患儿,男,1岁5个月。
主诉:反复咳嗽、喘息1年,加重1个月。
现病史:患儿自生后6个月开始无诱因出现咳嗽,多为干咳,为阵发性连声咳,伴喘息,无发热。于外院抗炎及对症止咳止喘治疗后,症状持续3天~2周可好转,间隔1~2个月即咳喘发作1次。患儿因反复喘息,于外院诊断为“儿童哮喘”,予布地奈德规律吸入治疗近1年,咳喘发作间歇逐渐延长。患儿于入院前1个月再次出现咳嗽,为阵咳,有痰,伴喘息,活动后加重,自行加用复方异丙托溴铵吸入治疗,并于当地诊所静脉滴注“阿奇霉素、硫酸镁”治疗8天,咳喘略有减轻,改为肌注及口服药物治疗(具体不详),患儿仍偶有咳喘,活动后加重,不伴发热,入院前于当地医院静脉滴注“阿奇霉素、硫酸镁”治疗3天,咳喘无减轻,为进一步诊治来笔者医院,门诊予口服“盐酸丙卡特罗、孟鲁司特钠”治疗1天,咳喘仍无减轻。患儿病来无发热,无呕吐及腹泻,无腹痛,无明确异物吸入史。
既往史:有湿疹史。
过敏及接触史:否认食物及药物过敏史,否认结核、手足口病、麻疹等传染病接触史。
个人及家族史:出生史正常,生长发育与同龄儿相似,未按时接种疫苗,否认家族中慢性支气管炎及哮喘病史。
体格检查及相关检查:神志清楚,精神状态可,呼吸平稳。咽略充血,双侧扁桃体无肿大。双肺听诊呼吸音粗,可闻及少许痰鸣音及双相哮鸣音。心音有力,心律齐,各瓣膜听诊区未闻及杂音。腹软,肝脾肋下未触及,肠鸣音正常,四肢末梢温,CRT<2秒,四肢活动自如。神经系统查体无阳性体征。
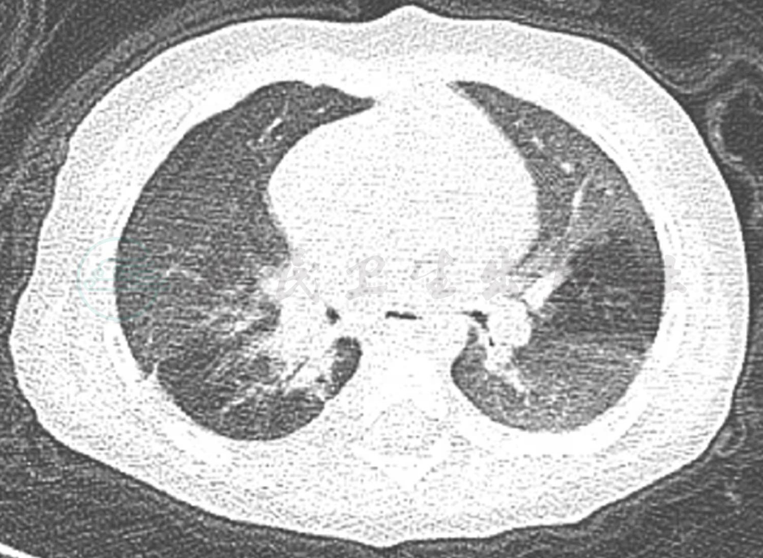
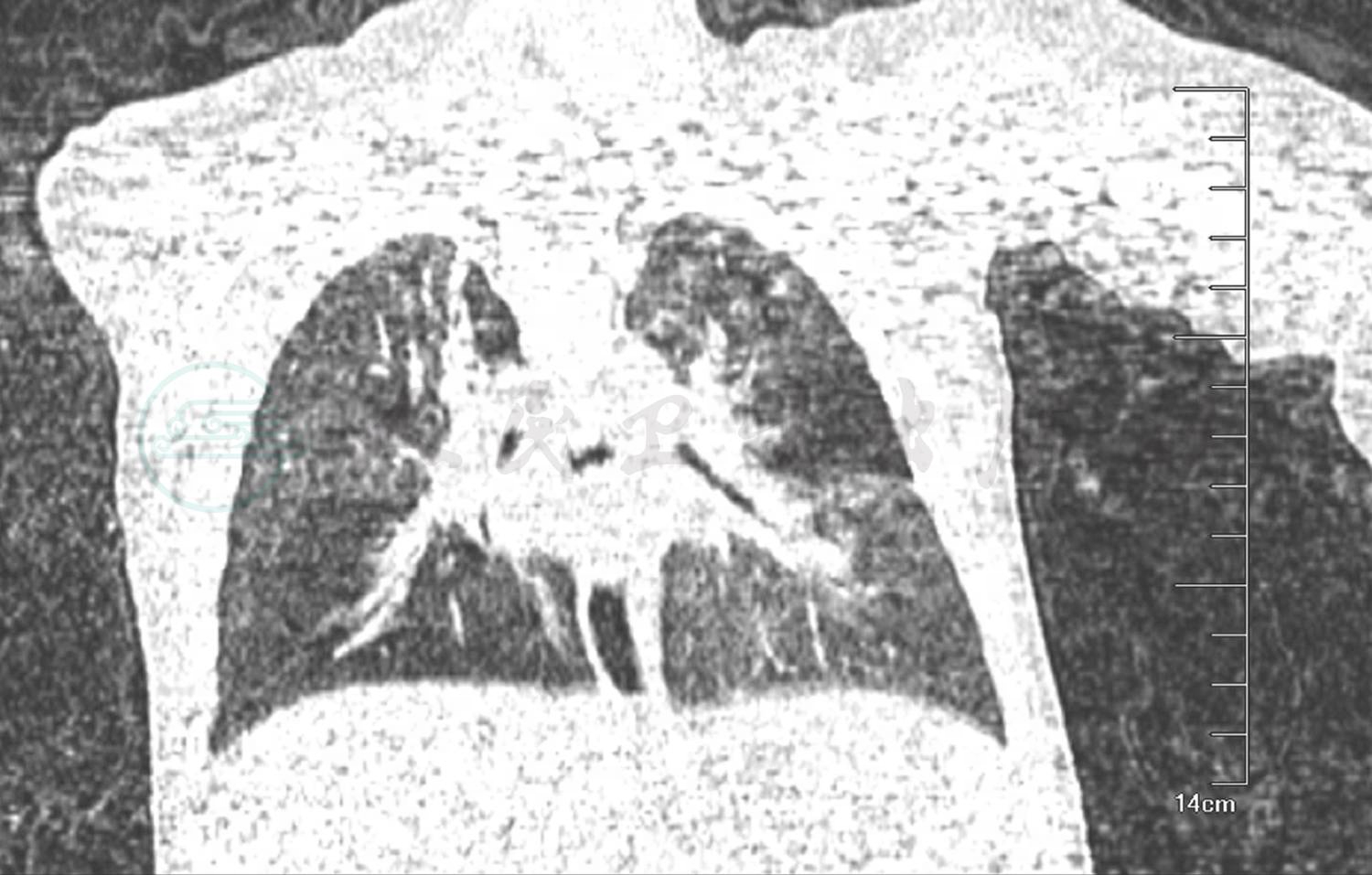
辅助检查:门诊血常规:WBC 10.7×109/L;NE% 37.0%;EO 1.41×109/L;Hb 119g/L;PLT 415 ×109/L。总IgE 5.3U/ml。食物-呼吸过敏原:牛奶、猫毛皮屑过敏。肺CT(图1、图2):双肺野透过度明显不均匀,小气道病变;多叶、段散在炎症,尤以右肺显著,伴右肺支气管显示不佳。
