、乙胺丁醇和吡嗪酰胺”正规抗结核治疗9个月。病程中发热、咳嗽、咳黄痰反复出现,症状时轻时重。现为求进一步治疗,收入我科。患病以来精神好,胃纳可,睡眠好,大小便正常,体重无明显下降。
入院查体
T 38.2℃,P 86 次/min,R 20 次/min,BP 134/82mmHg。神清,步入病房,营养稍差。皮肤、黏膜无黄染,无皮疹、紫癜,无肝掌及蜘蛛痣。全身浅表淋巴结未扪及肿大。口唇无发绀,咽不红,扁桃体无肿大。胸廓双侧对称,无畸形;右侧语颤增强,叩诊呈浊音;右肺呼吸音粗,未闻及明显干、湿性啰音;未闻及胸膜摩擦音。心率86次/min,律齐,各瓣膜听诊区未闻及杂音。腹软,全腹无压痛及反跳痛,肝、脾肋下未触及,肝肾区无叩击痛。双下肢无水肿。四肢肌力正常;生理反射存在;病理反射未引出。
既往史及个人史
既往体健。否认食物、药物过敏史。家族史无特殊。个人无烟酒嗜好,否认疫区居留史及特殊不良嗜好。
初步诊断
肺部阴影待查:肺部感染?机化性肺炎?肺癌?淋巴瘤?
问题1:患者是肺部慢性感染性疾病吗?
患者病情有如下特点:①老年男性,反复发热伴咳嗽、咳痰5年余;②胸部CT以右肺实变为主要表现;③外院先后给予抗细菌、抗真菌和抗结核菌治疗均无显效,病程迁延,症状反复出现。综合患者病情特点分析如下:①如果考虑肺部感染,则特殊病原菌感染的可能性大;②应考虑慢性迁延性肺部感染的鉴别诊断:机化性肺炎、肺炎型肺癌和原发于肺的淋巴瘤等少见疾病。为明确诊断,入院后完善以下检查:
血常规:正常。
肝、肾功能:正常。
降钙素原、血沉、CRP:正常。
甲肝、乙肝六项,丙肝:阴性。
肿瘤标志物:CA125:148.60U/ml,CY211:3.99ng/ml,CA199:159.40U/ml;AFP、CEA、CA153、CA724、NSE、PSA、F-PSA、FPSA/PSA:均正常。
免疫指标:ANA:1∶100;ANA抗体谱:均阴性;抗中性粒细胞胞浆抗体、PR3和MPO:均阴性;抗心磷脂抗体:均阴性。
甲状腺功能:TSH:9.11mIU/L,FT4:正常,FT3:正常。
血糖、糖化血红蛋白:正常。
免疫球蛋白系列,总IgE:正常。
呼吸道病原体九联抗体:均阴性。
真菌D-葡聚糖检测:阴性;乳胶凝聚试验:阴性。
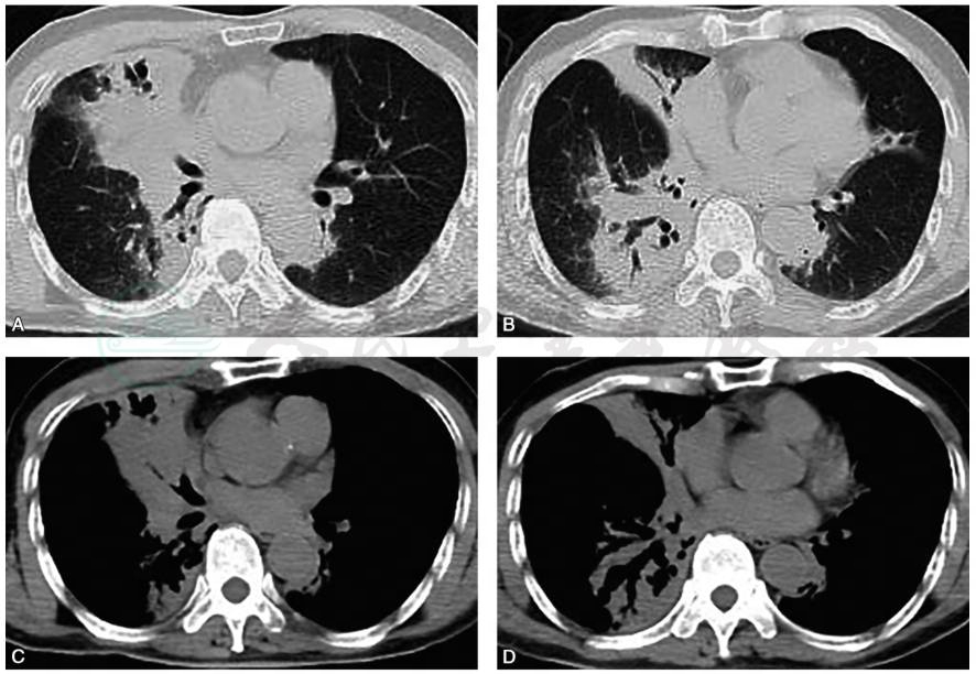
胸部CT扫描(2016-06-20):右肺中叶、右肺下叶后基地段可见大片肺实变,伴支气管充气征及牵拉性支气管扩张(图1)。

图1 胸部CT扫描示:右肺大片实变影,左肺下舌段和下叶可见少量实变影(A、B);纵隔窗可见支气管充气征和典型的牵拉性支气管扩张(C、D)
引自:主编:呼吸与危重症医学疑难与危重病例精选.第1版.ISBN:978-7-117-30147-3
.电子支气管镜检查:气管、左右主支气管与各叶、段支气管通畅,黏膜光滑。
超声支气管镜纵隔淋巴结穿刺(EBUS+TBNA):于右肺中下叶开口处探及异常密度回声(12R),行EBUS针吸活检,送检脱落细胞及组织学检查。
EBUS淋巴结活检涂片:普通细菌培养:阴性;抗酸染色阴性;真菌涂片和培养:阴性。
