H女士,55岁,因情绪不稳,言行异常2年女儿带其就诊。
女儿发现最近2年以来,母亲变得话少,和别人交往也变少,有时和别人说话时答非所问,情绪不稳定,睡眠欠佳。H女士与丈夫关系一直不好,4年前丈夫查出肝癌,亲属嘱咐H女士多忍让丈夫,因此H女士经常压抑情绪,以微笑面对丈夫打骂。开始女儿以为母亲因照顾父亲劳累且压抑情绪导致,未予重视,后症状加重,当地医院多次就诊效果不佳而就诊笔者所在医院。
H女士为初中文化,毕业后至技校学习缝纫,在当地开一家裁缝店,手艺很好,有很多回头客。24岁结婚,夫妻关系欠佳,经常吵架甚至动手,但女儿觉得H女士还是很依赖丈夫。4年前,丈夫查出肝癌,脾气更差,此后患者压抑情绪。3年前,为多获得房产,二人办理离婚手续,但仍共同生活。同年H女士关掉裁缝店,专心照顾家务。最近2~3年来丈夫病情逐渐加重,多次住院。H女士平素性格开朗,热心肠,与妹妹、朋友、邻居关系都很好。无烟酒嗜好,无其他精神活性物质滥用史。既往曾发现高血压,目前未服药,血压正常;血脂高,服药治疗。
详细了解病史,2年前,患者妹夫去世,但患者对此事反应漠然,不去安慰原本关系亲密的妹妹,反推说自己要做棉裤,不参与丧葬活动,此后家人逐渐发现患者变得与以往不太一样,很少外出活动,在家里也变得懒动,不关心家务,多在家玩手机游戏、看视频。情绪不稳定,变得容易急躁,做事情没有耐心,稍有困难就生气,比如丈夫住院,让她去办住院手续,她就发脾气,和外孙抢手机,抢不到也发脾气,外孙问的问题她解释不清楚也和外孙发脾气,对女儿及外孙的关心变少。睡眠不好,半夜常醒。不像以前爱说话,别人和她聊天时,感觉患者注意力不集中,回答问题很简单,常常答非所问,“聊天聊不到一块儿,有时你问东,她答西”。有时表现缺乏礼仪,比如去熟人家串门,人家孩子正在学习,她却看吵闹的电视节目。反复上厕所小便,食欲较前明显增加,偏爱吃油腻肉类食物,正餐之间吃许多甜的零食水果,一年中体重增加5kg余。1年前就诊精神病专科医院,行头颅CT检查未见明显异常,考虑“精神分裂症?抑郁?”,建议住院治疗,但因丈夫身体原因未住院。之后症状波动不稳,丈夫多次住院治疗,患者感到又慌又急,却无法胜任照护工作,多在丈夫病室内坐着,不与他人交流。3 个月前,患者行为越发异常,比如:患者听说萝卜有益身体健康,遂整日说“要吃萝卜,要吃萝卜”,半夜悄悄起床至厨房切萝卜,藏在衣袖里回屋,躲在被窝中吃,家属劝阻后尚能放还萝卜。上厕所次数逐步增加至每天数十次,家属劝阻几分钟后,又要上厕所。就诊当地精神病专科医院,诊断为“抑郁状态”,予以奥氮平15mg/d、度洛西汀120mg/d、佐匹克隆等药物治疗,效果差。上厕所次数仍非常频繁,综合性医院泌尿系统相关检查未见明显异常。2个月前至当地精神病专科医院住院治疗,行头颅磁共振检查未见明显异常,诊断“抑郁状态”,予以奥氮平、度洛西汀、米氮平治疗,并行改良电休克治疗(MECT)8次,效果欠佳,表情变得呆滞,情绪波动不稳,谈到丈夫、女儿会哭泣,生活能力下降,日常生活无法自理,但仍能打手机游戏,时常能赢。为进一步诊治就诊笔者所在医院。现服药物为度洛西汀60mg/d、米氮平30mg/d,奥氮平5mg/d。
