视物模糊,精神障碍,垂体腺瘤
女性患者,38岁,离异。因“反复言行异常伴视物模糊3年,外走10个月”于2012年7月21日收入精神科。患者哥哥提供病史。
现病史:患者于2009年6月份无明显诱因逐渐出现睡眠欠佳,易惊醒,胆小,情绪不稳定,敏感,易紧张,有时诉头痛、眼花。2009年8月份出现精神异常,表现为恐惧、害怕,多疑,疑人害己,胡言乱语,无端说有人害自己,声称有人追杀自己,家人的解释无法打消其疑虑。行为改变,有时自言自语,不知所云,或整日紧张、担心,不敢出门。伴有头晕头痛、视物模糊。2009年9月份出现阵发性晕厥、倒地,有摔伤。在当地医院行头颅CT检查发现垂体腺瘤,入住神经外科,行微创手术治疗,具体不详。出院诊断“垂体腺瘤”。术后睡眠改善,敏感多疑等精神症状逐渐消失。2010年在当地医院复查头颅CT发现脑垂体腺瘤有复发,但未治疗。当时主诉不明显,精神状态基本稳定,未出现言语行为异常,情绪稳定。2011年2月份患者父亲去世后病情波动,主诉头晕头痛、视物模糊,睡眠差,有时整晚不睡,孤僻不合群,不愿与人交往,不理人,少语,有时自言自语,独自傻笑,无端猜疑别人害她,无故紧张、害怕,不敢见陌生人,不愿做工,整日待在家里。在某精神病专科医院门诊就诊半年,诊断“精神分裂症”,在家人督促下服药,药名及剂量不详,睡眠改善,但仍多疑。2011年9月份患者擅自离家外出后失踪。2012年3月份其家人接到外省公安局的电话:患者在外省某精神病专科医院住院,诊断精神分裂症。当时患者已住院治疗数月,治疗不详。接回家后患者表现反应迟钝,记忆下降,有时发愣,站立不语,家人督促下可做家务,但家人发现其劳动能力下降。回家后家属未继续带患者就医,也未坚持给患者服药。2012年5月份患者又出现自语、乱语,说有人害自己、有人威胁自己、有人给她下毒等,脾气暴躁,行为紊乱,乱走,不知道回家,记忆力差,反复诉视物模糊等。于2012年7月21日送某综合医院精神科住院进一步诊疗。近来患者无高热、抽搐、昏迷及大小便失禁史,饮食较前减少,睡眠差,大小便基本正常,体重无明显增减。
既往史:平素体健,无输血史,患者外走后有无外伤史、毒物接触史等均不详。
个人史:初中文化,病前合群,能力一般,育有1女,病后因夫妻感情不和离异,独自生活,冶游史不详。
月经史:已停经3年,具体不详。家族史无特殊。
体格检查:体温36.7℃,脉搏88次/分,呼吸20次/分,血压94/62mmHg,身高158cm,体重50kg。神志清楚,双眼视力粗测下降,心、肺、腹查体无明显异常。四肢肌力、肌张力正常,生理反射存在,病理反射未引出,脑膜刺激征(-)。
精神状况检查:意识欠清晰,定向欠佳,不知道目前医院所在城市,知道自己的名字与年龄,但是讲不出出生年月,知道今天是几月几日,但上午、下午搞不清。接触不合作,回答问题多是“不知道哦!你说呢?”反复引导下可暴露部分内心活动。言谈过程中患者有些神神秘秘,讲话吞吞吐吐,有明显掩饰内心活动倾向。有时东一句西一句,思维散漫。存在幻听及被害妄想,说自己不能在陌生人面前随意说,称有人威胁自己,问之具体是什么人,患者不愿意透露。