一、概述
畸胎类肿瘤(dermoid cyst and teratoma)为较为常见的纵隔肿瘤,在原发性纵隔肿瘤中,其发病率仅次于神经源性肿瘤和胸腺瘤。畸胎类肿瘤为胚胎期胸腺始基(第三对腮弓)发育时,部分多潜能生殖细胞脱落并随着心血管的发育携入胸内演变而成。畸胎类肿瘤的组织虽然在出生时就已经存在,但一般都到儿童或成人后,肿瘤达到一定体积,才在X线检查时被发现。有些患者甚至可以毫无症状地带瘤生存多年。
【病因】
畸胎瘤的组织发生学说目前主要有以下几种:①原始生殖细胞来源说:原始生殖细胞具有潜在的分化能力或病理性的孤雌发育能力,可以发育成畸胎瘤。②分裂球断离说:在胚胎早期发育阶段的分离球,有潜在分化为肿瘤的能力,结果产生了畸胎瘤的组织。③胚胎的结构混乱:在胚胎结构形成时期由于胚胎结构失常的结果,诱导许多细胞群离开正常发育的轨道,形成了混乱结构的畸变组织。
【病理分型】
1.根据肿瘤形态及组织结构将畸胎类肿瘤分为2型:囊性畸胎瘤和实质性畸胎瘤。
(1)囊性畸胎瘤
又称为皮样囊肿,是组织较简单的畸胎瘤,包含外胚层和中胚层组织,通常是单房,也可为双房或多房,房内含皮脂样液体,囊肿壁为纤维组织,内层似表皮组织,有复层鳞状上皮、皮脂腺、汗腺、毛囊、毛发、横纹肌和平滑肌,囊壁可钙化,也可含软骨、骨骼和牙齿,其囊壁大部分显示清晰,但不是很厚,厚度一般在2~5mm之间。
(2)实性畸胎瘤
通常称为畸胎瘤,结构复杂,人体内任何器官的组织结构都可出现,组织学上包括三个胚层的各种组织,其内常有大小不等的囊性区域,实质性畸胎瘤恶性变的倾向较囊性畸胎瘤大。肿瘤如与支气管相通或右瘘管通颈根部时,可在咳出的痰液或自瘘管流出的液体中发现头发或豆渣样皮脂物质,有重要诊断意义。
2.根据畸胎瘤生物学特点又可分为良性和恶性两类
Mi- Young Jeung等认为良性囊性畸胎瘤( benign cystic teratoma)也称成熟畸胎瘤( mature teratoma)。良性畸胎瘤内因含胰腺、涎腺等组织分泌消化酶及皮脂腺样物的化学性刺激,常与周围组织发生粘连,引起非感染性炎症反应,并可发生自发性破裂,造成肺部感染和不张,胸腔积液,若肿瘤在短期内增大应疑有恶性变之可能。约有10%~20%的畸胎瘤可为恶性。有文献报道恶性生殖细胞肿瘤男性发病率远远高于女性。恶性畸胎瘤具有肿瘤细胞幼稚性和侵袭性,肿瘤细胞多由胚胎性幼稚细胞构成,生长快,包膜不完整,肿瘤细胞易向周围组织侵袭。若侵及邻近纵隔胸膜则引起局部胸膜反应、胸膜腔积液;若侵及心包大血管则有包绕趋势;若侵及淋巴系统,则引起相应淋巴结肿大。但肿瘤继发感染、囊肿内液体迅速增多或囊内出血,也可使肿瘤在短期内显著增大。囊肿继发感染破入胸腔可并发胸腔积液。
3.根据畸胎瘤组织细胞分化程度不同还可分为成熟畸胎瘤和未成熟畸胎瘤。
(1)成熟畸胎瘤
