病情介绍
患者,男性,21岁,因“车祸致外伤1个月余伴血便3日”于2010年10月28日入院。患者于9月2日驾电动车被汽车撞伤,伤及头胸部及四肢,当即神志不清伴头皮及四肢出血,立即送至当地医院,急查CT示左侧额颞部硬膜下血肿,脑疝、肺挫伤、气胸,急诊行颅内血肿清除+去骨瓣减压术、双侧胸腔闭式引流术+清创缝合术,术后带气管插管转入ICU治疗,病情一度好转,自10月17日起出现腹泻,稀水样便,每日数十次。外院多次血培养见金黄色葡萄球菌和白念珠菌等生长,血常规提示白细胞最高达50×109/L,肾功能异常(Cr 280μmol/L)。入院前3天患者出现鲜血便,每日达3000~4000ml,为进一步救治于10月27日13点转至笔者医院。
体格检查:T 38℃,P 140次/分,RR 30次/分,BP 85/50mmHg。嗜睡,偶有烦躁,极度消瘦,气管套管内给氧,GCS评分9分,全身皮肤黏膜无黄染,双手皮肤可见大片干燥脱落皮屑,全身散在多处三度压疮,左侧额颞部去骨瓣减压窗凹陷,压力较低,右侧枕部见5cm皮肤缝合处已愈合,气管切开在位,右侧胸廓稍塌陷,呼吸急促,两肺呼吸音粗,可闻及明显痰鸣音,腹稍隆起,质韧,肠鸣音2~3次/分,左下肢石膏固定,左侧胫骨前开放性骨折伤口处敷料有脓性渗出,右侧大腿稍肿胀,右下肢内旋畸形,右胫骨结节牵引在位。
辅助检查:血常规:WBC 40.2×109/L,N 97%,RBC 2.60×1012/L,Hb 78g/L,HCT 0.22,PLT 138×109/L。
肝肾功能及电解质:ALT 36U/L,AST 33U/L,肌酐276.5μmol/L,尿素29.99mmol/L,钾离子4.74mmol/L,钠离子140.1mmol/L,氯离子115.9mmol/L,钙离子1.91mmol/L。
凝血常规:PT 15.6秒,APTT 58.0秒,TT 20.2秒,D-二聚体1.76μg/ml,FIB 2.8g/L。
血气分析:pH 7.293,PCO2 16.6mmHg,PO2 88mmHg,HCO3- 8mmol/L,BE ?19mmol/L,SPO2 96%。NT-ProBNP 2928ng/L。肌钙蛋白T 0.2ng/ml。
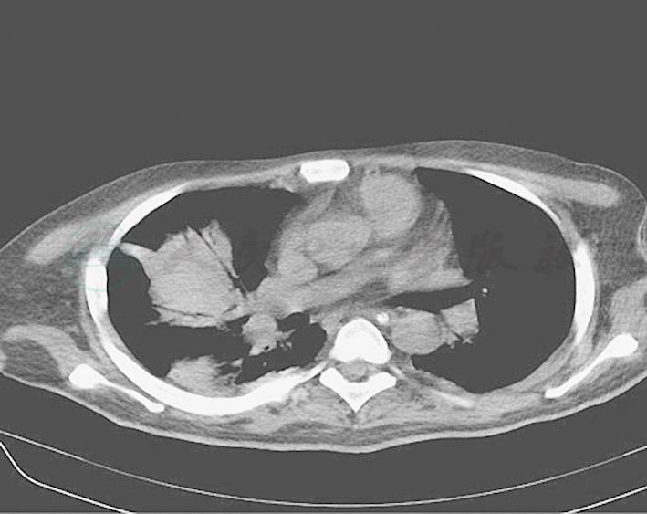
头颅、胸部及全腹部CT检查:①右侧额颞顶部术后,左侧额叶、颞叶片状低密度影,考虑软化灶;②右侧颞骨骨折;③右中下肺肺不张伴感染,两侧胸膜增厚伴少量胸腔积液,两下胸部多处肋骨皮质欠连续;④T4右侧横突骨折,右股骨干骨折,局部血肿伴边缘机化可能;⑤盆腔少量积液(图1)。
图1 ①右侧额颞顶部术后,左侧额叶、颞叶片状低密度影;②右中下肺肺不张伴感染,两侧胸膜增厚
入院诊断:①多发伤:脑挫伤、左侧额颞部硬膜下血肿清除术后、颅底骨折、多发骨折(左胫骨、右股骨、肋骨);②左胫骨开放性骨折合并感染;③败血症、感染性休克;④中毒性心肌损伤;⑤下消化道出血;⑥急性肾衰竭;⑦重度营养不良。
1.年轻男性,车祸致多发伤。
