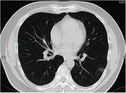
患者男性,42岁,某五星级酒店厨师。主因“咳嗽伴发热1个月”就诊。患者于2018年2月13日无明显诱因出现咳嗽,干咳为主,伴发热,体温最高38℃,无胸闷、胸痛,无咯血气、促等不适。于我院急诊查血白细胞:2.9×109/L,中性粒细胞比例:22%,CRP:正常;行胸部CT扫描(2018-02-14)示:左肺下叶多发斑片、结节影(图1A)。予“左氧氟沙星联合头孢曲松”静滴抗感染治疗,1天后体温渐恢复正常,改为“头孢克洛”口服抗感染治疗,期间咳嗽无明显缓解。门诊复查血常规示白细胞在正常范围,胸部CT扫描(2018-03-14)示:“左肺下叶多发斑片影,病灶较前进展”(图1B)。现为进一步诊治收住我科。患病以来精神好,胃纳可,睡眠好,大小便正常,体重无明显下降。
入院查体
T 36.7℃,P 76 次/min,R 16 次/min,BP 163/103mmHg,MEWS 1 分,身高178cm,体重95kg。神志清楚,发育正常,营养好,步入病房。全身皮肤、黏膜未见异常,全身浅表淋巴结无肿大。头颅无畸形,眼睑正常,睑结膜未见异常,巩膜无黄染。双侧瞳孔等大、等圆,对光反射灵敏。耳郭无畸形,外耳道无异常分泌物,双侧乳突无压痛。外鼻无畸形,鼻通气良好,鼻中隔无偏曲,鼻翼无扇动,双侧鼻窦区无压痛。口唇无发绀。双侧腮腺区无肿大。颈软,无抵抗,颈静脉无怒张。气管居中,甲状腺无肿大。胸廓对称无畸形,胸骨无压痛,双肺语颤无增强或减弱,双侧呼吸动度对称;双肺叩诊呈清音;双肺呼吸音清晰,未闻及干、湿性啰音。心前区无隆起;心界无扩大;心率76次/min,律齐,各瓣膜听诊区均未闻及病理性杂音。腹平软,全腹无压痛及反跳痛,肝脾肋下未触及。脊柱、四肢无畸形,关节无红肿,无杵状指(趾),双下肢无水肿。肌力正常,肌张力正常,生理反射正常,病理反射未引出。
图1 胸部CT平扫:左肺下叶基底段多发斑片、结节影伴晕征(A);门诊抗生素治疗1个月后复查胸部CT示左肺下叶病灶较前明显进展(B)
引自:主编:.呼吸与危重症医学疑难与危重病例精选.第1版.ISBN:978-7-117-30147-3
既往史与个人史
35年前行“扁桃体手术”。否认食物、药物过敏史;否认肝炎、结核史;否认中毒、输血史;否认吸烟、酗酒史。否认生禽接触史;否认粉尘接触史。否认家族遗传性疾病史。否认其他不良嗜好。
辅助检查
胸部CT扫描(见图1)。
初步诊断
肺部阴影待查:感染?
问题1:患者肺部阴影为何种感染?
综合分析患者病情有如下特点:①中年男性,急性起病;以咳嗽伴发热1个月就诊;②化验血象、CRP均正常;③胸部CT示左肺下叶斑片、结节影伴晕征;④抗生素治疗后复查胸部CT提示左肺下叶病灶较前有进展。综合上述特点,考虑感染可能性大。为明确病原学诊断,实现目标治疗,我们完善了以下检查:
辅助检查
血常规:白细胞:5.77×109/L,红细胞:4.51×1012/L,血小板计数:259×109/L,血红蛋白:142g/L,中性粒细胞、淋巴细胞、单核细胞和嗜酸性粒细胞比例正常。
尿、粪常规:未见异常。
肝、肾功、电解质:正常。
血清肿瘤标记物:均阴性。
自身抗体系列:阴性。
血总 IgE:2 448ng/ml↑。
C 反应蛋白:<3.13mg/L,血沉:6mm/h。
G试验:阴性。
血乳胶凝集试验:阴性。
T-SPOT:阳性(A 孔12;B 孔16)。
呼吸道病原体IgM抗体九联检测:嗜肺军团菌、肺炎支原体、Q热立克次体、肺炎衣原体、腺病毒、呼吸道合胞病毒、甲型流感病毒、乙型流感病毒、副流感1/2/3型均阴性。
HIV、RPR检测:均阴性。
综合分析上述检查结果,提示患者非普通细菌感染;由于患者血T-SPOT阳性,总IgE显著升高,结核和/或真菌感染可能性较大,需行支气管镜检查进一步明确诊断。
电子支气管镜检查(2018-03-21):镜下见各管腔通畅,未见新生物和分泌物。于左肺下叶外侧基底段行肺泡灌洗,灌洗液送检病原学检查。
支气管肺泡灌洗液病原学检查:直接涂片可见新型隐球菌,细菌及抗酸杆菌阴性。
问题2:患者可确诊为肺新型隐球菌病吗?