认为路上有不怀好意的人盯住自己,怀疑有人要追杀自己,到哪里都不安全,怀疑家人已被收买。记忆下降,说不出早餐进食内容,不能讲述外出流浪的经过;理解判断力稍差,不能较好理解一般常用成语,如锦上添花、画蛇添足、自相矛盾等的含义,不能较好讲述鸡与鸭的异同;能计算两位数加减法,但100以内连续减7运算慢,有多处错误,注意力欠佳,粗测智能下降。情感反应不协调,不时自笑。意志减退,生活需督促,无主动要求,未发现有冲动、伤人、毁物行为,有摸头、跺脚等怪异行为。无自知力。
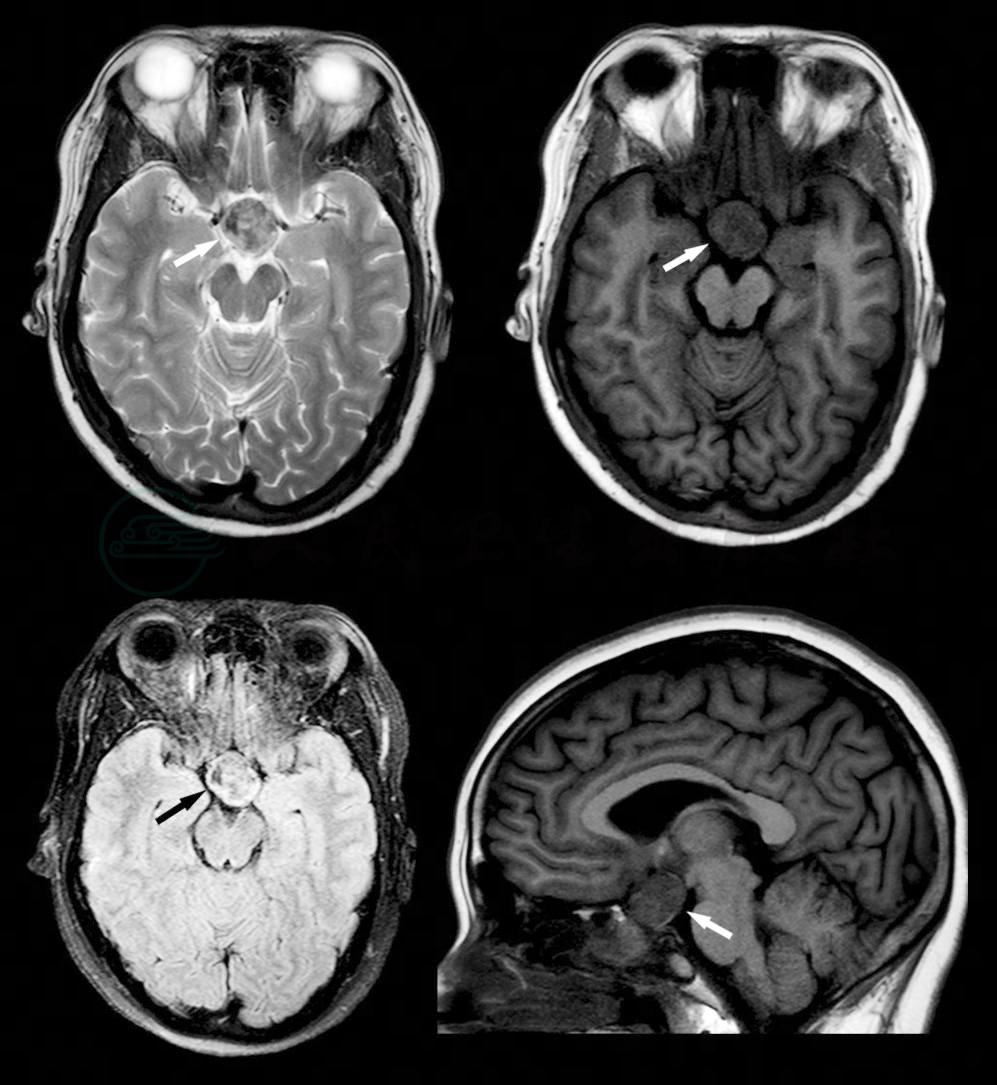
辅助检查:①三大常规、肝肾功能、电解质、甲状腺功能、乙肝、梅毒、心电图、腹部B超未见明显异常。②性激素检查:人促黄体生成素20.9mIU/ml(女性卵泡期1.2~12.7mIU/ml、排卵期15.5~90mIU/ml、黄体期0.5~14.6mIU/ml),人促卵泡生成素10.71mIU/ml(女性卵泡期 2.5~11.4mIU/ml、排卵期 3.3~21.7mIU/ml、黄体期 1.2~7mIU/ml),雌二醇 1441.34pg/ml(女性非孕期 30~400pg/ml),睾酮 0.53ng/ml(正常参考值 2.8~12ng/ml),催乳素 14.59ng/ml(女性正常参考值2.41~27.36ng/ml),孕酮0.54ng/ml(女性卵泡期0.2~2.4ng/ml、黄体期6.0~20.5ng/ml、绝经期0.1~1.8ng/ml)。③头颅MRI检查:鞍区扩大,其内见不规则形异常信号影,边界清,大小约1.6cm×2.0cm×2.2cm,信号欠均匀;双侧大脑、小脑半球对称,形态如常,脑实质未见异常信号影,脑室、脑池系统形态、大小未见异常,脑沟、脑裂未见增宽、加深征象,中线结构居中,脑干形态、信号未见异常。双侧蝶窦内见异常信号影填充。影像诊断:鞍区占位,建议增强检查(图1)。④脑电图检查:两半球基本波率为低幅不规则的快波活动,呈广泛性分布,双侧基本对称,调节、调幅差,各导联可见少量9~12Hz低幅α波,不以顶-枕区为主,混杂较多弥漫性低-中幅的θ波及θ活动。视反应未见明显改变。过度换气:未见明显改变。印象:轻度异常脑电图,轻度异常脑电地形图。⑤心理测试:韦氏成人智力测试全量表智商84,操作智商95,言语智商87;韦氏记忆测试55,测试中患者不太配合,注意力不太集中。PANSS量表阳性症状量表总分31,突出阳性症状群为幻觉、妄想;阴性症状量表总分31,突出阴性症状群为情感平淡、意志减退。
入院诊断:脑器质性精神障碍;鞍区占位。
诊疗过程:入院后患者表现较安静,无吵闹,但怪异行为较多,无目的地在各个病房穿梭,怪异手势,并且不太配合检查及治疗,警惕性高,不信任医护工作人员,在家属及护理人员协助下完成头颅MRI等多项检验检查。神经外科会诊后考虑:鞍区占位,结合患者既往病史及手术史,考虑垂体腺瘤可能性大,建议手术治疗。后与家属进行病情沟通,考虑精神症状与脑部病变相关的可能性大,单用抗精神病药物治疗效果可能不满意,建议行手术治疗原发病,但家属由于经济原因拒绝进一步手术治疗,住院4天后自动出院。