2.败血症、感染性休克导致多脏器功能衰竭,病情复杂、治疗矛盾重重。
3.多科合作是危重患者救治成功的必要条件。
4.感染的有效控制是治疗成功的关键。
1.患者为多发伤,病程1个月余,入院时发热、心率增快、呼吸急促、皮肤和创面多处感染,同时伴肺部感染、心肌损伤、感染性休克、肾功能不全等多脏器功能不全,入院后立即给予积极的抗感染治疗、各个功能脏器的支持治疗、营养支持治疗,同时积极完善相关检查。
2.抗生素选择 入院后积极完善相关细菌学培养:①痰培养(纤维支气管镜):铜绿假单胞菌(广泛耐药);②中段尿培养:ESBLs大肠埃希菌(广泛耐药);③创面脓液培养:金黄色葡萄球菌。治疗上根据细菌学及临床经验,先后给予抗生素方案:替考拉宁、万古霉素+头孢哌酮-舒巴坦钠;利奈唑胺+美罗培南等,同时病程中监测患者血G试验提示1100mg/L,加用伏立康唑治疗3周,于患者入院后50天复查细菌学为阴性,停用抗生素,转至骨科手术治疗。
3.脏器功能支持
(1)呼吸支持:患者入院后持续高热,伴呼吸急促,肺部感染加重,于入院后第2天给予呼吸机辅助通气,同时给予积极抗感染、化痰、雾化等措施,患者体温逐渐下降,痰量逐渐减少,于入院后20天停用呼吸机,并于入院后25天拔除气管套管。
(2)血流动力学:入院后给予持续有创动脉压及中心静脉压监测,应用多巴胺、多巴酚丁胺、去甲肾上腺素等血管活性药物,同时通过床边CRRT严格管理患者的出入量,清除炎症因子,保护心肌等,患者于入院后17天停用血管活性药物,心肌损伤标志物也于入院后28天恢复正常。
(3)水、电解质平衡及肾功能支持:早期床边CRRT治疗12次,清除炎症介质,减轻容量负荷,保护心肌,改善肾功能。
(4)消化系统:早期给予禁食、抑酸、止血、保护胃黏膜等,促进胃肠黏膜的修复,积极治疗消化道出血,同时输注红细胞和血浆等纠正血容量,患者于入院8天后消化道停止出血,给予鼻胃管鼻饲,但患者频繁呕吐、腹胀不能耐受,于入院20天行床边胃镜置入鼻肠管,患者慢慢耐受肠内营养。
4.营养支持治疗 早期患者消化道出血及反复腹胀、腹痛、呕吐不能耐受肠内营养,给予深静脉营养,同时输注红细胞、新鲜冰冻血浆、白蛋白、丙种球蛋白等,后期行床边胃镜置入鼻肠管,尽早行肠内营养,恢复肠道功能,纠正负氮平衡,改善患者的营养状态。
5.创面和压疮护理 积极的创面和压疮护理,减少感染源,同时留取标本,做好细菌学培养。
6.并发症治疗 颅脑创伤后抗癫痫治疗、骨折后肢体功能的恢复锻炼等。
7.转归 患者经积极治疗后体温及血常规恢复正常,血流动力学稳定,肾功能恢复正常,肺部感染基本吸收(图2),能经鼻肠管进食,左胫骨开放性骨折创面愈合,于2011年1月7日转入骨科继续手术治疗,术后恢复良好,2月18日好转出院。
图2 肺部感染及胸腔积液基本吸收
出院诊断:①多发伤:脑挫伤、左侧额颞部硬膜下血肿清除术后、颅底骨折、多发骨折(左胫骨、右股骨、肋骨);②左胫骨开放性骨折合并感染;③败血症,感染性休克;④中毒性心肌损伤;⑤下消化道大出血;⑥急性肾衰竭;⑦重度营养不良。



