患者,女性,59岁。因“发热8天,上腹部隐痛、腹泻伴胸闷7天”于2011年7月8日入院。患者8天前出现发热,39.5℃,无畏寒、寒战,在当地卫生院予输液治疗(具体不详),症状未好转。7天前出现上腹部隐痛、腹泻,日约4~5次,黄色稀便,伴胸闷,遂就诊于当地镇医院,心电图检查正常,拟“中暑”,予针灸等治疗后无好转。2天前就诊于当地县人民医院,查血常规:WBC 8.4×109/L,N 89.2%,Hb 102g/L,PLT 92×109/L;肥达反应阴性;肝功能:ALT 104IU/L,AST 144IU/L,TP 55g/L,ALB 27g/L;腹部CT:脂肪肝,脾肿大;胸部CT:两肺少许炎症,左侧可疑少许胸腔积液,拟败血症,中毒性肝炎,伤寒住院治疗;期间体温波动于38~39℃,血压波动于80/50~90/60mmHg,予多巴胺[6.0μg/(kg·min)]升压,予亚胺培南-西司他汀钠联合头孢曲松抗感染治疗,病情无好转,仍有发热、腹泻、上腹部隐痛不适,并出现尿量减少、血肌酐升高。于7月8日转笔者医院急诊,测血压[多巴胺6.0μg/(kg·min)维持]89/55mmHg,血常规:WBC 10.28×109/L,N 89.4%;Lac 2.3mmol/L,CRP>90.0mg/L,Cr 141μmol/L,cTnI 6.02μg/L,BNP 577pg/ml;胸腹部CT:两下肺背侧散在炎症,两侧胸腔少量积液,慢肝样病变,胆囊结石(图1、图2);腹部B超:脂肪肝,脾偏大,拟发热待查,心肌炎?感染性休克?,予补液、亚胺培南-西司他汀钠控制感染,多巴胺升血压,为进一步治疗拟上述诊断收入急诊重症监护病房。既往史:40年前发现胆囊结石。
入院查体:T 37.8℃,P 104次/分,R 24次/分,BP 96/55mmHg[多巴胺6.0μg/(kg·min)维持]。神志清、颈软、颈静脉无怒张。两肺呼吸音粗,未闻及干湿啰音。心率104次/分,心律齐,各瓣膜区未闻及杂音。腹稍隆,右上腹、剑突下压痛,肝区叩痛阳性,反跳痛阴性,未触及肿块,肝脾肋下未触及,移动性浊音(?)。双下肢无水肿。四肢活动可。
辅助检查:7月7日:肥达反应阴性,大便常规阴性;心肌酶谱:CK 426U/L, CK-MB 81U/L,cTnI 21.8μg/L。7月8日:血常规:PLT 52×109/L,WBC 10.1×109/L,D-二聚体>20mmol/L;血气分析:PO2 64.7mmHg,PCO2 27.5mmHg,FiO2 41%,氧合指数<200;肾功能:Cr 122μg/L,CRP>90mg/L;肝功能:ALT 93U/L,AST 197U/L,TBil 49μmol/L,DBil 45μmol/L,ALP 225U/L,ALB 23.8g/L,TP 50.5g/L;腹部B超:脂肪肝,脾偏大(床旁)。心电图见图3。7月9日BNP 1176pg/ml;心脏超声:左心室轻度增大,左心室壁偏厚,左心房增大,中度二尖瓣反流,EF 65.9%(床旁超声心动图)。7月15日BNP 133pg/ml;血气分析:PO2 83.7mmHg,PCO2 43mmHg,FiO2 21%,氧合指数>300;肾功能:肌酐46μg/L。7月21日血常规:PLT 256×109/L,WBC 4.8×109/L;肝功能:ALT 50U/L,AST 38U/L,STB 13μmol/L,CB 7μmol/L,ALP 93U/L,ALB 35.8g/L,TP 70.9g/L;心肌酶谱:CK 25U/L,CK-MB 8U/L,cTnI 0.02μg/L。ANA、ENA、ASO、RF等免疫系列检查未见异常。血培养4次均阴性(图1~图3)。
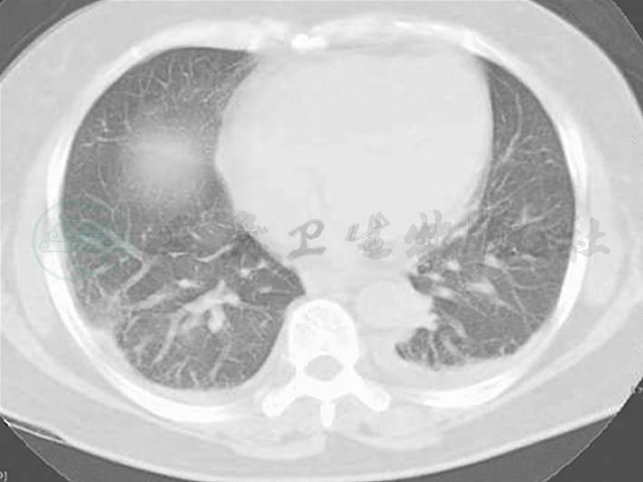
图1 胸腹部CT
两肺纹理增多增粗,两下肺背侧见斑片高密度影,边界模糊;两侧少量胸腔积液(7月8日)
入院诊断:感染性休克,多脏器功能不全(急性肾功能不全,急性肝功能损害,中毒性心肌炎,血小板下降),肠道感染?胆道感染?
