案例诊断
脾脏淋巴瘤;脾脏及腹膜后淋巴结淋巴瘤;脾脏大B细胞淋巴瘤累及胰尾及胃底
病例摘要
病历摘要
1.临床资料
(1)病例37,男性,54岁,腹痛2个月,发烧10余天。
(2)病例38,女性,49岁,上腹痛伴包块2周。
(3)病例39,女性,80岁,食欲下降,消瘦3个月。
2.影像所见
(1)病例37:
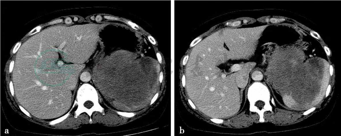
CT平扫及增强扫描。

图1 图1a~c,CT平扫、增强动脉期及静脉期图像。脾脏明显增大,密度不均,增强后不均匀轻度强化
(2)病例38:
MRI平扫及增强扫描。

图2 图2a、b,轴位LAVA动脉期及静脉期图像。图2c,冠状延迟图像。脾脏明显增大,动脉期失去正常脾窦的花脾样强化特点,系膜根部及腹膜后见多发淋巴结肿大,部分融合
(3)病例39:
MRI平扫及增强扫描。


图3 图3a~c,轴位增强静脉期图像。左上腹低密度肿块,累及脾脏、胰尾及胃底。增强后呈轻度不均匀强化
诊断
(1)病例37,脾脏淋巴瘤。
(2)病例38,脾脏及腹膜后淋巴结淋巴瘤。
(3)病例39,脾脏大B细胞淋巴瘤累及胰尾及胃底。
此内容为收费内容
作者
郭启勇



