案例诊断
贲门胃底癌
病例摘要
病历摘要
1.临床资料
病例7,男性,53岁,上腹胀痛2年,进食哽噎感2个月。2年来感上腹胀痛,未行正规治疗。近2个月来感胸骨后哽咽感,初以质硬食物为主,进食困难逐渐加重,现仅能进流质。体格检查:体型消瘦,腹部膨隆不明显,右上腹有轻微压痛,肝脾不大。实验室检查:丙氨酸氨基转移酶(ALT) 32U/L,天门冬氨酸氨基转移酶(AST)42U/L,Ag-HBV (-)。
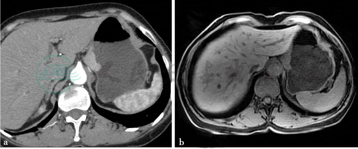
2.影像所见
病例7:CT增强扫描及MRI平扫及弥散加权图(贲门胃底癌)。


图1 图1a,CT增强静脉期图。图1b~d,分别为轴位T1WI,T2WI及DWI图。贲门胃底可见软组织肿块,轻度强化,MRI上呈稍长T1,稍长T2信号,DWI上为高信号
诊断
病例7,贲门胃底癌。
此内容为收费内容
作者
郭启勇



