患者男性,45岁,主因“四肢乏力伴饮水呛咳10个月余”于2015年12月入院。患者2015年1月起无明显诱因下出现突发头晕、四肢乏力、行走不稳,后出现口齿不清、饮水呛咳、吞咽困难,久坐后出现胸闷、呼吸困难。2015年2月,患者于外院行腰椎穿刺脑脊液检查提示蛋白升高,肌电图检查正常。予以丙种球蛋白25g/d静滴,共计5天,并予营养神经等治疗,症状好转后出院。2015年11月,患者外院行腰穿脑脊液检查提示蛋白0.62g/L,肌电图提示肌源性损害,低频重复电刺激波幅递减,高频重复电刺激后电位幅度增大超过100%,新斯的明试验(+)。外院胸部CT提示两侧肺门、纵隔多发肿大淋巴结,诊断为“兰伯特-伊顿肌无力综合征”,予以溴比斯的明、泼尼松等药物口服治疗,并建议行纵隔淋巴结活检。患者为进一步求治于我院就诊。
入院查体
T 36.7℃,P 109 次/min,R 20 次/min,BP 133/103mmHg。 轮椅推入病房,神志清楚,精神欠佳,全身浅表淋巴结无明显肿大。口唇无发绀,颈静脉无怒张,双肺呼吸音清晰,未闻及干、湿性啰音。律齐,各瓣膜听诊区未闻及明显杂音;全腹无压痛,无肌紧张及反跳痛。脊柱、四肢无畸形,关节无红肿,无杵状指(趾),双下肢无水肿。肌力减退,双上肢近端肌力4级,远端肌力5级,双下肢近端肌力4-,远端肌力5-,肌张力正常,生理反射正常,病理反射未引出。
既往史及个人史
吸烟20余年,每日半包,戒烟半年。否认饮酒史。
辅助检查
血常规:白细胞:5.14×109/L;红细胞:4.32×1012/L;中性粒细胞:55.8%;血红蛋白:132g/L。
凝血功能:纤维蛋白原定量:2.50g/L,D-二聚体:0.29FEUmg/L。
肝、肾功能及电解质:无明显异常。
心肌酶谱:肌酸激酶:25U/L↓,乳酸脱氢酶:228U/L↑。
初步诊断
1.纵隔阴影待查
2.兰伯特-伊顿肌无力综合征
问题1:患者纵隔阴影性质为何?
患者中年男性,入院前查肺部CT提示两侧肺门、纵隔多发肿大淋巴结,结合既往长期吸烟史,需考虑恶性占位可能,但需要与淋巴结结核、纵隔真菌感染、淋巴瘤和结节病等相鉴别。
入院后查肿瘤标志物:鳞癌相关抗原:0.70ng/ml,癌胚抗原:5.32μg/L,糖类抗原 125:41U/ml↑,糖类抗原 15-3:8.82U/ml,糖类抗原 19-9:19.07U/ml,糖类抗原 72-4:1.42U/ml,细胞角蛋白19片段:4.26ng/ml↑,神经元特异性烯醇酶:56.02ng/ml↑。
血清 T-spot:抗原 A:0,抗原 B:0。
G试验:阴性;自身抗体系列:阴性。
排除禁忌后行常规支气管镜检查:术中见咽喉正常,左右声带活动对称、开闭良好,主气管通畅,隆突增宽,右主支气管黏膜增厚,右上下叶间嵴增宽,右主支气管管腔狭窄,于右主支气管开口处活检送细胞与组织病理。
EBUS检查:纵隔4R、7组淋巴结增大,血供丰富,行EBUS-TBNA活检送细胞与组织病理。
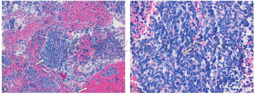
病理报告:见恶性肿瘤细胞,小圆细胞恶性肿瘤,为小细胞癌(图1)。
1 纵隔4R淋巴结穿刺病理(2015-12-13)
A.镜下见大量成团的体积较小的异形细胞,周围见出血及少量淋巴细胞(白箭)(HE,×100);B.高倍镜下见局部结构紊乱,细胞较小,呈燕麦状(白箭),核深染,核仁不清,胞质稀少,呈嗜碱性,符合小细胞癌表现(HE,×400)
引自:主编:.呼吸与危重症医学疑难与危重病例精选.第1版.ISBN:978-7-117-30147-3
问题2:如何解释患者四肢乏力等临床表现?是否与小细胞肺癌相关?
