患儿,男,8岁。
主诉:间断发热10天,咳嗽2天。
现病史:患儿10天前发热,体温39.0℃,伴有寒战,前往当地诊所应用退热针后热退,次日患儿再次发热,体温波动于39.0~40.0℃左右,再次前往当地诊所应用退热针,并口服美林及对乙酰氨基酚退热治疗,近10天患儿一直有间断发热,在当地诊断予退热针及静脉输液(具体不详)治疗,未予头孢类药物治疗,为求进一步诊治前来笔者医院,门诊以“肺炎”为诊断收入院。病来患儿饮食尚可,睡眠尚可,大、小便基本正常,病来无皮疹,无球结膜充血。
既往史:既往健康。
过敏及接触史:否认食物过敏史。
个人及家族史:G1P1,足月剖宫产,生后无窒息史,疫苗按时接种,生长发育同正常同龄儿。
入院查体及相关检查:神志清楚,精神状态稍差,周身皮肤黏膜无皮疹及出血点,皮肤弹性可,浅表未及肿大淋巴结,呼吸稍急促,约38次/min,鼻翼扇动及三凹征(-),咽红,扁桃体无肿大,颈软,右肺呼吸音粗,可闻及痰鸣音,左肺未闻及呼吸音,心、腹及神经系统查体未见明显异常。
辅助检查:(2012年6月15日笔者医院门诊)胸片正侧位:符合左侧大量胸腔积液改变。血常规:白细胞39.7×109/L;中性粒细胞百分比95.4%;淋巴细胞百分比4.2%;血小板计数736×109/L;C 反应蛋白 171mg/L。
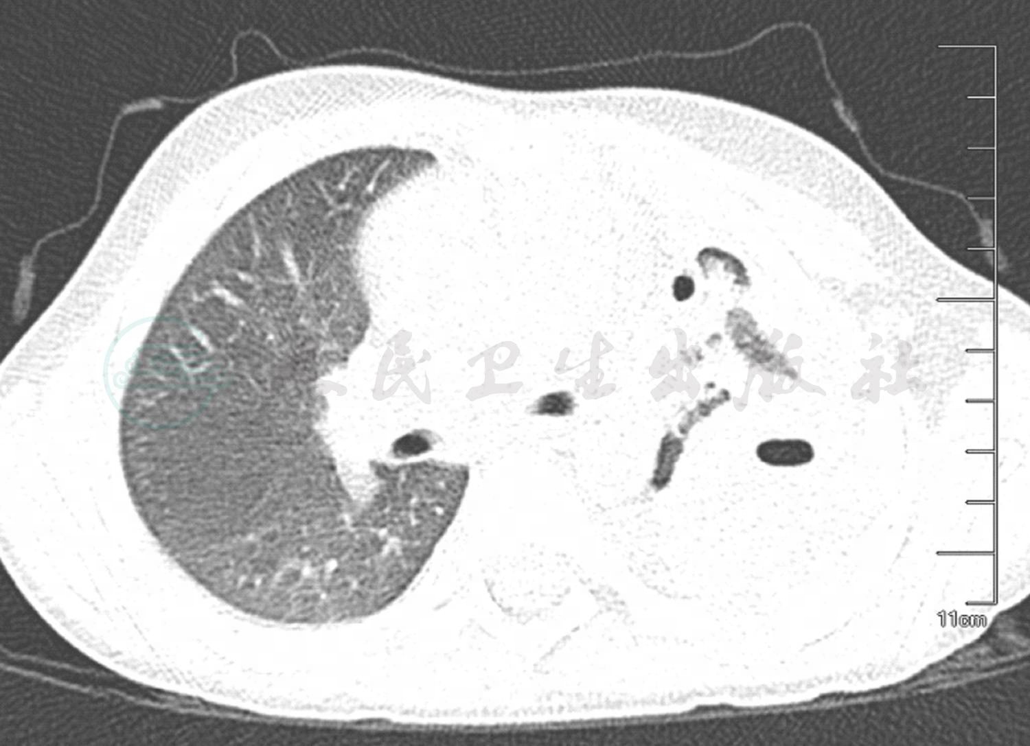
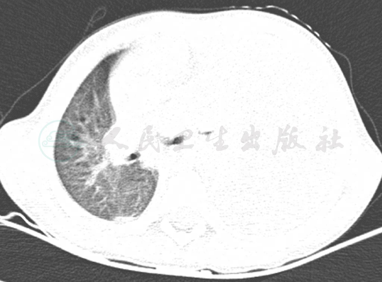
入院后患儿完善彩超定位等各项基础检查后,给予患儿胸腔穿刺术,抽取胸腔积液送化验检查。肺CT回报:左侧胸腔大量积液,伴左肺膨胀不良;右肺散在炎症(图1)。考虑患儿胸腔积液量较大,自行吸收困难,紧急联系外科行胸腔闭式引流。随后在次日胸腔积液的细菌培养中检查到肺炎链球菌生长,药敏结果提示对利奈唑胺敏感,考虑患儿血象高,感染中毒症状明显,该药组织浓度高,穿透性好,随即给予更换该药治疗。于血液检查时发现存在肺炎支原体感染,后给予阿奇霉素联合治疗。另外,患儿血液生化及电解质提示有轻微异常,给予患儿丙种球蛋白、白蛋白等营养支持及维持电解质平衡治疗。经过治疗患儿的体温及感染中毒症状得到了改善,血常规、C反应蛋白等炎症指标均明显下降,但经过10天左右的治疗体温仍有反复,波动在38℃左右。经过病例讨论建议完善纤维支气管镜检查,结果提示支气管内膜损伤较重,有较多分泌物堵塞。结合血液检查中存在肺炎支原体感染,虽然经过大环内酯类药物治疗,仍然不好,可能存在大环内酯类药物耐药,或引发了机体的免疫反应,符合难治性支原体肺炎的诊断,给予患儿静脉滴注甲泼尼龙琥珀酸钠1mg/(kg·次),每天2次,治疗5天,患儿体温逐渐平稳,未再次发热。患儿经过1个多月治疗,体温恢复正常,呼吸平稳,右肺炎症吸收,左肺膨胀及实变好转(图2),出院进行康复治疗。
图1 肺CT平扫示:左侧胸腔大量积液,伴左肺膨胀不良;右肺散在炎症
图2 复查肺CT平扫
1.急性肺炎链球菌性肺炎。
2.左侧胸腔积液。
3.肺炎支原体感染。
肺炎链球菌广泛地存在于自然界,40%~70%的正常人上呼吸道中携带有毒力的肺炎链球菌,可见呼吸道黏膜对肺炎链球菌有很强的自然抵抗力。当抵抗力下降时,会引起肺炎链球菌的感染,如细菌、病毒、支原体等感染因子损伤呼吸道黏膜,引起呼吸道功能异常;某些药物可抑制吞噬细胞的活性及咳嗽反射;循环系统功能异常导致肺充血、心力衰竭;其他,如营养缺陷、体质虚弱等因素。一般四季均可见,以冬季和初春最多。
