患儿,男,8岁。
主诉:发现胸部实变4个月。
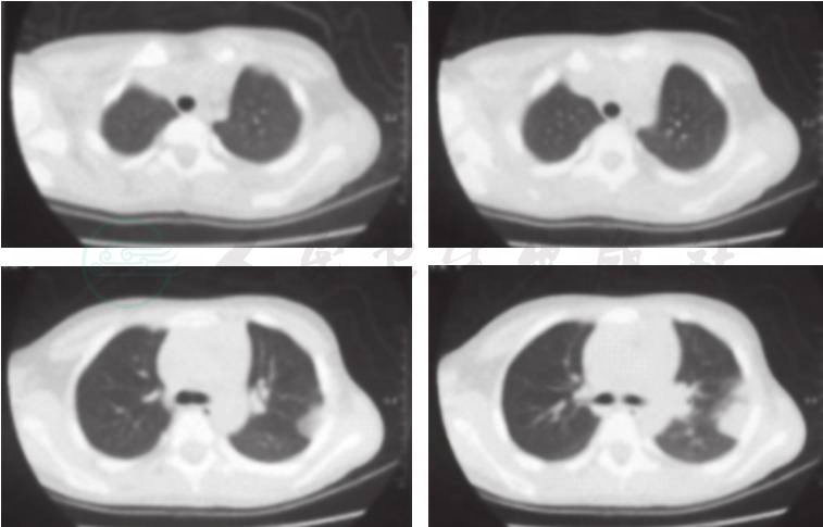
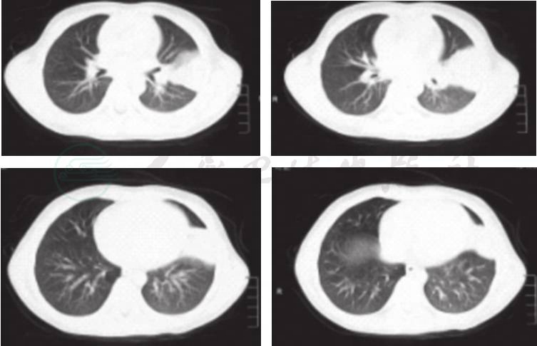
现病史:患儿于入院前6个月诊断肾病综合征,给予正规口服激素治疗。入院前4个月,出现发热,持续2周,笔者医院胸部CT(图1):左肺上叶舌段病灶,炎性?左肺淋巴结增大。患儿完善结核斑点试验(T-spot),结果回报是阳性,经结核病院会诊诊断结核感染,给予口服异烟肼及利福平抗结核治疗4个月。当地医院复查胸CT(图2)发现左肺舌叶实变无好转,遂入笔者医院进一步诊断治疗。
既往史:6个月前确诊肾病综合征,4个月前患结核感染。
图1 入院前4个月肺CT结果
图2 入院前当地医院复查肺CT
过敏及接触史:否认药物及食物过敏史。否认结核、肝炎病接触史。
个人及家族史:否认家族遗传代谢性疾病史。
入院查体及相关检查:神志清楚,一般状态可,周身无疹,周身浅表淋巴结无肿大,呼吸平稳,双肺听诊呼吸音粗,左肺可闻及少许湿啰音,心音有力,心律齐,心率89次/min,各瓣膜听诊区未闻及杂音,腹平软,肝脾肋下未触及,肠鸣音正常,四肢末梢温,CRT<3秒,四肢活动自如。神经系统查体无阳性体征。
辅助检查:血常规:白细胞10.3×109/L;中性粒细胞百分比63.4%;淋巴细胞百分比27%;血红蛋白126g/L;血小板367×109/L。院外肺CT(图2):左肺舌叶实变。
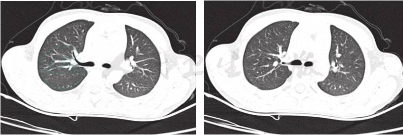
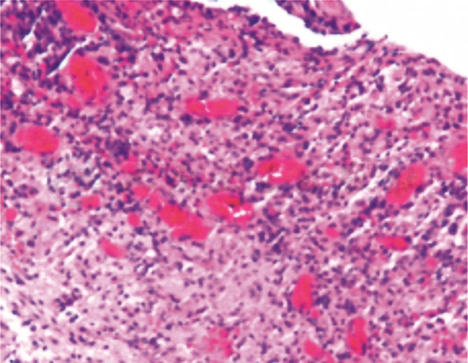
入院第二天行纤维支气管镜检查,镜下可见左肺舌叶(B4、B5)开口处可见一块肿物堵塞大部分管腔(图3),予活检钳钳取部分肿物和留取支气管灌洗液,送病理检查。病理结果回报(图4):(支气管)慢性炎症,局灶见不典型类上皮结节,不除外结核。因此考虑患儿是支气管淋巴结核,结核分枝杆菌突破相邻的支气管内膜,干酪样物进入管腔导致气管腔阻塞。因此增加了抗结核的种类,给予患儿三联抗结核药物(异烟肼、利福平、吡嗪酰胺)口服治疗1个月复查支气管镜。