成熟畸胎瘤是纵隔最常见的生殖细胞肿瘤,占所有胸腺肿瘤的9%~20%,绝大多数位于前纵隔,偶见于后纵隔。其发生无性别差别,发病年龄高峰在30岁,但近年报道在伴有克莱恩费尔特综合征的男性此病的发生有上升的趋势。此病近1/3的病人无临床症状,而在常规胸片检查时才发现。其余病例可有胸背或肩痛、呼吸困难、上腔静脉堵塞综合征或有咳嗽等症状。成熟畸胎瘤破裂后其内物质可流入支气管可以引起脂性肺炎,如这些物质内含有毛发,还可引起严重的并发症。约25%纵隔畸胎瘤X线检查可见明显的钙化灶。
肉眼观:成熟畸胎瘤有包膜,呈1个或多个较大的囊状,肿瘤包膜薄弱而光滑,可呈乳白、灰色或棕黄色,表面光滑,常伴有微血管网,偶带蒂。肿瘤切面多为单房性囊内壁光滑或呈颗粒状,含有1至数个乳头状凸起,囊腔内有角质碎屑,有或无毛发,也可看到软骨或骨。
组织学上,最常见的成分是皮肤,包括角化鳞状上皮及其附属物如毛囊、皮脂腺和汗腺,也常见到呼吸道及消化道的上皮组织和胰腺组织,纤维组织和平滑肌等叶间组织以及前面提到过的软骨和骨组织。有不到10%的成熟畸胎瘤含有牙、脉络丛、神经组织、骨髓、骨骼肌、肾组织或视网膜组织。
镜检瘤内可见3胚层衍化的各种组织分化成熟,朝器官方向分化,但并不含完整的器官。成熟畸胎瘤5%可出现恶变,曾有报道少数纵隔成熟畸胎瘤伴有鳞状细胞癌、腺癌或肉瘤。如果没有这些并发成分,成熟畸胎瘤手术治疗即可,且预后也较好。
(2)未成熟畸胎瘤
未成熟畸胎瘤为较少见的恶性肿瘤,只占纵隔畸胎瘤的1%,它也是由胚胎神经上皮、间叶组织和上皮成分以不同比例混合构成。在其他部位,特别是在生殖腺和骶尾部,未成熟畸胎瘤中含原始神经上皮组织的多少可以作为判断预后的指标。在纵隔部位的未成熟畸胎瘤,年龄是影响其预后的最重要的因素。75岁以后发生的未成熟畸胎瘤具侵袭性,而小于15岁的患者单用手术治疗后就无恶性进展。因为它与生殖腺的生殖细胞肿瘤的生物学行为相似,如婴儿和儿童发生的卵黄囊瘤的侵袭性就不如成人明显。
肉眼观:大体观瘤体较大,切面以实质性为主,散在微囊,半数以上病例可见骨质和钙化区、皮肤、毛发及皮脂物较少见。
镜检肿瘤内可见2~3胚层衍化的组织,主要由未成熟(胚胎性成分)组织构成;有的可全部为未成熟的成分。生物学行为包含良性、临界性到恶性,组织形态从癌到肉瘤。常见到原始间叶及原始神经组织。原始间叶组织的细胞为小圆形或短梭状,核致密深染,胞质稀少或呈胞质疏松的星芒状细胞,易误认为纤维肉瘤或黏液肉瘤,原始神经组织由原始神经上皮管结构组成,常伴有黑色素细胞和髓母细胞或成神经细胞的菊形团样结构,应与成熟神经组织室管膜、脉络丛等区分。须注意原始神经组织和幼稚间叶组织常可混杂出现。各胚层的欠成熟组织可视为未成熟向成熟阶段的衍化过程。
【流行病学特点】
纵隔畸胎瘤发生率约占原发性纵隔肿瘤的21.5%,其中良性占90%以上。纵隔类畸胎瘤发病年龄相对年轻,半数以上在20~40岁,超过40岁者属于少数。纵隔畸胎瘤大部分位于前纵隔,偶见于后纵隔,此外较少见于腹膜后、松果体等中线部位,肺内罕见,发病率无明显性别差异。
