(一)一般资料
男性,27岁,湖南怀化人,于2018年8月入住我院呼吸科。
(二)主诉
发现淋巴结肿大一年,气促半年。
(三)现病史
2017年3月患者发现双侧颈部和锁骨上淋巴结肿大,伴胸痛,疼痛部位不固定,多为侧胸部疼痛,偶有前胸部疼痛,为阵发性针刺样,每次持续数十秒至一分钟自行缓解。无咳嗽、咳痰,无畏寒、发热,无盗汗,无呼吸困难等不适。2017年3月30日患者到当地医院就诊,体格检查发现双侧颈前、颈后、锁骨上多个肿大淋巴结,较大者如蚕豆大小;胸部CT示两上肺结节及斑片影,纵隔及双侧肺门淋巴结肿大;T-SPOT阴性;锁骨上淋巴结针吸活检病理示肉芽肿性炎;支气管镜检查示右中间支气管和右中叶支气管黏膜凹凸不平,考虑支气管内膜结核可能。对症治疗后好转出院,具体用药不详,未予抗结核治疗,出院后患者时有胸部隐痛感。2018年2月患者出现胸闷、气促感,活动后气促明显,步行800~1000m及上楼梯至2~3楼即感气促不适。伴口干及大量饮水,24h尿量8000~9000ml。偶有头晕,无头痛,无畏寒、发热,无盗汗,无咳嗽、咳痰等不适。2018年7月31日再次到当地医院就诊,行胸部CT示,与2017年3月对比,双肺结节及斑片影较前明显增多,但纵隔和双肺门淋巴结较前缩小。
(四)既往史
无特殊病史,否认结核病及密切接触史,无药物过敏史。
(五)个人史
吸烟10余年,约7支/d。从事挖掘机工作4年,有粉尘接触史。
(六)婚育史、家族史无特殊
(一)体格检查
体 温36.6℃,心率108次/min,呼吸20次/min,血压132/82mmHg,SPO2 94%,双侧颈部、锁骨上凹、颌下、颏下、耳后及腋窝可触及多个肿大淋巴结,约黄豆大小(较2017年缩小),与周围组织无粘连,活动度可,无压痛。双肺呼吸运动正常,触诊语颤对称,双肺叩诊清音,听诊双肺呼吸音粗,未闻及干湿性啰音,无胸膜摩擦音。心腹、神经系统查体均未见异常。双下肢无水肿,无杵状指。
(二)实验室检查
1.结核相关检查
2017年3月T-SPOT 5.8pg/ml。
2017年3月结核抗体阴性。
2017年3月结核分枝杆菌TB-DNA定量<5.00E+0.2IU/ml。
2.支气管镜检查
镜下诊断考虑支气管内膜结核。
BALF病理刷片见散在及成簇呼吸性上皮细胞,另见少数细胞排列密集,形态欠清。
BALF细胞分类粒细胞群18%,淋巴细胞群20%,上皮细胞12%,肺巨噬细胞50%。
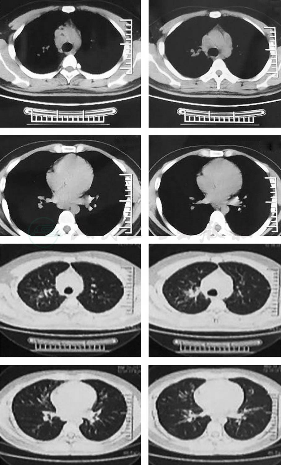
胸部CT(2017年3月)两上肺结节及斑片影,纵隔及双侧肺门淋巴结肿大(图1)。
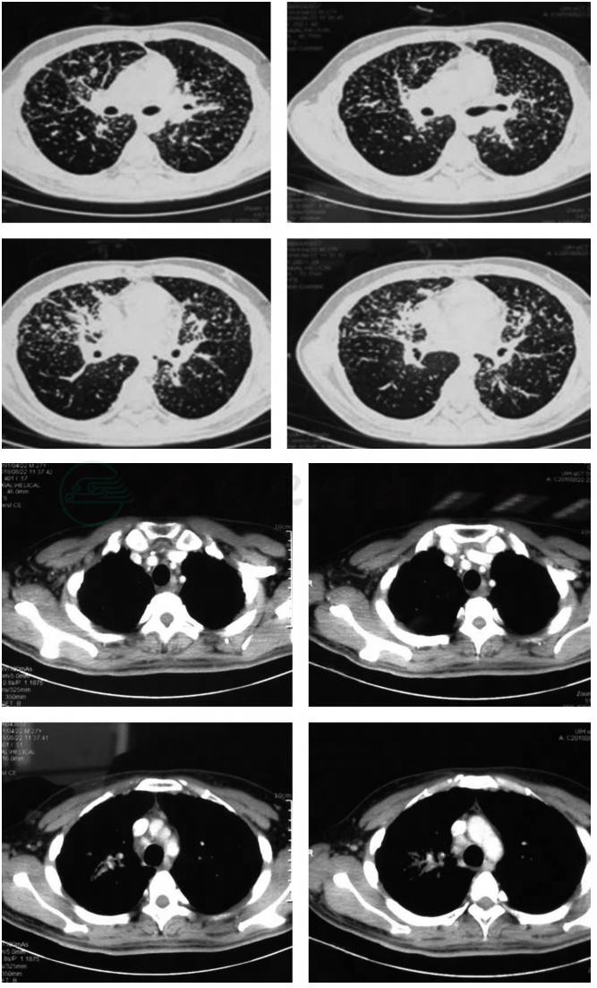
肺部CT(2018年8月)双肺结节及斑片影较前明显增多,但纵隔和双肺门淋巴结较前缩小(图2)。
图1 肺部CT 2017年3月
图2 肺部CT 2018年8月
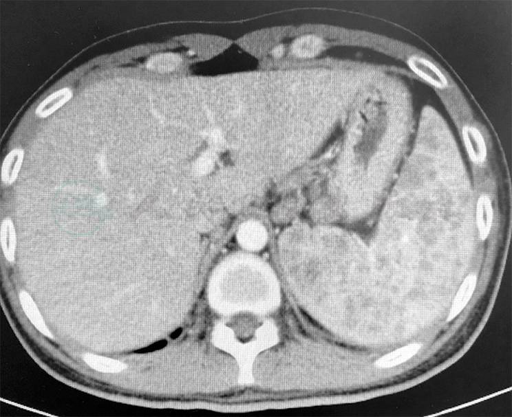
腹部CT腹膜后淋巴结肿大,脾脏多发结节病变(图3)。