图1 鞍区占位
最后诊断:垂体腺瘤所致精神障碍。
随访:出院后2014年12月电话随访,家属告知患者多次因精神症状影响而外走,2013年外院行HIV确诊试验阳性,2014年6月最后一次出走后未能找回,已向派出所报案。
垂体瘤是一组从垂体前叶和后叶及颅咽管上皮残余细胞发生的肿瘤。是一种较为常见的生长缓慢的颅内肿瘤,其发病率在颅内肿瘤中仅次于脑胶质瘤和脑膜瘤,约占10%,但尸检发现率为20%~30%。由于影像学及内分泌检查手段和显微外科的进展,诊断和治疗水平均有了明显提高。该病在男性略多于女性,青壮年时期居多,女性患者更易罹患泌乳素分泌型垂体腺瘤,常常会影响患者的生长发育、生育功能、学习和工作能力。
脑垂体是体内的一个重要的内分泌器官。分为腺垂体(垂体前叶)和神经垂体(垂体后叶)。垂体前叶有5种不同功能的腺细胞。主要分泌蛋白类激素,如生长素、催乳素、促肾上腺皮质激素和促黑色素细胞素;后者主要是储藏下丘脑产物的器官,如抗利尿激素、催产素。垂体腺瘤按激素分泌类型分为功能性垂体腺瘤(如催乳素腺瘤、生长激素腺瘤、促甲状腺激素腺瘤等)和无功能性垂体腺瘤。按肿瘤大小分为:巨大腺瘤(直径>3cm)、大腺瘤(直径1~3cm)和微腺瘤(直径<1cm)。结合影像学分类及病理学分类分为侵袭性垂体腺瘤和非侵袭性垂体腺瘤。
垂体腺瘤的临床表现与激素水平、肿瘤大小及侵袭程度有关,主要包括几大类:激素分泌异常症群、肿瘤压迫垂体周围组织的症群、垂体卒中和其他垂体前叶功能减退表现。
(1) 激素分泌异常症群:如生长激素过多引起肢端肥大症;激素分泌过少症群,当无功能肿瘤增大,正常垂体组织遭受破坏时,因促性腺激素分泌减少而闭经;不育或阳痿常最早发生而多见。
(2) 肿瘤压迫垂体周围组织的症群以肿瘤向鞍外扩展压迫邻近组织结构出现的压迫症状最为多见,往往为患者就医的主要原因,如:神经纤维刺激症呈持续性头痛;视神经、视交叉及视神经束压迫症,患者出现视力减退、视野缺损和眼底改变。
(3) 垂体卒中:垂体腺瘤可突然发生大块性出血或梗死,从而引起突然剧烈的临床症状,为外科的紧急症。其临床表现多种多样。典型卒中表现为急性头痛、头晕、呕吐等颅压增高症状,以及视力视野改变,压迫下丘脑、脑神经引起的症状,严重者会导致死亡。
(4) 其他垂体前叶功能减退表现:身材矮小和性发育不全、尿崩症、性腺功能减退等。另外,接近第三脑室的染色垂体腺瘤可引起明显的精神异常,表现为迟钝、嗜睡、无欲、记忆力减退、集中注意力困难,甚至虚构、错构,也可见幻觉、妄想。
垂体腺瘤患者常见的认知功能障碍主要表现为执行功能及记忆损害,常可合并抑郁、焦虑、行为紊乱及人格改变等诸多问题。其发生机制可能与下丘脑-垂体-靶腺轴受损致激素分泌紊乱有关,也可能与情绪异常、肿瘤占位及治疗方法等多种因素有关。
