血管性痴呆,嗜铬细胞瘤,继发性高血压,精神障碍
患者男性,70岁,高中文化,退休工人。因“记忆力减退,躯体不适6年伴言行异常8个月”于2017年6月24日入精神科,患者女儿介绍病史。
现病史:患者2011年 7月出现记忆力下降,偶有出门忘记带手机、钥匙,买东西忘记找零钱等。当时能料理家务,家人不以为意。做事主动性下降,情绪低落。称“全身不舒服”,自诉有头晕、头痛、四肢无力、腹部不适感等。睡眠差,躺在床上难以入睡。病后到当地某医院诊治,具体诊断不详,口服“阿普唑仑、氟哌噻吨美利曲辛片”等,睡眠稍有改善,但仍反复诉头晕、头痛等。对平常感兴趣的事情也提不起精神,户外活动减少。2013年11月9日至11月23日,患者因“头晕乏力、走路不稳”到某医院神经内科住院治疗,诊断“慢性脑供血不足;高血压病2级(极高危组);高同型半胱氨酸血症;高脂血症”,经改善循环、营养脑神经、降压等治疗后病情好转出院。2014年患者被送到南宁市某养老院生活,期间仍情绪低落,周身不适、头晕,在某医院门诊服用“舍曲林、酒石酸唑吡坦、奥氮平、阿普唑仑”等治疗,病情有好转。2016年10月8日至2016年11月3日,患者因“双下肢乏力”再次在当地医院住院治疗,诊断“后循环缺血;抑郁症;高血压病3级(极高危组);高同型半胱氨酸血症;心律失常”,予降压、抗抑郁、改善循环后病情好转出院。近8个月以来,患者记忆力下降加重,健忘,经常找不到自己刚刚收起的物品。不愿和他人沟通交流,反复说自己的东西被别人偷了,称有人用万能钥匙开他的储物柜拿走他的东西,养老院里有许多人想害他,称有无线电和激光影响及监视他等。时有听到耳边有声音议论他,多是难听的话,但又看不到人,声音白天、晚上都出现。有的声音说“他有癌症,会传染给别人”,还有声音说“我们不要理他,不要靠近他”,患者因此情绪激动,和他们对骂。夜眠差,拿着衣架反复敲打地板,影响周围人的生活。护理人员发现患者有时在小区散步时找不到回养老院的路。家属为求进一步诊治入住某院,门诊拟诊“血管性痴呆;高血压病;高同型半胱氨酸血症”收入院。此次发病以来,患者无畏寒、高热、抽搐,食欲减退,体重下降,夜眠差,二便正常。
既往史:患高血压病10年余,目前使用硝苯地平降压治疗,血压控制不稳定。有缺血性脑卒中、双膝关节炎病史。否认肝炎、结核、伤寒等传染病史。无昏迷及抽搐史。无输血史、外伤、手术史。无精神活性物质依赖史。无药物过敏史。否认性病史。
个人史:排行第一,生长发育史无异常。适龄上学,高中文化,学习成绩一般,高中毕业参加工作,为普通工人,工作表现好。无长期毒物、化学物品或重金属接触史。有30年吸烟史,已戒烟10多年,无饮酒史。平素性格内向安静,否认有冶游史。
家族史:父亲、母亲已过世,无精神病家族史,否认有家族遗传病史及传染病史。
体格检查:体温36.3℃,脉搏90次/分,呼吸19次/分,血压145/95mmHg。步态缓慢,双耳听力下降,左耳明显。双肺呼吸音清,未闻及干、湿性啰音。心率90次/分,心音有力,心律齐,心界无扩大,各瓣膜听诊区未闻及病理性杂音。腹平软,无压痛、反跳痛,肝脾肋下未及,未触及包块。肠鸣音正常。双下肢无水肿,右侧上肢腱反射活跃,肌力、肌张力正常,生理反射存在,病理反射未引出,脑膜刺激征阴性。
精神状况检查:意识清晰,接触被动、合作,无主动语言,讲话内容简短。面部表情变化少,动作略显迟缓,对时间、地点及人物的定向力完好,自我定向如姓名、年龄等辨认正确。记忆力减退,不记得早晨吃过什么食物。计算力下降,100连续减7的测验不能正确进行。存在幻听及被害妄想,未查出有错觉和感知觉综合障碍。生活部分能自理,自知力缺失。
入院诊断:血管性痴呆;高血压病;高同型半胱氨酸血症;2型糖尿病。
