病历摘要
1.临床资料
(1)病例2,女性,58岁,左乳肿物发现1周,无其他不适。体格检查:左乳中上距乳头6.0cm处可触及3.0cm×2.0cm肿物,质地硬,边界不清,活动度欠佳,双腋下及锁骨上未触及肿大淋巴结。
(2)病例3,女性,71岁,右乳无痛性肿物伴右腋下肿物发现4天。体格检查:右乳外上距乳头4.0cm处可触及3.5cm×4.0cm肿物,质地硬,边界不清,活动度差,右腋下触及一直径2.0cm的肿大淋巴结,质地硬,活动度可。
2.影像所见
(1)病例2:
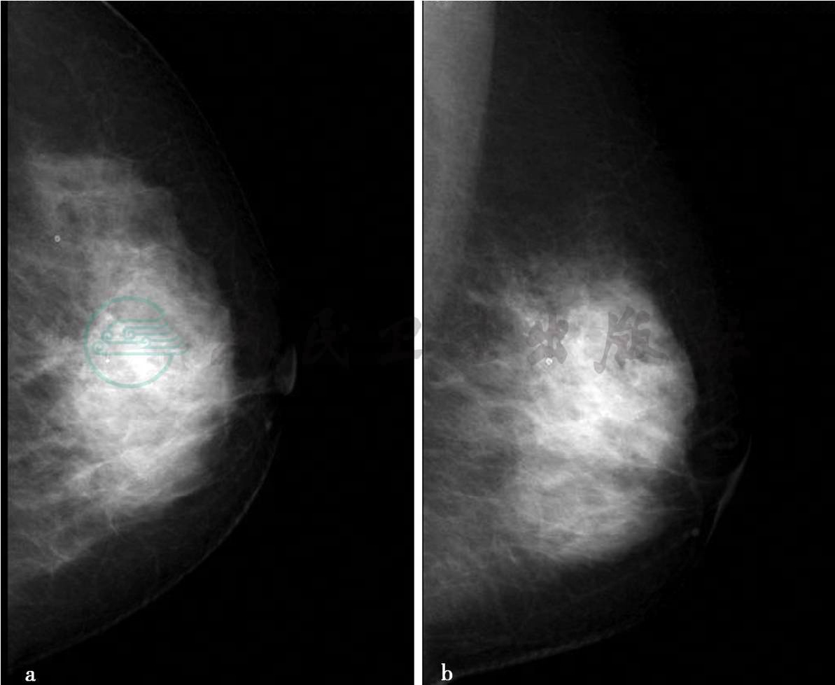
X线及超声检查。



图1 图1a,左乳X线头尾位。图1b,左乳X线内外斜位。图1c,左乳钙化区局部放大片。图1d,切除标本钙化区局部放大片。X线显示双乳呈致密型乳腺,左乳中上可见多发不定型及模糊的细小钙化,呈多发成簇的区域性分布,该钙化于放大片显示明显(图c),局部腺体结构不良,未见明确肿块。图1e,左乳病变二维超声图。超声显示左乳中上方腺体局限增厚,厚度约2.3cm,内部回声致密、增强、不均匀,其内可见约0.8cm×0.6cm不规则低回声反射区,边界不清,内部回声不均匀,其中可见多发点状强回声钙化
(2)病例2:
MRI平扫及增强扫描。


