患者男性,33岁,因“胸闷5天,发热4天,加重伴气促1天”于2018年2月2日入院。5天前因上呼吸道感染后出现心前区胸闷不适感,未予重视。4天前出现发热,高达40℃,伴心悸、胸闷,无咳嗽、咳痰及咯血。至外院就诊,心电图提示ST-T波改变(Ⅱ、Ⅲ、aVF ST段下垂型压低0.05mV,Ⅱ、Ⅲ、aVF V3~V6T波倒置),胸片未见明显异常。考虑“呼吸道感染”,予以“头孢克洛、左氧氟沙星”等治疗,发热症状有好转。1天前出现胸闷加重伴气促,偶有咳嗽、无痰。至我院急诊,测Bp 135/100mmHg,心率120次/min,口唇苍白,双下肢轻度水肿;化验检查:血常规:13.48×109/L↑,中性粒细胞:73%,TNT:0.329ng/ml↑,NT-proBNP:8 549pg/ml↑。肺CT示:心包积液,两侧胸腔积液;右肺尖、右肺中叶肺大疱。予以“头孢曲松、托拉塞米、辅酶Q10、曲美他嗪”治疗后,胸闷、气促未见明显缓解,复查血生化:TNT:0.296ng/ml↑,NT-proBNP:8 985pg/ml↑,心电图未见明显ST-T动态改变。为进一步诊治收住我科。
患病以来患者精神可,胃纳可,睡眠一般,大小便正常,无明显体重下降。
入院查体
T 38.6℃,P 128 次/min,R 21 次/min,BP 110/68mmHg。 精神欠佳,推入病房。颈静脉无怒张,肝颈静脉反流征(-)。心率128次/min,律齐,P2亢进,三尖瓣收缩期杂音,无心包摩擦音。两肺呼吸运动可,呼吸音清晰,未闻及干、湿性啰音。双下肢远端皮温较低,有轻度非凹陷性水肿。生理反射正常,病理反射未引出。
既往史及个人史
2011年曾因右侧手臂刀伤行缝合术。吸烟史10余年(15支/d),有2年饮酒史,未戒烟、戒酒。否认高血压、糖尿病史,否认食物、药物过敏史。
辅助检查
血常规:白细胞:13.48×109/L↑,中性粒细胞:73%,单核细胞:9.3%,淋巴细胞:17.6%↓,余指标正常。
心肌标志物:TNT:0.296ng/ml↑,NT-proBNP:8 985pg/ml↑。
DIC:FDP:4.8μg/ml,PT:14.8s↑,FIB:8.4g/L↑,D-二聚体:1.6FEUmg/L↑,INR:1.26↑,APTT;36.4s↑,TT:16.6s。
肝肾功能电解质:血钾:5.3mmol/L↑,血钠:134mmol/L↓,血氯:97mmol/L↓,ALT:42U/L,AST:47U/L↑,GGT:146U/L↑,余未见明显异常。
动脉血气分析(吸氧 6L/min):pH:7.466,PaO2:81.5mmHg,PaCO2:38.1mmHg,SaO2:96.4%,PO2(A-a):25.6mmHg。
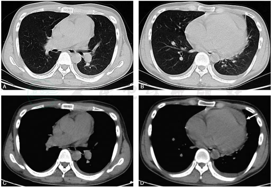
胸部CT平扫:冠脉钙化,心包积液,两侧胸腔积液(图1)。
图1 患者胸部CT扫描示:双侧肺野清晰(A、B);纵隔窗示肺动脉主干增宽伴双侧胸腔少量积液(C);心胸比例显著增大,右房和右室显著增大,心包少量积液(白箭),左房缩小,左室受压(D)
引自:主编:.呼吸与危重症医学疑难与危重病例精选.第1版.ISBN:978-7-117-30147-3
ECG:窦性心动过速,ST-T波改变:Ⅱ、Ⅲ、aVF ST段下垂型压低0.05mV,Ⅱ、Ⅲ、aVF V3~V6T波倒置。
初步诊断
胸闷待查:急性肺栓塞?肺动脉高压?
问题1:患者胸闷、呼吸困难的原因是什么?
