案例诊断
结核性脑膜炎;脑内结核球;结核性脑脓肿
病例摘要
病历摘要
1.临床资料
(1)病例6,女性,14岁。头疼、恶心、呕吐8个月余伴双下肢无力,病情加重1个月余。脑脊液:黄色、浑浊,白细胞计数530×106/L,蛋白定量6720mg/L,氯化物101.2mmol/L,葡萄糖3.88mmol/L。胸部正位片:双肺结核。
(2)病例7,男性,42岁。发热、乏力2个月余,发作性意识丧失10天。脑脊液:白蛋白434.6mg/L,免疫球蛋白IgG 161.0mg/L。胸部正位片:播散性肺结核。
2.影像所见
(1)病例6:
MRI平扫及增强扫描。
(2)病例7:
MRI平扫及增强扫描。

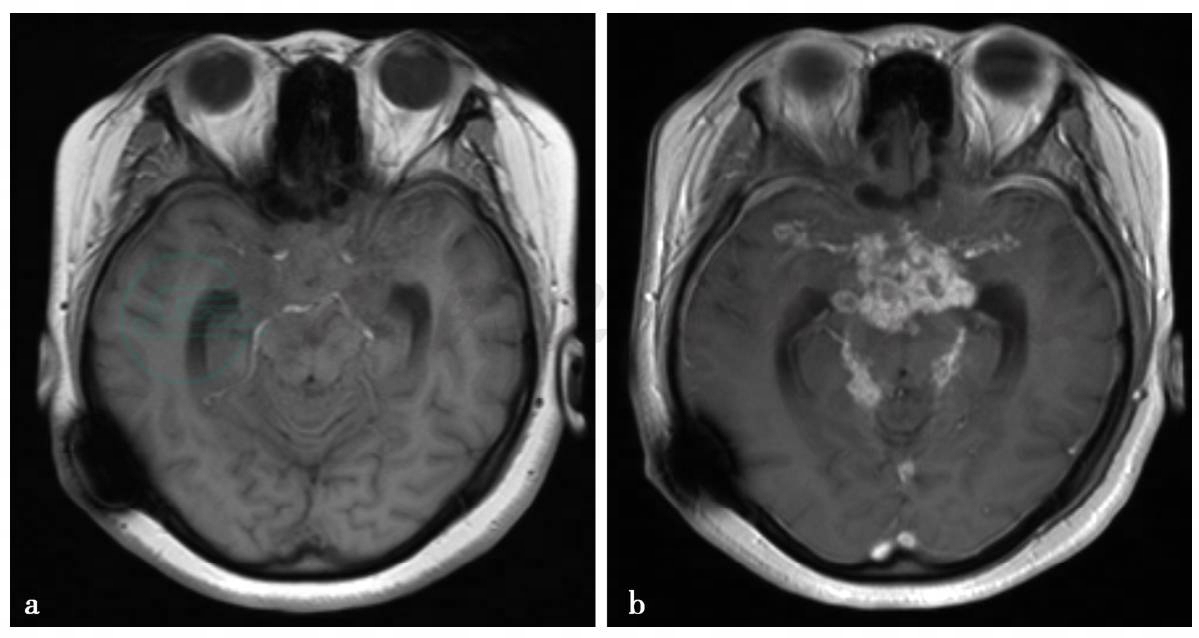
图1 a,T1WI见鞍上池、环池闭塞,正常低信号脑脊液影消失,成等信号影。b,T1WI增强扫描见鞍上池、环状内多发环状、小结节状、条片状强化


图2 a,T2WI见双侧大脑脚呈类圆形等或稍高信号病变,周边伴有水肿。双侧颞叶片状水肿,后颅窝可见蛛网膜囊肿。b,T2WI见右侧小脑半球两枚类圆形高信号病变,灶周可见水肿。c,DWI上双侧大脑脚病变无明显扩散受限,呈略低信号。d,DWI上右侧小脑半球病变扩散受限呈明显高信号。e~f,T1WI增强扫描见双侧大脑脚病变呈环状或多房状强化,双侧颞叶另可见多发小环状强化灶。右侧小脑半球病变呈环状强化,双侧小脑半球可另见多发环状或结节状强化灶
诊断
(1)病例6,结核性脑膜炎。
(2)病例7,脑内结核球、结核性脑脓肿。
此内容为收费内容
作者
郭启勇