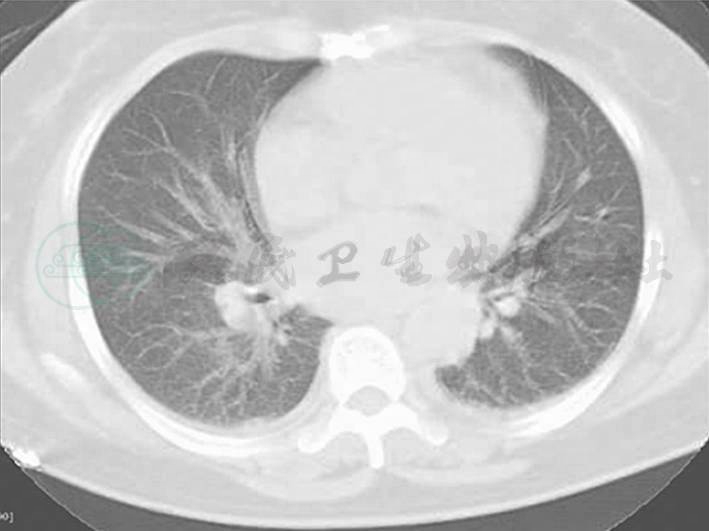
图2 胸腹部CT
脾肿大(7月8日)
图3 心电图
阵发性心房颤动(7月8日)
重要提示
1.中年女性,来自恙虫病疫区。
2.临床特征为急性起病,持续发热,有上腹部隐痛、腹泻、胸闷,并出现血压下降、多脏器损害,脾肿大。难以用肠道感染、胆道感染解释休克,并且广谱抗生素治疗效果不佳。感染相关检查均阴性。
3.患者有典型皮损,入院时左后背有皮肤破损,入院后第4天演变成典型焦痂溃疡。
4.米诺环素100mg,每天2次口服诊断性治疗有效。
入院后予亚胺培南-西司他汀钠1.0g静点,每8小时1次(7月8日~12日),补液、扩容、多巴胺升压抗休克,甲泼尼龙、乌司他丁抗炎,温控毯降温,鼻导管给氧(5L/min),肝肾功能较前好转,血压恢复正常,7月11日停用多巴胺,但仍有发热,体温波动于37~39.6℃,呼吸促,多次测血气分析,氧合指数<200,结合之前的胸部CT,考虑继发ARDS,感染控制欠佳,故加用万古霉素1.0g,每12小时1次,覆盖阳性菌,停甲泼尼龙,仍有发热,高达39.6℃。7月12日查体发现左后背一处焦痂(见图4),大小0.5cm×0.5cm,考虑恙虫病,予米诺环素100mg,每天2次口服治疗,同时停用亚胺培南-西司他汀钠及万古霉素,24小时后体温逐渐下降,48小时后体温正常。
图4 左后背焦痂(7月12日)
最终诊断:恙虫病,感染性休克,多脏器功能不全(心、肾、肝、肺、血液)。
转归:经米诺环素100mg,每日2次口服治疗24小时后体温渐下降,48小时体温恢复正常,治疗后第3天复查心肌酶学、BNP、肝肾功能、血小板、血气分析均恢复正常。米诺环素100mg,每日2次口服治疗疗程共10天停药,观察两天体温及生化指标无异常予出院。



