病史摘要
患者,女,6个月。
主诉
发现心脏杂音、哭闹后紫绀5个月,渐进性加重月余。
现病史
患者因当地医院出生时,听诊发现心脏杂音,疑为先天性心脏病。患儿满月后出现进行性紫绀和呼吸困难,哭闹时更甚,生长发育比正常同龄人略差。随后逐渐出现静息紫绀,杵状指(图1),哭闹后有缺氧发作,为进一步诊治来我院,心脏超声心动图检查提示:“先天性心脏病法洛四联症,卵圆孔未闭”。入院时患儿精神、饮食、睡眠尚可,大、小便正常。
图1 手指末端紫绀,轻度杵状指
既往史、家族史
无特殊。
体格检查
T 36.2℃,R 35次/分,P 128次/分,BP左上90/62mmHg,左下95/42mmHg,SPO2 70%,发育可,神志清楚,口唇及肢端紫绀,轻度杵状指(趾)。左侧胸廓轻度隆起,双肺呼吸音粗,未闻及啰音。心脏不大,胸骨旁触及震颤,心率128次/分,律齐,听诊P2减弱,胸骨左缘2~4肋间可闻及4/6级收缩期吹风样喷射型杂音,传导广泛。主动脉瓣区可听到收缩喷射音,并沿胸骨左缘向心尖部传导。心浊音界可略增大。心前区和中上腹可有抬举性搏动。腹软,肝右肋下2.0cm,质软。脾肋下未触及。双下肢无水肿,周围血管征阴性。
辅助检查
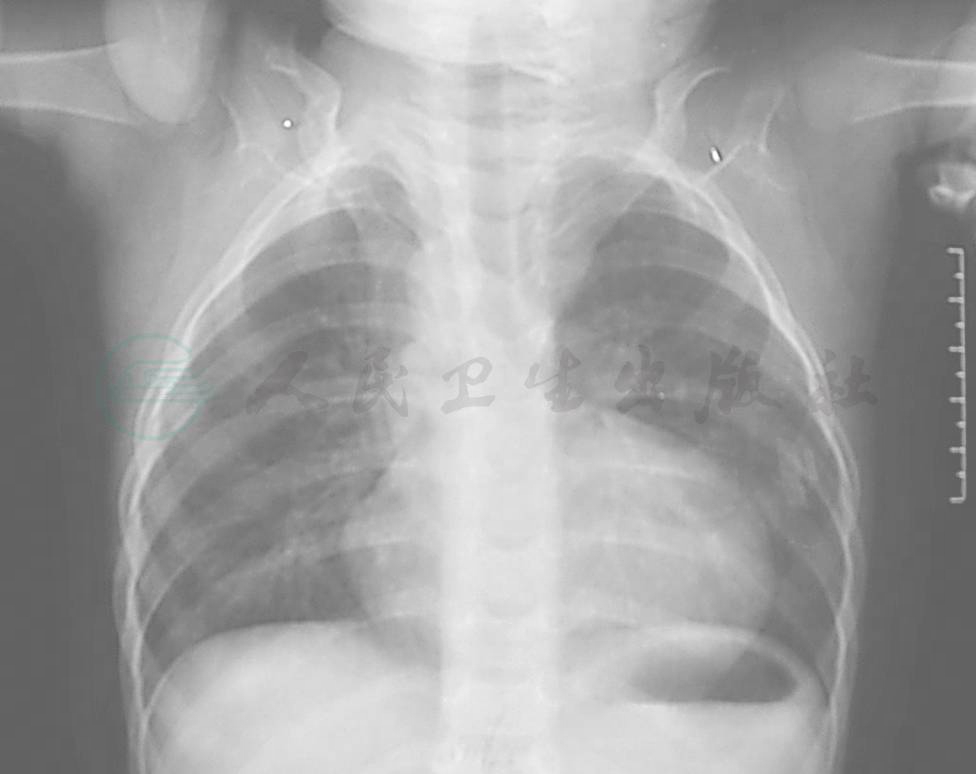
X线检查
肺野异常清晰,肺动脉总干弧不明显或凹入,右心室增大,心尖向上翘起,在后前位片上心脏阴影呈木楔状(如横置的长方形)。该患儿可见右位主动脉弓,可发生在近1/4的患者(图2)。
图2 X线胸部平片
心电图检查
心电图示右心室肥大和劳损,右侧心前区各导联的R波明显增高,T波倒置。部分患者标准导联和右侧心前区导联中P波高而尖,示右心房肥大。心电轴右偏。
超声心动图检查
见主动脉根部扩大,其位置前移并骑跨在心室间隔上,主动脉前壁与心室间隔间的连续性中断,该处室间隔回声失落,而主动脉后壁与二尖瓣则保持连续,右心室肥厚,其流出道、肺动脉瓣或肺动脉内径狭窄。超声造影法还可显示右心室到主动脉的右至左分流(图3,4)。
图3 超声心动图
图4 超声心动图
CT/磁共振电脑断层显像
显示扩大的升主动脉骑跨于心室间隔之上,而心室间隔缺损,肺动脉总干小,右心室漏斗部狭窄,肺动脉瓣环亦可见狭窄(图5)。
图5 CT三维成像
心脏导管检查
右心导管检查可有下列发现(图6,7):
图6 法洛四联症右心导管检查表现
图7 法洛四联症右心导管检查表现
1.肺动脉口狭窄引起的右心室与肺动脉间收缩压阶差,分析压力曲线的形态,可帮助判定狭窄的类型。
2.心导管可能由右心室直接进入主动脉,从而证实有骑跨的主动脉和心室间隔缺损。
3.动脉血氧饱和度降低至89%以下,说明存在右至左分流,如同时有通过心室间隔缺损的左至右分流,则右心室的血氧含量高于右心房。
4.心室间隔缺损较大而主动脉右位较明显的患者,主动脉、左心室与右心室的收缩压相等。
最终诊断
先天性心脏病:法洛四联症,卵圆孔未闭。
由于手术步骤复杂,应该注意防治手术并发症,主要有:
1.灌注肺等肺部并发症
