患儿,女,生后27天。
主诉:咳嗽10天,加重伴轻度喘息3天。
现病史:患儿10天前无明显诱因出现咳嗽,有痰,为白色黏痰,喉中痰鸣,7天前就诊于当地医院,予患儿化痰对症治疗4天患儿肺部出现水泡音且有轻度喘息,遂就诊于当地另一所医院,住院治疗,予患儿头孢他啶、丙种球蛋白、化痰等处置,患儿咳嗽及喘息略有缓解,但之后完善肺部CT提示炎症较重,部分存在实变,家属为求进一步诊治急来笔者医院,病来患儿精神状态尚可,偶有呛奶,尿量可,偶有黄色稀便。
既往史:患儿既往健康,生后7~8天时发热1次,体温38.2℃。
过敏及接触史:无食物及药物过敏史。无肝炎、结核等传染病接触史。
个人及家族史:G4P2,38周+4,足月顺产,生后无窒息史。无家族遗传病史。
入院查体及相关检查:体温36.7℃;脉搏156次/min;呼吸56次/min。未吸氧下血氧饱和度为89%,一般状态差,神志清楚,鼻翼扇动及三凹征弱阳性,口唇略发绀,呼吸略促,双肺呼吸音粗,可闻及少许痰鸣音,未闻及水泡音及喘鸣音,心、腹查体未见明显异常,四肢末梢温,毛细血管充盈时间 <3秒,吸吮及握持反射存在,拥抱反射完全。
辅助检查:(2016年6月23日当地医院)肺CT显示考虑双肺炎症,存在部分实变(仅有报告单未见片子);心脏彩超显示房间隔卵圆孔未闭2.4mm。
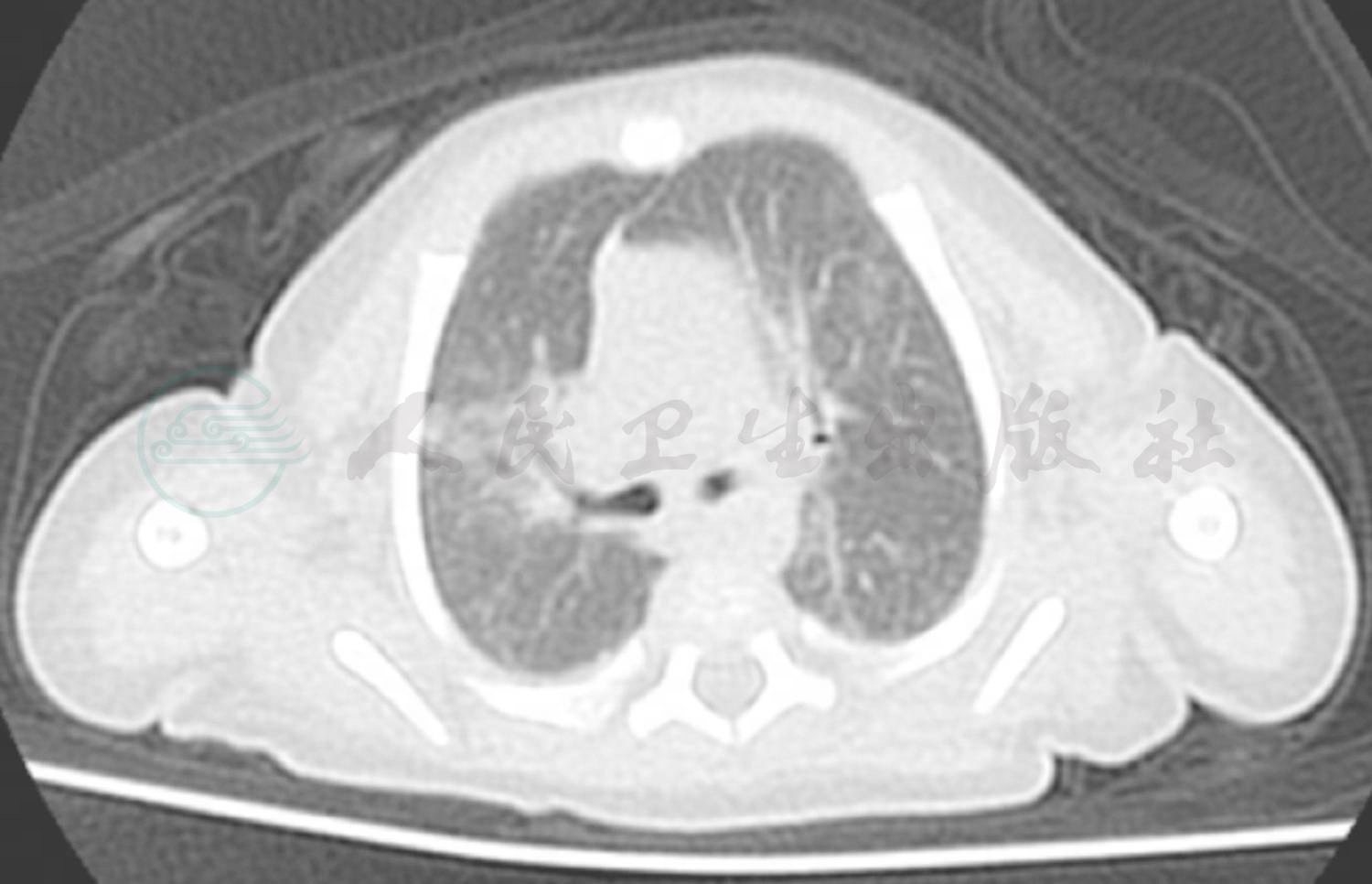
患儿因“呼吸急促、面色发绀”收入PICU,入院后予以心电、血氧监护,有呼吸困难,未吸氧下血氧饱和度不能维持正常,予以吸氧、吸痰处理,保持呼吸道通畅。完善血气离子分析检查,维持内环境稳定。急检血常规、C反应蛋白、降钙素原等炎症指标。肝肾功心肌酶检查有无脏器损害。血气离子分析提示吸氧下血气离子基本正常。血常规:白细胞计数23.7×109/L,中性粒细胞分数 0.475,淋巴细胞分数 0.261,红细胞计数 4.1×1012/L,血红蛋白 133g/L,血小板 355×109/L,提示白细胞明显增高,中性较淋巴比例略有增高,不除外细菌感染,亦不能除外特殊病毒感染、非典型菌感染、真菌感染,以及结核感染。血C反应蛋白3.85mg/L(0~8mg/L);降钙素原 0.267ng/ml,轻度增高。遂予患儿头孢孟多酯钠及红霉素联合抗感染治疗。入院后其他化验指标为免疫球蛋白:免疫球蛋白G 22.5g/L(4.81~12.21g/L),免疫球蛋白 A 0.441g/L(0.42~1.58g/L),免疫球蛋白M 3.36g/L(0.41~1.65g/L),提示IGG 明显增高,考虑与外院输注丙种球蛋白有关,淋巴细胞亚群计数基本在正常范围,暂时不支持免疫缺陷病。