第二次支气管镜下舌叶(B4、B5)开口处可见(图5)黄白色干酪样物质周围被肉芽组织包裹完全堵塞其开口,先用活检钳反复钳取黄白色干酪样物质,并将钳取物分别涂片镜检并送活组织病理检查,考虑常规口服抗结核药物渗透到支气管内膜的浓度小,对局部治疗效果差,因此取了病理后对肉芽组织以及干酪样物进行4次冷冻治疗(每次冷冻时间30~60秒不等)和反复多次钳取,治疗结束后,B5支气管开口得以暴露(图6),其支气管管腔开口通畅,可见正常B5亚段结构,但B4支气管开口仍被肉芽组织覆盖(图7)。分别在第2天后、2周后、1个月后、2.5个月后、6个月后进行5次支气管镜下钳取和冷冻治疗。6个月后第七次支气管镜显示,镜下可见左肺舌叶B5开口通畅,舌叶B4开口形成瘢痕狭窄,2.8mm支气管镜可通过,远端亚段结构正常。复查肺CT可见(图8):左肺上舌叶片状高密度影基本吸收,左肺门肿大淋巴结影较前略减小。
图3 入院后第一次完善纤维支气管镜检查
图4 第一次支气管镜黏膜活检病理结果
图5 治疗1个月后复查纤维支气管镜
图6 第2次支气管镜下,行冷冻治疗,冷冻治疗后左肺B5亚段镜下改变
图7 第2次支气管镜下,行冷冻治疗,冷冻治疗后左肺B4亚段镜下改变
图8 6个月内5次支气管镜下冷冻治疗后复查肺CT结果
支气管淋巴结结核。
支气管淋巴结结核表现为肺门或者支气管旁淋巴结肿大,肿大的淋巴结可压迫气道,出现狭窄、变形。发生淋巴结-支气管瘘,引起支气管结核时可合并肺不张、肺实变,同时有支气管狭窄、闭塞、变形。临床上可表现为发热、咳嗽和结核中毒症状。发生支气管淋巴结核时,肿大的淋巴结压迫气道,可出现喘息、刺激性咳嗽和气促等症状,亦有报道出现咯血或者症状隐匿不易发现,或者表现不典型,容易和肺炎相混淆,对于反复肺实变和不张应尽早完善支气管镜检查。对于支气管内膜结核的治疗,一方面可以使用全身抗结核治疗,另一方面可以配合电凝、激光、冷冻或球囊扩张等综合性治疗。成人支气管内膜结核也常用经支气管镜微波方法治疗。选择哪种方法要根据本单位所有的设施决定,可以单一使用也可综合应用。冷冻技术引起核固缩及细胞破裂、血管痉挛、局部血液减慢或停滞,导致细胞缺氧坏死、组织脱落达到治疗目的。常用制剂有液态二氧化碳、液氮、一氧化二氮等。冷冻治疗对气道内良性病变如肉芽肿、瘢痕狭窄、良性肿瘤、支气管内膜结核等疗效较好,术后组织愈合较快,大多数无瘢痕残留。是一种非常安全可靠、疗效显著的支气管镜介入治疗方法。
(张 晗 尚云晓)