影响法洛四联症治疗效果的主要因素是肺动脉发育状况,尤其是左右肺动脉分支乃至远侧分支细小者,疗效较差。术前贫血,肺血管及肺重度发育不良,血液黏稠和肺血少可致肺泡变性和肺毛细血管微血栓形成。术中肺血管因侧支过多而过度充盈,肺静脉回流不畅,形成组织过度灌注产生灌注肺。右室流出道疏通后,肺血大量增加,术后肺血灌注流量明显升高,加上婴幼儿肺及支气管脆嫩,管腔狭小,分泌物多,管腔易阻塞,术后常出现肺部并发症,而成为法洛四联症术后早期死亡的主要原因之一。为防止肺部并发症,对肺内侧支循环较多者术中采用深低温低流量方法,保证左心引流通畅,以减少侧支循环对肺的灌注。严格控制输液(血)量和质,体外循环预充时血细胞比容不应低于20%,胶体渗透压不低于113kPa,防止肺内渗出。降温及复温的温差不超过10℃,转流中持续静态膨肺及间歇正压膨肺,术后呼吸机PEEP5~10,肺部体疗,雾化吸入,充分吸痰。有的患儿拔管后可能出现哮喘或喉头水肿,应及时给予持续雾化吸入及支气管扩张剂,氨茶碱或喘定效果好,皮质激素的使用也可以减少毛细血管渗漏综合征的发生。
2.完全性房室传导阻滞
Ⅲ度房室传导阻滞是法洛四联症根治术后的常见并发症,由于术中直接创伤,牵拉或缝线位置不当以及术中低温,缺氧缺血等,可导致完全性房室传导阻滞,但多为一过性,经复温及拔除腔静脉引流管即可恢复窦性心律,无效时可用异丙肾上腺素(5μg/ml)5~10μg静脉注射,可用暂时性心脏起搏和激素治疗。预防的主要办法是在室间隔缺损右下角缝合时遵循浅缝、超越缝合,避免损伤传导束,也可以使用转移针或者远离Koche三角的顶点,避开传导束。
3.低心排综合征
多因畸形过度复杂,手术畸形纠正不满意,比如室间隔缺损有残余漏或流出道及肺动脉狭窄解除不够充分,心室切口过大损伤右室功能,主动脉阻断时间过长,术中心肌保护差,左心发育不全,常温下低血压等因素引起。预防方法是避免上述原因发生,术后严密观察,及早处理,出现这些情况首先要排除解剖矫正的因素,在排除血容量不足或心包填塞等情况下,可应用硝普钠等扩张血管药,并辅以多巴胺、异丙肾上腺素等,以减轻心脏前后负荷,增强心肌收缩力,控制低心排。
如果患儿因左心室发育较差,肺动脉远端狭窄无法手术根治等原因导致停机后低心排,临床表现为左房压高、右心室压力高等,可以考虑尝试保留卵圆孔开放。
4. 渗血、出血
法洛四联症患者由于侧支循环丰富,凝血机制障碍和体外循环时间较长等致使术后渗血机会增加,除失血量多外还可引起心包填塞,影响心功能,甚至危及生命。防治方法是尽量缩短体外循环时间,严密采用ACT监测,手术结束前仔细止血,术后保持引流管通畅,严密观察引流液量,必要时及早开胸止血。
5.全身毛细血管渗漏综合征
新生儿及小婴儿体外循环后常发生渗漏现象,这可能与炎性介质释放,致毛细血管内皮损伤有关。临床表现为全身严重水肿,胸腹腔大量渗出,常需较大剂量的儿茶酚胺类药物和输入大量胶体液来维持血压。目前尚无有效的预防办法,应用激素可能增加毛细血管稳定性,但不能阻止渗漏发生,对这类患儿要随时测定血浆蛋白,使总蛋白维持在7~8mmol/L,血红蛋白12~14mg/L。
6.远期并发症
主要有室性心律失常,多发生于右心室心肌纤维化患者,与根治时间有关。肺动脉瓣反流或由右心室扩大引起的肺动脉远端狭窄,需要移植肺动脉瓣。远期生物管道的钙化或再狭窄,往往需要再次手术更换。局限的肺动脉瓣水平狭窄,通过肺动脉瓣球囊扩张术,该技术已在有些心脏中心进行尝试,效果良好。