EBUS淋巴结活检组织病理:见散在淋巴细胞,未见明显异型细胞。
综合分析上述检查结果有以下特征:①从病原学和病理学两方面均未发现感染证据,且长期抗感染治疗无效,因此可基本除外肺部感染;②免疫学指标与自身抗体检查等可除外自身免疫性疾病所致肺部阴影;③支气管镜检查未见明显的支气管狭窄与腔内肿物,因此以占位为表现的肺癌可能性不考虑,以炎症为表现的肺癌需进一步除外;④原发于肺的淋巴瘤或淋巴瘤肺浸润不能除外。
问题2:患者可能是炎症型肺癌或淋巴瘤吗?
为了获得满意的肺组织标本,我们给患者行CT引导下经皮肺穿刺活检。
经皮肺穿刺活检病理:小B细胞性淋巴瘤,边缘区淋巴瘤(图2)。
病理免疫组化标志物解析:CD20、CD79a、PAX5为B淋巴细胞来源标志;CD5除在T细胞表达,在套细胞淋巴瘤、慢性淋巴细胞白血病等可呈阳性;CD43除在T细胞表达,在B细胞肿瘤如套细胞淋巴瘤、小B细胞淋巴瘤、某些边缘区淋巴瘤也可以是阳性。Ki67用于标记肿瘤细胞增殖活性。LCA标记淋巴结边缘区;BCL2则标记生发中心。至此,患者确诊为小B细胞淋巴瘤。小B细胞淋巴瘤是主要发生在中老年人群中的一种成熟B淋巴细胞克隆增殖性肿瘤,以淋巴细胞在外周血、骨髓、脾脏、淋巴结和组织器官聚集为特征。


图2 A.HE染色见大量淋巴细胞浸润(×200);B.HE染色见大量淋巴细胞浸润(×400);C.CD5(+);D.CD43(+);E.CD79a(+);F.Ki67(10%+);G.LCA(+);H.PAX5(+)
小B细胞性淋巴瘤组织病理及特异性标志物的免疫组化染色
问题3:患者是原发于肺部的淋巴瘤还是淋巴瘤肺浸润?
肺淋巴瘤可分为4种类型,包括:①原发性肺淋巴瘤(primary pulmonary lymphoma,PPL):是指原发于肺内淋巴组织的恶性淋巴瘤,是结外淋巴瘤中一种罕见类型,其定义为肺实质或支气管淋巴组织的克隆性异常增生,伴或不伴有肺门淋巴结肿大,在发病或确诊后3个月内没有肺外病变的证据;②继发性肺淋巴瘤;③获得性免疫缺陷综合征相关淋巴瘤;④移植后淋巴增殖性疾病。
PPL的病理类型主要包括:①黏膜相关淋巴组织结外边缘(extranodal marginal zone lymphoma of mucosa associated lymphoid tissue,MALT)淋巴瘤,是PPL最为常见的类型,约占PPL的70%~90%,属低度恶性B细胞肿瘤;②弥漫大B细胞淋巴瘤(diffuse large B-cell lymphoma,DLBCL),是PPL第二常见类型,约占PPL的10%~20%;③其他一些罕见的B细胞起源的淋巴瘤;④霍奇金淋巴瘤;⑤T细胞或NK细胞起源的淋巴瘤。
判断患者为原发于肺部的淋巴瘤需满足以下两个条件:①肺部受累,但无明显纵隔或肺门淋巴结肿大;②无肺及支气管外其他部位淋巴瘤的证据。为此,我们进一步完善了以下检查:
胃肠镜检查:阴性;
骨髓穿刺检查:阴性;
全身PET/CT检查:右肺大部分区域和左肺小部分区域实变并SUV值显著升高;未发现肺及气管、支气管外其他部位淋巴瘤的证据。
问题4:肺原发MALT淋巴瘤如何与肺部感染相鉴别?