图2 图2f~h,分别为MRI动态增强前及增强后1min、8min。图2i,病变时间-信号强度曲线图。图2j,MIP图示病变侧血管较对侧明显增粗、增多,皮肤未见明显异常,腋下未见肿大淋巴结。图2g、h,分别为动态增强MRI示左乳中上方片状不均匀强化,整体呈段性分布。图2I,病变区时间-信号强度曲线呈平台型,范围约5.0cm×3.3cm
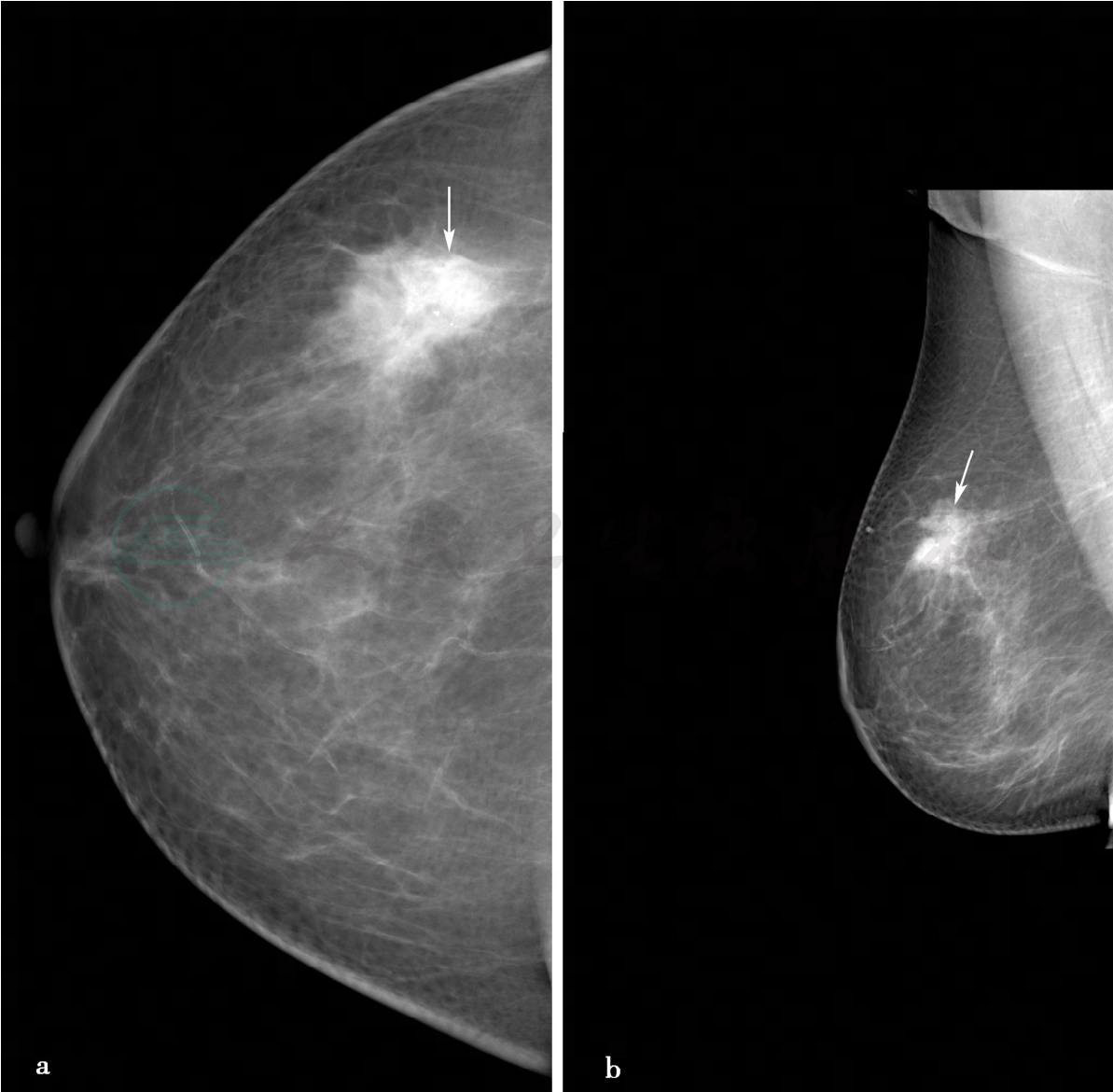
(3)病例3:
X线及超声检查。


图3 图3a,右乳X线头尾位。图3b,右乳X线内外斜位。图3c,右乳病变局部放大片。X线显示右乳呈脂肪型乳腺,右乳外上不规则分叶状肿物(图箭头所示),大小约1.8cm× 2.3cm,边缘呈蟹足状浸润,其内可见2枚点状钙化,皮下脂肪层清晰,皮肤及乳头正常。图3d,右乳病变二维超声图,超声显示右乳外上1.5cm×2.0cm低回声反射区,形状不规则,边界不清楚,边缘呈蟹足状浸润,内部回声不均匀,肿物后方可见声影。图3e,右腋下淋巴结二维超声图,右腋下可见1.3cm× 2.3cm肿大淋巴结,正常淋巴结门结构消失
(()病例6-2-3:
MRI平扫及增强扫描。


图4 图4f~i,分别为MRI动态增强前及增强后1min、2min、8min。图4j,病变时间-信号强度曲线图。图4k,MIP图。图4l,右乳病变DWI图。MRI显示右乳外上方不规则肿物,大小2.0cm× 3.0cm,边缘细小分叶及毛刺,动态增强后肿物呈明显强化(图g、h、i箭头所示)。图4j,时间-信号强度曲线呈“快进快出”流出型。图4k,右腋下相当于胸外侧动脉周围可见多发淋巴结,其中最大者为1.8cm×2.2cm(箭头所示)
诊断
(1)病例2,(左乳腺)非特殊型浸润性导管癌(浸出成分较少,可见广泛导管原位癌),腋下淋巴结:0/19。
(2)病例3,(右乳腺)非特殊型浸润性导管癌,腋下淋巴结:3/16。



