案例诊断
嗜酸性粒细胞增生性蜂窝织炎
病历摘要
患者,女,26岁,学生。
主诉:双上肢屈侧水肿性环形红斑、丘疹伴瘙痒3天。
现病史:患者自7岁起双上肢出现水肿性环形红斑、丘疹,春季加重,在当地以“湿疹”治疗,具体用药不详,用药后可好转,皮疹反复发作。近3天皮损逐渐增多,自觉瘙痒,偶有疼痛。
既往史、家族史:既往体健。否认药物过敏史,家族中无类似病史。
体格检查
一般情况:良好,全身浅表淋巴结不大,系统检查无异常。
专科情况:双上肢(以左侧为重)屈侧片状环形红斑有浸润感,红斑上及其周围可见粟粒大小红丘疹,部分丘疹上有小脓疱(图1)。
图1 左上肢上臂屈侧水肿性红斑、丘疹,部分丘疹上可见小脓疱
辅助检查
血常规、尿常规、便常规未见异常。嗜酸性粒细胞计数0.2×109/L。
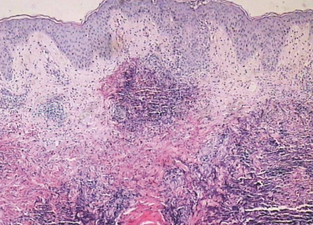
组织病理:网篮状角层,一处角层下小水疱,疱内为嗜酸性粒细胞及多形核白细胞。表皮肥厚,表皮内海绵水肿,乳头区水肿,乳头区血管扩张、充血。真皮全层片状坏死灶,有多数嗜酸性粒细胞及中性粒细胞浸润,嗜酸性粒细胞脱颗粒和变性,嗜酸性物质和核尘沉积在胶原纤维上形成“火焰样图像”。病理符合嗜酸性粒细胞增多性蜂窝织炎(图2~5)。
图2 表皮肥厚,真皮全层片状坏死灶(HE染色×40)
图3 真皮内坏死灶(HE染色×100)
图4 角层下小水疱,疱内为嗜酸性粒细胞及多形核粒细胞(HE染色×400)
图5 嗜酸性粒细胞成群(HE染色×400)
此内容为收费内容
治疗经过
给予口服醋酸泼尼松片10mg/d,左旋西替利嗪片5mg/d;外用卤米松乳膏2次/日,一周后皮损逐渐好转,现随访中。



