患儿,男,2岁1个月。
主诉:反复咳嗽伴皮疹6个月,多饮多尿20余天。
现病史:6个月前患儿无明显诱因出现咳嗽,以刺激性干咳为主,无痰,无喘息,夜间咳嗽明显,运动后加重,曾于当地医院行胸片提示肺纹理增多,间断口服孟鲁司特钠及中药(具体成分不详)治疗3个月,咳嗽时轻时重,同时出现周身散在皮疹,分布在躯干部及头皮部,表现为大小不一、形状不规则红色斑丘疹,伴有少许渗出,于当地医院就诊,化验过敏原,蛋清蛋黄、牛奶高度阳性,考虑为湿疹,给予湿疹膏外用,皮疹可消退,但反复再现。20天前出现饮水增多,白天及夜里饮水均增多,日饮水量约2600ml,烦渴难忍。同时出现排尿次数增多,每天小便20余次,每天尿量约2600ml,夜里小便次数不详,家属未予特殊处置,7天前于笔者医院小儿内分泌病房住院,确诊为“中枢性尿崩症”,住院后行胸片常规检查,提示间质性肺部疾病,遂转入笔者科室进一步明确诊治。
患儿精神状态可,偶有干咳,无恶心、呕吐,无进食增多,近一年患儿体重未增,睡眠可,大便正常。
既往史:既往体健。
过敏及接触史:蛋清蛋黄、牛奶过敏;无肝炎、结核等传染病接触史。
个人及家族史:G1P1,足月,出生体重3.25kg,生后无窒息及抢救史,疫苗接种及生长发育同正常同龄儿。无类似家族史。
入院查体及相关检查:体温36.5℃,脉搏104次/min,呼吸频率24次/min。发育正常,神志清楚,状态反应可,躯干部可见少许红色斑丘疹,伴有少许渗出。呼吸平稳,咽充血。双肺呼吸音粗,未闻及明显干、湿啰音。心、腹及神经系统查体未见明显异常。四肢肌张力正常,
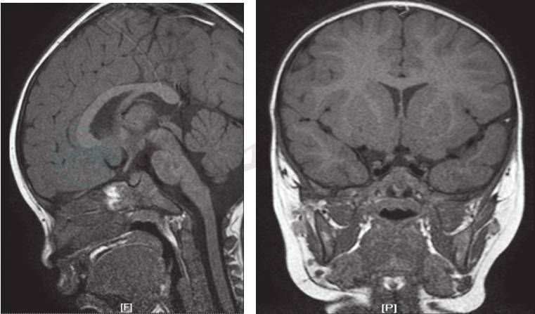
辅助检查:垂体增强MRI:脑垂体体积正常。增强检查垂体可见一弱强化灶(大小约2mm×3mm)(图1)。胸片:双肺间质性改变。
图1 门诊完善的垂体增强MRI
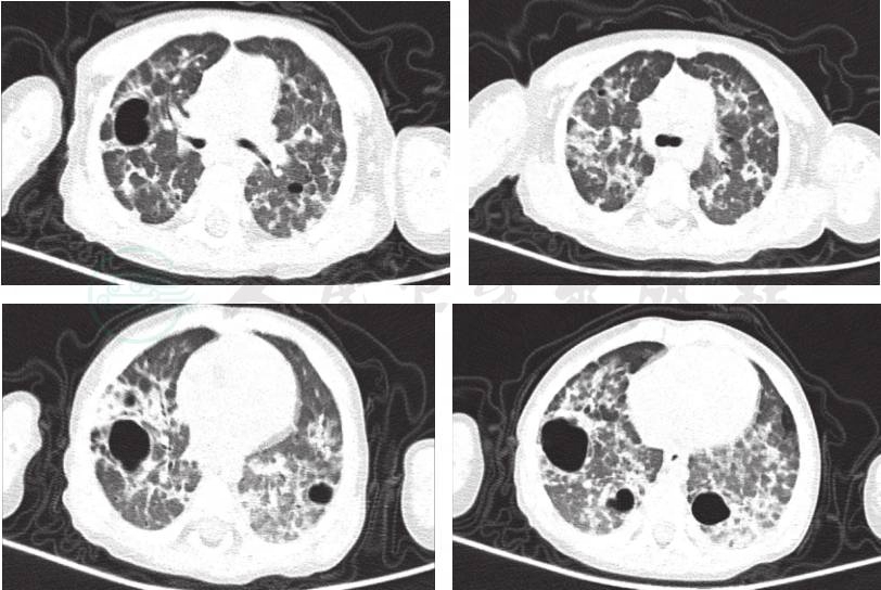
入院后做肺部HRCT,表现为双肺多发高密度斑片影,散在大小不等的囊性透光区,肺间隔增厚,肺门影不大,各层面未见肿大淋巴结(图2)。完善血常规、CRP,以及肺炎支原体、病毒抗体、结核斑点试验等均未找到病原,不支持感染性疾病诊断,嗜酸性粒细胞总数及分数正常不支持嗜酸性粒细胞性肺泡炎。RF、抗心磷脂抗体(ACA)、抗中性粒细胞胞质抗体测定(ANCA)及抗核抗体系列(ANA)均阴性,初步除外结缔组织病。根据HRCT特征性改变,高度怀疑肺朗格汉斯细胞组织细胞增生症,首先应完善肺活检,但患者出现肺部多发大泡气囊样改变,为肺活检的禁忌证。因此,完善皮肤活检以及骨髓象检查,在皮肤活检组织及骨髓象中均发现组织细胞增生(图3)。于入院4天后,转入血液科进一步诊治,建议给予长期口服小剂量激素,但家属不同意化疗,退院,院外中药(具体成分)不详。
图2 入院后肺部HRCT提示:双肺多发高密度斑片影,散在大小不等的囊性透光区,肺间隔增厚
图3 骨髓穿刺术结果提示骨髓中发现组织细胞增生
肺朗格汉斯细胞组织细胞增生症,诊断依据:①慢性咳嗽、干咳为主,夜间咳嗽明显,活动后气促;肺部HRCT,表现为双肺多发高密度斑片影,小叶间隔增厚,双肺散在大小不等囊性透光区;②反复出现皮疹,分布在躯干部及头皮部,表现为大小不一、形状不规则红色斑丘疹,伴有少许渗出;③中枢性尿崩症,表现为多饮多尿,尿比重降低,脑垂体受累,脑垂体增强MRI显示垂体可见一弱强化灶(大小约2mm×3mm);④骨髓像显示朗格汉斯细胞。
