患儿,男,4岁。
主诉:间断咳嗽1个月,间断发热2次,加重2天。
现病史:患儿1个月前无明显诱因出现间断咳嗽,阵咳,有痰,咳嗽重时痰中带血丝,以夜间显著,喉部可闻及“咝咝”声,无呼吸困难。期间,间断发热2次,热峰39℃,有寒战,无抽搐,周身未见皮疹。病初家属就诊于当地医院,予患儿退热针1次,热退。回家继续口服“感冒药”“消炎药”4天,咳嗽较前加重,再次出现发热,热峰38℃,家属再次就诊于当地医院,予患儿静脉滴注“地塞米松”“氨曲南”及“氨溴索”治疗5天,热退,咳嗽症状较前好转。2天前患儿出现咳嗽加重,伴气短,运动后显著,偶有呼吸困难,于当地医院静脉滴注药物同前,未见好转,家属为求进一步诊治来笔者医院门诊就诊,门诊以“肺炎”收入笔者科室。
患儿病来精神状态可,食欲略差,偶有恶心、呕吐,为胃内容物,每天2~3次,无腹痛、腹泻,大便每天1次,较干,尿黄,尿量可。
既往史:既往体健;曾患有“腹泻”,于当地医院住院治疗7天。否认其他手术、外伤及输血史。
过敏及接触史:否认明确食物、药物过敏史。接触史:不明确传染病(麻疹、结核、肝炎、手足口病)接触史。
个人及家族史:G1P1,足月顺产,出生体重不清。出生史正常,无湿疹史,未接种过疫苗,生长发育与同龄儿相似。否认家族遗传代谢性疾病史。
入院查体及相关检查:神志清楚,一般状态可,周身无皮疹,下颌下、颏下、腋下及腹股沟区可触及数个肿大淋巴结,较大者1.0cm×1.0cm,无明显触痛,咽红,口腔黏膜光滑,呼吸促,约50次/min,鼻翼扇动及三凹征(-)胸式呼吸,双肺听诊可闻及散在水泡音,于深吸气末更为明显,未闻及喘鸣音;心音有力,心律齐,心率约150次/min各瓣膜听诊区未及明显病理性杂音;腹软不胀,未见胃肠型及蠕动波,无明显压痛及反跳痛,肝脏肋下4cm,脾肋下2cm,质硬,无压痛,肠鸣音良好,四肢末梢温,CRT<3秒,四肢活动正常,神经系统查体无阳性体征。
辅助检查:(入院前2天当地医院)肺部CT显示:双肺炎症,建议抗炎后复查及进一步检查除外肺结核。心脏彩超:静息状态下心内结构及血流未见异常。血常规:白细胞11.8×109/L;中性粒细胞百分比 35.8%;淋巴细胞百分比 64.2%;血红蛋白 106g/L;血小板105×109/L。肺炎支原体抗体-IgM阴性;结核抗体阴性;心肌酶谱未见异常。
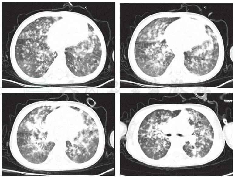
入院后,患儿根据发热伴有咳嗽,考虑存在肺部感染,因病原尚不明确,经验性给予患儿头孢甲肟联合红霉素抗感染治疗。并予患儿卧床休息、低流量吸氧、止咳化痰药物等对症支持治疗。予患儿床旁监护观察生命体征变化,并根据病情分析完善相关检查。根据化验结果回报:血常规:白细胞9.0×109/L,血红蛋白105g/L,血小板59×109/L;C反应蛋白18.50mg/L;降钙素原0.394ng/ml;提示细菌感染依据不足。根据病原学化验回报:EB病毒EA-IgG抗体阳性,EB病毒VCA-IgG抗体阳性,而其他病原检测,如肺炎支原体抗体、肺炎衣原体抗体、巨细胞病毒抗体、单纯疱疹病毒抗体、病毒抗体八项及G试验,均为阴性;考虑患儿除EB病毒感染外无其他常见致病菌感染征象;予患儿加用静滴更昔洛韦抗病毒。化验回报结核斑点试验阴性,请胸科医生会诊,暂不考虑现正结核感染。此外,患儿总蛋白49.9g/L,白蛋白21.3g/L,予阿拓莫兰保肝及白蛋白支持治疗;肌酸激酶1267U/L,肌酸激酶MB同工酶79U/L,予磷酸肌酸钠营养心肌。此外,根据淋巴细胞亚群回报:CD4+T淋巴细胞计数<32个/μl,下降极为明显,提示患儿免疫功能异常;且患儿具有较特征性的影像改变(图1);立即予患儿完善HIV初筛试验。
