患者,男性,61岁,维吾尔族。因“反复活动后胸闷3年,加重3个月”入院。
心血管病危险因素:糖尿病史10年,COPD病史20年,吸烟史30年。
心电图:窦性心律、频发室性期前收缩。
心脏超声心动图:LVEDD 62mm,LVEF 44%;左室下壁、前壁心肌运动减弱,主动脉硬化,主动脉窦部增宽,主动脉瓣轻度关闭不全。
肺功能测定:重度阻塞性通气障碍。
实验室检查:血肌钙蛋白(-),CK-MB 27IU/L。
入院后予以负荷氯吡咯雷和阿司匹林治疗后予以冠脉造影检查。
冠状动脉造影结果
选用右侧桡动脉径路,6F血管鞘。造影发现:右冠优势型供血,三支病变,左主干正常,前降支(LAD)近端处完全闭塞,无明确残端,第一间隔支与闭塞远端第四间隔支形成侧支循环;回旋支中段、OM1中段70%狭窄;右冠近端60%狭窄、中段70%狭窄(图1~图4)。

图1 三支病变,LM正常,LAD近端处完全闭塞,无明确残端

图2 第一间隔支与闭塞远端第四间隔支形成侧支循环

图3 LCX中段、OM1中段70%狭窄

图4 RCA近端60%狭窄、中段70%狭窄
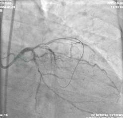
PCI过程
选择6F EBU3.5指引导管,在微导管的辅助下,先后尝试Fielder、Miracle3、Conquest等导丝,但由于闭塞起始处存在分支和桥侧支,经过反复尝试导丝不能正确穿刺闭塞段起点(图5)。由于LAD第一间隔支与前降支建立良好的同侧冠脉侧支循环,因此我们尝试使用逆行导丝技术处理该病变。
更换右股动脉途径,选择7F EBU 3.5指引导管,在150cm Finecross微导管的辅助下,尝试Fielder导丝经LAD第一间隔支经侧支血管至第四间隔支,并顺利进入前降支闭塞远端,推送微导管通过间隔支进入前降支闭塞段远端(图6、图7)。经微导管置换Miracle3导丝反复寻找逆向通过闭塞段,但进入假腔,由于侧支循环成角,导丝很难调整至真腔(图8、图9)。换用Pilot 150导丝经反复寻找,最终通过闭塞段,进入前向7F EBU 3.5指引导管内,采用导管内锚定技术将微导管送入指引导管。换用3m PT 2长钢丝推送至股动脉鞘管外(图10~图13)。采用Back-end技术送入Legend 1.25mm×6mm及1.5mm×20mm扩张LAD病变。沿前向送入Runthrough导丝前向通过闭塞段至LAD 远端,回撤逆行导丝及微导管后,沿前向导丝选用2.5mm×20mm Legend球囊以预扩张前降支中段病变,及造影结果(图14~图16)。回撤逆行导丝保留微导管至间隔支侧支循环远端,于前降支远段至中段依次植入2.5mm×36mm,3.0mm×36mm Excel 两枚支架,造影显示支架膨胀良好,前向血流通畅,但发现间隔支吻合支损伤出现造影剂渗漏(图17、图18)。
术中当时患者未出现胸痛,血流动力学稳定,重新送微导管至第一间隔支,寻找渗漏部位分支血管,经微导管注入明胶海绵后造影结果(图19、图20),提示间隔血肿形成并破入右室,经明胶海绵封堵后第一间隔支渗漏减轻,考虑LAD CTO开通后第四间隔支前向供血,渗漏部位双侧供血,因此仅封堵第一间隔支难以奏效。由于患者血流动力学稳定,故撤出微导管,于LAD近段植入3.0mm×33mm Excel 支架及造影结果(图21、图22)。再次在LAD远段尝试进入第四间隔支,但难以通过支架网眼达到渗漏侧支,故选择3.0mm×18mm带膜支架于LAD远段封闭第四间隔支(图23、图24)。植入后第四间隔支封闭,造影渗漏显著减少,最后造影结果见图25、图26。术后患者入CCU观察24小时平稳,3天后出院,常规接受药物治疗,偶尔有心绞痛发作。

图5 先后尝试Fielder、Miracle3、Conquest等导丝不能正确穿刺闭塞段起点

图6 采用逆行技术,Fielder导丝经LAD第一间隔支经侧支血管至第四间隔支,并顺利进入前降支闭塞远端

图7 推送微导管通过间隔支进入前降支闭塞段远端

图8 Miracle3导丝反复寻找逆向通过闭塞段,但进入假腔

图9 Miracle3导丝反复寻找逆向通过闭塞段,但进入假腔

图10 换用Pilot150导丝,最终通过闭塞段,进入前向7F EBU 3.5指引导管内

图11 换用Pilot150导丝,最终通过闭塞段,进入前向7F EBU 3.5指引导管内

图12 换用Pilot150导丝,最终通过闭塞段,进入前向7F EBU 3.5指引导管内

图13 采用导管内锚定技术将微导管送入指引导管,换用3m PT 2长钢丝推送至股动脉鞘管外

图14 采用Back-end技术送入Legend 1.25mm×6mm及1.5mm×20mm扩张LAD病变

图15 沿前向送入Runthrough导丝前向通过闭塞段至LAD 远端

图16 沿前向导丝选用2.5mm×20mm Legend球囊以预扩张前降支中段病变,以及造影结果

图17 前降支远段至中段依次植入2.5mm×36mm,3.0mm×36mm Excel 两枚支架

图18 释放后造影发现间隔支吻合支损伤出现造影剂渗漏

图19 重新送微导管至第一间隔支

图20 经微导管注入明胶海绵后造影结果

图21 LAD近段植入3.0mm×33mm Excel 支架

图22 LAD近段支架植入后造影

图23 再次在LAD远段尝试进入第四间隔支,但难以通过支架网眼达到渗漏侧支

图24 3.0mm×18mm带膜支架于LAD远段封闭第四间隔支

图25 植入后第四间隔支封闭,造影渗漏显著减少

图26 最后结果



