作者
吴晓娟 易斌 魏明发
案例诊断
肠壁炎性假瘤
病例摘要
病历摘要
患儿,女,12岁。
主诉
右下腹腹痛1周。
现病史
平素月经欠规则,末次月经时间 2009-9-23,于9-30无明显诱因出现阵发性右下腹剧痛,伴恶心呕吐,无发热、腹泻及肛门坠胀感;给予抗感染治疗,无好转。
既往史、家族史
无特殊。
体格检查
一般情况
生长发育正常,心肺听诊无明显异常。
专科情况
腹平,尚软,中右下腹压痛反跳痛明显,叩诊无移动性浊音,截石位肛诊右附件区可触及一女拳大小的包块,质韧有触痛,活动欠佳。
辅助检查
外院B超
右侧附件混合性包块:左侧卵巢大小:2.5cm×1.8cm,子宫前方可见7.4cm×4.3cm包块回声,边界欠清晰,内部回声杂乱不均。
外院CT
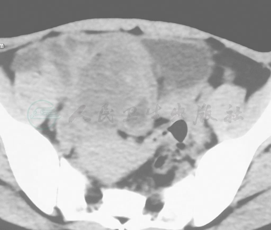
右侧附件区占位性病变,(图1,2)
图1 右侧附件区可见囊实性病灶
图2 右侧附件囊实性病灶
我院门诊B超
右侧盆腔混合性包块,7.3cm×5.3cm×5.9cm,陶氏腔1.0cm的积液,考虑卵巢囊肿蒂扭转。
血常规
WBC 9.57×109/L,N 66.7%。
最终诊断
肠壁炎性假瘤。
此内容为收费内容
此内容为收费内容