图1 入院后肺CT结果
然而,通过以上治疗,患儿病情并未得到有效控制,且发展迅猛。入院第3天,患儿出现呼吸困难,咯血1次,血量约2ml,在2L/min吸氧状态下,血氧饱和度维持在85%。血气离子分析:酸碱度7.52,二氧化碳分压28mmHg,氧分压70mmHg;考虑提示患儿存在低氧血症,将低流量鼻导管吸氧改为4L/min面罩吸氧,血氧饱和度可维持在95%以上。化验回报:HIV初筛试验可疑阳性,立即送检血标本进一步明确患儿是否存在HIV病毒感染。入院第4天,患儿出现烦躁不安,呼吸困难进行性加重,呼吸节律不规则,口唇发绀,4L/min面罩吸氧下血氧饱和度不能维持在90%以上,心率上升至180次/min左右,呼吸频率70次/min左右,立即予患儿气管插管连接呼吸机辅助通气治疗。气管插管过程中喷射出大量血液,吸痰吸出大量血性物质。考虑患儿病情加重,需及时控制感染,予患儿抗生素更换为米卡芬净钠、舒普深抗感染;并予患儿维生素K及输注血小板防治出血。
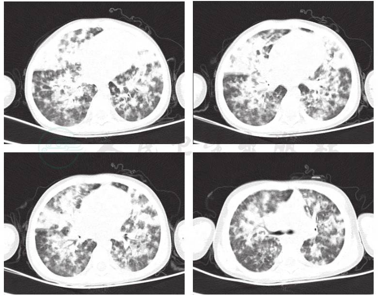
入院第5天,化验回报:患儿HIV-1型抗体阳性,结合患儿CD4+T淋巴细胞计数<32个/μl,此时考虑患儿存在艾滋病病毒感染;且患儿伴随咳嗽、发热及呼吸困难等表现,结合典型的影像学特点,即可诊断患儿系卡氏肺囊虫肺炎可能性大;立即予患儿加用复方磺胺甲 𫫇 𫫇唑治疗。同时,升级抗生素为亚胺培南西司他丁钠及万古霉素抗感染,并继续呼吸机辅助通气治疗,可维持患儿生命体征平稳。更改治疗方案后,患儿病情迅速好转。入院第11天,予患儿将呼吸机通气模式调整为CPAP。入院第12天,患儿面罩带囊吸氧下,生命体征平稳。入院第14天,复查胸部CT明显好转(图2)。予患儿拔除气管插管,鼻导管吸氧耐受,并逐渐下调氧流量至1L/min。复查血常规、肝功能、心肌酶等指标未见明显异常。CRP略高。入院第15天,予患儿停用亚胺培南。入院第17天,患儿体温平稳,予患儿停用万古霉素。入院第19天,患儿无发热,生命体征平稳,米卡芬净钠、复方磺胺甲 𫫇 𫫇唑及头孢哌酮舒巴坦治疗中,病情缓解,但肺部仍有炎症,转至当地医院继续巩固治疗。
图2 治疗14天后复查肺CT结果
卡氏肺囊虫肺炎可能性大。
诊断依据:①患儿咳嗽、发热及呼吸困难的症状;②肺部闻及水泡音;③CD4+T淋巴细胞计数<32个/μl,HIV-1型抗体阳性,且具有较特征性的影像改变。确诊依靠病原学检查,如痰液或肺泡灌洗液等发现肺孢子菌的包囊或滋养体。患儿病情危重,暂不能耐受以上检查;待患儿病情稳定后完善以上检查进一步明确诊断。
卡氏肺囊虫肺炎又称肺孢子菌肺炎,是由肺孢子菌引起的间质性浆细胞性肺炎,是艾滋病合并机会性肺部感染最常见和最严重的并发症,是艾滋病患者主要致死原因之一。卡氏肺囊虫肺炎多见于严重免疫抑制患者,CD4+T淋巴细胞计数常<200个/μl,临床以干咳、呼吸困难和发热为典型症状,临床进展快,通常持续几天至几周,可合并气胸、皮下气肿或纵隔气肿等。若同时伴有体重下降、口腔真菌感染、淋巴结肿大、贫血等其他艾滋病相关病变,而肺部体征少且与病情不相称时,应高度怀疑本病,应进一步检查HIV抗体与X线胸片,常规行诱导痰液检查卡氏肺囊虫,条件允许时应进行纤维支气管镜取肺泡灌洗液检查。实验室检查常呈低氧血症、贫血,血象升高不如细菌性感染明显。