辅助检查:①血、尿常规:血常规提示大致正常;尿常规正常。②血糖:入院随机血糖12.4mmol/L,入院后连续监测空腹血糖波动在7.9~8.4mmol/L(正常值参考范围:3.89~6.1mmol/L),餐后2小时:12.3~13.9mmol/L↑(正常值参考范围:≤7.8mmol/L)。③心电图提示窦性心律,肢体导联低电压。④血同型半胱氨酸:28μmol/L↑(正常值参考范围:5~15μmol/L),叶酸测定:2.55ng/ml↓(正常值参考范围:4.5~27.2ng/ml),维生素 B12:199.6Pg/ml(正常值参考范围:180~914Pg/ml)。⑤颅脑CT(2016年10月)右侧基底节、两侧放射冠、两侧额顶叶深部白质多发腔隙性脑梗死灶;脑白质慢性缺血改变;老年脑改变。颅脑CT检查(2017年6月):右侧基底节区腔隙性脑梗死;脑萎缩,两侧筛窦炎症。⑥简易智力状态检查量表(MMSE):22(参考范围:21~26轻度认知功能障碍,10~20中度认知功能障碍,0~9重度认知功能障碍)。
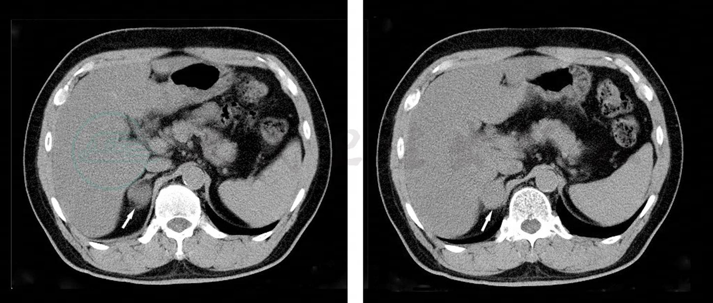
诊疗过程:入院第2天,患者小便时突发头痛、头晕,大汗淋漓,血压波动明显,发作时测量血压值为210/105mmHg,心率上升至142次/分,发作数分钟后缓解。上级医生查房,考虑到患者长期服用降压药血压控制不稳,此次出现阵发性高血压同时伴有“头痛、心悸、出汗”等症状可能为嗜铬细胞瘤释放大量儿茶酚胺入血,作用于肾上腺能受体,出现高血压的症状和体征,故不能完全排除继发性高血压的可能,遂申请泌尿外科会诊。经泌尿外科会诊后,查血浆去甲肾上腺素、血浆肾上腺素,结果回报:血浆去甲肾上腺素2579pg/ml↑(正常值参考范围:100~475pg/ml),血浆肾上腺素375pg/ml↑(正常值参考范围:30~95pg/ml)。腹部CT检查:右肾上腺后肢见一类椭圆形软组织肿块影,密度均匀,边界规整清晰,大小约为29mm×22mm×14mm,平均CT值约为37HU,周围未见淋巴结肿大影,考虑右肾上腺嗜铬细胞瘤(图1),请结合临床;脂肪肝;左肾结石或血管壁钙化。
图1 嗜铬细胞瘤
精神科住院期间,予厄贝沙坦片150mg,2次/日降压治疗,由于嗜铬细胞瘤对血压的影响,患者血压波动130~160/90~110mmHg,予二甲双胍片250mg,2次/日降血糖治疗,盐酸多奈哌齐5mg,1次/日改善认知功能,阿普唑仑片0.4mg,1次/晚辅助睡眠,氯氮平口腔崩解片175mg 1次/日改善精神症状。患者精神行为症状控制后,逐步减少抗精神病药物剂量直到停用。患者精神科住院42天,经药物对症治疗及认知康复训练、生物反馈治疗等综合治疗措施后,患者病情好转,精神症状消失,能主动关心自身健康,对生活事件的应对能力有提升,食欲好、睡眠好。随后转至泌尿外科行嗜铬细胞瘤切除术,术后病理检查肿瘤组织为良性嗜铬细胞瘤。经手术治疗后患者血压稳定,予好转出院。
最后诊断:血管性痴呆;嗜铬细胞;继发性高血压病;高同型半胱氨酸血症;2型糖尿病。
随访:2016年9月随访,患者经手术切除嗜铬细胞瘤后血压恢复正常,精神症状消失,食欲尚可,睡眠好,日常生活能力一般,认知功能无改善。
嗜铬细胞瘤是肾上腺髓质、交感神经节及其他嗜铬组织持续或间断地释放大量儿茶酚胺,引起持续性或阵发性高血压并导致多个器官功能及代谢紊乱的一种内分泌疾病。除分泌肾上腺素及去甲肾上腺素外,嗜铬细胞瘤也可分泌其他激素,引起多种内分泌功能失调。嗜铬细胞瘤临床表现复杂多变且个体差异较大,主要是由于嗜铬细胞瘤阵发性或持续性释放大量儿茶酚胺于血,作用于肾上腺能受体,出现以心血管症状为主的症状和体征,典型的症状为高血压伴头痛、心悸、震颤、高血糖、多汗等。
