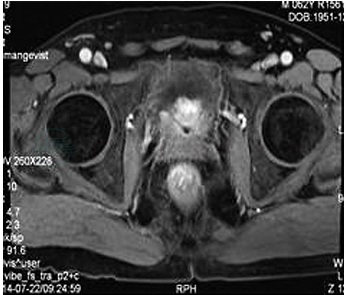
患者男,63岁,因“发现前列腺癌1年,腰痛1周”入院。1年前因排尿困难于我院就诊。TPSA:3.16μg/L。B超提示前列腺增生。直肠指检质地中等硬度,未扪及明显肿块。行经尿道前列腺电切术。术后前列腺常规病理检查提示:前列腺腺癌,Gleason评分5+5=10。免疫组化:PSA部分+,P504S+,34βE12-,P63-,Syn-,CgA-,CD56-。完善骨扫描未见转移灶。行MAB内分泌治疗。定期复查血液TPSA,前列腺磁共振及骨扫描。术后1年因双侧腰胀痛再次就诊入院。B超提示:左侧输尿管下段多发结石伴左肾积水(中度),左肾结石,右肾结晶,右肾集合系统局部分离。前列腺增强磁共振成像(图1):前列腺电切术后,前列腺膀胱交界处结节灶,考虑前列腺癌可能。膀胱后壁增厚多发结节灶,前列腺癌侵犯膀胱,左侧输尿管扩张,其膀胱开口部受侵狭窄。全身骨显像:①T8椎体右侧点状骨代谢轻度活跃,考虑退行变可能;②右11后肋点状局灶性骨代谢轻度活跃灶,骶骨骨代谢不均匀,建议随访。肾动态显像:①右肾血流灌注良好,功能尚可,排泄延缓;②左肾血流灌注差,功能严重受损。

图1 前列腺增强磁共振成像
术前准备
1.术前全身常规血液化验,重要脏器影像学检查,前列腺影像学检查了解肿瘤分期,有无全身转移情况。如上述。
2.术前晚及次日晨清洁灌肠。术前常规备皮,备血。
3.术前抗生素使用控制尿路感染。
手术方法
1.麻醉、体位及Trocar穿刺位置
全身麻醉,气管插管,平卧位,头低脚高位约20°。第1个穿刺点为脐缘,置入10mm的Trocar,30°的观察镜进入后直视下置入其他3个Trocar:第2、3个穿刺点分别为左右腹直肌旁脐下2cm,分别置入12mm的Trocar,第4个Trocar(5mm)置入右侧髂前上棘上方。
2.清扫盆腔淋巴结(图2)
范围为髂动脉分叉以下,包括闭孔淋巴结。

图2 盆腔淋巴结清扫
3.游离前列腺
用超声刀游离膀胱前壁,清除前列腺表面的脂肪组织,贴近盆壁剪开盆筋膜游离至前列腺侧壁,用2-0的可吸收线“8”字缝合阴茎背血管复合体(图3),打开膀胱颈部,注意尽量保留膀胱颈部肌肉,侵犯膀胱颈的前列腺癌不保留膀胱颈;膀胱颈后唇打开后游离双侧输精管,在精囊尖部紧贴双侧精囊打开Denonvilliers筋膜,游离前列腺直肠间隙,离断前列腺侧韧带(图4),对于能够保留性神经的患者在前列腺表面游离前列腺筋膜,推开神经血管束。用剪刀剪开前列腺尖部(图5),保留足够的尿道后剪断尿道,切除前列腺及精囊组织。

图3 缝扎阴茎背静脉复合体

图4 离断膀胱侧韧带

图5 剪刀剪开前列腺尖部尿道
4.吻合膀胱颈与尿道
创面彻底止血,检查直肠无损伤后用2-0可吸收滑线连续吻合膀胱颈和尿道残端,注意吻合口部分的平整。此时再检查双侧输尿管有无喷尿,若输尿管口辨认不清可以试插双J管,若仍不成功需要行输尿管膀胱再植术。输尿管膀胱种植时,当输尿管直径小于1cm时采用输尿管壁背侧纵向切开1cm,输尿管黏膜直接与膀胱黏膜吻合,并将输尿管末段包埋于膀胱肌壁间的方法植入(图6);当输尿管直径大于1cm时,采用乳头法膀胱黏膜对输尿管壁浆肌层吻合的方法缝合,可以有效地预防术后输尿管反流及吻合口再狭窄的发生。

图6 左侧输尿管膀胱再植
5.关闭膀胱
用2-0可吸收线连续缝合关闭膀胱壁后插入20Fr的三腔导尿管,注入20ml气囊后稍微拉紧导尿管,膀胱内注入200ml生理盐水检查有无漏尿,扩大戳孔取出标本,缝合各穿刺孔后结束手术。
术后处理
患者术后每日行导尿管手工低压冲洗处理,防止吻合口渗血渗液堵塞尿路。术后常规肠外营养,第2日患者排气后改为流质并逐渐恢复饮食。术后1周带导尿管出院,两周后门诊拔除导尿管。病理结果:①前列腺根治标本:前列腺腺癌,Gleason评分,5+4=9分,肿瘤累犯右尖部及双侧体部、底部,未见明显脉管、神经累犯,左底部外膜切缘阳性。②右侧精囊腺可见癌累犯。③部分膀胱肌层可见癌累犯。④输尿管断端切缘未见癌累犯。⑤区域淋巴结未见癌转移:左盆腔淋巴结(0/10),右盆腔淋巴结(0/13)。免疫组化染色结果:CK(34βE12)(-)、ERG(-)、P63(-)、AR(+)、CK5/6(-)、P504S(+)、PSA(-/+)。