H女士是得了抑郁症吗?从病史来看,患者病前存在不良生活事件,夫妻关系不好导致长期慢性压力,出现症状前一两年经历丈夫患病、因房产需求离婚、结束谋生工作、丈夫多次住院等事件,病初表现话少、活动少,容易发脾气,对业余爱好、社交等缺乏兴趣,情绪不稳定,确需考虑抑郁障碍的可能。但在为H女士进行精神检查的过程中,她并没有表达不愉快和痛苦的体验,对于丈夫患病过程、目前状况及离婚、不工作等事情,没有显出适当的焦急与关切,并没有感受到当前生活中的困境,只是反复陈述“他得了肝癌,我把死了穿的衣服都给他做好了”,精力下降导致的易疲劳感并不突出,没有兴趣下降和乐趣不足的感受,而表现对周围环境中的人和事漠不关心。没有明显的悲观绝望。通过精神检查可以发现,H女士在情感方面的损害是淡漠的表现。淡漠以动机缺乏或减退为核心表现,可以体现在行为、认知和情感三个维度。行为方面表现为有目的的行为丧失或减少,例如在日常生活、社交活动中无主动行为,也缺乏被动参与;认知方面表现为有目的的认知活动缺乏或减少,例如对周围人和事物缺乏兴趣,对自己通常的休闲活动和职业爱好也缺乏兴趣,不能主动关注新闻资讯、个人、家庭和社会事务;情感方面表现体验和表达情感的能力下降,对他人缺乏同情和共情。H女士对妹夫去世反应漠然,对妹妹丧夫的伤痛不能给予关心和支持,而且对自己的女儿、外孙也不关心,可见其淡漠的情感维度表现突出。而且H女士活动减少,不主动做家务、不参与社交活动,对家庭事务并不关注,对目前生活中的困境漠不关心,亦存在行为和认知维度的损害。由此可见,H女士淡漠表现明显,而不是抑郁,因此,H女士目前并没有构成抑郁综合征的证据。
H女士是患了精神分裂症吗?病史中H女士外在表现被动懒散,社交退缩,淡漠,并有异常行为和交流困难,外院曾怀疑精神分裂症的诊断。但精神检查中未查及任何形式的幻觉、妄想等精神病性症状,无思维形式或逻辑方面的异常,虽存在类似于精神分裂症阴性症状的表现,但并不似单纯型精神分裂症患者表现出明显的古怪行为、突出的孤僻退缩、情感淡漠和思维贫乏。对于53岁起病的晚发型精神分裂症来说,多以幻觉妄想等阳性症状为表现,很少以阴性症状为主要临床相。因此目前精神分裂症诊断证据不足。