此例患者因肺实变在外院按照肺部细菌、真菌和结核感染多次、反复治疗,疗效欠佳且病情进展。肺实变是肺MALT淋巴瘤最常见CT表现,约90%的肺原发淋巴瘤患者表现为肺叶、段、亚段多发实变,密度较为均匀,增强后轻中度均匀强化,内见强化血管影。实变的病理基础是淋巴瘤浸润周围组织,使肺间质增厚或气腔完全被瘤组织充盈所致。临床上常常需要与以肺实变为表现的感染性疾病相鉴别:①肺部细菌感染:以肺实变为表现的肺部感染常见于肺炎链球菌所致大叶性肺炎;②肺部非典型病原体感染:轻症患者表现为间质性炎症,重症者可表现为肺实变;③病毒性肺炎:重症患者常常表现为多叶段的肺实变;④肺部真菌感染:肺部真菌感染表现为实变时,实变肺组织内可见坏死、空洞影,周围可见晕征,增强扫描多不均匀强化;⑤干酪性肺炎:表现为好发于上肺叶、肺段的实变,可有虫蚀样空洞、干酪样坏死。同侧或对侧下肺野可有播散灶。多好发于青少年,临床有低热、盗汗等症状。
肺原发边缘区小B细胞性淋巴瘤
患者转入血液科治疗、随访。
1.肺原发性淋巴瘤的鉴别诊断
除了与肺部感染性疾病相鉴别,还需与以下肺部疾病相鉴别:①炎症型肺癌:病理通常为黏液性腺癌。临床多表现为咳大量白色泡沫样痰。CT表现为双肺或单肺多发实变,合并多发性结节影、肿块影,与肺MALT淋巴瘤CT表现相似,但其内含气支气管扭曲不规则、狭窄、中断等,呈枯枝征。实变肺密度较低,增强扫描实变区无强化或轻微强化。肺MALT淋巴瘤实变区域含气支气管可达病灶边缘,管腔不狭窄,反而轻度扩张,增强扫描实变区增强均匀,表现为轻度至中度均匀强化。②继发性肺淋巴瘤:是肺外淋巴瘤浸润肺部所致,肺内表现形式多样,多合并纵隔、肺门或其他部位淋巴结肿大。③隐源性机化性肺炎:常表现为沿支气管血管束或胸膜下分布的肺实变和磨玻璃影,可见反晕征,多呈游走性的特征性表现。总之,与肺部感染性疾病比较,肺MALT淋巴瘤患者就诊时临床表现较轻,无特异性,但肺内影像学改变往往较重,影像表现与临床表现不符合。肺MALT淋巴瘤的CT主要表现为双肺或单肺多发实变,可见充气扩张支气管征、血管造影征,且多跨叶分布,可表现为肿块、小结节、斑片影、肺气囊等多种征象。病变进展较慢,病程相对较长。
2.肺原发性淋巴瘤的CT表现及其对应的病理特征
①PPL最常见的CT表现为肺实变病灶,合并支气管充气征或支气管扩张。对应的病理表现为瘤细胞向肺泡腔内浸润,仅累及肺实质,尚未浸润支气管,此时CT表现为实变影内有支气管充气征;实变影合并支气管扩张是由于淋巴瘤组织的浸润导致肺泡塌陷及支气管周围肺间质与实质的破坏造成的。②肺部单发或多发肿块影和结节影,边缘毛糙、模糊或周缘晕征,是PPL另一相对特征性表现。其病理基础为肿瘤浸润周围组织,间质轻度增厚或气腔不完全充盈所致。③其他征象包括磨玻璃影、CT血管造影征及肺间质性改变等。磨玻璃影是肺淋巴瘤的少见征象,是淋巴瘤细胞早期局部肺组织浸润的表现。CT血管造影征是肺淋巴瘤沿着支气管周围中央间质浸润,导致支气管血管束增粗时在CT纵隔窗的特征性表现。④除肺内病灶外,少数PPL患者可合并胸腔积液、纵隔或肺门淋巴结浸润,为淋巴瘤组织沿着肺内淋巴系统转移的表现。⑤PPL胸部CT的多发性和多形性特征。70%以上的PPL患者2种以上病变共存。
(张媛媛 董樑 龚益 龙丰)
[1]MIAN M,WASLE I,GRITSCH S,et al.B cell lymphoma with lung involvement:what is it about[J]? Acta Haematol,2015,133(2):221-225.
[2]中华医学会血液学分会白血病淋巴瘤学组,中国抗癌协会血液肿瘤专业委员会,中国慢性淋巴细胞白血病工作组.中国B细胞慢性淋巴增殖性疾病诊断专家共识[J].中华血液杂志,2014,35(4):367-370.
[3]张瑶,徐凌.原发性肺淋巴瘤的临床进展[J].国际呼吸杂志,2019,39(9):699-705.