图3 腹部CT示脾脏多发结节病变
(三)入院后进一步检查
血常规:WBC 5.6×109/L,RBC 5.22×1012/L,Hb 162g/L,PLT 232×109/L,中性粒细胞计数3.6×109/L,中性粒细胞百分比64.8%,淋巴细胞百分比17.9%。
尿常规:正常,尿比重1.005;大便常规:正常,OB阴性。
肝功能,肾功能,心肌酶,电解质均正常。凝血常规及D-二聚体均正常。
输血前四项均阴性,肺癌五项均正常。
内分泌相关检查:血糖及HbA1c均正常,ACTH 17.22pg/ml,ALD 158.03pg/ml,肾素44.99pg/ml
血管紧张素Ⅱ84.35ng/L,ACE 258IU/L ↑,皮质醇 20.34μg/dl。
感染相关指标:ESR 44mm/h↑,CRP 1.47mg/L,PCT<0.005ng/ml
BALF感染病原高通量基因检测NGS报告:未见真菌、病毒、结核分枝杆菌、寄生虫、支原体及衣原体和致病菌。
结核相关指标:PPD实验阴性,结核抗体IgM、IgG均阴性,T-SPOT阴性。
风湿免疫全套均正常。ANA谱全部阴性。
其他检查:G试验<37.5pg/ml,GM试验0.16,24h尿钙18.16mmol/24h↑,血钙 2.60mmol/L(2.00~2.60mmol/L)
尿崩症相关检查:①禁水前尿比重1.005,尿渗透压64mOsm/kg↓;②禁水后尿比重1.010,尿渗透压148mOsm/kg↓。
血 气 分 析:pH 7.443,PCO2 32.1mmHg,PO2 83mmHg,BE -2mmol/L,HCO3-21.9mmol/L,SPO2 97%,FiO2 21%。
支气管镜检查:右主支气管、中间支气管,中下叶、上叶前支黏膜呈结节样改变,左下叶支气管黏膜凹凸不平(图4)。
图4 支气管镜
BALF抗酸染色阴性;BALF GM试验0.54阴性;BALF涂片未见细菌培养,正常咽喉杂菌,无真菌生长。
心脏彩超:二、三尖瓣及肺动脉瓣轻度反流。
浅表淋巴结彩超:双侧颈部、锁骨上窝、锁骨下、腋窝、腹股沟多发淋巴结肿大。
支气管镜活检病理:(右中间、右中下叶)肉芽肿性炎,抗酸染色(-),PAS(-)(图5)。
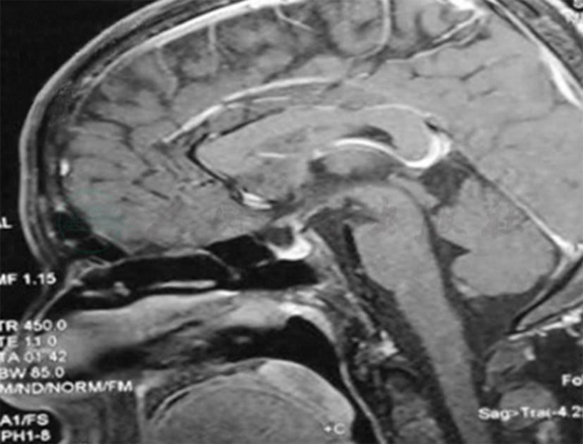
头部鞍区磁共振增强:垂体柄局部结节样增粗(图6)。
图5 支气管镜活检病理
图6 鞍区磁共振
(一)临床特点回顾
1.症状
气促,多饮多尿,头晕半年。
2.体征
颈部和锁骨上淋巴结肿大。
3.辅助检查
①肺部CT:双侧肺门及纵隔淋巴结肿大,伴肺内结节状,片状阴影;②支气管镜黏膜活检:非干酪坏死性肉芽肿性炎症,抗酸染色阴性;③血清ACE活性增高;④T-SPOT和PPD皮试阴性;⑤BALF中淋巴细胞>10%;⑥24h尿钙18.16mmol/24h↑;⑦脾脏多发结节和垂体结节增粗。
(二)诊断分析