H女士到底出了什么问题?在与H女士交流的过程中发现认知功能损害是其目前精神功能损害中的主要问题。患者的交流困难并非来源于精神病性症状导致的不愿暴露,也并非来源于精神运动性迟滞导致的不能顺畅交流,更不是因医患关系未充分建立而有所保留,而是言语功能本身损害引起。患者言语流畅,无发音障碍和说话费力断续,但整体上言语表达空洞刻板,缺乏必要的修饰描述性词语,无明显语法错误,言语理解相对保留,对“把、被、比较”等语法句子的意思也能理解。言语功能测查方面,1分钟内只能生成4~5个动物或水果;一般物品命名尚可,不常见物品命名困难;在文字图片匹配测验中显示存在词汇理解障碍;语义关联测验中显示工具性语义知识障碍;存在一定程度的失写;复述相对保留。执行功能损害,无法完成交替连线测验。抽象能力损害,威斯康星卡片分类测验显示逻辑分析与执行功能水平明显降低。记忆力方面,能够记得近期发生的事件,包括前一天发生过什么事情,医生问过哪些认知相关问题,什么样的医生在什么时候给自己做的检查等,能完成简单计算。视空间功能无明显损害。MMSE评分23分,蒙特利尔认知评估量表(MoCA)得分为13分。日常生活功能受损明显。故考虑H女士目前处于痴呆状态。
痴呆是由大脑病变引起的综合征,临床特征为记忆、理解、判断、推理、计算和抽象思维等多种认知功能衰退,可伴有幻觉、妄想、行为紊乱和人格改变,严重影响患者的工作、生活和社交能力,意识一般无异常。目前临床上常用的痴呆诊断标准系统包括ICD-10(1992年)和DSM-5(2013年)。
ICD-10痴呆诊断标准为:出现多种高级皮质功能的紊乱,包括记忆、思维、定向、理解、计算、学习能力、语言和判断功能,意识清晰,妨碍个人日常生活,上述症状和功能损害至少存在6个月。
DSM-5使用神经认知障碍的术语,将神经认知障碍分为轻度神经认知障碍和重度神经认知障碍,重度神经认知障碍即痴呆,其诊断标准为:
A.存在一个或多个认知领域(复杂注意、执行功能、学习和记忆、语言、知觉运动、社会认知),与先前表现水平相比显 著的认知下降,其证据来源于:①个体、知情人或临床工作者对认知功能显著下降的担心;②认知功能显著损害,最好能被标准化的神经心理测评证实,或者当其缺乏时,能被另一个量化的临床评估证实。
B.认知缺陷干扰了日常活动的独立性(即最低限度而言,日常生活中复杂的重要活动需要帮助,如支付账单或管理药物)。
C.认知缺陷不仅仅发生在谵妄的背景下。
D.认知缺陷不能用其他精神障碍来更好地解释(例如重性抑郁障碍、精神分裂症)。
结合H女士表现,慢性持续性病程2年余,存在明确的言语、判断、执行功能和社会认知的损害,规范的精神检查及神经心理学测查证实上述多个认知领域的损害的存在,日常生活功能明显受损,无论ICD-10痴呆的诊断标准还是DSM-5重度神经认知障碍的诊断标准均符合。
血常规、尿常规、血生化、电解质、甲状腺功能、激素、血清叶酸、维生素B12等实验室检查除发现血脂指标偏高外未见明显异常。梅毒及HIV抗体阴性。心电图下壁、前侧壁T波低平,无心动过缓或传导异常。脑电图正常范围。诱发电位彩色地形图显示对视觉刺激的脑神经反应减慢。