患者病情特点总结:①以咳嗽伴发热急性起病;②胸部CT示左下肺多发实性结节影伴晕征,1个月内复查病灶有进展;③乳胶凝集试验阴性,但是肺泡灌洗液中查见新型隐球菌,依据病原学为确诊金标准的原则,患者最终诊断肺新型隐球菌病。进一步追问病史,患者系五星级酒店厨师,经常接触家禽和鸟类等,有可疑家禽、鸟类粪便接触史。新型隐球菌(pulmonary cryptococcosis)是一种在世界范围内广泛分布的有荚膜包绕的酵母菌。感染初期,多数病人可无症状。少数病人出现低热、轻咳,咳黏液痰。X线表现为多形性,轻者仅表现为双肺下部纹理增加或孤立的结节状阴影,偶有空洞形成。此例患者临床与影像学表现符合肺隐球菌病。
问题3:患者血清乳胶凝集试验为何出现假阴性?
隐球菌病是由致病性新型隐球菌引起的一种全身性感染。血清和脑脊液中隐球菌荚膜抗原的检测具有重要的诊断作用。隐球菌抗原检测(cryptococcal antigen detection,CAD)试验是临床上快速诊断隐球菌病所依赖的高度敏感和特异性的检测方法,血清CAD特异性与敏感性分别为97.6%和98.1%。常见假阳性的原因是孢子虫种感染的交叉反应。常见假阴性的原因有:①致病原为产荚膜能力降低的稳定突变株;②不同脏器定植传代中隐球菌包膜结构发生了变化;③感染早期,隐球菌荚膜抗原局限于肺组织,尚未入血,导致血清中荚膜抗原滴度低,难以测出。患者发病不足1个月,病变局限于肺部,故而导致患者血清乳胶凝集试验假阴性。
肺新型隐球菌病
氟康唑400mg/d,口服。
患者口服氟康唑1个月后,复查胸部CT(2018-04-26,图2)示原有病灶大部分吸收。患者症状明显改善。
图2 氟康唑治疗1个月后复查胸部CT示:左肺下叶外侧基底段病灶较前明显吸收
引自:主编:.呼吸与危重症医学疑难与危重病例精选.第1版.ISBN:978-7-117-30147-3
1.肺隐球菌病的临床表现
隐球菌病常见于免疫功能低下患者,也可见于免疫功能正常的个体。有报道10%~40%的病例见于免疫功能正常患者。肺隐球菌感染的临床表现多种多样,从无症状的结节到严重的急性呼吸窘迫综合征(ARDS)。主要表现为咳嗽、咳少量黏液痰或血痰、伴发热,部分患者可出现胸痛、咯血、乏力、盗汗等。临床亦常见慢性隐匿起病的无症状患者,仅在体检时胸部X线检查发现,多见于免疫功能正常者。急性重症多见于免疫抑制尤其是AIDS患者,临床表现为严重急性下呼吸道感染,有高热、呼吸困难等症状,伴有明显的低氧血症,可发展为急性呼吸衰竭,如不及时诊断和治疗,病死率较高。肺是隐球菌感染的主要门户,HIV阴性的免疫抑制患者发展成播散性感染的危险性很高,因此所有发生于免疫抑制患者的隐球菌感染均需治疗。HIV阴性的免疫正常的患者中,部分痰培养阳性的患者未经治疗也可自愈。
2.肺隐球菌病的诊断
确诊主要依靠组织病理检查和病灶内脓液穿刺标本的病原学涂片和培养。通常取自无菌部位如经皮肺组织穿刺活检标本等真菌涂片、培养阳性,有确诊意义;取自痰、咽拭子或支气管肺泡灌洗液的标本涂片或培养阳性,以及血清隐球菌荚膜多糖抗原乳胶凝集试验阳性有临床疑似诊断价值。肺隐球菌感染患者胸部X线及CT表现多样,通常分为单发或多发结节块状影、片状浸润影和弥漫混合病变等三种类型。临床常需与肺癌和肺转移癌相鉴别。
(龚益 张静 李圣青)
[1]WILSON D A,SHOLTIS M,PARSHALL S,et al.False-positive cryptococcal antigen test associated with use of BBL Port-a-Cul transport vials[J].J Clin Microbiol,2011,49(2):702-703.
[2]HUANG H R,FAN L C,RAJBANSHI B,et al.Evaluation of a new cryptococcal antigen lateral flow immunoassay in serum,cerebrospinal fluid and urine for the diagnosis of cryptococcosis:a meta-analysis and systematic review[J].PLoS One,2015,10(5):e127117.
[3]JACOBSON E S,AYERS D J,HARRELL A C,et al.Genetic and phenotypic characterization of capsule mutants of Cryptococcus neoformans[J].J Bacteriol,1982,150(3):1292-1296.
[4]MCFADDEN D C,FRIES B C,WANG F,et al.Capsule structural heterogeneity and antigenic variation in Cryptococcus neoformans[J].Eukaryot Cell,2007,6(8):1464-1473.
[5]OPOTA O,DESGRAZ B,KENFAK A,et al.Cryptococcus neoformans meningitis with negative cryptococcal antigen:Evaluation of a new immunochromatographic detection assay[J].New Microbes New Infect,2015,4:1-4.
[6]SAROSI G A.Cryptococcal lung disease in patients without HIV infection[J].Chest,1999,115(3):610-611.
[7]《中国真菌学杂志》编辑委员会.隐球菌感染诊治专家共识[J].中国真菌学杂志,2010,5(2):65-68.