【治疗及预后】
目前认为,手术切除是治疗畸胎瘤唯一有效的治疗手段。因为畸胎瘤可侵犯邻近器官,并且肿瘤内部内胚组织所产生的各种消化酶可以作用于邻近组织,引起无菌性炎性反应,甚至穿破周围器官组织,继发感染危及患者的生命,部分还可发生恶变,因此,一经诊断应尽快手术切除。手术方式包括单纯肿瘤摘除术、肿瘤摘除及受累邻近肺楔形切除术、肿瘤摘除及同侧肺叶切除术和经心包肿瘤切除术等。
恶性畸胎瘤在就诊时大部分病人有转移无法切除,即使切除主要也是为了活检以明确诊断而且病人大多在半年内复发或转移而死亡。临床上,一般这种分期在Ⅱ~Ⅲ期的病人已有周围组织侵犯和转移,主要以非手术治疗为主。目前多采用放疗/化疗,但疗效不佳。如果已实施恶性肿瘤部分切除,术中应做好标记以便术后放疗。放疗/化疗后肿瘤如明显缩小可再行手术切除。如再复发可再化疗。化疗一般采用以顺铂为主的联合化疗方案。
良性畸胎瘤手术可完全治愈,恶性畸胎瘤手术后预后差,多在2年内死亡,死因为侵犯周围组织,如侵犯肺、支气管和心包,远处转移如淋巴结肺、心脏、骨骼、脑等。
二、影像学表现
纵隔畸胎瘤临床表现不典型,易被误诊为肺内肿块、肺脓肿和胸腔积液等。因此,临床诊断主要来自影像学检查。首选检查为胸部X线平片,目的主要在于发现病变,而CT或MRI检查则具有较好的诊断价值。
(一)普通X线检查
畸胎类肿瘤发生于前纵隔,较多位于前纵隔中部,心脏与升主动脉交接处,与胸腺瘤的好发位置基本相似。少数位置较高,上缘越过主动脉弓部,也可位置较低,位于前纵隔下部,偶尔也可在后纵隔。一般只向一侧纵隔突出,个别病例可向两侧突出。肿瘤的大小差别很大,大的肿瘤可以自前向后达到后纵隔,甚至占满一侧胸腔。
畸胎类肿瘤通常呈圆形、椭圆形,多房囊肿常呈大分叶状。肿瘤轮廓一般清楚光滑,由于含有不同的组织,可以显示密度不均匀的现象。含脂肪组织多的部位密度较低,软骨组织可出现斑点和不规则的钙化影,囊肿壁可出现弧线形钙化。在肿瘤内可见到骨骼影形成或牙齿状阴影为畸胎类肿瘤的特征性表现。
(二)CT
CT扫描对鉴别组织密度差别较常规X线敏感,尤其能直接显示脂肪密度组织。畸胎类肿瘤的CT表现呈多种多样,最常见的为边缘清楚、多房囊性前纵隔肿块,呈薄的软组织囊壁,有时可成厚壁,囊内可见分隔,囊壁明确,常有弧线状钙化。囊肿内成分呈水的密度,约3/4病例CT可显示肿块内有脂肪密度影,约15%病例以脂肪为其主要成分。有时可见脂液平面或脂肪液体混合的表现。当畸胎瘤有破裂时可见肿块内部的成分更不均匀,邻近有肺实变、肺不张、胸腔积液和心包积液,甚至在肺内可见到脂肪。纵隔内其他部位的畸胎瘤较少见,尽管其位置不典型,但其形态密度等表现和典型的畸胎瘤一样。CT显示多方薄或厚壁囊性占位性病灶,其内混杂有低CT值的脂肪组织区、软组织影和高CT值的钙化,骨质和牙齿影像,对畸胎瘤的诊断和鉴别诊断有重要意义。