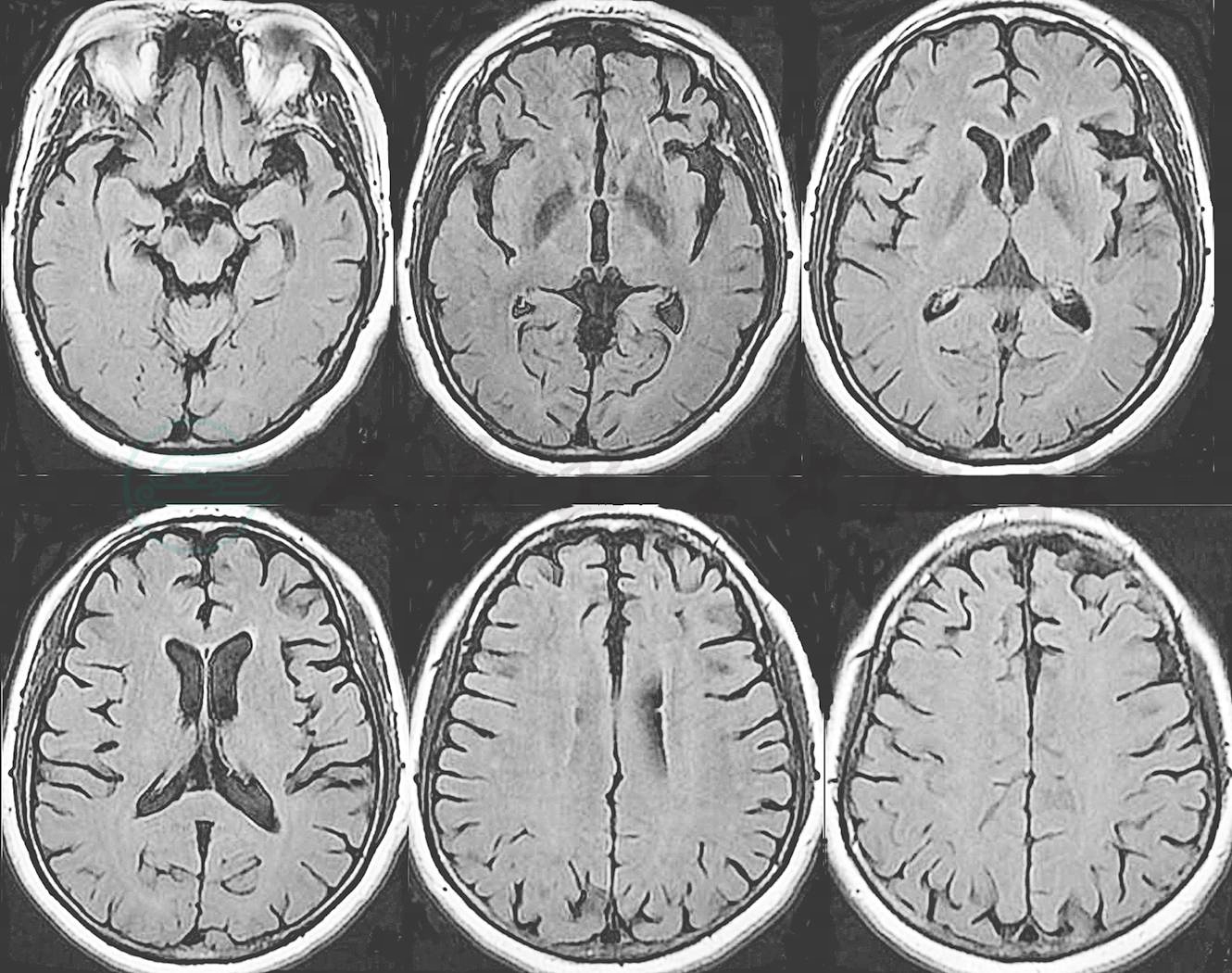
头颅MRI显示脑白质脱髓鞘变性,颞叶前部和额叶稍显萎缩,左侧为著(图1)。

图1 患者头颅MRI表现
引自:主编:从经典案例学习老年精神病学.第1版.ISBN:978-7-117-33709-0
.进一步分析病史:H女士在疾病早期主要表现淡漠和人格改变,逐渐出现言语交流的困难,明显的社交不适切行为,存在刻板行为以及食欲和进食行为的改变,认知功能方面以言语/语言功能与执行功能损害为主,情景记忆损害不突出,视空间功能相对保留,结合头颅MRI结果,诊断为额颞叶痴呆。治疗上逐渐减停奥氮平和米氮平,保留度洛西汀,合并美金刚10mg/d。调整药物治疗期间,H女士情况稍有好转,情绪变得稳定,反复上厕所次数明显减少,言语交流较前稍显顺畅,有时主动诉说一些简单需求,主动要求和病友玩麻将。同时给予家属支持,对家属进行疾病知识及照护技巧培训,相关风险(如脱抑制行为可能引发的社交危机等)防范,以及非药物干预的方法和可利用的资源。
额颞叶痴呆(frontotemporal dementia,FTD)这一术语包含一组神经变性疾病,以行为、执行功能或语言功能的进行性损害为特征。FTD是神经变性病性痴呆中仅次于阿尔茨海默病(Alzheimer’s disease,AD)和路易体痴呆(dementia with Lewy body,DLB)的第三种常见痴呆类型,是早发痴呆的最主要类型。因其突出的行为损害特征,非常类似多种精神障碍,因此在诊断方面存在一定困难。
FTD分为三种临床变异型:行为变异型额颞叶痴呆(behavioural-variant FTD,bvFTD),早期出现行为和执行功能损害;非流利型原发性进行性失语,表现为口语、语法和词语输出的进行性损害;语义型原发性进行性失语,表现为进行性语义知识和命名障碍。
bvFTD最突出的早期症状是人格改变、脱抑制和淡漠。行为脱抑制会导致愚蠢和社交不适切行为(如本例患者所表现出的去熟人家串门,人家孩子正在学习,她却看吵闹的电视节目),冲动和草率的行为(如鲁莽消费),犯罪行为(如偷窃、公共场所排尿、性骚扰或肇事逃逸),以及令人尴尬的人身攻击。脱抑制常导致财务决策失误,进而引发经济损失。淡漠表现为对工作、业余爱好、社交和个人卫生兴趣下降,可能被误认为抑郁,本案例患者H女士因其淡漠表现曾在两家精神科医院疑诊抑郁,给予过大剂量抗抑郁药物甚至电休克治疗,但效果不理想。bvFTD患者对家人和朋友缺乏同情和共情,社交兴趣下降,对他人情感和需求的反应性下降。正 如H女士在疾病早期即表现对孩子的关心变少,甚至对妹夫去世反应漠然,不去安慰原本关系亲密的妹妹,反推说自己要做棉裤,不参与丧葬活动。患者还会表现刻板行为,包括简单的重复动作,强迫性仪式行为。暴食、喜食甜食和饮酒增多、体重增加是bvFTD患者口欲增强的表现,本例患者也有此类表现。bvFTD患者通常表现各种执行任务损害,早期视空间功能正常。对自己行为异常的自知力差。bvFTD因其淡漠、情感退缩、重复强迫行为,以及可能出现妄想和欣快,是最容易被误诊为精神障碍(包括精神分裂症、抑郁障碍、双相障碍和强迫障碍)的类型。
