一、概述
室管膜瘤占颅内肿瘤的3%~5%,占儿童脑内肿瘤8%~10%。WHO分级为Ⅱ级。儿童、青少年多见,50%<5岁;次为30~40岁。60%起于幕下,90%位于第四脑室,儿童最多见。40%见于幕上,75%位于侧脑室三角区。10%跨脑室内、外生长(颞顶枕交界区)。15%居第三脑室。肿瘤具有可塑性,经第四脑室内侧孔( magendie foramen)进入枕大池;经第四脑室外侧孔( luschka foramen)进入桥小脑角(CPA)池;经枕大孔进入颈部椎管。
【治疗】
手术切除是治疗第四脑室室管膜瘤的主要方法,传统的手术方式主要是切开小脑蚓部进入第四脑室,小脑蚓部损失常导致小脑缄默综合征,行为异常和咽部肌肉失用等并发症。近年开展经小脑延髓裂入路切除第四脑室肿瘤,取得较好的效果。
二、影像学表现
1.位于幕下第四脑室内者,形态不整,常为略高密度或等密度。
2.常有散在、斑点状钙化,可见小囊变区。
3.肿瘤具有可塑性。
4.位于幕上(脑室内、脑室周围)者,脑实质内肿瘤钙化少见,多有囊变,常伴轻度水肿,很难与星形细胞瘤鉴别。
5.增强扫描轻度、中等程度强化,常为不均质强化。
【病例介绍】
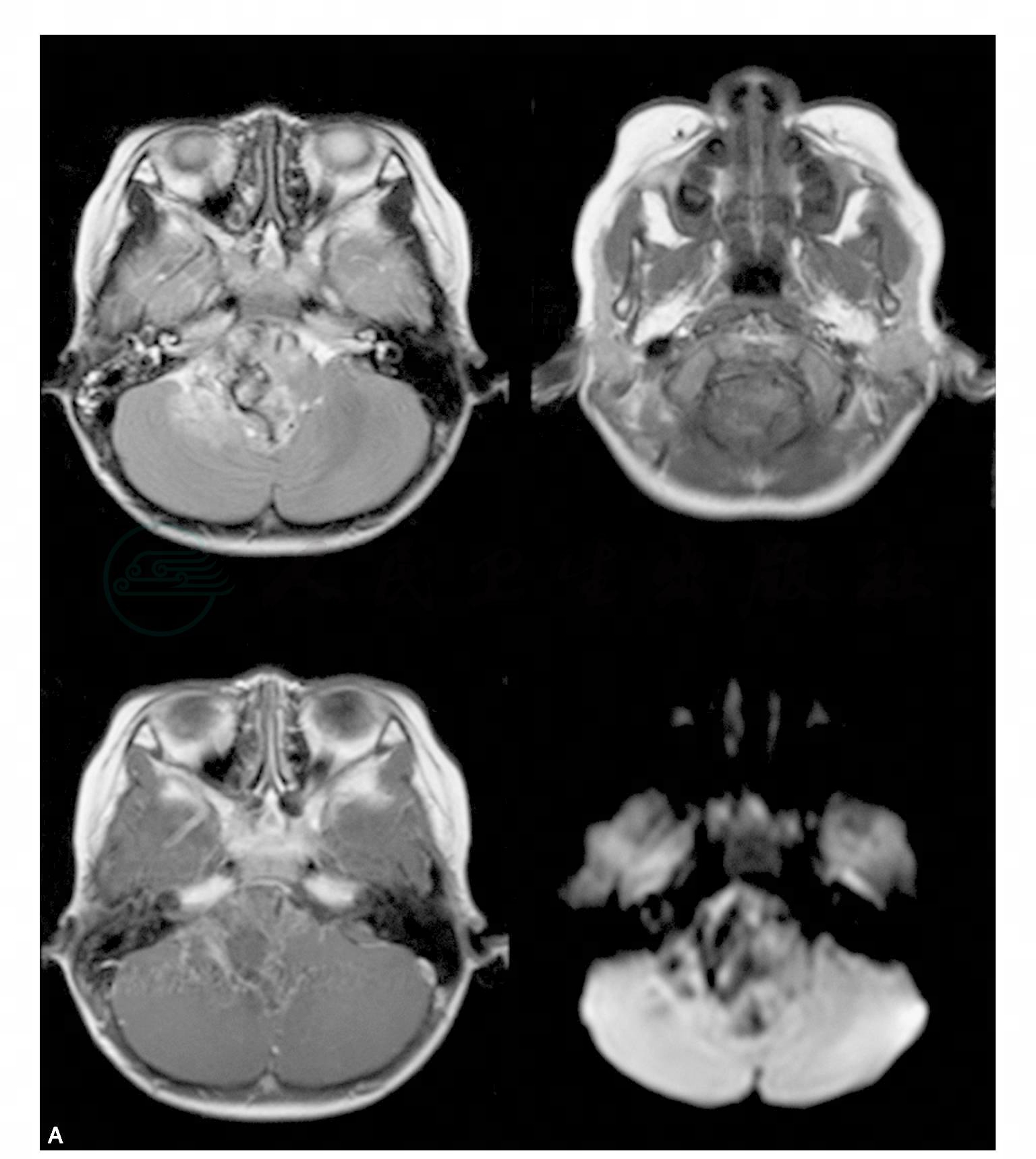
男,5岁,一天前无明显诱因出现头痛,为额部持续胀痛,当时未予特殊治疗。今日仍有头痛症状,进食后呕吐,精神状态差(图1)。
引自:主编:.疑难病例影像诊断评述.第1版.ISBN:978-7-117-16817-5
图1 右侧桥小脑区可见类圆形肿块影,以稍长T1稍长T2信号为主,中心可见条状短T1信号影。病灶边界不清,形态不整,第四脑室明显变窄。病变向上生长达脑干,向下生长达延髓。增强扫描病变明显不均匀强化。右侧听神经显示欠佳。幕上脑室普遍增宽,中线结构居中
引自:主编:.疑难病例影像诊断评述.第1版.ISBN:978-7-117-16817-5
【诊断】
室管膜母细胞瘤。(图2)
图2 瘤细胞小、一致,弥漫排列,局部见菊形团排列,见坏死。免疫组化:GFAP(+),Syn(-),NSE(-),EMA(-)
引自:主编:.疑难病例影像诊断评述.第1版.ISBN:978-7-117-16817-5