总结该患者的病例特点,青年男性,慢性全身浅表及纵隔淋巴结肿大17个月,肺内多发小结节,活检为肉芽肿性炎症,脾脏多发结节,颅内垂体病变,考虑为肉芽肿性病变。本例以慢性肉芽肿性炎症为切入点进行分析,见诊断分析线路图(图7)。
图7 诊断分析线路图
1.感染性疾病
(1)结核和非结核分枝杆菌
支持点:可以表现为慢性过程,肉芽肿性炎症,肺部CT可以为多形性改变,粟粒样结节和支气管镜可以出现肉芽肿改变,累及淋巴结、脾脏和颅脑,导致相应部位的结核。
不支持点:患者无结核中毒症状,如长程午后低热、盗汗、消瘦、乏力。实验室检查抗酸染色(-),PPD(-)T-SPOT(-),病理活检示非干酪坏死性肉芽肿。病变演变,未经抗结核治疗,患者淋巴结明显缩小,而肺内病变明显增多,不符合结核或非结核分枝杆菌的特点,可以排除。
(2)细菌
一般的普通细菌不会形成慢性的肉芽肿性炎症,但是有两种细菌除外,即奴卡菌和放线菌,这两种细菌表现极为相似,均为革兰氏染色阳性菌,并且可以导致肺部慢性化脓性感染和淋巴结的化脓性肉芽肿性炎症。
肺奴卡菌病是星形奴卡菌引起的肺部慢性感染。奴卡菌是革兰氏染色阳性、需氧性丝状细菌,其形态与以色列放线菌相似,但菌丝末端不呈现棍棒状膨胀,抗酸染色阳性,菌丝可缠绕成团,形成类似放线菌的颗粒。奴卡菌寄生于土壤和腐物中。经呼吸道或皮肤伤口侵入人体,引起局部感染,并可经血循环播散到淋巴结、脑、肾、脾等器官,形成化脓性肉芽肿性炎。临床表现与肺结核相类似,起病缓慢,有咳嗽、发热、乏力、盗汗、消瘦、胸痛、脓痰、咯血等症状,胸部X线检查显示结节状或片状炎性病变,可形成多发性小空洞,常伴有肺门淋巴结肿大,或并发胸膜炎、胸腔积液。磺胺类药物如磺胺嘧啶、磺胺甲基异恶唑和甲氧苄啶合用等是治疗奴卡菌病的首选药物。
放线菌是一类主要呈菌丝状生长和以孢子繁殖的陆生性较强大的原核生物。因在固体培养基上呈辐射状生长而得名,大多数有发达的分枝菌丝。由放线菌引起的慢性化脓性肉芽肿性疾病。病变好发于面颈部及胸腹部,以向周围组织扩展形成瘘管并排出带有硫磺样颗粒的脓液为特征。大剂量、长疗程的青霉素治疗对大多数病例有效,亦可选用四环素、红霉素、林可霉素及头孢菌素类抗生素;同时还需外科引流脓液及手术切除瘘管。此病无传染性,注意口腔卫生可预防本病。
不支持点:该患者虽然有肺部,淋巴结,垂体和脾脏的肉芽肿病变,但是肉芽肿内并无化脓性改变,临床症状无感染表现,如发热,咳脓痰,咯血等,体格检查无湿性啰音,实验室检查感染指标均在正常范围,肺部CT并无大片实变,空洞,液平等明确的化脓性感染征象,多次细菌培养阴性,故可以排除。
(3)真菌
真菌的慢性感染也会形成肉芽肿性炎症,感染人类的真菌中以曲霉菌,隐球菌,马尔尼菲蓝状菌,组织胞浆菌多见。
曲霉菌一般很少形成全身的播散,导致淋巴结、颅内和脾脏的病变,实验室检查GM试验阴性,真菌培养阴性,可以排除。
