病历摘要1
患者,女,23岁,某银行职员。
主诉:双侧颈部皮肤出现淡黄色小丘疹,逐渐向周边蔓延,累及腋下及腹股沟区部10余年。
现病史:10余年前患者无明显原因颈部出现片状淡黄色扁平丘疹,米粒大小,无自觉症状,皮疹渐向周边蔓延,6年前腋下亦发疹,3年前脐周、腹股沟区部也出现同样皮损。未予特殊治疗。
既往史、家族史:患者系独生女,其父母非近亲结婚,既往体健,家族中无类似疾病史。
体格检查
一般情况:一般情况可,发育正常,系统检查无特殊。
专科情况:颈部可见密集扁平丘疹,呈淡黄色,米粒至绿豆大小,形状不一,部分融合成斑块状,似鹅卵石样外观,沿皮纹排列成条纹及网状,可触及皮下结节,活动,质略硬,颈两侧皮肤褶皱明显,略松弛。腋下、腹股沟区及脐周亦见线状排列的针头至米粒大小的肤色或浅黄色丘疹,口腔黏膜未见异常。
右眼1.2,左眼1.5;角膜、前房、虹膜、晶状体及玻璃体无异常;双视盘色泽正常、边缘清楚,黄斑无异常。
辅助检查
血常规、尿常规、便常规、血脂、肝功能、肾功能检查均在正常范围。胸部X线片、心电图、超声心动图及腹部B超均无异常发现。
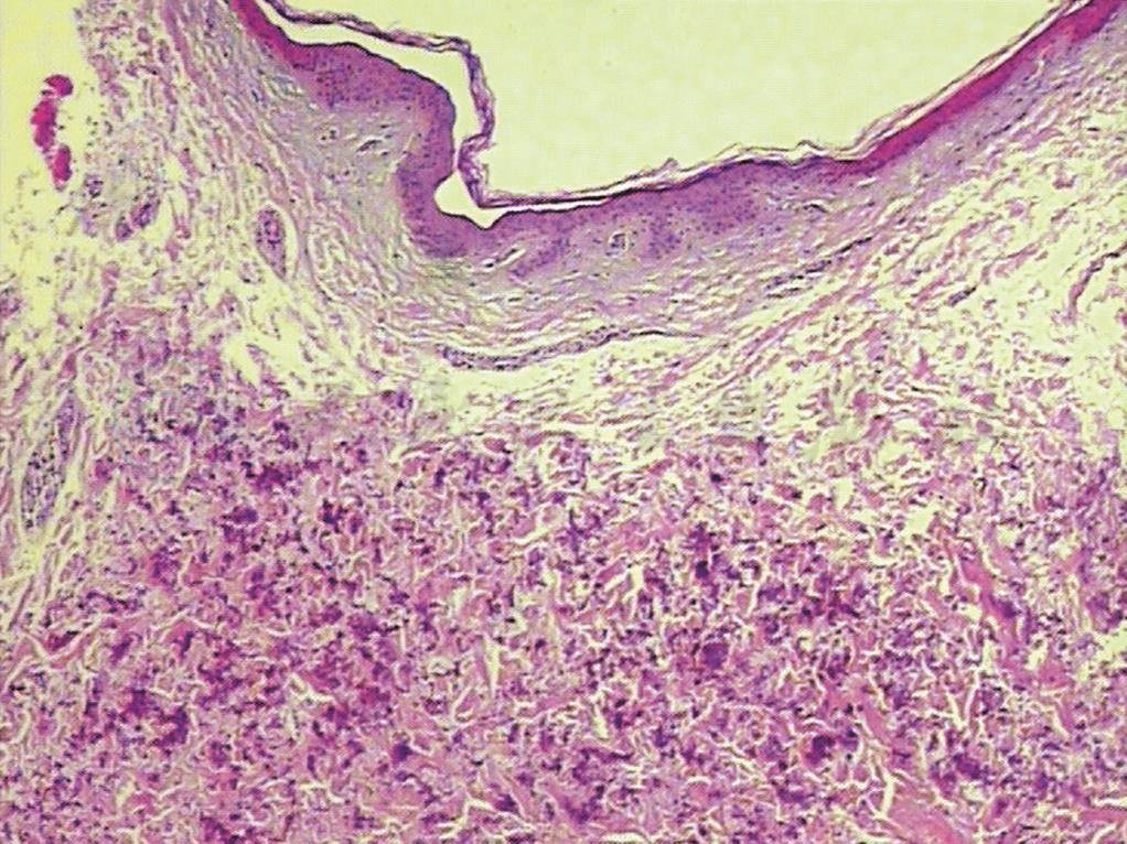
组织病理变化:表皮角化不全、棘层不规则增厚,真皮中部见弹力纤维肿胀、断裂、嗜碱性变。(图1~图2)。
图1 表皮角化不全、棘层不规则增厚,真皮中部见弹力纤维肿胀、断裂、嗜碱性变
图2 真皮中部见弹力纤维肿胀、断裂、嗜碱性变
病历摘要2
患者,女,21岁,学生。
主诉:颈部起淡黄色扁平丘疹,无明显自觉症状,3余年。
现病史:患者3年前无明显诱因由颈部开始起淡黄色扁平丘疹,逐渐增多,呈条带状分布,渐发展至双侧腋下及肘部,无明显自觉症状。未曾用药及采取其他治疗。
既往史、家族史:既往体健。否认药物过敏史,家族中无类似病史。
体格检查
一般情况:良好,全身浅表淋巴结不大,系统检查无异常。
专科情况:颈部、腋下、双上肢肘部伸侧散在淡黄色扁斑疹,部分融合成片,呈条带状分布,界限清楚(图3)。
辅助检查
血常规、尿常规、便常规未见异常。肝肾功能正常。
组织病理:表皮无明显异常,真皮中下层弹力纤维显著变性,弹力纤维膨胀、断裂,部分呈颗粒状。弹力纤维染色阳性。病理符合弹力纤维假黄瘤(图4)。
图3 腋下、双上肢肘部伸侧散在淡黄色扁斑疹,部分融合成片,呈条带状分布
图4 表皮无明显异常,真皮中下层弹力纤维显著变性,弹力纤维膨胀、断裂,部分呈颗粒状
病例1
专家治疗方案:
1.口服维生素E100mg,每日两次。
2.每年体检检查眼底、胸部X线片、心电图及腹部B超。
3.超脉冲二氧化碳激光治疗颈部明显的皮损。
病例2
治疗方案:嘱患者观察大小便颜色,定期监测血压、检查眼底,如出现心绞痛症状时应及时治疗;不能口服避孕药,限制高钙、高磷饮食摄入,以防止失明、消化道大出血、心肌梗死、高血压、颅内动脉瘤及脑血管意外等并发症的发生。随访1年来,皮损无发展,未出现相关并发症。