肺炎链球菌肺炎引起的肺组织炎症,通常急骤起病,以寒战、高热、胸痛、咳嗽和咳铁锈色痰为特征,胸部影像呈肺段或肺叶急性炎性实变。链球菌不产生毒素,其致病力是多糖荚膜对组织的侵袭作用,引起肺泡壁水肿,白细胞和红细胞渗出,含菌的渗出液经肺泡间孔向肺的中央部扩散,甚至累及几个肺段或整个肺叶,通常不累及支气管,表现为肺实质炎症,病理表现主要是肺泡内大量纤维蛋白渗出液,最终导致病变部位肺组织实变。
1.临床表现
多见于老年、幼儿、体弱者,起病急骤,伴寒战,高热,咳脓痰或血性痰,气促,部分患者因累及胸膜出现胸痛。患者常伴有乏力、食欲缺乏、恶心、呕吐,严重者可出现感染性休克。
2.体征
患者呈高热病容,可有肺部实变体征。可合并胸腔积液时出现相应体征。合并症多为呼吸衰竭、心力衰竭、败血症、脓胸等。
3.辅助检查
(1)血常规
白细胞计数多在(10~30)×109/L;中性粒细胞增多,并有核左移;细胞内可见中毒颗粒。
(2)痰涂片检查
可有大量中性粒细胞和革兰氏阳性成对或短链状球菌。痰培养可以在24~48小时确定病原体。痰培养分离出肺炎链球菌是诊断本病的依据。聚合酶链反应检测和荧光标记抗体检测可提高病原学诊断率。
(3)血培养
10%~20%的患者合并菌血症。合并胸腔积液者可抽液进行细菌培养。
(4)X线检查
早期只见肺纹理增粗或受累的肺段、肺叶模糊;随着病情进展,可出现大片炎性浸润阴影或实变阴影,在实变阴影中可见支气管充气征。在肺炎消散期,炎性浸润逐渐吸收,可有片状区域吸收较快而呈现“假空洞”征。多数病例在3~4周才逐步消散。而肺炎支原体引发的坏死性肺炎的机制为炎症引起肺动脉分支与肺泡毛细血管的血栓性闭塞,导致肺实质缺血、坏死,在增强CT中表现为强化减低区。肺实质缺血、梗死、坏死,坏死物排出后形成空腔。坏死性肺炎的病程可长达数月至数年。肺实变的吸收缓慢,可完全吸收或遗留纤维条索影,也可转变为肺不张。实变强化减低区内的空腔早期扩大融合,以后可逐渐缩小、闭合,也可继续扩大最终形成囊性变而遗留。也有一些文献报道,肺炎链球菌合并肺炎支原体肺炎与单病原在影像学上是有差异的,可以通过磨玻璃影、网状影、支气管壁增厚、支气管血管束增厚加以区分。
4.治疗
首选青霉素抗感染治疗,亦可根据药敏试验结果选用敏感抗生素治疗。另外,对重症患者的支持治疗及合并症的治疗亦是十分重要的。
5.合并感染
临床上链球菌肺炎易合并支原体、衣原体、病毒感染,尤其近些年随着肺炎支原体感染的流行,两种或以上种类的病原混合感染也不少见。对于轻症患者,联合应用抗菌药治疗即可得到临床满意的效果。但是也有少数重症患者,比如血象、C反应蛋白极高,有心、肺、脑等器官功能衰竭,对药物治疗反应不佳者,建议应用糖皮质激素或免疫调节剂等药物治疗。另外,对肺不张、大小气道阻塞及继发病变者可以应用纤维支气管镜治疗。
近年来,由于抗生素的广泛应用,临床上轻症或症状不典型的患者较为多见。预防肺炎链球菌感染的关键在于养成良好的卫生习惯,保持环境卫生。必要时对体弱儿童及老年人可用疫苗进行预防。
(冯 晶 尚云晓)



