一、概述
肝脏浆液性囊腺瘤(pancreatic serous cystadenomas)是胰腺囊腺瘤的分支,1978年,Compagno和Oertel对胰腺囊腺瘤进行了组织病理学分类,即浆液性囊腺瘤和黏液性囊性肿瘤。此病恶变极少,1989年有报道首例胰腺浆液性囊腺癌。
【流行病学特征】
肝脏浆液性囊腺瘤是少见的胰腺囊性肿瘤,占胰腺囊性病变的9%~13%。可位于胰腺的任何部位,以体尾部多见,直径可大于10cm。
胰腺浆液性囊腺瘤好发年龄为55~73岁,多见于中年妇女。亦见于儿童,甚至6~16个月的婴儿。平均年龄较实质性胰腺癌为轻,约3/4的病人为女性。
【病因】
确切病因不明。估计其来源可能有以下几方面:
1.由异位的消化道始基细胞或十二指肠畸变的Brunner腺侵入;
2.起源于腺管的腺泡细胞;
3.起源于胰管上皮;
4.残留的胎生组织。
【病理】
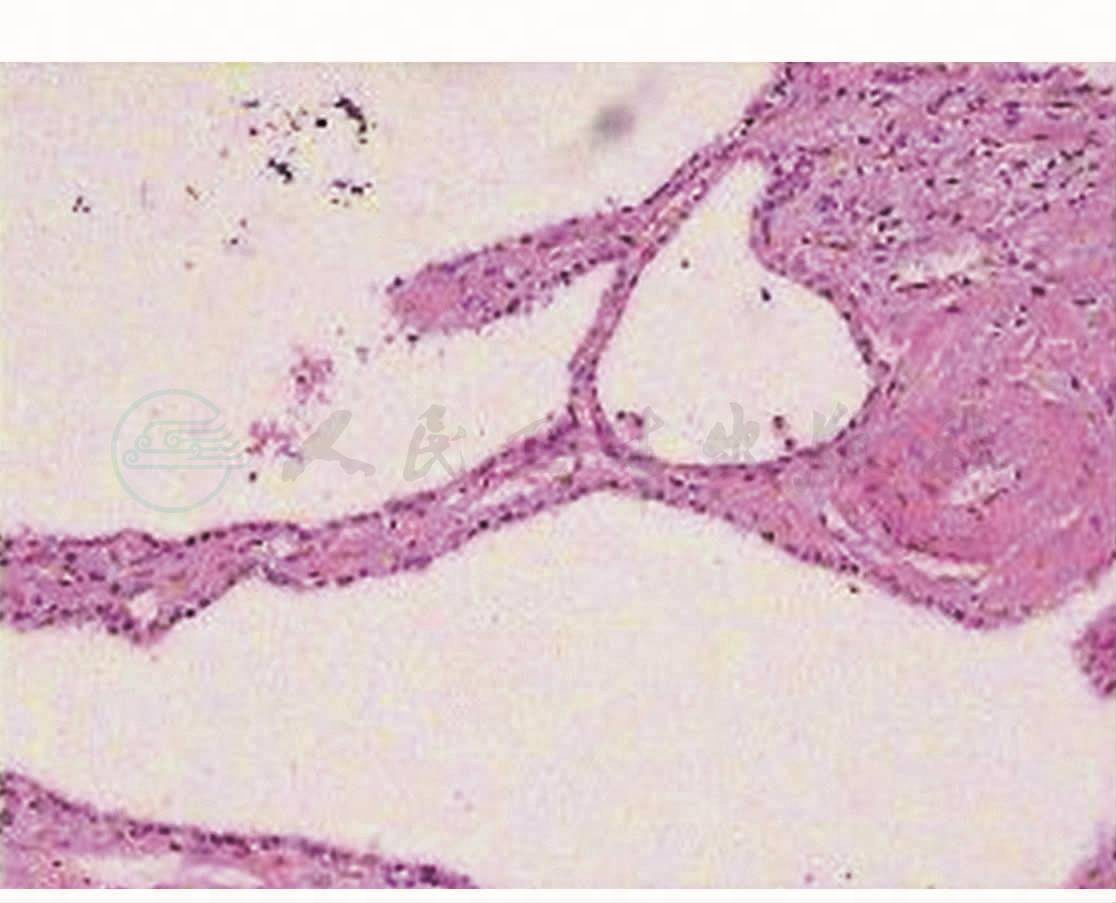
肿瘤起源于胰腺腺泡细胞,由无数个小囊构成(数目大于6个),囊壁光滑,少有乳头状结构,囊内充满清亮的液体,镜下见囊壁被覆1~2层立方或扁平上皮,胞浆透明,富于糖原,PAS染色阳性,核小圆形,核仁不明显,小梁之间的纤维梁索内有大量朗格汉斯胰岛。
根据囊的大小可分为小囊型、大囊型和混合型,其中小囊型占绝大多数,因此浆液性囊腺瘤又称微囊腺瘤,呈典型的“蜂巢”样改变,小囊的直径小于等于2cm,大囊型和混合型可见到直径大于2cm的囊,混合型的多发小囊位于病灶中心,大囊位于病灶周边,病灶内有时可见到中央瘢痕,偶有钙化。
【临床表现】
胰腺浆液性囊腺瘤生长缓慢,一般病史较长,有报道最长可达30年。上腹胀痛或隐痛、上腹部肿块是胰腺囊性肿瘤的主要临床表现,其次有体重减轻,乏力、呕心、呕吐、黄疸等症状。
并发症包括:囊内出血感染、急性胰腺炎或糖尿病和胆囊结石。外科手术是治疗的主要方法,治疗原则是病变大于4cm、术前无法确定诊断或怀疑恶变者。
二、影像学表现
胰腺浆液性囊腺瘤的术前诊断主要通过影像学检查,彩超、CT和MRI等检查都有助于病变的发现和定性,联合应用各种影像学检查,可以提高胰腺浆液性囊腺瘤的确诊率。
(一)超声
超声为主要的筛查手段。
在声像图上常显示囊肿和实质混合,当肿瘤由大量的极小囊肿(<2mm)构成时,可呈均质实性表现;如囊肿较大(5~20mm),则表现多房性,每个房紧密相连呈蜂巢样结构。Fugazzola等认为,如超声或CT上表现为蜂巢样图案时可以确诊为浆液性囊腺瘤;中心强回声伴声影,则提示有钙化。
(二)典型胰腺浆液性囊腺瘤的CT及MRI表现
CT和MRI动态增强扫描被认为是目前诊断胰腺浆液性囊腺瘤的首选方法。
1.CT