1,3-βD葡聚糖:88.45(<70)轻度增高,与感染及应用抗生素和丙种球蛋白有关,暂不支持真菌感染;血清病原学检测军团菌抗体IgG阴性,咽刷检查肺炎支原体及血中肺炎支原体抗体-IgM阴性,肺炎衣原体抗体-IgM阴性,尿巨细胞病毒5.81×105拷贝/ml,尿的巨细胞DNA拷贝量较高,不除外巨细胞病毒感染所致肺炎,常见呼吸道、肠道病毒及肝炎病毒检测均阴性,血细菌培养未见细菌生长。完善其余病原学检查亦未见明显异常,所以继续给予红霉素与头孢抗感染。之后仍有反复咳嗽,肺部水泡音较之前增多,且入院7天后复查肺部CT炎症较重,仍有较多片状影(图1),遂入院11天后转入笔者科室病房,考虑患儿病程较长,同时查出患儿尿中存在巨细胞病毒,拷贝数较高,考虑巨细胞病毒引起的肺炎可能性大,予以加用更昔洛韦5mg/kg,次日2次给予,同时因病程较长,不除外混合细菌感染,予以升级抗生素为拉氧头孢钠抗感染,同时加用益生菌预防菌群失调,另外患儿存在卵圆孔未闭,治疗过程中适当限制液体量的摄入以减轻心脏的负担。为进一步明确病原体以指导临床用药,入院第14天予以完善支气管镜检查,结果如下:细胞学:分叶核细胞分数0.08,淋巴细胞分数 0.2,杆状核细胞分数0.02,巨噬细胞分数0.26,上皮细胞分数0.44;巨细胞病毒DNA 3.6×103/L,真菌涂片及细菌培养未见异常;结核分枝杆菌DNA 阴性。这一结果提示肺泡盥洗液中含有巨细胞,进一步支持了巨细胞病毒感染肺炎。同时完善了视觉及听觉诱发电位,提示双侧听阈轻度提高,为40db,治疗上继续应用更昔洛韦治疗达14天,同时监测药物副作用,监测血常规及肝功能,未见明显异常。期间监测肝功能中白蛋白低至28g/L,间断输注白蛋白2次,丙种球蛋白3天以中和病毒抗体增强抵抗力,患儿共住院24天,临床症状明显好转,逐步离氧,咳嗽明显改善,肺部CT(图2)较前明显好转,予以出院。
图1 入院治疗1周后复查肺CT
图2 出院前复查肺CT
1.重症巨细胞病毒肺炎 诊断依据:小婴儿生后27天,以“咳嗽10天,加重伴轻度喘息3天”为主诉入院,入院后有呼吸困难,查体:呼吸频率增快,鼻翼扇动及三凹征阳性,口周发绀,未吸氧下血氧饱和度为89%,双肺可闻及痰鸣音。外院及笔者医院肺部CT提示肺部较多炎症伴有实变。尿中及支气管肺泡灌洗液中存在巨细胞病毒,听觉诱发电位有轻度增高。予以应用更昔洛韦抗病毒治疗临床症状有好转。
2.低氧血症。
3.肺炎高危儿。
4.卵圆孔未闭。
5.低白蛋白血症。
本病又称巨细胞包涵体病毒肺炎。因在发病器官的组织内发现多量核或胞质内含包涵体的巨大细胞而得名。1881年,Ribbert在一个死胎的肾脏细胞中首次发现了一个巨大的细胞,该细胞在他1904年的时候被描述成了“类原生动物”。之后巨细胞包涵体从两个死婴的唾液腺及肾脏中首次被分离出来,并于1956年被报道。同时两个其他的实验室也大约在同样时间分离了该细胞。1960年,Weller等提出应用“巨细胞病毒”这一名称。
