患者,男性,61岁。因“活动后胸闷2年,加重两周”入院。
心血管病危险因素:高血压病史5年,糖尿病史2年。
心电图:窦性心律,V1~V3呈QS型。
心脏超声心动图:LVEDD 55mm,LVEF 65%。
氯吡格雷和阿司匹林双联抗血小板治疗。
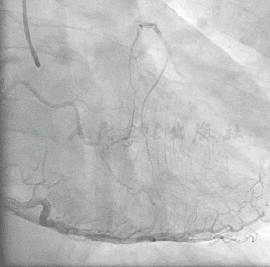
冠状动脉造影结果
经右侧桡动脉径路,6F血管鞘,造影结果发现:LM正常(图1);LAD在S1发出处完全闭塞,看不到断端(图2);LCX正常,向LAD形成侧支循环1级,心外膜途径,极度迂曲,直径较大(图3)。RCA正常,向LAD形成侧支循环1级,间隔支途径,迂曲较少,直径偏小(图4)。

图1 LM正常

图2 LAD在S1发出处完全闭塞,看不到断端

图3 LCX正常,向LAD形成侧支循环1级,心外膜途径,极度迂曲,直径较大

图4 RCA正常,向LAD形成侧支循环1级,间隔支途径,迂曲较少,直径偏小
PCI过程
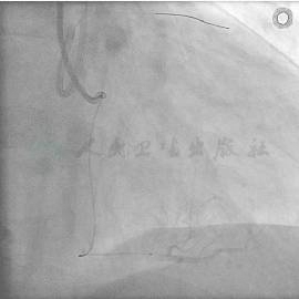
首先尝试前向导丝技术,右侧桡动脉径路,6F血管鞘,EBU指引导管,Finecross微导管,先后尝试Fielder XT、Miracle6不能明确闭塞起点,穿刺不成功(图5)。第二方案尝试从回旋支心外膜途径侧支逆向途径处理LAD CTO,导丝通过迂曲的侧支循环困难,同时因为心外膜侧支循环,担心心包填塞,尝试10分钟不成功,随放弃(图6)。
随采取第三个方案,即经间隔支途径侧支行逆向导丝技术,采用tip injection选择间隔支(图7)。顺利将导丝通过间隔支侧支循环至前降支闭塞远端,但几经努力,微导管不能通过迂曲的侧支(图8)。
在推送微导管的过程中,导丝被带出,tip injection造成间隔支破裂,观察20分钟可见间隔支持续喷血,但患者生命体征平稳,多次造影观察,间隔支喷血不止,室间隔血肿逐渐增大,决定封堵破裂的间隔支(图9~图12)。

图5 Fielder XT、Miracle6不能明确闭塞起点,穿刺不成功

图6 心外膜侧支循环,尝试10分钟不成功

图7 tip injection选择间隔支

图8 导丝通过间隔支侧支循环,而微导管不能通过迂曲的侧支

图9 间隔支破裂即刻

图10 间隔支破裂5分钟

图11 间隔支破裂10分钟

图12 间隔支破裂20分钟
可供选择的方法包括弹簧圈、明胶海绵、自体脂肪颗粒、凝血酶等,但该患者间隔支直径很小,我们中心以前对这种冠脉末梢穿孔有凝血酶封堵的经验,这次首先试用凝血酶封堵,冠脉导丝再次进入第一次选择的间隔支(图13)。微导管进入破裂的间隔支,由于微导管的直径和间隔支的直径相似,微导管进入破裂的间隔支后,喷血现象停止,单纯微导管堵塞2次,每次5分钟,微导管后退,仍然有喷血现象,决定经微导管注射凝血酶(图14)。经微导管注射凝血酶50单位后,撤出微导管,见间隔支喷血停止(图15、图16)。
经冠脉内注射凝血酶,操作要极其精细,如果凝血酶外漏,冠脉内血栓即刻形成,将带来灾难性后果。注意事项如下:①微导管要超选择到责任血管,最好和责任血管“嵌顿”;②凝血酶稀释成100单位/ml,长度130cm 的Finecross微导管内腔容量约为0.4ml,注射器内凝血酶溶液量-0.4ml等于到达病变部位的量;③微导管注射凝血酶后不能再进入冠脉导丝;④微导管一定负压回撤。

图13 冠脉导丝再次进入第一次选择的间隔支

图14 微导管注射凝血酶

图15 间隔支喷血停止

图16 间隔支喷血停止,观察10分钟仍无出血
术后行冠状动脉MSCT检查,结果显示LAD的闭塞起点在S1发出处(图17),长度约20mm,没有明显钙化(图18)。
在MSCT的结果指导下,决定再次尝试前向导丝技术,术前准备了双腔微导管(Crusade)。右侧桡动脉径路,6F血管鞘,EBU指引导管,复查造影,1周前的室间隔血肿消失(图19)。
双腔微导管工作原理:双腔微导管的顶端有两根导丝,一根为monorail导丝,导丝进入分支,稳定双腔微导管。另一根为over-the-wire导丝,到双腔微导管的侧孔(侧孔在微导管的顶端后1cm),导丝可以指向病变部位,并给导丝提供支撑力。本例双腔微导管为Crusade,monorail导丝为 NS,over-the-wire导丝为U3(图20)。
导丝穿刺病变成功,并顺利到达LAD远端,通过来自LCX的同侧侧支循环多体位证实导丝远端在真腔,并将冠脉导丝送到LAD远端,退出双腔微导管和间隔支导丝,送入球囊进行扩张(图21、图22),球囊扩张后,LAD和D1血流恢复,闭塞处可见夹层,决定植入药物洗脱支架。

图17 MSCT显示LAD的闭塞起点在S1发出处

图18 MSCT显示LAD的闭塞处无钙化
LAD植入支架一枚,植入后对角支闭塞,对吻技术完成后,对角支血流恢复(图23、图24)。高压球囊扩张后,多体位投照,最后造影结果,LAD和D1血流TIMI 3级(图25)。

图19 1周前的室间隔血肿消失

图20 双腔微导管的两个Marker



