患者女性,54岁。主因“反复喘憋伴咳嗽3个月余,加重1周”于2019年4月15日入住我科。3个月前无明显诱因开始出现喘憋、气短,多于剧烈活动后出现。伴咳嗽、咳少量白稀痰。无发热、鼻塞、流涕、咯血、胸痛、皮疹、口腔溃疡等不适。2019年2月20日于当地医院就诊,行胸部CT示报告“气管壁不均匀增厚”。外院给予头孢类药物治疗6天后自觉症状稍缓解。2019年4月初,再次出现活动后喘憋,症状较前类似。2019年4月7日至我科门诊,行肺功能检查示:吸入沙丁胺醇 400μg 20分钟后,FEV1:1.16L,FEV1/pre:62.9%,FEV1/FVC:60.02%,PEF/pre:29.3%,MEF 75/pre:22.7%,MEF 50/pre:34.8%,提示中度阻塞性通气功能障碍。支气管舒张试验:阴性。进一步行胸部CT增强+气道三维重建:气管壁环形增厚伴轻度强化,管腔狭窄。门诊遂以“主气道狭窄”收入院。患病以来,精神可,胃纳佳,睡眠正常,二便正常,近期无明显体重下降。
入院查体
T 36.8℃,P 80 次/min,R 20 次/min,BP 108/74mmHg。 神清,精神可,步入病房。全身浅表淋巴结未触及肿大。皮肤、黏膜未见出血点及皮疹。无耳郭畸形。无鼻部畸形,未见鼻腔分泌物。未见口腔溃疡。气管居中,颈静脉无怒张,甲状腺无肿大。胸廓对称无畸形。双侧呼吸动度对称,无胸膜摩擦感,双侧语音震颤对称,双肺叩诊呈清音。胸骨上凹处可闻及鼾音。双肺未闻及干、湿性啰音。心率80次/min,律齐,各瓣膜听诊区未闻及病理性杂音。腹部平软无压痛,肝脾肋下未及,肝肾区无叩击痛。双下肢无水肿。四肢肌力正常,生理反射存在,病理反射未引出。
既往史及个人史
无特殊。
辅助检查
肺功能F-V曲线环(2019-04-07):吸气相及呼气相双相平台样改变,提示存在主气道狭窄(图 1)。
图1 肺功能F-V曲线环示吸气相及呼气相双相平台样改变
引自:主编:.呼吸与危重症医学疑难与危重病例精选.第1版.ISBN:978-7-117-30147-3
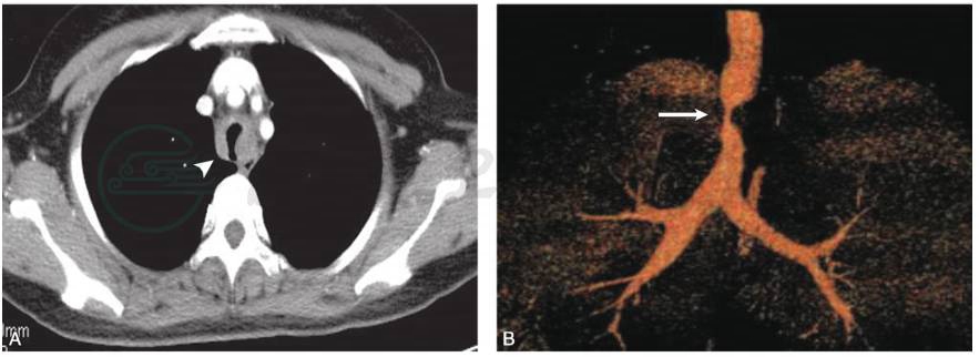
胸部CT增强+气道三维重建(2019-04-07):气管壁环形增厚伴轻度强化,管腔重度狭窄(图 8-37-2)。
图2 胸部CT增强+气道三维重建
A.胸部CT增强示气管中段管壁环形增厚伴轻度强化(箭头);B.气道三维重建示气管管腔呈裂隙样狭窄(白箭)
引自:主编:.呼吸与危重症医学疑难与危重病例精选.第1版.ISBN:978-7-117-30147-3
初步诊断
气管狭窄:原因待查?
