病例1
患者,女,66岁,家庭妇女。
主诉:上肢水肿硬化伴疼痛4个月,加重5天。
现病史:患者4个月前无明显诱因双上肢出现水肿,伴疼痛,无发热、关节痛,无面部红斑水肿,无咳嗽、咳痰,无呼吸困难、心悸等,于当地医院就诊,诊断不明,未予以特殊治疗。之后双前臂屈侧皮肤逐渐变硬,肿胀、疼痛症状时轻时重,重时双上肢难以上举,并逐渐出现上臂、下肢僵硬感,下蹲困难。于2009年4月17日于我科就诊,查血常规示WBC 5.8×109/L,E% 11.6%↑,N% 46.7%,ESR 37mm/1h,ANA 1︰160(胞浆,斑点),ENA阴性,尿常规示尿胆原(±),IgG 2070mg/dl↑,IgA 751mg/dl,ASO 382IU/mL↑,心肌酶正常,病理检查示“表皮萎缩,真皮胶原及弹力纤维肿胀变性,附属器未见明显减少”,考虑“结缔组织病?硬皮病?”,未予以特殊治疗。5天前患者出现四肢僵硬症状加重,双上臂、下肢僵硬面积逐渐扩大,伴明显疼痛。患病以来,无发热及其他明显全身症状。
既往史、家族史:患高血压30余年,血压最高达200/90mmHg,一直口服尼群地平1片,每天一次,血压控制稳定,自诉有心脏病病史,未进行系统诊疗。
体格检查
一般情况:一般情况可,发育正常,系统检查无特殊。
专科情况:四肢屈侧弥漫性肿胀,呈暗红色,界限不清,局部有轻压痛,不能捏起,皮肤凹凸不平,呈橘皮样外观,触硬,压痛(+),面部及躯干未见明显改变(图1)。
图1 上肢屈侧弥漫性肿胀,呈暗红色,界限不清
辅助检查
血常规:WBC 5.8×109/L,E% 11.6%,N% 46.7%,ESR 37mm/1h;ANA 1︰160(胞浆,斑点),ENA阴性;尿常规:尿胆原(±),RBC(±);ASO 382IU/mL↑,类风湿因子10.3IU/mL;心肌酶正常;肝功能、肾功能、血糖、免疫球蛋白均在正常范围;胸部X 线片、腹部B超及心电图检查均正常。
骨髓穿刺细胞学检查结果:骨髓增生活跃,易见各阶段嗜酸性粒细胞比例增高,涂片中易见浆细胞。
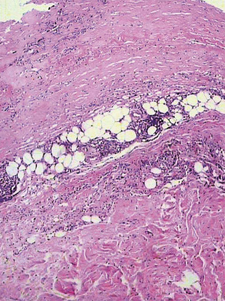
组织病理变化示:表皮萎缩,真皮胶原及弹力纤维肿胀变性,真皮血管周围少量淋巴细胞及组织细胞浸润,筋膜层可见大量淋巴细胞、少量嗜酸性粒细胞(图2)。
图2 表皮萎缩,真皮胶原及弹力纤维肿胀变性,真皮血管周围少量淋巴细胞及组织细胞浸润,筋膜层可见大量淋巴细胞、少量嗜酸性粒细胞
病例2
主诉:腰腹部皮肤僵硬1年,皮损面积扩大伴瘙痒6个月。
现病史:患者1年前劳累后开始腰腹部皮肤发紧,逐渐皮损面积扩大,皮肤感觉异常,无发热症状,无关节和肌肉疼痛症状。在基层医院就诊,以“皮炎”抗过敏治疗,皮损未好转,双肋、大腿也开始皮肤变硬,皮肤不能拉起,多次于基层医院就诊,以“硬皮病”对症治疗无效。近6个月来皮损面积扩大,融合明显,表面皮肤颜色基本正常,皮下组织僵硬,发板,压痛、瘙痒感明显。无发热等其他伴随症状。发病以来,饮食可,睡眠好,大小便正常。
既往史、家族史:既往体健。家族中无相同病史。
体格检查
一般情况:良好,发育正常,营养中等,系统检查无特殊病史。
专科情况:腰腹部、双肋、双大腿内侧融合的水肿性斑块,表皮颜色正常,表皮弹性尚可,皮下组织僵硬,发板,融合。压痛明显(图3)。
