患者,男性,59岁。间断发作胸痛2个月,加重1周,于2012年9月10日入院。2011年3月12日(18个月前),因心前区痛持续不缓解在外医院诊断为AMI,药物治疗好转。出院后一直口服阿司匹林、硝苯地平等治疗,但活动时心悸、气短,以及有时出现夜间阵发性呼吸困难。入院检查血压115/80mmHg,心率62次/分,节律规整,各瓣膜区无明显杂音。双肺底少许湿啰音。肝不大。双下肢无浮肿。
心血管危险因素:吸烟史20年(1包/日);无高血压和糖尿病史。
心电图:窦性心律,Ⅲ 、aVF 和V1~V3呈QS型,V4~V5的T波倒置。
心脏超声心动图:LVEDD51mm,LVEF59%。
实验室检查:血肌钙蛋白I(-)。
入院后予荷氯吡格雷、阿司匹林和单硝酸异山梨酯口服后行冠状动脉造影(CAG)检查。
CAG结果
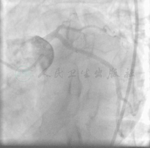
选用右桡动脉径路,6F血管鞘,常规方法行冠状动脉造影。结果显示:右冠状动脉(RCA)中段轻度狭窄性病变(图1),有侧支血管给LAD供血(图2);左主干(LM)无狭窄;左前降支(LAD)7段(高位对角支后)100%闭塞(图3);左回旋支近中段轻度病变,狭窄30%~40%(图4)。

图1 RCA中段轻度病变

图2 RCA到LAD侧支循环使LAD显影

图3 LAD100%闭塞

图4 LAD100%闭塞和LCX中段轻度病变
PCI过程
选择6F JR3.5指引导管到达左冠脉口,先用Whisper导丝在微导管(Finecross)支撑下通过LAD近端病变,撤出导丝,轻推少许造影剂示在真腔中。换用Runthrough导丝较顺利到达LAD远端,前送微导管,再次应用微导管造影示LAD中远端多处病变(图5)。撤出微导管,应用1.5mm×15mm Maverick球囊预扩张(图6)。由远至近段一次扩张后,发现LAD远端有较大量的造影剂外漏,酷似冠脉穿孔(图7)。立即应用原1.5mm×15mm的Maverick球囊封堵30分钟,CAG示仍有造影剂外漏。立即再次应用球囊封堵和静脉推注鱼精蛋白75mg(PCI开始时应用肝素钠10000U),20分钟后CAG示原开通的LAD-CTO病变关闭,无血流外漏(图8)。停止PCI,患者生命体征平稳,送回病房观察。8天后第二次CAG示LAD通畅(血流TIMI3级)和仍有大量的造影剂外漏(图9),而患者生命体征平稳,无明显不适感。仔细分析确定为LAD心室漏。对LAD行常规PCI和植入LAD中段3.0mm×20mm BuMa支架2枚和LAD近端3.0mm×15mm BuMa支架1枚(图10)。漏道为不规则形状,未处理。
随访造影结果
临床随访已经11个月,患者无不适症状而拒绝CAG随访。