有研究报道,垂体瘤所致精神障碍有几个共同点:①发病前1~2天有发作性激越。②病程呈间断发作性,且缓解期完好。③精神障碍与月经周期有密切关系。④血清PRL检查均>100ng/ml,垂体MRI加强扫描提示垂体微腺瘤。徐贵云等对伴有精神障碍的垂体微腺瘤的临床分析中,临床表现有少语少动,反应迟钝,食欲差,焦虑心烦,多疑,易发脾气,关系妄想,被害妄想等。垂体微腺瘤所致精神障碍的精神症状多种多样,需与精神分裂症、心境障碍鉴别。与精神分裂症的区别:精神分裂症为慢性起病进行性加重的病程,一般有明显的幻觉、妄想,社会功能损害较明显;而垂体微腺瘤所致精神障碍为间断发作性病程,幻觉、妄想症状不明显,缓解期完好,对精神药物治疗效果不佳,对合并溴隐亭治疗效果好。与心境障碍区别:垂体微腺瘤所致精神障碍的情感症状,缺少心境障碍的情感的内心体验,无相应的自我评价过高或过低。
MRI是目前诊断下丘脑和垂体病变的最重要的检查方法,已广泛用于垂体腺瘤的影像评估。MRI可发现>2mm大小的病变,并且能很好的显示垂体腺瘤及周围组织结构的解剖关系,垂体腺瘤一般表现为短T1长T2信号。近年来通过对序列参数的优化及对射频及信号采集方式的改进,出现了如弥散加权成像(diffusion weighted imaging,DWI)、动态增强技术、弥散张量成像(diffusion tensor imaging,DTI)、功能磁共振成像(functional magnetic resonance imaging,fMRI)等很多新的应用,并成功应用于肿瘤的诊断及治疗等方面。目前MRI主要应用于提高垂体腺瘤的影像质量,判断肿瘤侵袭性,区分肿瘤与垂体组织,评估肿瘤质地等方面,从而大大地提高了诊断的准确性,以及为术前评估提供了较准确的依据。MRI的后处理技术中三维影像重建技术能重建出鞍区病变及周围重要结构,并能虚拟演练手术;垂体腺瘤术中MRI及术中导航技术,能有效减少再手术的概率,增加肿瘤切除率并减少手术并发症的发生。
由于各型垂体肿瘤发生机制不同、临床表现各异,治疗选择多样。但目前大部分垂体腺瘤主要是外科手术治疗,还有药物治疗、放射治疗、基因治疗。不同的治疗方案各有利弊,应根据具体的分型及表现选择个体化治疗。随着科学及技术的不断进步,神经外科、眼科、内分泌等多学科的共同协作,多种治疗方法的联合应用等,垂体腺瘤的治疗还有更广阔的发展空间,必将取得更好的疗效。
本例患者在幻觉妄想等精神症状出现时,就有视物模糊症状,故推断此时患者垂体肿瘤已压迫视神经通路,患者先有肿瘤后出现精神症状,切除肿瘤后精神症状随之好转,考虑垂体腺瘤所致精神障碍是有依据的。虽然患者3年前已行手术治疗,但术后肿瘤复发,出现视物模糊及闭经症状,仍考虑精神症状为垂体腺瘤临床表现的一部分。遗憾的是患者因经济原因不能行手术治疗。患者为青年女性,且以幻觉、妄想等精神症状表现为主,很容易考虑精神分裂症的诊断,但进一步询问病史发现患者伴有头痛、视物模糊、提早停经等表现,故需进一步完善相关检查及仔细询问病史等,以避免误诊的发生。避免误诊的措施包括:①询问病史要详细,女性尤其对月经史要详细了解。女性患者若有溢乳、月经改变的,须进行血清PRL和MRI检查。②详细了解病程形式,即病程是持续性还是间断性等。③仔细体格检查,看是否发现阳性体征。④了解精神症状的特点等。
专家点评
对于女性精神病患者需重视月经史及其主诉,精神异常且伴有头痛、视物模糊时需警惕患垂体腺瘤的可能。



