病情介绍
患者,男性,45岁。因“发热19天,胸闷、呼吸困难11天”于2011年2月22日转来笔者医院急诊。患者于19天前出现发热,咳嗽、咳痰等症状不明显,次日体温达40℃,当地医院常规处理后发热无明显缓解。8天后病情加剧,出现胸闷、呼吸困难。CT示两肺炎症,两侧胸腔积液。考虑重症肺炎而收住ICU,血培养提示金黄色葡萄球菌,给予常规剂量的亚胺培南-西司他汀钠和万古霉素治疗。4天前出现氧合下降,予气管插管、机械通气治疗,但呼吸、循环功能维持不佳而转来笔者医院。既往健康,否认慢性疾病史,吸烟每天2包,约25年,偶少量饮酒,水管工人。否认药物、食物及其他特殊过敏史。适龄结婚,育有二女及一子,妻子及儿女均健康。母亲健在且有高血压病史,家族中否认传染性、遗传性及其他特殊家族性疾病史。
体格检查:T 38.5℃,P 108次/分,R 16次/分,BP 103/55mmHg。半卧位,意识清楚,急性病容,呼吸窘迫、三凹征,经口气管插管、机械通气(FiO2 80%,PEEP 12cmH2O),脉搏氧饱和度维持在95%左右,气道内可吸出较多粉红色泡沫状痰,双肺中下野可闻及细湿啰音。心率108次/分,律齐,心尖区闻及3/6~4/6级收缩期吹风样杂音,主动脉瓣区闻及3/6级收缩期吹风样粗糙杂音。腹平软,无压痛,全腹无肌卫,肝脾肋下未触及,肠鸣音无亢进,2~3次/分,移动性浊音阴性,双下肢不肿,四肢肌力5级,其他神经系统查体未见异常。
辅助检查:复查胸部X线、CT提示双肺广泛感染伴双侧胸腔积液(图1、图2)。
入院诊断:重症肺炎,双侧胸腔积液;急性呼吸衰竭;急性心功能衰竭。
重要提示
1.中年男性,以高热急性起病,约1周后出现胸闷、呼吸困难为主要症状。
2.起病后8天转入ICU、机械通气治疗。
3.外周血白细胞总数升高、C-反应蛋白、氨基端B型利钠肽原数值增高。
4.床边超声心动示主动脉瓣二叶式畸形,主动脉瓣中度狭窄伴轻度反流,左心肥大,中度肺动脉高压,EF 55%。
5.胸部CT示双肺广泛感染、坏死、渗出病灶。
图1 起病第19天(入笔者医院当天)胸片提示两肺广泛感染
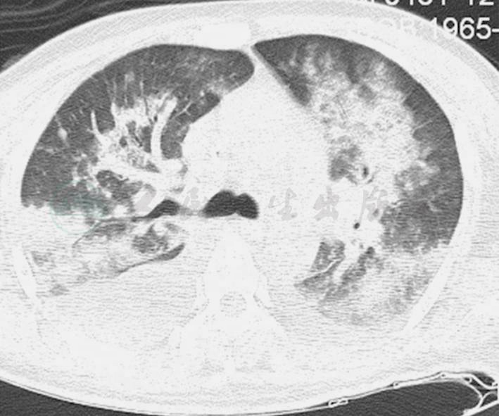
图2 起病第20天(入笔者医院第2天)CT提示两肺感染、渗出病变,双侧胸腔积液
应用亚胺培南-西司他汀钠0.5g,每8小时1次静脉滴注、利奈唑胺0.6g,每12小时1次,静脉滴注联合抗感染,纤维支气管镜反复吸痰,适当控制液体量、减轻心脏负荷治疗。床边超声心动图示主动脉瓣二叶式畸形、主动脉瓣中度狭窄伴轻度反流,左心肥大,二尖瓣中度反流,三尖瓣轻至中度反流,中度肺动脉高压,EF 55%。经治6天后患者全身毒血症状有所减轻,氧合功能改善(机械通气下FiO2 45%,PEEP 5cmH2O,SPO2 96%),全身感染及心功能相关指标较入笔者医院时好转(2月22日:WBC 16.8×109/L,CRP 75.3mg/L,NT-ProBNP 4462pg/ml;2月28日:WBC 12.7×109/L,CRP 29.8mg/L,氨基酸B型利钠肽原NT-ProBNP 2222pg/ml)。但体温仍在38.5℃左右波动,床边胸片(2月28日):两肺广泛感染病灶,较2月22日胸片似有吸收(图3)。
图3 起病第20天(入笔者医院第2天)CT提示两肺感染、渗出病变,双侧胸腔积液(续)
图4 起病第25天(入笔者医院第7天)两肺感染病灶较入笔者医院当天略见吸收
患者于3月2日晚突然出现心率上升、氧合及血压下降(P 130~180次/分、SPO2低至85%、BP低至80/50mmHg),予镇静、上调呼吸机支持力度及补液1000ml后情况缓解,当晚体温最高上升至39.2℃。3月3日血液检查见WBC、 CRP及NT-ProBNP较3天前大幅上升(WBC 15.9×109/L,CRP 106.3mg/L,NT-ProBNP 4973pg/ml)。多次血、CVP导管、胸腔积液培养结果均阴性,多次痰培养结果均示鲍曼不动杆菌(+++),仅多黏菌素敏感。复查胸部CT:双肺广泛渗出、坏死病变,较2月23日略有进展(图5)。
图5 起病第27天(入笔者医院第9天)CT示双肺广泛渗出、坏死病变有进展
3月4日体温骤高至39.5℃,两日来心率持续波动于130~140次/分,全身感染及心功能相关指标进一步上升(WBC 18.8×109/L,CRP 112.5mg/L,NT-ProBNP 6620pg/ml)。经笔者医院感染科会诊,遂加用伏立康唑0.4g,每12小时1次静脉滴注抗真菌,甲泼尼龙40mg,每日1次静脉滴注促进肺部坏死组织吸收。至傍晚患者出现心率减慢、血压下降,氧饱和度下降,予补液、强心、升压等治疗后未见好转。床边胸片:双肺广泛感染灶(图6)。之后出现心脏骤停,经持续近3小时的心肺复苏无效,最终死亡。
图6 起病第29天(入笔者医院第11天)胸片示两肺广泛感染病灶
最终诊断:重症肺炎,双侧胸腔积液;急性呼吸衰竭;二叶式主动脉瓣畸形、主动脉瓣中度狭窄,二尖瓣中度反流,三尖瓣轻至中度反流,肺动脉高压,急性心功能衰竭。



