病历摘要
1.临床资料
(1)病例1,女性,39岁,右乳肿块发现9年,突然增大伴疼痛2个月余。体格检查:双侧乳房不对称,右乳较左乳大,其内触及大小约10.0cm×6.0cm肿块,质稍硬,边界尚清,活动度可,稍有触痛,皮肤血管显现,乳头向内侧偏移。
(2)病例2,女性,50岁,左乳肿块发现3个月余并逐渐增大。体格检查:左乳明显大于右乳,左乳可触及大小约15cm×15cm×14cm肿块,界限尚清,活动可,无压痛,皮肤菲薄,血管显现。左腋窝可触及大小约2.0cm×2.0cm淋巴结,质硬。
2.影像所见
(1)病例1:
X线、超声及彩色多普勒血流图。

图1 图1a,X线影像头尾位(CC位)。图1b,X线影像内外斜位(MLO位)。X线显示右乳巨大肿块,边缘清楚,密度尚均匀,未见恶性钙化,邻近皮下脂肪层变薄,皮肤不厚。图1c,超声检查纵切面图,超声示右乳巨大低回声肿块,内部回声不均,其内见不规则囊状间隙。图1d,彩色多普勒血流图,周围及其内见丰富血流信号
(2)病例1:
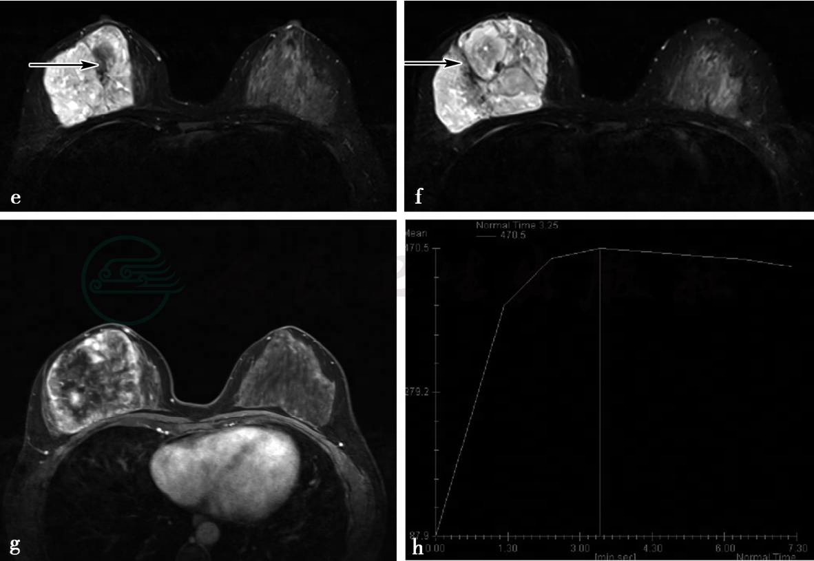
MRI平扫及增强扫描

图2 图2e、f,MRI横断面T2加权成像不同层面,图2g,横断面增强压脂T1加权成像,图2h,TIC曲线。MRI示右乳内巨大分叶状肿块,界清,有完整包膜,信号不均匀,内见囊状间隙(图e箭头所示)及低信号分隔(图f箭头所示),动态增强后呈明显不均匀强化,囊状间隙及分隔无强化,时间—信号强度曲线呈流出型
(3)病例2:
X线及MRI平扫、增强扫描



图3 图3a,X线影像内外斜位(MLO位),图3b,X线影像头尾位(CC位)。图3a,X线显示左乳巨大分叶状肿块,界清,密度增高且不均匀,未见恶性钙化,周围血管影增多,左腋区淋巴结增大。图3c~g,MRI检查。图3c,横断面T1加权成像,图3d,横断面T2加权成像,图3e,横断面增强压脂T1加权成像,图3f,ADC图,图3g,时间—信号强度曲线。MRI检查示左乳内巨大肿物,边界清,有完整包膜,分叶状,信号不均匀,内见囊状间隙(图d箭头所示)及低信号分隔(图e箭头所示),ADC值约0.83×10-3mm2/s,动态增强后囊状间隙及分隔无强化,时间—信号强度曲线呈流出型
诊断
(1)病例:
病理结果

图4 图4i,肿瘤间质细胞丰富,异型不明显,未见核分裂象(见文后彩图)
诊断:病例1,良性叶状肿瘤
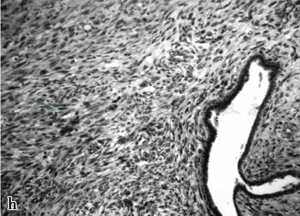
(2)病例2:
病理结果

图5 图5h,间质呈明显的肉瘤样特征,通常表现为纤维肉瘤改变肿(见文后彩图)
诊断:病例2,恶性叶状肿瘤