问题1:患者气管狭窄需要考虑哪些可能疾病?
患者系中年女性,慢性病程。以“反复喘憋伴咳嗽”为主要症状,肺功能检查提示中度阻塞性通气功能障碍。流速-容量(F-V)曲线环呈吸气相及呼气相双相平台样改变,提示存在主气道固定狭窄。胸部CT增强+气道三维重建示:气管壁均匀增厚,伴管腔裂隙样狭窄。气管狭窄需考虑以下疾病:①气道良恶性肿瘤:如气管原发、肺部或转移性恶性肿瘤、纤维瘤、血管瘤及错构瘤等。需气管狭窄部位活检组织送病理检查以明确诊断。②感染性疾病:常见累及气道的感染性疾病为气管、支气管结核,其次为真菌感染(支气管肺曲霉菌病、组织胞浆菌以及酵母菌等)。此外,鼻硬结病及梅毒也可累及主气道,导致气道狭窄。患者目前无感染相关依据,需进一步完善病原学相关检查,明确是否存在感染。③风湿结缔组织疾病:如肉芽肿性多血管炎(granulomatous with polyangiitis,GPA)、结节病、白塞病以及复发性多软骨炎等可累及气道。需积极完善风湿免疫相关指标,寻找是否存在其他系统受累的依据并明确病理诊断。④其他:少见的气道疾病,如淀粉样变、纤维硬化性纵隔炎以及特发性气道狭窄等。为明确诊断,需进一步完善肿瘤标记物、风湿免疫相关指标、感染相关血清学指标、病原学检测以及气管镜检查等。
辅助检查(2019-08-10)
血常规:白细胞:5.11×109/L,血红蛋白:125g/L,中性粒细胞:53.6%,淋巴细胞:24.3%,单核细胞:9.2%,嗜酸性粒细胞:4.0%。
ANA(胞质网状/线粒体型):滴度 1∶1 000阳性。
血沉:29mm/h(正常范围≤20mm/h)。
尿、粪常规、肝、肾功能、ANA、ENA、dsDNA、MPO-ANCA、PR3-ANCA、RF、CRP 及肿瘤标志物全套:均在正常范围。
G试验、隐球菌荚膜抗原检测、半乳甘露聚糖检测及T-SPOT:均阴性。
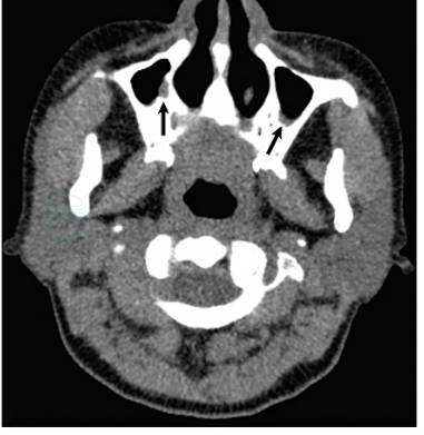
鼻窦CT(图3):双侧上颌窦局部黏膜增厚,考虑鼻窦炎。
图3 鼻窦CT示:双侧上颌窦局部黏膜增厚(黑箭)
引自:主编:.呼吸与危重症医学疑难与危重病例精选.第1版.ISBN:978-7-117-30147-3
电子支气管镜及超声支气管镜检查(图4):气管中段外压性狭窄70%~80%,距声门约7cm,黏膜表面光滑,伴充血,未见出血。左右主支气管及各级支气管镜下未见明显异常。超声支气管镜于病变处可探及不规则低回声区。病变处行针吸活检,完善病原学涂片及培养,特殊染色及病理等检查。
图4 电子支气管镜及超声支气管镜检查
A.电子支气管镜示气管中段外压性狭窄70%~80%,距声门约7cm,黏膜表面光滑,伴充血;B.支气管镜超声于病变处可探及不规则低回声区(白箭)
引自:主编:.呼吸与危重症医学疑难与危重病例精选.第1版.ISBN:978-7-117-30147-3
活检组织病原学涂片+培养:均阴性。
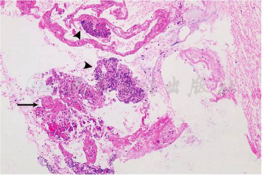
病理结果(图5):穿刺组织可见慢性肉芽肿性炎症,纤维素性渗出及坏死。未见明显核异型上皮成分。 免疫组化结果:CK(+),VIM(-),CgA(-),Syn(-),TTF-1(-),WT-1(-),LCA(-),P63(-),Napsin A(-),P40(-)。 特殊染色结果:抗酸(-),PAS(-),银染(-)。
图5 活检组织内可见(HE,×100):慢性肉芽肿性炎症(箭头),纤维素性渗出及坏死(黑箭)
引自:主编:.呼吸与危重症医学疑难与危重病例精选.第1版.ISBN:978-7-117-30147-3
问题2:患者为感染性肉芽肿性疾病吗?