语义变异型原发性进行性失语,又称语义性痴呆(semantic dementia,SD),指以语义性失语为特征的综合征。症状是由早期不对称性颞叶前部和杏仁核变性导致。语义缺失使得患者对人、地点和物品命名障碍,找词困难,单个词语的理解障碍,尤其是患者日常生活中不常用的词语。对名词的命名障碍重于对动词或代词的命名障碍。存在表层失读(可以按照发音来读词,但不能阅读拼写不规则的词)和失写。其他语言领域不受损,尤其是在疾病早期,患者保持语法正确和发音流利。当疾病从颞叶进展到眶额皮质,会出现行为改变,例如易激惹、情感退缩、失眠,以及进食行为改变,通常专注于一种特殊类型的食物;有时表现抑郁。本例患者存在轻度命名困难,在工具性语义知识和词汇理解方面存在一定困难,并有一定程度的失写,具有SD的特点,但其以非常突出的行为损害和人格改变起病,此并非SD的典型表现。
非流利型原发性进行性失语以说话缓慢、费力和断断续续,以及语法错误为特征。患者常出现发音错误;对复杂语法结构的句子可能理解困难,但能理解用简单句子表达的同一语义内容。在疾病早期,一些患者虽表现显著的口语缺陷,但书写不受损。单个词语理解和物品知识不受累,但可能表现轻度命名障碍。本患者不具备非流利型原发性进行性失语的表现。
综上,考虑H女士为bvFTD的可能性最大。在FTD的诊断和鉴别诊断中,影像学起到至关重要的作用。结构MRI和CT的特征性表现为额叶或颞叶前部的显著萎缩,额岛区域的萎缩尤其提示FTD。FDG-PET和SPECT显示这些区域的低代谢和低灌注。tau-PET是非常有前景的影像学检查手段,有助于早期识别以tau病理为主的FTD。淀粉样蛋白PET成像有助于与AD的鉴别。
目前尚无被批准用于FTD的治疗药物,现有治疗关注于对行为症状的管理。5-羟色胺选择性重摄取抑制剂(serotonin-selective reuptake inhibitors,SSRIs)可以改善强迫、激越、攻击性、冲动性和异常进食行为的严重程度。低剂量抗精神病药物也可用于处理行为异常。胆碱酯酶抑制剂无效,还可能加重额颞叶痴呆的行为异常。美金刚治疗证据不充分。因此,非药物干预可能更加重要。一些在研的药物包括针对tau病理的抗体、tau蛋白聚集抑制剂,以及针对颗粒蛋白前体的相关药物。
额颞叶痴呆,尤其是行为变异型,因其早期症状为人格改变、淡漠和行为异常,常常首诊于精神科,极易被误诊为精神障碍,精神科医生需要充分认识这一疾病,以期能够早期识别,早期给予规范管理,尽可能延缓疾病进展,提高患者和家属的生活质量。