嗜铬细胞瘤约占高血压患者的0.1~0.6%,嗜铬细胞瘤所致高血压为继发性高血压,主要是由于瘤体分泌大量儿茶酚胺所致,其通过激活血管平滑肌上的α受体,引起血管平滑肌收缩,导致血压增高;此外,还能激活β受体,延长心脏收缩时间及加大收缩力度,使心输出量增加,同时使抗利尿激素、肾素、血管紧张素醛固酮分泌增加,致阵发性高血压或持续性高血压阵发性加剧。嗜铬细胞瘤典型的心血管系统表现为血压不稳定,常表现为血压突然升高,伴剧烈头痛、全身大汗淋漓,心悸、心动过速等。随着病程进展,一般常用的降压药效果不佳。患者因长期高血压导致严重的心、脑、肾损害或因突发严重高血压而导致危象,危及生命。当血压骤升时也容易破裂出血,因此嗜铬细胞瘤可合并脑血管意外。本例患者入院第二天小便时突发头痛、头晕,大汗淋漓,血压波动明显,发作时血压210/105mmHg,心率142次/分,发作数分钟后缓解,是嗜铬细胞瘤继发性高血压的典型临床表现。
脑缺血缺氧是血管性痴呆的主要病因。高血压促进血管性痴呆发生的主要病理损伤是导致血管的动脉硬化,脑血管病变引起脑组织血液供应障碍,导致脑功能衰退。脑血管在血液压力和血流的机械刺激下导致血管内皮断裂、平滑肌细胞脂质透明变性和纤维样坏死。长期高血压导致的脑白质损害可以导致认知功能减退。研究显示高血压与血管性痴呆发病危险性增高显著相关,是血管性痴呆的潜在危险因素。海马是学习记忆的重要结构,并且对脑缺血缺氧极其敏感,脑缺血缺氧极易导致海马神经元凋亡,从而使学习记忆能力下降。痴呆的发生与血管病变的性质和部位有关,严格控制血压是阻止血管性痴呆发展的关键措施。
除心血管系统表现外,嗜铬细胞瘤患者还可出现代谢紊乱,如基础代谢率增高、糖代谢紊乱、脂代谢紊乱、电解质紊乱以及消化系统、泌尿系统、血液系统等多系统的临床表现。由于不同患者嗜铬细胞瘤分泌儿茶酚胺的种类和方式不同,不同种类儿茶酚胺对不同受体的影响亦不同,因此临床表现多样,容易误诊、漏诊。嗜铬细胞瘤发作期也可表现为抽搐、意识丧失、尿便失禁,脑电图可表现为痫样放电,常误诊为癫痫或脑炎。另外,异位嗜铬细胞瘤位于肾上腺外,临床较为少见,临床上对异位嗜铬细胞瘤认识不足也易误诊、漏诊。
患者为70岁老年男性,既往有高血压病史,血压控制不良,存在明确的记忆减退,以近记忆减退为突出症状,同时计算力、理解力均有显著下降,存在社会性退缩等行为异常,严重影响患者的社会功能,符合痴呆的诊断标准。CT检查提示脑部多发腔隙性脑梗死灶,脑白质慢性缺血改变等,且无临床依据或检查结果提示精神障碍由其他可引起痴呆的躯体性疾病或脑疾病所致,由此诊断“血管性痴呆”。但是,本案例的病因分析并非到此为止,而是对血管损伤的可能原因进行了进一步探讨。总结案例诊疗经验,以下几点需要我们予以重视。
第一,纵观病史,患者曾因头晕、头痛、乏力反复于医院就诊,这些症状极大可能是嗜铬细胞瘤引起。然而临床医生以常见病、多发病来解释临床表现,认为血压波动与用药不规律、情绪波动及休息不足等因素有关,未追究高血压的原因,将高血压作为病因诊断,至血压波动一直未引起重视。原发性高血压患者经医生系统治疗大多数血压控制良好,对难治性高血压患者,应该考虑到有其他因素影响血压波动,还应针对可能的发病原因积极评估,进行有效的干预。
第二,在本次患者住院期间,由于嗜铬细胞瘤释放大量儿茶酚胺入血,作用于肾上腺能受体,出现阵发性血压升高及头痛、头晕,大汗淋漓等表现。此次发作的临床表现与高血压危象症状极为相似,容易相互混淆导致真正的病因被掩盖。在临床工作中,血压波动明显,阵发性血压增高伴有心动过速、头痛、出汗等症状,对一般降压药无反应及高血压伴有高代谢表现和糖代谢异常等患者要考虑嗜铬细胞瘤的可能。
第三,患者此次因出现凭空闻声、疑人害等精神症状入住精神科病房,既往有报道称嗜铬细胞瘤也可引发精神症状,所以该患者的精神症状为血管性痴呆出现的幻觉妄想抑或是嗜铬细胞瘤导致的精神症状也值得思考。
第四,高同型半胱氨酸血症是多种疾病的危险因子,特别是冠状动脉粥样硬化、老年性痴呆、卒中、静脉栓塞等心脑血管疾病。
专家点评
对于发作性血压升高,同时伴剧烈头痛、心悸、心动过速等表现的精神障碍患者,如常规降压药治疗效果不明显,且伴神经系统损害时,应高度警惕嗜铬细胞瘤的可能性。



