患儿,男,2月龄。
主诉:发现双侧颈部包块11天,呼吸急促2天。
现病史:11天前患儿家长给患儿喂奶时无意间发现患儿左颈部肿物,约鸡蛋黄大小,右侧约蚕豆大小,红肿明显,无破溃及异常分泌物,伴触痛,无发热,无恶心、呕吐,无腹泻,遂就诊于当地医院,住院治疗。住院期间完善相关检查后给予“美罗培南、头孢哌酮钠舒巴坦钠”等抗炎对症支持治疗,未见明显好转。双侧颈部包块逐渐增大,左侧约3cm×4cm,右侧大小约2cm×3cm,伴红肿触痛,无破溃及异常分泌物。患儿家属为求进一步诊治,就诊于笔者医院新生儿外科门诊,以“右颈部淋巴结炎”为诊断收入院。患儿发病以来无发热,无恶心、呕吐,进奶及睡眠可,大、小便正常,体重无明显变化。患儿入院后呼吸急促,血常规(急诊)显示:白细胞 21.94×109/L,中性粒细胞百分比 66.9%,血红蛋白 115g/L,C反应蛋白(C reactive protein,CRP)11.6mg/L。予以盐酸头孢替安抗炎对症治疗,胸片提示双肺纹理增强,给予患儿叩背、吸痰,加用雾化沐舒坦治疗。入院第2天行颈部脓肿诊断性穿刺,抽出约1ml淡黄色脓汁样物送细菌培养。因考虑患儿患有肺炎,入小儿呼吸病房继续治疗。
既往史:患儿近日反复出现喘鸣,外院曾怀疑“喉软骨发育不全”。否认手术、外伤及输血史,否认遗传病史。
过敏及接触史:否认药物、食物过敏史。否认传染病接触史。
个人及家族史:36周+3顺产,出生时体重3 000g,出生史正常。生后2小时开奶,24小时内排胎便。
入院查体及相关检查:神志清楚,状态反应可。双侧颈部可分别见一肿物,左侧肿物约3.0cm×4.0cm,右侧肿物约2.0cm×3.0cm,皮肤略红,质稍硬,界清,略有压痛,表皮无破溃,未见异常分泌物。口唇无发绀,呼吸急促,约48次/分,三凹征(+);颈软,前囟未闭,张力不高,双肺呼吸音粗,吸气及呼气可闻及双相痰鸣音,吸气相可闻及喘鸣音,心、腹及神经系统查体未见确切异常。
辅助检查:(入院前13天外院)彩超:双颈部可见多枚淋巴结肿大聚集,左侧大小约1.9cm×1.0cm,右侧大小约1.8cm×0.8cm。提示:双颈部淋巴结肿大,炎症不除外,建议定期复查。(入院前2天笔者医院门诊)血常规检查:WBC 21.94×109/L,NE% 66.9%,Hb 115g/L,血细胞压积 22%,血小板 630×109/L,CRP 11.6mg/L,肝肾功心肌酶未见确切异常;肺CT提示右肺中叶炎症。
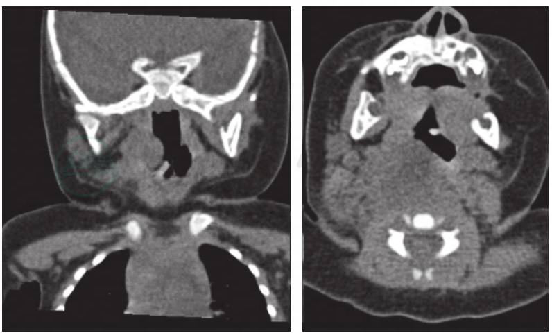
入笔者科室后予红霉素联合拉氧头孢钠抗感染治疗,完善相关检查:血常规提示白细胞 19.70×109/L;以淋巴细胞升高为主,CRP降至正常,脓汁细菌培养结果回报:金黄色葡萄球菌,其他病原学检查均为阴性,因对现用抗生素敏感,暂未予调整药物。喉CT+三维重建(图1)提示:右侧咽旁至颈部包块,中心坏死?淋巴结炎不除外,双侧颈部多发肿大淋巴结。颈部三维彩超提示右侧颈部软组织内可见窦道样包块,包块上端位于右后颈部,向前下方走行,下端位于气管后方,大小约5.6cm×1.8cm×1.4cm,边界模糊,形态不规整,包块周边呈低回声,彩色多普勒血流显像可检出血流信号,中心部呈液性伴密集点状回声,包块周边可见少许淋巴结,较大者约0.9cm×0.4cm,边界清,内呈低回声。左侧颈部可见少许淋巴结,较大者约1.2cm×0.6cm,边界清,内呈低回声。喉镜提示双声带光滑,声带运动正常,声门闭合可。双侧梨状窝、会厌谷及舌根黏膜光滑。下咽后壁膨隆,表面光滑。因影像学检查均提示咽部肿物,考虑为咽后壁脓肿,建议行咽后壁肿物穿刺探查,家属拒绝。入院第5天加用利奈唑胺抗感染治疗。吸气相呼吸困难逐渐缓解,入院第15天复查颈部三维彩超提示双侧颈部包块较前缩小,颈部肿大淋巴结较前缩小,复查血象较前下降,CRP降至正常。患儿出院。出院医嘱:口服利奈唑胺50mg/次,间隔12小时,连服10天;水调散双侧颈部包块处外敷,1周;10天后耳鼻喉科门诊复诊。
图1 喉CT+三维重建
1.咽后壁脓肿。
2.双侧颈部化脓性淋巴结炎。
3.急性支气管肺炎。
1.因为5岁以后咽后壁淋巴结会出现退化,咽后壁脓肿多见于4岁以下儿童,较大儿童及成人患本病少见。近2/3患儿有近期耳、鼻或喉部感染史。其病原多样,包括A族链球菌、β溶血性链球菌、金黄色葡萄球菌等,厌氧菌感染有增多趋势。
2.咽后壁脓肿无特异性临床表现,临床上可见发热、易激惹、饮食量减少、流涎、颈部僵硬及斜颈。较大的患儿可能描述为喉部或颈部疼痛。其他表现包括音量减小、喘鸣、呼吸困难,甚至出现睡眠呼吸暂停。少于50%患儿可见咽后壁鼓起。
3.鉴别诊断包括急性会厌炎、异物吸入、咽部肿瘤、血肿及颈部骨髓炎。小婴儿伴有颈部活动受限,需注意与脑膜炎鉴别。
4.切开、引流及脓汁细菌培养可确诊本病。颈部侧位片可见咽后壁软组织广泛增宽,脓肿内可见液平或气体,若见到咽后壁异物影对诊断更有价值。喉部CT检查可确定脓肿部位,但仅有63%患儿可发现脓肿形成。喉部增强CT有助于本病诊断。
5.本病治疗包括静脉应用抗生素和外科切开引流。三代头孢联合阿莫西林舒巴坦或克林霉素对于大部分患者治疗有效。有研究表明超过半数的患者通过静脉应用抗生素可以治愈,不需外科切开引流。如患儿出现呼吸困难或抗生素升级失败需进行外科切开引流治疗。
6.咽后壁脓肿的并发症包括:①严重上呼吸道梗阻;②脓肿破裂导致吸入性肺炎;③纵隔脓肿。偶见颈内静脉血栓及侵袭颈动脉鞘。
(柳 新 尚云晓)