隐球菌可以感染宿主正常的患者,也可以全身播散。隐球菌肺炎为新型隐球菌感染引起的亚急性或慢性内脏真菌病。主要侵犯肺和中枢神经系统,但也可以侵犯骨骼、皮肤、黏膜和其他脏器。隐球菌肺炎是由隐球菌属中的新生隐球菌引起的一种亚急性或慢性深部真菌病。可侵犯人体的肺部,但以侵犯中枢神经系统最常见,约占隐球菌感染的80%。青壮年多见,男多于女。肺部隐球菌感染的初期,多数患者可无症状。少数患者出现低热、轻咳,咳黏液痰,偶有胸膜炎症状。X线表现为多形性,轻者仅表现为双肺下部纹理增加或孤立的结节状阴影,偶有空洞形成。急性间质性炎症可表现为弥漫性浸润或粟粒样病灶。需与肺结核、原发或转移性肺癌鉴别。该患者无感染表现,以上述不符可以排除。
马尔尼菲蓝状菌主要是侵犯单核吞噬细胞系统,即肺、肝、肠淋巴组织、淋巴结、脾、骨髓、肾和扁桃体等,以肺及肝最为严重。如果宿主免疫正常,则病变局限在肺部,由于病原主要由呼吸道入侵,因此原发症状主要在肺,临床表现似肺结核,极易误诊。也可无症状或者有症状而被潜在疾病掩盖。如果患者免疫缺陷,则可以全身播散,引起急性症状,主要累及肺、肝、浅淋巴结、扁桃体、皮肤、骨关节、消化道和脾等器官。其中尤以肺和肝受累最多且严重。可有典型症状,突然发病,高热,为不规则发热,持续时间较长。呼吸系统最常受累,表现为咳嗽、咳痰,咳血、胸痛,气紧,听诊呼吸音减弱,可闻及湿啰音,X线片肺部炎症改变。皮肤损害是播散型马尔尼菲青霉病的临床特征,常成为播散型病例首先引起注意的体征。隆起于皮肤的丘疹中央发生坏死,坏死处凹陷呈脐窝状。皮损中容易查到马尔尼菲青霉,对临床诊断很有帮助。以上表现与该患者不符,可以排除。
2.非感染性疾病
(1)异物性
指由异物(外科缝线、粉尘、滑石粉、木刺等)引起的肉芽肿。病变以异物为中心,周围有多量巨噬细胞、异物巨细胞、成纤维细胞和淋巴细胞等包绕,形成结节状病灶。该患者虽然有开挖掘机的个人史,但是这种粉尘一般会引起尘肺,而患者的CT表现不支持尘肺,可以排除。
(2)过敏性肺炎
本病也称外源性过敏性肺泡炎,是易感人群反复吸入各种具有抗原性的有机粉尘、低分子量化学物质,引起的一组弥漫性间质性肉芽肿性肺病。发病机制主要涉及Ⅲ型和Ⅳ型变态反应,组织学特征为肺泡炎和慢性间质性肺炎,伴干酪性肉芽肿,有时累及终末细支气管。
本病诊断要点:有吸入有机粉尘病史;发热,咳嗽,呼吸困难,两肺底部闻及捻发音;胸部X线呈磨玻璃样和微细颗粒状阴影,弥漫性网织或小结节影。但本病不累及肺外器官和淋巴结,该患者并没有有机粉尘吸入病史,可以排除。
(3)肉芽肿性多血管炎
亦称韦格纳肉芽肿,是一种坏死性肉芽肿的病变伴有血管炎,典型的表现为上呼吸道和下呼吸道受累,全身坏死性血管炎和肾小球肾炎的三联征。该患者没有上呼吸道和肾脏的病变,血管炎检查均阴性,可以排除。
(4)结节病
为病因不明的系统性肉芽肿性疾病,任何器官均可以受累,以肺脏和胸内淋巴结受累最常见。病理为非干酪样坏死性肉芽肿,多见于中青年人,女性高于男性。临床表现与受累的脏器有关,临床以隐匿的亚急性或慢性起病常见。结节病的分期如下(表1)。
表1 肺结节病的X线表现与分期
分期 胸部X线检查所见 占结节病患者的比率 |
0期 胸部X线检查无异常所见(可有肺外异常发现) 5%~10% Ⅰ期 双侧肺门和/或纵隔淋巴结肿大,而肺部无异常 约50% Ⅱ期 双侧肺门淋巴结肿大伴随实质浸润 约25% Ⅲ期 肺实质浸润或肺纤维化,无肺门淋巴结肿大 约15% Ⅳ期 广泛肺纤维化 约12% |
