案例诊断
(左乳腺)浸润性小叶癌
病例摘要
病历摘要
1.临床资料
病例4,女性,42岁,左乳肿物发现半年,近1个月明显增大,无疼痛等其他不适症状。体格检查:左乳中上方距乳头3.0cm处可触及3.0cm×2.0cm肿物,质地硬,边界不清,活动度差。双侧腋下及锁骨上未触及肿大淋巴结。
2.影像所见
(1)病例4:
X线及二维超声图。


图1 图1a,右乳X线头尾位。图1b,左乳X线头尾位。图1c,右乳X线内外斜位。图1d,左乳X线内外斜位。图1e,左乳病变二维超声图。超声显示左乳腺中上方1.5cm×0.9cm低回声区,边界不清,内部回声不均匀,其后方可见声影
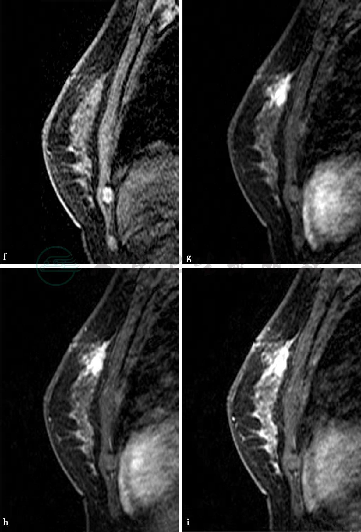
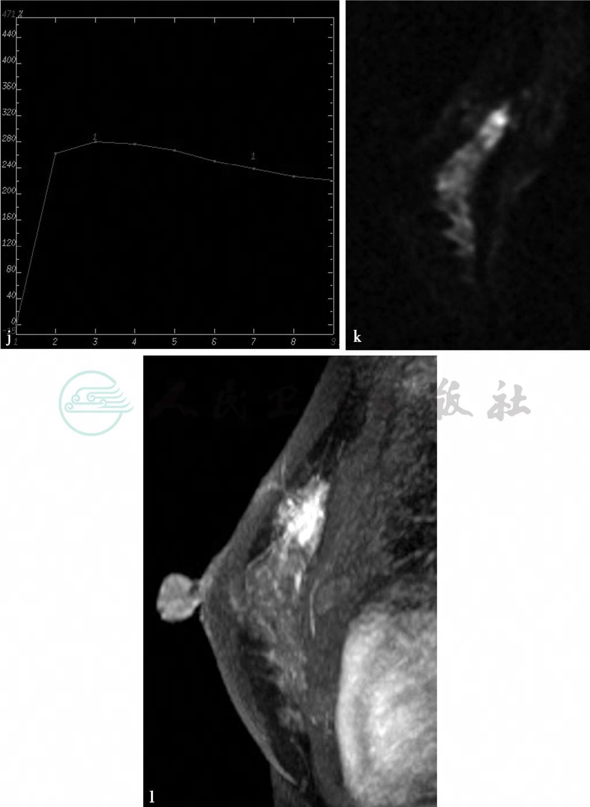
(2)病例4:
MRI平扫及增强扫描。


图2 图2f~i,分别为MRI动态增强前及增强后1min、2min、8min。图2j,病变时间-信号强度曲线图。图2h,病变DWI图(b= 1000s/mm2)。图2l,MIP图。图2g~i,MRI显示左乳腺中上方局限不规则异常强化,边界不清,范围约1.2cm×2.2cm× 2.5cm。图2j,动态增强后病变时间-信号强度曲线呈流出型。图2h、l,DWI上呈高信号,ADC值较低,病变邻近血管较丰富,皮下脂肪层混浊
诊断
病例4,(左乳腺)浸润性小叶癌。
此内容为收费内容
作者
郭启勇