患者本次就诊的主要症状为胸闷、气短和呼吸困难,血气分析提示PO2(A-a)显著升高,PaO2下降,与患者症状相符。临床可以导致呼吸困难的常见病因为肺实质和肺间质病变,胸腔和心包积液,心功能不全和肺栓塞与肺动脉高压等。已有胸部CT检查未发现明确的肺实质与肺间质病变,少量的胸腔与心包积液不足以引起胸闷、气短症状。由于胸部CT提示右心系统扩大,肺动脉主干增宽;结合查体发现P2亢进,三尖瓣收缩期杂音,综合分析考虑患者急性肺栓塞和肺动脉高压导致胸闷、气短的可能性较大。为明确诊断进一步做以下检查:
心脏超声(床旁,2018-02-03):中度三尖瓣反流,估测肺动脉收缩压60mmHg,肺动脉增宽,右房增大;未发现瓣膜异常赘生物与近心端血栓。
肺动脉CTA:肺动脉主干显著增宽,右心系统扩大,双侧肺动脉未见明显充盈缺损;双侧胸腔积液较前增加,左侧中-大量胸腔积液;心包积液较前增加(图2)。
图2 肺动脉CTA示:肺动脉主干显著增宽,双侧胸腔积液,左侧中-大量胸腔积液(A);右房和右室显著增大,左房、左室显著受压,室间隔左偏,大量心包积液,双肺下叶受压膨胀不全,以左肺为著(B);肺动脉血管三维重建未见明显充盈缺损,肺动脉近端血管增宽,远端血管骤细且稀疏(C)
引自:主编:.呼吸与危重症医学疑难与危重病例精选.第1版.ISBN:978-7-117-30147-3
心脏超声(2018-02-07):中度三尖瓣反流,重度肺动脉高压(估测收缩压78mmHg),伴右房增大(60mm×48mm),肺动脉增宽,中等量心包积液;左心EF 72%。因此,胸闷应考虑重度肺动脉高压合并右心功能不全所导致。
问题2:患者肺动脉高压的病因及分类诊断如何?
患者系青年男性,既往身体健康。本次以急性发热起病,伴有心功能不全,入院完善相关检查肺动脉高压诊断明确,根据2015年ESC/ERS肺动脉高压指南进行肺高压的病因筛查。结合病史及辅助检查分析如下:①患者无左心相关性疾病史,心超也无提示,故第二大类肺动脉高压可以排除。②患者无慢性阻塞性肺病及其他低氧相关性疾病,故第三大类肺动脉高压可以排除。③患者肺动脉CTA未见肺动脉充盈缺损,也没有慢性肺栓塞的病史,故第四大类肺动脉高压也可以排除。④患者无血液系统疾病,系统性疾病,代谢性疾病等,故第五大类肺动脉高压暂不考虑。⑤患者无先天性心脏病,无特殊药物和毒素接触史,无血吸虫病史,无门脉高压病史,HIV检查阴性。结缔组织病相关检查发现有关节症状及相邻部位的皮肤改变,实验室检查抗核抗体:阳性,滴度:1∶10 000,核型:颗粒型;nRNP/Sm:阳性+++;考虑结缔组织病导致的第一大类肺动脉高压。经风湿科会诊后考虑混合结缔组织病(MCTD)。
问题3:MCDT相关性肺动脉高压(PAH)如何治疗?
