病情介绍
患者,男性,54岁。因“鼻出血、关节痛半月余,气促咳嗽10余天”于2011年5月27日收入笔者医院。患者于半月前无明显诱因出现鼻出血、关节痛,到当地医院就诊,测Cr 783μmol/L,BUN 47.4mmoL/L,当地多次行血液透析治疗,10多天前出现气喘、咳嗽,到当地医院就诊行CT示右肺下叶散在大小不一病灶,考虑肺结核可能性大,不能排除癌变,建议活检;气管右前方淋巴结肿大;胆囊小结石。遂到笔者医院急诊科就诊,查肌钙蛋白提示持续升高,不排除急性非ST段抬高型心肌梗死,考虑合并急性左心衰竭、肺部感染,予抗心力衰竭等对症处理,拟诊“气促查因”收入院进一步诊治。既往史:平素身体健康状况良好,高血压2年,未系统监测血压,无服药治疗,否认糖尿病,冠心病病史。否认肝炎、结核等传染病病史,否认食物、药物过敏史。否认家族遗传病史。
体格检查:T 36.5℃,P 129次/分,R 24次/分,BP 125/85mmHg。发育正常,营养中等,神志清楚,精神可,自主体位,查体合作。全身皮肤及黏膜无发绀、黄染,轻度苍白,全身浅表淋巴结未触及肿大;巩膜无黄染,睑结膜未见异常,双侧瞳孔等大等圆,直径3mm,对光反射及调节反射均存在;颈软,颈静脉无怒张,气管居中,甲状腺不肿大,未闻及血管杂音;胸廓无畸形,左右对称,双侧呼吸动度一致,双侧语颤一致,未触及胸膜摩擦感;双肺叩诊呈清音;双肺呼吸音粗,可闻及大量哮鸣音,未闻及胸膜摩擦音;心前区无隆起,未见异常心尖搏动,心尖搏动位于第5肋间左锁骨中线外3cm,无抬举性心尖搏动及心包摩擦感,叩诊心界向左下扩大,心率129次/分,律齐,各心脏听诊区未闻及杂音,未闻及心包摩擦音;腹部平坦,未见胃肠型及蠕动波,未见腹部静脉曲张;腹部柔软,无压痛及反跳痛,未触及腹部肿块;肝肋下未触及;胆囊未触及,Murphy征(-),脾肋下未触及,肝浊音界存在,肝上界位于右锁骨中线第5肋间;肝区及双肾区无明显叩击痛,移动性浊音阴性。肠鸣音正常,4次/分,未闻及血管杂音。
辅助检查:外院(5月21日)胸部CT:双肺散在片状影,考虑肺水肿或炎症,建议治疗后复查,右肺下叶散在大小不一病灶,考虑肺结核可能性大,不能排除癌变,建议活检;气管右前方淋巴结肿大;笔者医院(5月27日)床边心脏超声:考虑冠心病合并高血压性心脏病,左右心房及左心室增大,二、三尖瓣关闭不全(轻度),左心室收缩功能减低;床边腹部B超:双肾大小正常,实质回声增高,双侧胸腔积液;心肌梗死组合:CK-MB、cTnT进行性升高。
入院诊断:①急性非ST段抬高型心肌梗死,心功能Ⅱ级;②肺部感染;③肾衰竭:急性?慢性急性加重?④肺结核待查;⑤肺癌待查。
重要提示
1.患者以鼻出血、肾功能不全和心肌损害为主要临床表现,表现为多系统受累,与普通的肾衰竭或心肌梗死表现不同。
2.心肌标志物、cTnT进行性升高,但冠状动脉造影未见明显异常,提示可能为其他原因的心肌损伤。
3.该病例提醒不能只看到某个指标或某个器官功能的异常,要整体判断患者。
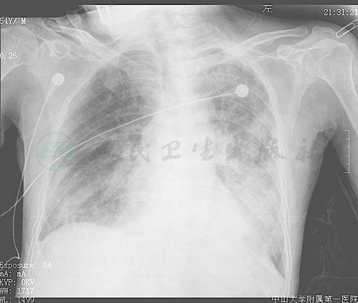