1.囊性畸胎瘤
表现为囊状水样密度块影边缘光滑,囊壁完整,囊壁厚度一般在2~5mm之间,并不是很厚,囊壁的一部分甚至可以很薄而不能满意地观察到,但囊壁的大部分可以清晰显示;囊内密度均匀,CT值接近于水,其内也可见少量脂肪、钙化、骨骼或牙齿等多种组织成分;病变与周围组织间脂肪间隙存在;增强扫描时,囊壁可呈轻至中度强化,囊内容物不强化,称为“显壁囊肿”。
2.实质性畸胎瘤
表现为混杂密度软组织块影,边缘形态多样,包膜基本完整;块影内密度不均匀,可见软组织、脂肪、液体、钙化、骨骼或牙齿等各种组织成分;增强扫描时,软组织成分可呈轻至中度强化。
(三) MRI
由于MRI对脂肪的显示极具特征,T1WI和T2WI均呈高信号,并且MRI检查可以明确肿瘤的部位、大小、边界及与周围脏器的关系。
CT与MR区别: CT是诊断畸胎类肿瘤的较好方法,虽然MR对显示纵隔解剖结构和明确肿瘤位置及其与周围组织的关系效果较好,但MR对钙化、骨骼、软骨及牙齿等组织成分的显示上不如CT,因此MR对畸胎类肿瘤的诊断优势不如CT明显。
总之,纵隔畸胎类肿瘤的影像学特征较为典型,但在诊断过程中仍需注意:①畸胎类肿瘤多位于前中纵隔。②肿瘤边缘多较光滑,少有分叶。③肿瘤密度多较均匀,边缘偶有钙化,囊实性或实性畸胎瘤多为混杂密度,如有脂肪液平面时,对诊断良性畸胎瘤有特异性。肿瘤内如有牙齿或骨骼亦为畸胎瘤的特征表现。
三、鉴别诊断
1.胸腺瘤
二者均以前纵隔为其好发部位,囊性畸胎瘤和囊性胸腺瘤因其组成结构不同CT值可有根本性差别,基本可鉴别,前者壁厚有钙化,后者看不到囊壁。侵犯性胸腺瘤浸润邻近脏器可致周边脂肪间隙消失,本身轮廓模糊不清,有毛刺,瘤内可有囊性变。
2.纵隔原发精原细胞瘤
本病多发生于男性,女性极少见,与畸胎瘤发病年龄正好相反。本病多见于性功能旺盛期,约30%的病人确诊前无症状,10%病人有上腔静脉阻塞症状。本病恶性程度低,对放射线敏感,预后较好,五年生存率为75%,一般肿块也位于纵隔但偏一侧。最初发现肿瘤即已为大块状,并累及中纵隔,引起气管和支气管压移位,密度均匀,无钙化,有分叶,肿瘤容易侵犯肺及邻近的淋巴结和骨骼系统,CT上精原细胞瘤较大,包膜薄,相邻之脂肪间隙多消失,胸壁可受累。
3.淋巴瘤
常为全身性疾病的纵隔表现,分为霍奇金病及非霍奇金淋巴瘤两大类。通常霍奇金病较多见,位于前纵隔,而非霍奇金淋巴瘤较少见,位于后纵隔。CT上表现为两侧纵隔或支气管肺门淋巴结肿大,气管旁淋巴结可合成团块状,包绕或侵犯大血管。有时犹如血管插入肿块内呈莲蓬状。受累淋巴结可轻度或中度增强。恶性淋巴瘤对放疗及化疗敏感,经治疗肿块短期内可明显缩小。
4.胸内甲状腺
大多数起源于颈部甲状腺,随着甲状腺肿块的生长进入胸腔。病理上绝大多数为结节性甲状腺肿,其次为甲状腺腺瘤,极少数为腺癌。CT图像上胸内甲状腺位于中上纵隔,在气管的前方、侧方,向上绝大多数与颈部甲状腺相连,边缘光滑,也可呈分叶状,平均呈稍高密度但均匀,内有密度减低区及不规则斑点状钙化灶,增强扫描呈不均匀强化,气管往往被推后移位,并伴有气管变形。