疱疹病毒科家族分为3个亚科,分别为α疱疹病毒科、β疱疹病毒科及γ疱疹病毒科。HCMV属于β疱疹病毒科,只在人类的细胞中生长,在人类的成纤维细胞中生长最好。它的繁殖周期相对缓慢(>24小时),感染CMV后的宿主细胞变圆、增大,核或胞质内出现包涵体。肺脏是获得性CMV感染的最常见脏器之一,并常造成广泛组织器官的播散性感染。CMV肺炎一般在成人异基因造血干细胞移植术后较常见,且国内外文献报道中亦是成人脏器移植患者多见,而婴幼儿关于巨细胞病毒肺炎较少见。母婴传播是小儿CMV感染的主要途径,另有一部分为水平传播。CMV在感染宿主体内的细胞病理学改变为活动性感染及潜伏感染(未被激活的感染或无症状感染)两种状态,具有潜伏-活化的生物学特性。CMV一旦侵入人体,将长期或终生存在于体内,在绝大多数免疫正常的个体,常呈无症状感染,但在免疫抑制个体或胎儿和婴儿(生理性免疫低下),易引起多系统播散性疾病或单一脏器损害。
CMV肺炎系指由CMV感染引起的以肺间质性炎症为主的肺部疾病。临床上也有报道表现为肺部空腔的巨细胞病毒肺炎,更有一例2周患儿,肺部影像学表现为肺部占位病变考虑为肿瘤,施行胸廓切开及肺叶切除术后病理回报为巨细胞病毒肺炎。所以关于CMV肺炎的影像学表现是多样的。我国儿童巨细胞病毒感染非常普遍,原发感染多发生于婴幼儿期,其致病性、组织嗜性及疾病预后与患者年龄和免疫状况密切相关。巨细胞病毒肺炎临床表现不典型,且误治率较高,确诊依靠建立有效的病毒检测。
CMV肺炎的诊断有赖于病原学的检查,需寻找活动性CMV感染的实验室证据,包括:①病毒分离:是诊断活动性CMV感染的金标准,但时间长,因而限制了其在临床上的应用。②病毒基因:采用反转录PCR法检测CMV-mRNA或定量检测DNA载量,CMV-mRNA阳性或高CMV-DNA载量提示活动性CMV感染。采用PCR法检测CMV-DNA与病毒培养比较具有灵敏度高、特异性强、快速简便及可以定量等优点。因此在最近几年已成为CMV感染的首选诊断方法。实时荧光定量PCR技术可达到定量分析的目的,系列检查有助于监测免疫抑制个体CMV病毒活动和高危患者CMV疾病的早期诊断。③特异性抗体:特异性IgG抗体从阴性转为阳性表明原发感染:双份血清抗CMV IgG滴度增高 ≥ 4倍或抗体CMV IgM阳性提示近期活动性感染。注意6个月以内婴儿需除外胎传特异性IgG抗体;严重免疫缺陷者或小婴儿可出现特异性IgM抗体假阴性;体内高水平IgG或类风湿因子可致特异性IgM抗体假阳性。其他还包括病毒颗粒和巨细胞包涵体的检查,病毒抗原如即刻早期抗原(IEA)、早期抗原(EA)和基质蛋白pp65等的检测。