结节病的诊断标准:临床及影像学表现符合结节病,病理为非干酪样坏死上皮细胞肉芽肿,除外其他肉芽肿性疾病。次要条件为FDG-PET-CT符合结节病,血清ACE升高,阳性率50%~80%,BALF淋巴细胞增多(铍中毒、结核、淋巴瘤、过敏性肺泡炎)、CD4/CD8增高,PPD皮试阴性,高钙血症或尿钙增多。该患者符合诊断标准,可以确诊。
结节病的治疗原则:大部分患者可以自行缓解,因此病情稳定、无症状的患者不需要治疗。
下列情况需要进行治疗:累及眼、神经、肾脏或心脏的结节病;有症状的Ⅱ期(包括Ⅱ期)以上的结节病;肺功能进行性下降者;恶性高钙血症等。
全身糖皮质激素应用是治疗结节病的首选方法。最初剂量为30~60mg/d(0.5~1mg/kg),2个月内逐渐减少至20mg/d,再于一个月内减少至15mg/d,并以此作为维持剂量治疗6~9个月。以后2~4周,减少2.5mg/d,总疗程一年或更长。
该患者服用泼尼松2个月后复查,肺内病灶明显吸收。
(一)最后诊断
结节病
(二)诊断依据
1.症状
气促,多饮多尿,头晕半年。
2.体征
颈部和锁骨上淋巴结肿大。
3.辅助检查
①肺部CT:双侧肺门及纵隔淋巴结肿大,伴肺内结节状、片状阴影;②支气管镜黏膜活检:非干酪坏死性肉芽肿性炎症,抗酸染色阴性;③血清ACE活性增高;④T-SPOT和PPD皮试阴性;⑤BALF中淋巴细胞>10%;⑥24h尿钙18.16mmol/24h↑;⑦脾脏多发结节和垂体结节增粗。
放射科:临床及影像学表现符合结节病,Ⅰ期和Ⅱ期结节病可以有对称性肺门纵隔淋巴结肿大,Ⅲ期结节病肺内出现结节和纤维化病变,纵隔淋巴结消失,Ⅳ期结节病出现蜂窝肺,并且结节病非常容易累及颅内垂体,导致尿崩症,该患者完全符合。
内分泌科:患者颅内垂体部位可以看到结节状增粗,临床表现为尿量明显增多,9 000ml/24h,表现为尿崩症,禁水试验支持尿崩症诊断,虽然还有一些检查没有完善,但是结合头颅影像学特征,考虑垂体增粗受累,与肺内病变为同一种疾病导致,用一元论解释,考虑结节病。
呼吸科:结节病为病因不明的系统性肉芽肿性疾病,任何器官均可以受累,结节病的诊断属于排他诊断,需要全面分析,排除可能引起肉芽肿的一系列疾病,如细菌、真菌、分枝杆菌、寄生虫感染、异物肉芽组织、过敏性非肺炎和肉芽肿性多血管炎也需要重点检查,需要注意的是能够引起垂体性尿崩症的非感染性疾病只有两个,一个是朗格罕细胞组织细胞增生症,另一个便是结节病。所以,根据患者特有的肺部和头颅影像学特征,结合病理学特点,最终可以做出正确的诊断。
1.结节病是一种以隐匿的亚急性或慢性起病的系统性肉芽肿性疾病,任何器官均可以受累,以肺脏和胸内淋巴结受累最常见,病理为非干酪样坏死性肉芽肿。
2.针对肉芽肿性疾病,应该想到能引起这种病理变化的所有的疾病,结合患者的症状、体征、实验室检查全面分析,逐一排除,做出正确的诊断。
(李 瑛)