5.纵隔淋巴结转移性肿瘤
较常见,原发肿瘤以肺癌最常见,食管癌、乳腺癌、胃癌、肾癌、前列腺癌等也可有纵隔淋巴结转移。淋巴结肿大多发生于上腔静脉前间隙、主动脉弓旁、气管分叉上下部、奇静脉食管隐窝等处,CT平扫呈软组织密度,与畸胎瘤表现明显不同。
6.淋巴管囊肿
纵隔淋巴管囊肿较少见,小儿多位于前纵隔上部,肿块呈圆形或不规则形,边缘光滑、壁薄、无钙化,可有分隔,但囊内容物呈均匀水样密度。部分与颈淋巴管囊肿同时存在,与畸胎瘤有根本不同。
7.支气管囊肿
较少发生于前纵隔,多位于中纵隔,气管隆突旁、形态也较规则,囊壁光滑,内部结构均匀,没有分隔,囊壁很少钙化,可与支气管细柄相连,CT值接近于水或呈软组织密度。借此可与畸胎瘤区分开。
【病例1介绍】
男,4个月,主因“咳嗽5天,气促3天”入院。患儿注射百白破疫苗后出现咳嗽,声咳无痰,自服艾畅及阿奇霉素,症状不见好转;两日后患儿出现气促,伴大汗,无明显异物吸入史,无口唇发绀,无喘息及呼吸困难,胸片示:双肺多发炎症(左肺以实变为主),气管向右侧移位,左肺广泛实变影,仅肺尖残余少许正常充气肺实质,右肺心影后纹理增强。诊断急性重症肺炎。后经胸部增强CT提示左侧胸腔内巨大囊性混合占位,畸胎瘤可能性大。于2010年2月1日行左侧胸腔畸胎瘤切除术,术中见肿物大小约10cm×8cm,包膜完整,为囊实混合性,胸腔内见少许积液,与心包及胸腺粘连,周围无肿大的淋巴结。患儿术后恢复良好(图1)。
【诊断】
成熟型畸胎瘤
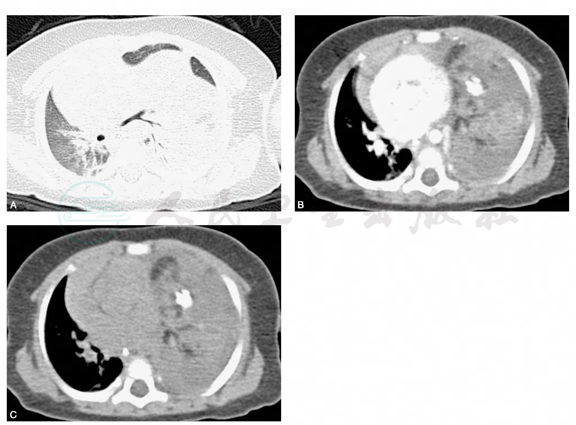
【病例2介绍】
女,30岁,患者以“体检发现左上纵隔占位一周”为主诉入院。患者体检发现左上纵隔占位,时有咳嗽咳痰,黄痰量多,无明显胸闷气短,无乏力,无胸背痛,胸CT提示左上纵隔占位。后行胸部增强CT扫描提示左前纵隔占位病变,畸胎瘤可能性大。于2010年6月13日行纵隔肿物切除术,患者术后恢复良好(图2)。
图1 平扫肺窗见纵隔明显右偏,气管右移,左肺上叶支气管狭窄,左肺上叶部分不张,右肺多发炎症。平扫纵隔窗左侧胸腔内见巨大囊实混杂密度影,以液体密度影为主,其内见多发钙化及脂肪密度影,纵隔明显右偏。增强扫描示左侧胸腔内病灶液体密度及脂肪密度影未见明显强化,其内实性密度影明显强化,欠均匀。左肺不张肺组织影强化较明显
引自:主编:.疑难病例影像诊断评述.第1版.ISBN:978-7-117-16817-5
图2 平扫纵隔窗示囊性占位内部密度不均,内见多个小钙化密度影。增强扫描示囊壁轻度强化,其内低密度区未见强化
引自:主编:.疑难病例影像诊断评述.第1版.ISBN:978-7-117-16817-5
【诊断】
囊性成熟型畸胎瘤



