病情介绍
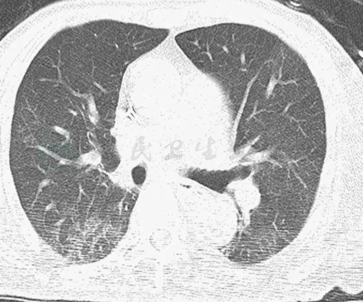
患者,男性,80岁,因“腹胀、腹痛9小时”于2010年10月26日就诊。诊断为不全性肠梗阻。既往有高血压、冠心病、心功能不全、慢性肾功能不全、脑梗死等病史,基础血肌酐200μmol/L左右。经过保守治疗肠梗阻好转,因血压控制不佳,血压维持在190/60mmHg于2010年10月30日转入老年科。入老年科后因“二度Ⅱ型房室传导阻滞”,行永久性起搏器植入术,血压控制在150/60mmHg。2010年11月17日出现发热,伴咳嗽、咳痰,肺部听诊左下肺可闻及少量湿啰音,血常规:WBC 5.67×109/L、中性粒细胞80.4%。行胸部CT提示支气管扩张合并感染(图1)。予以哌拉西林钠-他唑巴坦钠抗感染治疗,但一直存在低热、咳嗽、咳痰,并于活动后出现胸闷、气喘。复查肾功能,血肌酐上升至350μmol/L。加用莫西沙星,但病情无好转,出现胸闷、气喘加重,小便量减少,转科前当天白天的小便量仅为100ml,肌酐上升至588μmol/L,2010年11月28日转入ICU。
图1 胸部CT提示:支气管扩张合并感染
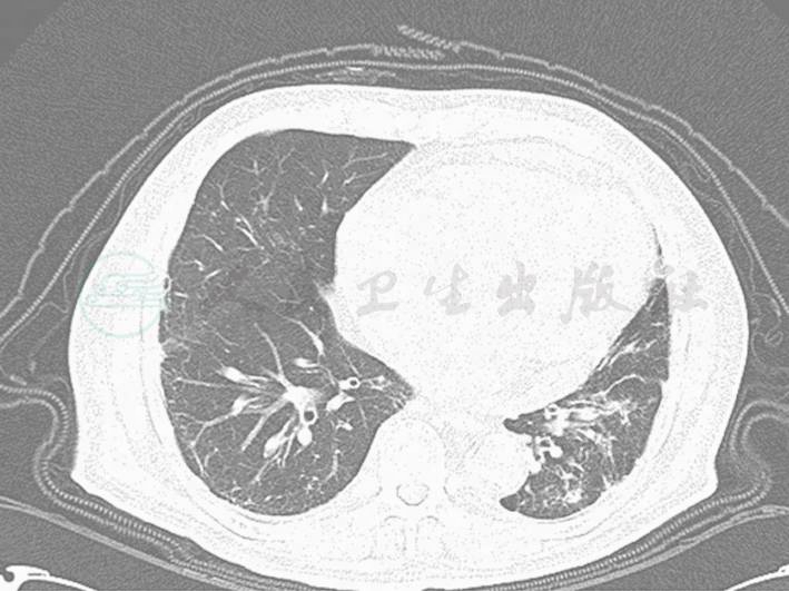
入科查体:T 36.8℃,HR 80次/分(起搏心律),BP 166/60mmHg[多巴胺5μg/(kg·min)持续静脉泵入],RR 24次/分。SPO2 95%(鼻导管吸氧5L/min),神志清楚,半卧位,颈静脉充盈,两肺可闻及干、湿性啰音,心脏听诊未闻及明显杂音,双下肢轻度凹陷性水肿,余未查见明显阳性体征。测CVP 6mmHg;血常规:WBC 13.2×109/L,N 87.3%;血气分析:pH 7.293,PaO2 67mmHg,PCO2 30mmHg,PaO2/FiO2 160mmHg,Lac 3.9mmol/L;BNP 247ng/ml;TnI 1.11ng/ml;PCT阴性。肝功能:ALB 24g/L,ALT 133u/L,AST 84u/L。入科查胸部平片示两肺弥漫性渗出影,以右肺为重(图2)。胸部CT提示右肺肺炎、两下肺支气管扩张伴感染,较上次胸部CT(图1)明显进展;两侧少量胸腔积液、心包少量积液(图5-3)。
入科初步诊断:①肺部感染、呼吸衰竭;②感染性休克;③冠心病、心功能不全、心律失常:二度Ⅱ型房室传导阻滞;④慢性肾功能不全;⑤高血压3级(极高危);⑥脑梗死。
入科后首先按重症感染处理,血乳酸明显增高,留取痰标本后予以亚胺培南抗感染治疗,同时积极液体复苏抗休克治疗。因患者肾功能急剧恶化,予床旁CRRT。因氧合较差,呼吸急促,予以无创呼吸机辅助通气治疗。考虑患者基础心功能较差,输液速度不宜过快,第1个小时共输液500ml,复测CVP升高至12mmHg,而血压较前无明显改变。考虑患者需要液体,但心脏对液体的耐受性较差,予以减缓补液速度,以每小时加100ml进行缓慢液体复苏。但患者病情仍然没有好转,在无创呼吸机辅助通气下SPO2维持在90%~95%之间,小便量较前无明显增加,维持在10~20ml/h。
4小时后患者出现呼吸困难加重,心率增快至120次/分,两肺听诊湿啰音较前增加,测CVP 14mmHg,行被动抬腿试验后提示心脏对容量无反应,考虑患者目前容量相对于心脏偏多,遂行负平衡治疗,从每小时?100~?50ml开始,到最后每小时?600ml,24小时平衡?10 132ml。患者症状较前明显改善,呼吸困难减轻,心率逐渐下降至65~70次/分,氧合较前改善,鼻导管吸氧5L/min,SPO2维持在96%以上。
复查血气分析:pH 7.367,PaO2 87mmHg,PCO2 37mmHg、PaO2/FiO2 217mmHg、Lac 1.1mmol/L。24小时后复查胸片提示两肺渗出影较前有所改善(图4)。继续积极调整患者心脏功能,并在循环稳定的情况下降低心脏前负荷,共进行液体负平衡约18 000ml,5天后复查胸部CT可见两肺渗出性病灶明显减轻(图5)。
最终诊断:①冠心病、心功能不全、急性左心衰竭;②肺部感染。
图2 入科当天胸部X线片,两肺渗出,以右肺为重
图3 入科当天胸部CT,两肺渗出,以右肺为重
图4 治疗后胸片,渗出影较前吸收
图5 治疗后胸部CT:两肺渗出影较前明显吸收
重要提示
1.患者老年男性,既往存在冠心病、心功能不全、慢性肾功能不全等病史。
2.此次因肠梗阻入院,住院过程中出现发热、咳嗽、咳痰、呼吸急促等肺部感染表现;同时患者存在活动后气喘、喜半卧位等临床表现。
3.肺部听诊两肺可闻及广泛干、湿性啰音;双下肢轻度凹陷性水肿;查血象明显升高,但PCT阴性。
4.胸片提示两肺渗出性病变,以右肺为重。胸部CT可见类似结果;BNP轻度升高。