具备活动性CMV感染的实验室证据,临床上又有间质性肺炎的临床表现,可做出CMV肺炎疑似诊断。如从支气管肺泡灌洗液和肺活检标本中分离出CMV病毒或检出病毒复制标志物或查到巨细胞包涵体是诊断CMV肺炎的有力证据。但这些在小儿难以实施,因此婴儿CMV肺炎的诊断多为疑似诊断。因唾液腺和肾脏是无症状CMV感染者常见的排毒部位,单从这些组织中分离到病毒或检出病毒复制标志物需谨慎解释。在诊断CMV肺炎时,必须考虑到CMV致病力弱,人群中感染普遍、无症状性排毒率高(原发感染者可排毒数年)及可与其他病原混合感染或与其他疾病伴随存在等情况,注意排除其他引起间质性肺炎的常见病因;当病情严重程度不能完全用CMV感染解释时应注意寻找其他基础疾病或伴随疾病。
CMV感染时可导致宿主免疫功能损害,尤其是细胞免疫受损,如辅助性T淋巴细胞与抑制性T淋巴细胞比例倒置,体液免疫也可以下降,从而增加了对其他病原体的易感性。因此,CMV肺炎常同时合并其他病毒、细菌感染,肺炎支原体、肺炎衣原体及弓形虫感染等。
关于CMV肺炎的分型,有学者根据CMV所致肺部感染的组织病理学改变特点以及年龄分成3个类型:①全身性感染型:也可称全身型巨细胞包涵体病(CID),肺部病损是全身2个或2个以上器官、系统CID中的一部分,常见于新生儿期。胸片呈间质性炎症改变。②原发肺部感染型:肺是仅有的或主要的损害部位,多见于婴儿期。胸片80%呈间质性改变。③肺部感染呈粟粒型:坏死性特征的纤维素性肺炎,后期出现间质纤维化,主要见于免疫机制降低的人群,易于年长儿或成人中发现。胸部X线主要呈粟粒状或结节状阴影,空腔形成。
目前治疗CMV肺炎较有效的抗病毒药物为更昔洛韦,为阿昔洛韦衍生物之一,可直接作用于病毒DNA末端,并竞争性抑制病毒DNA多聚酶从而抑制病毒复制,但不能杀死病毒。抗病毒治疗对免疫抑制者是有益的,但免疫正常的个体的无症状或轻度症状CMV感染无需抗病毒治疗。主要应用指征包括:①有明显CMV性疾病,如间质性肺炎、黄疸型肝炎或淤胆型肝炎、脑炎和视网膜脉络膜炎(可累及黄斑而致盲),尤其是免疫抑制个体,如艾滋病患者。②有中枢神经损伤的先天性CMV感染患儿,以防听力损害恶化。用药方法为:诱导期每次5mg/kg,每天2次,连用2周后进入维持治疗期,每次5mg/kg,每天1次,连用7天(或10mg/kg隔天静脉滴注,视病情维持4~8周)。另外,国外也正在致力于巨细胞病毒疫苗的研制,目前已经有数十种针对不同致病机制的巨细胞病毒疫苗问世,但是其效果仍不尽如人意。
(刘立云 韩晓华)