肺朗格汉斯组织细胞增生症(pulmonary Langerhans cell histiocytosis,PLCH)为一种少见肺部间质性疾病,可以是LCH单一肺部受累,也可是多系统受累。LCH是一组以朗格汉斯组织细胞病理性增生在多器官中聚集所引起的组织细胞/网状细胞增殖性疾病。目前认为LCH是一种散发性疾病,病因尚不明确,生物学行为复杂。多见于儿童,估计儿童每年发病率是(3~5)/1 000 000。该病临床表现差异大,轻者仅累及皮肤,重者累及骨、肺、肝、脑等多器官并造成脏器功能损害。
LCH的病因未完全阐明,目前有以下推测和学说。感染学说:本病的急性病例,如勒-雪病常有中耳炎、败血症、呼吸道或消化道感染,少数病例对抗生素治疗有效,以上各点均支持该病与感染有关,但具体感染因子始终未得到证实。免疫生物学因素:认为与自身免疫功能紊乱有关;先天家族发病率较高。综合因素:本病大多数病因不明,且常与恶性肿瘤、感染或过敏性疾病共存。
LCH按照发病年龄及临床特点,一般分为4型。Ⅰ型为勒-雪病,多在1岁以内,以发热、皮疹、肝脾大、外耳溢脓为主要临床表现,有的伴头颈部肿物;血液系统受累多表现为外周血白细胞升高、贫血、血小板降低,肝功能、骨骼及肺间质受损明显,多累及全身各系统。急性起病,病情重,病变广泛,发热热型不规则,高热与中毒症状不一致。Ⅱ型为中间型,症状介于Ⅰ及Ⅲ型之间。Ⅲ型为韩-薛-柯病,多见于2~4岁,5岁以后减少;以突眼、尿崩症、骨损害为主。起病缓慢,骨和软组织器官均可损害。突眼——由于眶骨破坏而表现为眼球突出和眼睑下垂,多为单侧;尿崩——垂体和小丘脑组织受浸润所致;骨损害——颅内缺损最早、最常见。除颅骨外,可见颌骨破坏,牙齿松动、脱落、牙槽脓肿等;骨盆、脊柱、肋骨、肩胛骨和乳突异常累及。Ⅳ型为嗜酸性粒细胞肉芽肿,发病年龄,可见于各年龄组,多见于4~7岁发病;多以局部肉芽肿就诊,有骨骼受损和肺间质侵害,全身各系统受累轻。骨质破坏:主要表现为单发病灶,颅骨最常见,其他有下颌骨、四肢骨、骨盆骨和脊柱等。椎骨受累可出现脊髓压迫症状。由多发病灶者或伴有发热、厌食、体重减轻等;偶有肺嗜酸性细胞肉芽肿。
确诊需要典型的临床表现和组织病理学证据支持。在病变部位获取组织行病理学检查是必需的。影像学的检查也有助于受累脏器的发现及活检部位的选择。研究显示胸部HRCT内的微小结节影和病理诊断阳性率的相关性好。PLCH肺活检方式主要通过胸腔镜及开胸获得肺组织标本,确诊率较经皮肺穿刺和经支气管镜肺活检检出率高。另外,肺外病变的病理诊断及胸部CT典型影像学表现亦可确诊,皮肤黏膜损害及淋巴结肿大是常见的症状,皮肤活检是快捷有效的确诊途径,而骨骼受累发生的穿凿样溶骨样改变其病理上朗格汉斯组织细胞浸润更为明显,选择相应的部位进行活检有利于提高诊断阳性率。LCH的主要病理变化为病理组织中存在数量不等的朗格汉斯细胞异常增生、嗜酸性粒细胞浸润和数量不等的多核巨细胞、淋巴细胞、中性粒细胞、浆细胞和成纤维细胞。浸润细胞的比例在不同的病例或同一病例的不同病灶变化很大。某一病灶可见有大量的朗格汉斯细胞。透视电镜下,细胞胞质丰富,含有数量不等的散射细胞器,如粗面内质网、溶酶体、线粒体等。有时可见较多的高尔基器,胞质内含有一种特殊的细胞器——朗格汉斯细胞颗粒或称Birbeek颗粒,这种Birbeck颗粒为朗格汉斯细胞所特有。确诊关键是病变组织找到LCs以及CD1a和/或Langerin(CD207)染色阳性。研究已经证实,Langerin阳性表达可肯定Birbeck颗粒的存在。所以,电子显微镜下胞质内找到Birbeck颗粒(以往的诊断“金标准”)已不再使用。
PLCH目前尚无特效方法,临床上常规使用小剂量激素及口服小剂量红霉素可改善肺间质纤维化,联合化疗、放疗方法进行单独或联合治疗。对于患儿肺部护理要注意,避免剧烈咳嗽、剧烈活动后发生气胸。
(程 琪 尚云晓)