MCDT-PAH治疗目的是最大限度延缓疾病进展,改善患者预后。治疗主要分为两个部分:
1.结缔组织病相关性肺动脉高压
WHO肺动脉高压功能分级Ⅳ级
2.混合结缔组织病(MCTD)
患者具体用药方案如下:
1.氧疗 维持SpO2在90%以上;
2.液体管理 螺内酯/氢氯噻嗪口服利尿,维持液体100~200ml的负平衡;
3.强心治疗 左西孟旦(12.5mg)微量泵24小时输注,序贯口服地高辛;
4.扩肺血管 曲前列尼尔注射液微泵皮下注射,2.5ng/(kg·min)起始剂量,每12小时爬坡 2.5ng/(kg·min),直至 30ng/(kg·min)维持剂量;
5.甲泼尼松龙 40mg,每12小时一次,静脉滴注;
6.利伐沙班 15mg/次,2 次/d,抗凝;
7.奥美拉唑护胃,极化液、辅酶Q10营养心肌等治疗。
治疗5天后,患者胸闷、气短症状明显缓解,无明显胸痛。复查肌钙蛋白T:0.121ng/ml↑,NT-pro BNP:521.5pg/ml↑,较前明显下降。准予出院。院外治疗将甲泼尼松龙改为口服,其他用药方案基本维持不变。
1.MCDT相关治疗
(1)诱导缓解治疗
大剂量糖皮质激素冲击治疗,快速诱导缓解,必要时可选用免疫抑制剂如:环磷酰胺(CTX)、氨甲蝶呤(MTX)、硫唑嘌呤(AZA)以及吗替麦考酚酯(MMF)以及羟氯喹等药物。
(2)维持缓解治疗
小剂量糖皮质激素治疗,单用效果欠佳时,可选用上述免疫抑制剂药物,根据病情稳定情况调整药物用量。
2.PAH相关治疗
(1)一般治疗
避免PAH加重诱因,适当休息、吸氧、强心、利尿、抗凝等治疗。
(2)扩肺血管靶向治疗
前列环素类似物,如曲前列尼尔、伊洛前列素、贝前列素钠等;内皮素受体拮抗剂,如波生坦、安立生坦等;5-磷酸二酯酶抑制剂,如西地那非、他达拉非等;鸟苷酸环化酶激动剂,如利奥西呱等。
患者1个月后门诊随访,复查血气分析基本恢复正常,TnT:0.06ng/ml↑,ESR:17mm/h,ALT:76U/L,肌酐:54.9μmol/L,D-二聚体:0.08FEUmg/L。复查心超:肺动脉收缩压:34mmHg,轻度二尖瓣反流;肺功能:轻度限制性通气功能障碍,肺弥散功能减退,FEV1:2.62L(占预计值65%)、FVC:3.06L(占预计值 63.4%)、FEV1/FVC:85.78%。 未诉明显胸闷、气急等不适。继续门诊定期随访。
1.年轻患者以胸闷、气短和呼吸困难为主要表现就诊,需要筛查临床常见病因,如肺实质和肺间质病变,胸腔和心包积液,心功能不全和肺栓塞与肺动脉高压等。普通胸部CT检查可发现右心系统扩大,肺动脉主干增宽;结合查体发现P2亢进,三尖瓣收缩期杂音等临床特征,需考虑急性肺栓塞和肺动脉高压的可能性。
2.结缔组织病相关性肺动脉高压(CTD-PAH)在我国肺动脉高压的发病率居第三位,应作为肺动脉高压病因筛查的重点内容。CTD-PAH早发现、早治疗可明显改善患者预后。2015年ESC/ERS指南推荐:硬皮病谱性疾病患者(包括系统性硬化症,混合性结缔组织病或其他以硬皮病为特征表现的结缔组织病)需每年常规进行心脏超声筛查肺动脉高压。结缔组织病患者如果存在毛细血管扩张,抗着丝点抗体阳性,心电图电轴右偏,显著降低的DLCO或FVC以及血尿酸,NT-pro BNP水平增高等,定义为肺动脉高压高危患者,应及早做心脏超声筛查,必要时可做右心导管检查以明确诊断。
3.2015年ESC/ERS指南建议结缔组织病相关性肺动脉高压的治疗原则应与特发性肺动脉高压相同。对于CTD-PAH风险评估高危患者(预计1年死亡率>10%),WHO肺动脉高压功能分级Ⅳ级患者,应在积极治疗原发病基础上,及早静脉或皮下使用前列环素类似物,必要时可初始联合治疗。推荐存在血栓形成倾向的患者依据个体情况口服抗凝药物。
(周代兵 夏敬文 李圣青)
[1]GALIE N,HUMBERT M,VACHIERY J L,et al.2015 ESC/ERS Guidelines for the Diagnosis and Treatment of Pulmonary Hypertension[J].Eur Respir J,2015,46(4):903-975.
[2]SHAHANE A.Pulmonary hypertension in rheumatic diseases:epidemiology and pathogenesis[J].Rheumatol Int,2013,33(7):1665-1667.
[3]OUDIZ R J,SCHILZ R J,BARST R J,et al.Treprostinil,a prostacyclin analogue,in pulmonary arterial hypertension associated with connective tissue disease[J].Chest,2004,126(2):420-427.