综合分析上述检查结果,患者病情有以下特点:以反复憋喘为主诉;胸部CT增强提示病变累及包括气道软骨的气管壁全层,气管壁呈弥漫性增厚从而导致管腔严重狭窄。鼻窦CT:上颌窦炎症。支气管镜检查提示病灶表面光滑,活检组织病原学检查阴性,病理示:慢性肉芽肿性炎症,纤维素性渗出及坏死。累及气道的肉芽肿性炎症主要见于以下疾病:①感染性肉芽肿性疾病:结核、真菌等感染;②非感染性肉芽肿性疾病:结节病、肉芽肿性多血管炎及嗜酸性肉芽肿性多血管炎等。
感染性肉芽肿性疾病常见结核分枝杆菌及真菌感染累及气道,可表现为气道狭窄,结核感染病理特征性表现为肉芽肿伴干酪样坏死;真菌感染病理特征性表现为肉芽肿伴以中性粒细胞/嗜酸性粒细胞浸润为主的组织坏死。患者无发热、咳痰等感染相关症状,血清学G实验、GM实验及T-SPOT检查均阴性。穿刺组织病原学涂片及培养阴性;组织切片特染,包括PAS染色,抗酸染色以及银染:均阴性。综上该患者感染依据不足,暂不考虑感染性肉芽肿。
问题3:患者为非感染性肉芽肿性疾病吗?
结节病可累及气道,肉芽肿性结节样病变多沿纵隔和双侧肺门、中央间质、小叶间隔和胸膜等淋巴道分布;可存在皮肤、眼、神经和心脏等多系统累及。此例患者未见肺部淋巴系统累及现象,因此结节病可能性不大。嗜酸性肉芽肿性多血管炎也以憋喘为主要临床症状,但是以外周细支气管嗜酸性粒细胞浸润和小血管炎为主要病理特点,较少累及主气道和气管,外周血嗜酸性粒细胞显著增高,患者无上述特征性改变,故排除该疾病。
肉芽肿性多血管炎(GPA):以上下呼吸道和肾脏最常累及;病理特征为累及中小血管的坏死性肉芽肿性炎。该患者以气管病变引起气道狭窄为主要表现,鼻窦CT提示双侧上颌窦炎。病灶组织活检病理示:肉芽肿性炎症伴坏死。因患者血清学检测ANCA阴性,无肾脏累及,考虑为罕见的ANCA阴性无肾脏累及的GPA。依据2017年EULAR/ACR发表的ANCA相关性血管炎分类标准(草案),根据相关临床标准及实验室检查评分,10项评分总和≥5分的患者可诊断为GPA。该患者总评分为6分[气道软骨受累(2分),病理见肉芽肿性炎症病变(2分),双侧上颌窦炎(2分)],依据上述标准,此例患者最终诊断为GPA。
肉芽肿性多血管炎
该患者以气道累及为主,无其他重要脏器系统损害。故单用糖皮质激素治疗,不考虑联合免疫抑制剂,具体方案如下:
1.甲泼尼龙片24mg/d,口服;
2.奥美拉唑肠溶胶囊20mg/d,口服;
3.碳酸钙片0.75g/d,口服。
患者院外口服激素1个月,自觉喘憋症状明显改善。2019年5月18日复查肺功能示:通气功能障碍明显好转(图6)。复查胸部CT增强+气道三维重建示:气道狭窄明显好转(图7)。患者目前逐渐减量口服甲泼尼龙片,门诊定期随访。
图6 肺功能
A.治疗前肺功能:FEV1:1.16L,PEF:1.6L/s,MEF 75:1.14/s,MEF 50:1.05L/s;B.治疗 1 个月后复查示通气功能明显改善,FEV1:2.07L,PEF:2.73L/s,MEF 75:2.52L/s,MEF 50:2.10L/s