CT平扫时本病呈囊实混合或囊性低密度肿块,多位于胰腺体、尾部,肿瘤可较大,超过10cm。呈分叶状轮廓,边界清楚,可见单个或多个大囊,其内多发分隔,囊壁可有钙化。浆液性囊腺瘤单囊直径多小于等于2cm,数目大于6个,CT增强扫描时囊壁及分隔可见强化。小囊显示较平扫期更为明显,呈典型的“蜂巢”样改变。
2.MR
浆液性囊腺瘤在MRI上均显示出环绕肿物的结节状边界,特别是在T2加权像上。这种现象可能是由于T2加权像正常胰腺和囊内液体之间有较大的反差(液体的T2弛豫时间长于正常胰腺)。瘤内可见分隔。在T1加权像上肿瘤表现为均匀一致的低密度,而在T2加权像上表现为均一的高密度。
MRI增强扫描后可见囊壁及分隔强化,即“蜂巢”样改变。
所以“蜂巢征”,是胰腺浆液性囊腺瘤典型的影像学征象。
浆液性囊腺瘤病灶内可出现大囊,但仍以小囊数目居多。
(三)DSA
DSA造影浆液性囊腺瘤有丰富的血管网,因此,造影片上可表现为由腹腔或肠系膜血管供给的粗大的滋养血管、引流静脉、均质的肿瘤染色及偶见的动静脉分流。脾静脉可受压、移位。
三、鉴别诊断
1.胰腺黏液性囊腺瘤
(1)胰腺黏液性囊腺瘤多呈大的单一囊性病变,囊内可见分隔;胰腺浆液性囊腺瘤呈多发小囊性改变;
(2)胰腺黏液性囊腺瘤囊壁不均匀、厚,壁结节明显,而胰腺浆液性囊腺瘤囊壁光滑、薄、壁结节少见;
(3)胰腺黏液性囊腺瘤增强扫描实性部分及壁结节明显强化,胰腺浆液性囊腺瘤囊囊壁及分隔轻度强化。
2.胰腺假性囊肿
(1)患者常有胰腺炎病史或胰腺外伤史;
(2)假性囊肿表现为单房囊性低密度区,少数可有分隔和钙化,囊壁一般较薄,无强化,也无壁结节,囊腔多与胰管相通,部分可伴有慢性胰腺炎的胰腺改变:胰腺萎缩、胰实质或胰管的钙化、胰管不规则扩张等。
3.胰腺癌囊性变
多由肿瘤组织阻塞导管引起潴留性囊肿或由肿瘤发生坏死液化而形成囊腔。潴留性囊肿的近端常有实性肿块,肿瘤坏死囊变,肿瘤实性组织构成囊壁,故囊壁不完整,厚而不规则,或无明确囊壁显示。
【病例介绍】
患者,女性,37岁,主诉:上腹部不适半年,加重半疼痛3天。患者自觉后背部疼痛,为钝痛。病来无咳嗽咳痰,无腹胀、腹泻二便正常。既往否认肝炎病史。查体:皮肤及巩膜无黄染,未见胃肠型及蠕动波,无腹壁静脉曲张,无局部隆起性包块,全腹软,上腹部压痛( +),无反跳痛及肌紧张,未触及局部包块,肝脾肋下未及,墨菲征( - ),移动性浊音( - )。CT增强检查如图1。
【诊断】
胰腺浆液性囊腺瘤(pancreatic serous cystadenomas)(图2)

图1 CT增强扫描:胰腺浆液性囊腺瘤。平扫显示胰腺颈部囊性包块,呈分叶状,内见分隔,增强扫描后囊壁及分隔轻度强化,未见壁结节,囊内未见强化,呈“蜂巢征”
引自:主编:疑难病例影像诊断评述.第1版.ISBN:978-7-117-16817-5
.
图2 病理回报为胰腺浆液性囊腺瘤
引自:主编:疑难病例影像诊断评述.第1版.ISBN:978-7-117-16817-5
.