结合患者入院前肌电图提示肌源性损害,低频重复电刺激波幅递减表现,高频重复电刺激后电位幅度增大超过100%,考虑患者罹患小细胞肺癌的副癌综合征之一——兰伯特-伊顿肌无力综合征(LEMS),又称肌无力综合征。这是一种累及神经-肌肉接头突触前膜的自身免疫性疾病。致病的自身抗体直接抑制了神经末梢突触前的压力门控钙通道(VGCC)从而导致了LEMS肌无力症状。临床根据症状、体征、电生理检查和抗体检测诊断LEMS。临床典型的三联征包括近端肌无力、自主神经症状和反射消失。中老年男性肺癌患者亚急性发病,出现肢体近端对称性无力或易疲劳;患肌用力收缩后肌力短暂增强,持续收缩后呈病态疲劳;口干、括约肌功能障碍、肌痛和腱反射减弱。LEMS分为小细胞肺癌相关性LEMS(SCLC-LEMS,占50%~87%)和非肿瘤性LEMS(NT-LEMS,约占13%~50%)两大类,后者多伴有其他自身免疫性疾病。至此,患者诊断明确。
问题3:兰伯特-伊顿肌无力综合征的治疗原则如何?
治疗原则为治疗原发病,针对小细胞肺癌的治疗可以使神经系统症状获得改善。姑息性手术切除肺癌组织,减轻瘤负荷,也可改善肌无力症状。若无合并肿瘤证据,应随访3年以上,定期复查,同时给予泼尼松1mg/(kg·d)口服,硫唑嘌呤2~3mg/(kg·d)口服,症状好转或缓解后泼尼松和硫唑嘌呤应逐渐减量。非肿瘤患者也可采用反复血浆置换、泼尼松与硫唑嘌呤联合应用,取得很好疗效。溴吡斯的明等药物能改善部分患者的无力症状,临床上可尝试用于对症治疗。
1.小细胞肺癌(局限期)
2.副癌综合征 兰伯特-伊顿肌无力综合征
患者系局限期小细胞肺癌,应采用同步放化疗,经反复沟通,患者及家属要求先行化疗。具体治疗方案如下:
1.EP化疗方案
依托铂苷150mg(D1~3)+奈达铂125mg(D1),21天为1个周期。
2.溴吡斯的明
60mg/次,3次/d,口服。
患者于我院完成三周期化疗后复查胸部CT示纵隔、肺部病灶显著缩小,疗效评估为PR,肌无力症状较前明显改善,日常生活可基本自理。后于当地医院继续完成后续治疗。
1.兰伯特-伊顿肌无力综合征是突触前膜Ach释放异常引起的神经-肌肉接头病。约2/3的患者伴发肿瘤,其中80%为小细胞肺癌,在肺癌确诊前后均可出现。因此,诊断兰伯特-伊顿肌无力综合征即意味着潜在肿瘤,尤其小细胞肺癌的可能性很大,需要对此类患者进行全面的肿瘤筛查,争取早诊断、早治疗。
2.兰伯特-伊顿肌无力综合征的诊断主要依靠临床表现和电生理检查。目前认为高频重复电刺激增幅在100%以上对于诊断LEMS具有特异性。
3.兰伯特-伊顿肌无力综合征的治疗应按照是否合并肿瘤而采用不同的治疗原则,明确伴有恶性肿瘤者,应首选有效的抗肿瘤治疗;未发现肿瘤证据者,应随访3年以上,进一步排除肿瘤可能。可采用血浆置换、激素和免疫抑制剂等联合治疗。对于肌无力症状严重者,可采用胆碱酶抑制剂改善症状。
(巨默涵 夏敬文 李圣青)
[1]周磊,赵重波,乔凯,等.Lambert-Eaton综合征(LEMS)20例临床特点分析[J].复旦学报(医学版),2014,41(3):348-351.
[2]SCHOSER B,EYMARD B,DATT J,et al.Lambert-Eaton myasthenic syndrome(LEMS):a rare autoimmune presynaptic disorder often associated with cancer[J].J Neurol,2017,264(9):1854-1863.