艾滋病并发卡氏肺囊虫肺炎的病理为:患者体内弥漫性、嗜酸性的浆液渗出体外并且伴随有泡沫状的改变,之后,与患者病灶间(间质增厚)进行融合,从而使得其有机化、纤维化,从而在CT影像中呈现双肺网状影、双肺弥漫毛玻璃影。艾滋病并发卡氏肺囊虫肺炎的诊断标准:CD4+T淋巴细胞计数<200个/μl;起病隐匿或亚急性,干咳、气短和活动后加重,可有发热、发绀,严重者发生呼吸窘迫;肺部阳性体征少,或可闻及少量散在干、湿啰音,体征与疾病症状的严重往往不呈正比;胸部X线或CT检查可见双肺从肺门开始的网格状结节样浸润,有时呈毛玻璃阴影;血气分析示低氧血症,严重病例动脉血氧分压明显降低,常在60mmHg以下;乳酸脱氢酶常升高;确诊依靠病原学检查如痰液或肺泡灌洗液等发现肺孢子菌的包囊或滋养体。
卡氏肺囊虫肺炎X线表现:早期X线表现为无明显异常或仅表现为肺纹理增粗、肺透亮度下降,有部分患者早期胸部X线片显示正常;随着病情进展,X线表现主要为双肺对称或不对称磨玻璃状阴影或实变影,以肺门区、中下肺野为明显,可伴有支气管充气征,病理基础为肺泡渗出性炎症;至晚期病灶累及肺间质,发展为肺门周围和/或基底段网状或网状结节浸润病变,或伴整个肺部弥漫性均匀性实变,其病理基础为渗出性肺泡炎合并肺泡壁及小叶间隔增厚,并有炎症细胞浸润。由于X线片重叠多,分辨率有限,一些细微间质结构观察并不清晰,因此螺旋CT特别是高分辨率CT的应用,能提供更多有价值诊断信息。高分辨率CT对病灶特征显示尤佳,具有较特征性的影像改变:①肺内毛玻璃样是其特征性表现,病变以肺门为中心分布,呈斑片状或地图状分布,伴有网状影,病变区与正常肺野交错存在,有融合倾向,其间可见支气管血管束。②斑片实变型:较常见,多在肺段或亚段发生,常表现为双侧不均匀斑片状模糊阴影。③间质型:显示双侧间质纹理增多,最初为线状或网状的二级小叶间隔增厚,可均匀,也可不均匀。④显示肺气囊的分布及其融合趋势。气胸的发生率增加可能与囊腔的出现和融合密切有关。⑤尚可有非典型表现为网格状阴影、粟粒阴影、多发小结节、胸内淋巴结肿大、气胸、肺内空洞和少量胸腔积液。如未经适当治疗发展为急性呼吸窘迫综合征。
在治疗方面,复方磺胺甲𫫇唑是治疗卡氏肺囊虫肺炎的首选药物,也是预防其复发的常用药物。此外,卡泊芬净和氨苯砜等也可作为选择。同时,待病情控制稳定后,开始抗反转录病毒治疗,可有效抑制病毒复制,使患者维持或重建免疫功能,预防复发。由于艾滋病并发卡氏肺囊虫肺炎的特点,该疾病患者心理承受着来自家庭、社会以及自身等各方面繁重的压力,因此,临床医护人员要积极地和患者进行交谈和沟通,为患者及时提供心理支持,同时做好家属的心理工作,积极需求患者家属的配合,增强患者战胜疾病的信心。
卡氏肺囊虫肺炎是艾滋病患者最常见、最重要的机会性感染之一,其发病率高,病情进展快,未经及时有效的治疗可100%死于呼吸衰竭。因此,提高对本病的认识是早期诊断、及时治疗的关键,是降低艾滋病合并卡氏肺囊虫肺炎死亡率的根本途径。
(侯 萍 尚云晓)