引自:主编:.呼吸与危重症医学疑难与危重病例精选.第1版.ISBN:978-7-117-30147-3
图7 治疗1个月后复查胸部CT增强+气道三维重建示:治疗后(白箭)主气道狭窄较治疗前(箭头)明显好转
引自:主编:.呼吸与危重症医学疑难与危重病例精选.第1版.ISBN:978-7-117-30147-3
1.上气道狭窄的肺功能特点
上气道指声门至隆突之间的气道。F-V曲线环呈吸气相平台样改变提示胸腔以外的上气道可变性狭窄,呼气相平台样改变提示胸腔以内的上气道可变性狭窄,吸气相及呼气相双相平台样改变提示上气道固定狭窄。此例患者肺功能F-V曲线环呈双相平台样改变,提示上气道固定狭窄。治疗期间随访肺功能可用于疗效评估。
2.气道狭窄的影像学评估与支气管镜取材
颈胸部CT是目前评估气道狭窄最准确的无创性检查方法。临床常用增强CT+气道三维重建技术,用于评估气道狭窄程度,病变的长度和范围,病变与周围组织的关系以及血供情况。为下一步选择何种有创内镜检查方法提供依据。支气管镜检查可直观评估病变的部位,狭窄的长度及直径。超声支气管镜(EBUS)可识别是否存在气管软骨、软骨外病变及气管软骨受累程度和范围,并通过评估病灶血流情况降低活检导致的出血风险。气道严重狭窄时进行支气管镜检查可能加重已有狭窄,应做好气道介入治疗和紧急救治的准备。对于特别严重的患者,建议全麻下建立人工气道后进行支气管镜检查和介入治疗。
3.肉芽肿性多血管炎的气管、支气管病变
支气管的异常主要是段和亚段支气管壁的增厚,见于40%~70%的患者。支气管扩张相对少见,发生率10%~20%。大气道的累及可以是局灶性或弥漫性。炎症引起气管壁同心圆式增厚所致管腔狭窄见于15%的患者。声门下气管最常累及,也可累及声带、远端气管和近端主支气管。支气管壁病变可导致气道阻塞和肺不张。ANCA阳性GPA合并上下呼吸道和肾脏损害时,临床易于诊断;ANCA阴性肉芽肿性多血管炎是临床诊断的难点。临床约20%的GPA患者ANCA检查阴性。对于ANCA阴性且临床表现不具特征性的患者,应积极行病理检查和多系统评估,以免漏诊和误诊。
(张秀娟 李圣青)
[1]POLYCHRONOPOULOS V S,PRAKASH U B,GOLBIN J M,et al.Airway Involvement in Wegener’s Granulomatosis[J].Rheum Dis Clin N Am,2007,33:755-775.
[2]中华医学会呼吸病学分会.良性中心气道狭窄经支气管镜介入诊治专家共识[J].中华结核和呼吸杂志,2017,40:408-418.
[3]PETERS J E,SALAMA A D,IND P W.Wegener′s granulomatosis presenting as acute systemic vasculitis following 20 years of limited tracheobronchial disease[J].J Laryngol Otol,2009,123:1375-1377.