入院后予布地奈德及复方异丙托溴铵泵吸止喘,磺苄西林静脉滴注抗感染治疗。入院第2天化验结果回报:血气离子分析正常,尿、便常规正常,肝肾功能、心肌酶谱正常。CRP 1.46mg/L;结核抗体阴性;肺炎支原体抗体阳性(1:80);肺炎衣原体抗体-IgM阴性;肺炎支原体抗体-IgM阴性;肺炎支原体-DNA测定阴性(建议复查);病毒抗体八项未见明显异常。提示肺炎支原体感染不除外,予红霉素静脉滴注。免疫球蛋白:IGG 6.24g/L(正常4.81~12.21g/L),IGA 0.349g/L(正常 0.42~1.58g/L),IGM 1.38g/L(正常0.41~1.65g/L),IGA略低于正常下限。淋巴细胞亚群:总T细胞 73%(正常55%~84%),T抑制毒细胞44%(正常13%~41%),T辅助细胞23%(正常31%~60%),Th/Ts 0.52(0.71~2.78),NK细胞7%(正常7%~36%),总B细胞12%(正常5%~20%),暂不支持免疫缺陷。入院时肺CT(图1、图2):双肺野透过度明显不均匀,小气道病变,符合儿童哮喘的肺CT改变,但没有明显马赛克征改变,与闭塞性细支气管炎不相符,同时肺CT提示右肺支气管显示不佳,可能为管腔内阻塞:分泌物潴留?支气管异物?或是支气管管腔受压?因此,进一步纤维支气管镜检查成为我们关注的重点。入院第3天予完善纤维支气管镜检查:右主支气管黏膜光滑,略充血水肿,右肺下叶开口处可见黄白色异物(图3),用异物篮将异物取出,异物嵌顿处有大量肉芽组织增生(图4)。右肺上叶开口炎性狭窄明显,左肺各叶段支气管管腔开口通畅未见痰栓堵塞、狭窄及异物征象。异物取出后继续予雾化及抗感染治疗,患儿咳嗽及喘息较前明显缓解。住院治疗第6天,患儿偶有咳嗽,无喘息,肺部听诊无喘鸣音,好转出院。
图1 双肺透过度均匀,散在炎症,右肺支气管显示不清
图2 双肺透过度不均匀,散在炎症,右肺支气管显示不清
图3 右肺下叶开口处异物
图4 异物嵌顿处周边大量肉芽组织
1.急性支气管肺炎。
2.右肺下叶支气管异物。
支气管异物是小儿常见急症,多见于1~3岁儿童,临床表现多为刺激性呛咳、喘息、反复肺炎或咯血等,支气管异物的影像学表现不尽相同,这与病程长短、异物种类及大小、异物嵌顿部位密切相关,可以表现为患侧阻塞性肺气肿或透过度减低,或是胸片无异常改变,因此高度考虑支气管异物者可行胸部CT扫描并进行三维重建检查,然而更直接准确的是进行纤维支气管镜检查,但是为有创性检查;因此,应结合病史及已有辅助检查结果来权衡各项检查利与弊,并最终选择最佳方案。
(王 娟 蔡栩栩)



