案例诊断
发疹性黄瘤病
病历摘要
患者,男,27岁,职员。
主诉:四肢皮疹2周,无自觉症状。
现病史:2周前无明显诱因双股部出现皮疹,无自觉症状。皮疹逐渐增多,蔓延至双下肢、双上肢。
既往史、家族史:血糖偏高。青霉素过敏史。家族中无遗传病及类似病史。
体格检查
一般情况:一般情况良好,发育正常,营养中等,系统检查无特殊。
专科情况:四肢散在多数粟粒至黄豆大小浅黄色丘疹,边界清楚,表面光滑,质中,挤压后血性液体渗出,未见白色颗粒状物质排出(图1~图2)。
图1 双侧膝关节处皮肤粟粒至黄豆大小浅黄色丘疹
图2 膝关节处皮肤粟粒至黄豆大小浅黄色丘疹
辅助检查
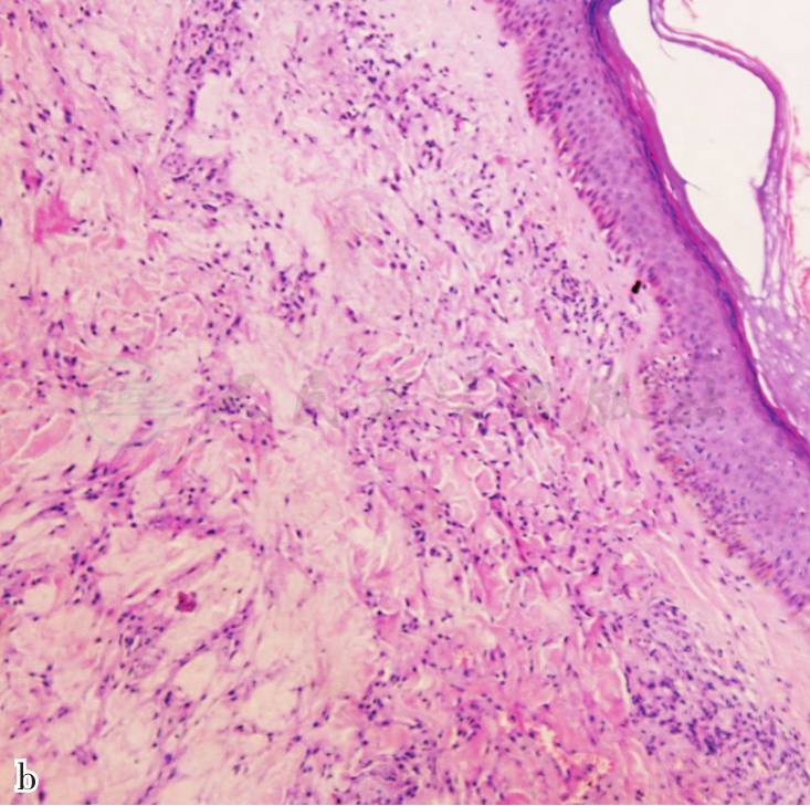
组织病理:表皮轻度角化亢进,真皮灶状胶原纤维变性,周围慢性炎细胞浸润,未见泡沫细胞(图3)。
图3 表皮轻度角化亢进,真皮灶状胶原纤维变性,周围慢性炎细胞浸润
此内容为收费内容
治疗经过
未治疗。