入院后予以对症支持治疗,吸氧、抗凝、抗血小板聚集、调脂、改善冠状动脉循环、营养心肌、护肾及维持水、电解质、酸碱平衡等,并行CRRT等对症治疗。完善相关检查,血常规:WBC 12.05×109/L,N 77.9%,RBC 2.79×1012/L,Hb 79g/L,PLT 207×109/L;CK-MB 32.87ng/ml,肌红蛋白420.60ng/ml,cTnT 7.630ng/ml,K+ 5.33mmol/L,Na+ 145mmol/L,Cl- 104mmol/L,CO2 27mmol/L,BUN 29.1mmol/L,CREA 591μmol/L,BUN/Cr 0.049,Glu 6.2mmol/L,Ca2+ 2.22mmol/L,BNP 141664pg/ml;出凝血常规示:APTT 26.8秒,PT 18.6秒,FBG 4.79g/L,INR 1.59;渗透压325.7mOsm/L,阴离子间隙19.53mmol/L;尿红细胞位相示蛋白(++),pH 5.5,正形红细胞55000个/ml,畸形红细胞80000个/ml;胸片示双肺渗出性病变,右下肺肺炎(图1);超声心动图:考虑冠心病合并高血压性心脏病,左右心房及左心室增大,二、三尖瓣关闭不全(轻度),左心室收缩功能减低。进一步行胸部CT:①右肺下叶肿块影,内见多发钙化灶,性质待定,建议增强扫描;②双下肺炎症;③双侧少量胸腔积液,双下肺局部压迫性肺不张,未见结核及肿瘤相关表现。与此同时,CK-MB、cTnT呈现进行性升高(见图2)。
图1 入院时的床边胸片
图2 患者住院过程中cTnT变化趋势
图3 骨骼肌活检结果
为进一步明确冠状动脉情况,行选择性冠状动脉造影(PCI),术中见冠状动脉系统呈右侧优势型,双侧冠状动脉大致正常,未见严重狭窄。鉴于患者肌钙蛋白T、心肌酶持续增高,但心电图未见明显心肌缺血改变,且冠状动脉造影未见冠状动脉狭窄征象,因此考虑患者所存在的心肌损伤为非缺血性心肌损伤,不排除结缔组织病所致全身病变,以心肌病变为全身病变的局部表现可能。遂行骨髓穿刺和活检及相关风湿免疫检查,骨髓穿刺结果报告显示浆细胞比例增高,且有形态异常;活检报告显示镜下见送检骨髓组织,增生基本正常,可见三系造血细胞,偏成熟阶段为主,未见肿瘤;体液免疫七项:IgA 0.79g/L,IgM 0.28g/L,IgG 22.0g/L,λ链21.89g/L,κ链2.50g/L,ANCA组合、SLE五项及抗GBM抗体未见异常;血清免疫固定电泳结果报告见单克隆免疫球蛋白IgG-κ型。血液科会诊考虑骨髓瘤诊断条件尚不充分(浆细胞比例14%),建议行骨骼肌活检,肌肉活检结果(图3)提示刚果红染色为阳性,明确淀粉样变诊断。
治疗期间,曾行胸部CT检查提示双下肺炎症,双侧少量胸腔积液,双下肺局部压迫性肺不张,右下肺肿块影,内见多发钙化灶,性质待定;咽拭子培养示溶血葡萄球菌MRSCoN、近平滑念珠菌(+++),升级抗生素治疗方案并加用抗真菌药物抗感染治疗。在治疗后期患者时有发作性抽搐症状,神经科会诊考虑颅内感染和单纯代谢性脑病可能性不大,且行头颅MRI亦未见明显异常,与原发病相关可能性大;明确诊断后考虑发作性抽搐为病变累及脑实质所致。
最终诊断:原发性淀粉样变,多器官功能损害(心、肾、神经、皮肤);院内获得性溶血性葡萄球菌、近平滑念珠菌感染性肺炎;肺结核待查;肺癌待查。
治疗和转归:明确诊断后,血液科会诊,建议采用大剂量美法仑联合自体干细胞移植方案治疗。向家属说明病情、下一步治疗方案及患者预后,家属要求返当地医院进一步治疗,遂出院。