图3 上肢前臂融合的水肿性斑块
辅助检查
血常规:WBC 7.34×109/L,GR% 69.4%,LY 21.9%,EO 0.22×109/L,EO% 2.9%,HGB 121g/L,RBC 4.68×1012/L,PLT 267×109/L,ESR 44mm/1h;生化:ALT 42U/L,TP 62.6g/L,ALB 39.7g/L,GLO 35.6g/L,TBIL 13.89μmol/L,DBIL 6.91μmol/L,IBIL 5.98μmol/L,Cr 67μmol/L,BUN 3.42mmol/L,CHOL 2.76mmol/L,TG 0.93mmol/L,HDL-C 0.87mmol/L,LDL-C 2.97mmol/L,GLU 4.64mmol/L;h-CRP 9.49mg/L;免疫球蛋白+补体:IgG 2200mg/dl,IgA 428mg/dl,IgM 293 mg/dl,补体C3 101mg/dl,补体C4 21.4mg/dl;ASO 24.6IU/mL,RF<10.3IU/mL,CRP 27.4mg/L;抗核抗体 1︰320(膜型,线粒体),抗ENA抗体:阴性。余未见异常。
组织病理:深筋膜炎症伴有嗜酸性粒细胞浸润,表皮及真皮无明显变化。
讨论目的:进一步明确嗜酸性筋膜炎的鉴别诊断,指导临床治疗。
病例3
患儿,男,3岁半。
主诉:臀部皮肤发硬1年余。
现病史:患儿1年半前发现臀部皮肤发紧、发胀,触之有掌心大小皮肤发硬区,近正常肤色。后病情进展迅速,远皮损处皮肤开始变硬,以后自上而下发展,于躯干下方和臀部可见大片皮肤板样硬化区,表皮伴有明显色素沉着。先后就诊于多家医院均诊为 “硬皮病”,曾给予口服“中药”无好转。遂来我院治疗。病程中患者无雷诺现象,无吞咽困难及呼吸困难,无发热,无关节疼痛等全身症状。患者自发病以来,饮食睡眠可,大小便正常。
既往史、家族史:既往体健,家族中无类似病史。
体格检查
一般情况:一般情况可,发育正常,系统检查无特殊。
专科情况:于躯干下方和臀部可见大片皮肤板样硬化区,表皮伴有明显色素沉着。触之坚硬、呈木板状与皮肤粘连,浸润深在,皮肤不能捏起,活动较差,皮损部皮色呈暗红色,压痛阴性。
辅助检查
血常规、尿常规、便常规大致正常。
皮损组织病理:取臀部硬化斑块活检示:表皮未见明显改变,真皮网状层以下胶原纤维明显水肿,血管周围少量淋巴细胞伴有少数嗜酸性粒细胞浸润。皮下脂肪组织萎缩,被结缔组织包围,筋膜结缔组织致密水肿,并呈现与表皮平行之水平位排列。病理诊断:嗜酸性筋膜炎。
病例1
专家治疗方案:泼尼松10mg,每日三次,口服。
治疗2周后皮下肿胀及硬化处明显变软,遂将泼尼松逐渐减量。2个月后双上肢远端红肿完全消退,硬化明显减轻,复查嗜酸性粒细胞计数、血沉等均恢复正常。随访至今病情稳定。
病例2
口服中草药治疗,最后失访。
中药汤剂如下:药用:茯苓、白术、鸡血藤各15g,芍药、当归各12g,全蝎、皂角刺、川芎各10g。发展期加生地15g,丹参9g,牡丹皮10g;萎缩期加黄芪25g,熟地15g;病变在上肢加桂枝15g,下肢加川牛膝25g。水煎服,日1剂,3个月为1个疗程。儿童及老年人用量酌减。
病例3
生山药、生薏仁、茯苓、白术、炒三仙、泽兰、丹参、青陈皮、当归等给予口服汤剂治疗。服用中药后有好转。



