患者,男性,40岁。因持续性胸痛于2011年8月份在当地诊断为急性下壁心肌梗死。予以抗血小板抗凝治疗后行冠状动脉造影显示:RCA弥漫病变,中段自发夹层,PDA和PLA闭塞。于2011年9月转入我院接受PCI治疗。
既往史:2010年确诊强直性脊柱炎;2010年因右侧股骨头坏死行股骨头置换术。
心血管危险因素:吸烟20年,40~60支/日;饮酒20年,5两白酒/日。否认HT和DM。
心脏超声心动图:LVEF 52%。
实验室检查:生化检查肝肾功能及离子水平正常。
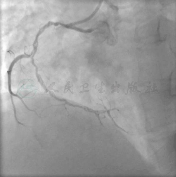
冠脉造影
冠状动脉造影结果见图1、图2。病变特点:① RCA从Ⅰ-Ⅱ段拐弯处出现长夹层(图1),双侧同时造影显示闭塞段长度<2cm,但闭塞段近端有分支血管,闭塞段远端为分叉血管(图2);②闭塞时间不长,从病史上推测1个月左右;③左冠脉正常。

图1 RCA从I-II段拐弯处出现长夹层

图2 双侧同时造影显示闭塞段长度<2cm,但闭塞段近端有分支血管,闭塞段远端为分叉血管
PCI过程
按照术者预想的策略,在SAL指引导管支撑下和Finecross微导管的跟踪下,该导丝顺利避开夹层到达闭塞段近段(图3)。
当ATW导丝到达闭塞段近端时,是更换较硬的指引导丝还是继续使用该导丝,基于病史考虑闭塞时间在1个月左右,术者选择了在微导管支撑下继续操作该导丝进入闭塞段内(图4,进入了闭塞段内的分支血管)。之后回撤导丝,调整导丝的方向,在对侧造影的指引下,使用该导丝成功到达闭塞段远端血管真腔(图5、图6)。

图3 ATW marker指引导丝在SAL指引导管支撑下和Finecross微导管的跟踪下,顺利避开夹层到达闭塞段近段

图4 ATW marker指引导丝进入了闭塞段内的分支血管

图5 在对侧造影的指引下,使用该导丝成功到达闭塞段远端血管真腔

图6 在对侧造影的指引下,使用该导丝成功到达闭塞段远端血管真腔
尝试使用Sprinter 1.25mm×10mm球囊不能通过病变(图7),此时考虑原因及策略有:①SAL指引导管支撑力不够强大,换用AL0.75;②ATW指引导丝支撑力不够,但微导管不能通过病变,不能更换强支撑力指引导丝如stablizer supersoft或granslam等;可否能够再次放入第二根指引导丝使用buddywire技术;③采用5in6技术;④采用边支铆定技术;⑤病变因素:指引导丝有无从夹层中通过?抑或血管扭曲成角为主要原因。
术者首先采用了5in6技术(图8),球囊依然不能通过病变。此时考虑原因为RCA近中段病变导致5F指引导管不能deep seating,所以没有起到强支撑力的作用。术者决定先处理RCA近中段病变以利于深插5F指引导管,遂球囊(2.0mm×15mm Sprinter)扩张后,于RCAII段置入2.5mm×36mm SES并用支架囊扩张血管近段(图9~图12),支架释放后造影发现一个大的锐缘支闭塞(图13)。

图7 尝试使用Sprinter1.25mm×10mm球囊不能通过病变

图8 采用5 in 6技术

图9 球囊(2.0mm×15mm Sprinter)扩张RCA近中段病变

图10 RCAII段植入2.5mm×36mm SES

图11 用支架囊扩张血管近段

图12 用支架囊扩张血管近段

图13 支架释放后造影发现一个大的锐缘支闭塞
之后深插5F指引导管,但球囊依然不能通过病变(图14);此时考虑主要原因在于SAL指引导管没有像普通Amplatz指引导管那样能够提供强大的被动支撑力,遂决定对SAL进行deep seating以获得强大的主动支撑力(图15),在此操作下,球囊成功通过闭塞段并进行扩张(图15~图17),扩张后造影(图18)。

图14 深插5F指引导管,但球囊依然不能通过病变

图15 对SAL进行deep seating 以获得强大的主动支撑力

图16 球囊成功通过闭塞段

图17 球囊扩张

图18 扩张后造影
PTCA后由远及近依次串联植入SES 2.5mm×33mm和2.5mm×29mm,近段植入SES 2.75mm×36mm,支架植入后术者曾尝试使用不同导丝开通闭塞的锐缘支但失败(图19),最终结果见图19~图21。

图19 PTCA后由远及近依次串联植入SES 2.5mm×33mm和2.5mm×29mm,近段植入SES 2.75mm×36mm,支架植入后术者曾尝试使用不同导丝开通闭塞的锐缘支但失败

图20 最终结果

图21 最终结果
随访结果
患者术后检测ADP诱导的血小板聚集率不达标,因此该患者采用了ASA+氯吡格雷+华法林的策略。在2012年8月份因再发胸痛一个月再次入院。入院后再次造影显示支架内闭塞,考虑近期闭塞(1个月),见图22~25。遂决定再次开通,选择6F AL0.75指引导管,在Finecross微导管支撑下,先后尝试Pilot50和Pilot150指引导丝到达远段血管真腔,球囊扩张后前向血流恢复,基于该血管内植入支架长度太长,且支架段无分支血管显影,预计再次闭塞可能性非常高,术者未再次植入支架(图26~图30)。

图22 1年后随访造影显示支架内闭塞

图23 1年后随访造影显示支架内闭塞

图24 1年后随访造影显示支架内闭塞

图25 1年后随访造影显示支架内闭塞

图26 选择6F AL0.75指引导管,在Finecross微导管支撑下,先后尝试Pilot 50和Pilot150指引导丝到达远段血管真腔

图27 球囊扩张后恢复前向血流

图28 支架段无分支血管显影

图29 最后结果

图30 最后结果



