患者,男性,74岁。因“反复胸痛10余年,加重1个月”入院。既往无心肌梗死史。
心血管病危险因素:有高血压病史10余年。
心电图:心房纤颤,左心室高电压,前壁无病理Q波。
心脏超声心动图:双房大,左室壁运动欠协调,重度主动脉瓣反流,LVEDD 52mm,LVEF 62%。
实验室检查:低密度脂蛋白 3.84mmol/L;超敏C反应蛋白 8.01mg/L;肌钙蛋白(-)。
入院后予负荷氯吡格雷和阿司匹林后行冠脉造影检查。
冠状动脉造影结果
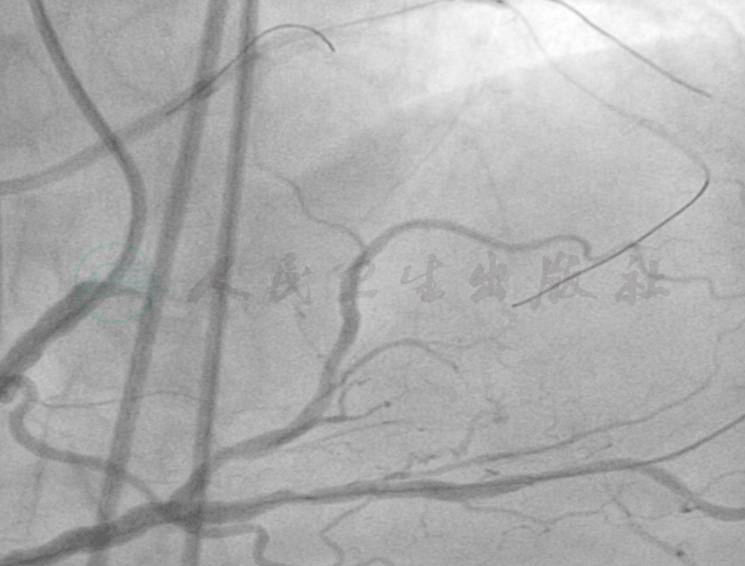
选用右桡动脉径路,6F血管鞘。造影发现:LAD近段齐头闭塞,无明确广残端;LCX中段闭塞;LM、中间支血管通畅,血流TIMI 3级;RCA近段70%~80%狭窄,RCA中远段70%~80%狭窄,血流TIMI 3级,见丰富的右-左侧支循环(图1~图4)。
PCI过程
三天后对患者RCA行PCI,于RCA远段病变跨后三叉PDA近段处成功植入Firebird 3.0mm×23mm 药物支架;于RCA近段病变处成功植入Firebird 3.5 mm×33mm 药物支架。
一个月后行左冠PCI。考虑到LCX为中段闭塞,开通可能性大,因此先尝试开通LCX,并且考虑到RCA经间隔支对LAD和LCX提供了良好的侧支循环,遂采用前向结合逆向技术。选用右侧及左侧股动脉途径,保证足够的支撑力。右冠选择6F AL1.0指引导管,左冠选择6F EBU 3.5指引导管,选用Asahi Sion导丝在Asahi Corsair导管支持下经RCA远段侧支循环将导丝进入LCX侧支血管,但未能够进入LCX远段(图5),换用Runthrough NS导丝进入微导管成功进入LCX-OM远段,但不能通过LCX闭塞段,改用Pilot 50导丝后进入假腔(图6)。改正向技术,左冠在Finecross微导管支持下,用Pitlot 50成功通过LCX近中段闭塞病变处进入LCX远段(图7),以GOODMAN 1.3mm×10mm和2.0mm×15mm球囊预扩张LCX远段到近段病变(图8),发现LCX中段病变处出现造影剂渗漏,遂用2.0mm×15mm球囊以5atm压迫造影剂渗漏处约30分钟(图9、图10)。

图5 左冠选择6F EBU3.5指引导管,选用ASAHI Sion导丝在ASIHI Corsair导管支持下经RCA远段侧支循环将导丝进入LCX侧支血管,但未能够进入LCX远段

图6 换用Runthrough NS导丝进入微导管成功进入LCX-OM远段,但不能通过LCX闭塞段,改用Pilot 50导丝后进入假腔

图7 改正向技术,左冠在Finecross微导管支持下,用Pitlot 50成功通过LCX近中段闭塞病变处进入LCX远段

图8 以GOODMAN1.3mm×10 mm和2.0mm× 15mm球囊预扩张LCX远段到近段病变
逆向开通LAD-CTO:简单尝试正向技术:选用Pilot 50导丝在Finecross微导管支持下,尝试通过LAD近段闭塞段未能成功(图11)。逆向技术:选用Runthroung ExtraFloppy导丝通过RCA Corsair微导管进入供应LAD远段的侧支血管,并逐渐旋转导丝到达LAD近段,将微导管送至LAD中段,但导丝无法通过LAD近段病变处到达LM(图12)。换用Pilot 50、150导丝均未能进入LM真腔;改Kissing Wiring技术,选用Conquest Pro导丝穿刺LAD开口纤维帽,旋转导丝与LAD逆向导丝汇合(图13),多体位造影提示双导丝在LAD基本重叠,提示前向导丝在真腔(图14),遂以GOODMAN 1.3mm×10 mm、2.0mm×15mm球囊预扩张LAD远段到近段病变,随后用血管内超声检查证实LAD远段到中段病变在真腔,近段病变有一段在假腔中,再送入Runthrough NS导丝通过LAD近段到达远段,撤出Conquest Pro导丝及逆向微导管,后在LAD远段、中段及近段、LM分别植入Firebird2 2.5mm×33mm、2.5mm×33mm、2.75mm×33mm及3.5mm×18mm药物支架(图15~图18),以2.5mm×33mm支架球囊以12~14atm后扩支架及中段至近段病变,再以3.0mm×18mm球囊以12、14、16及20atm后扩支架,用血管内超声检查示近段支架贴壁欠佳,后以4.0mm×15mm球囊以12~14atm后扩中段到近段支架(图19、图20)。术后多体位造影示:支架贴壁良好,血流通畅,远端血流TIMI3级(图21~图24)。

图9 以GOODMAN1.3mm×10mm和2.0mm× 15mm球囊预扩张LCX远段到近段病变,发现LCX中段病变处出现造影剂渗漏

图10 用2.0mm×15mm球囊以5atm压迫造影剂渗漏处约30分钟

图11 Pilot 50导丝在Finecross微导管支持下,尝试通过LAD近段闭塞段未能成功

图12 选用Runthroung ExtraFloppy导丝通过RCA Corsair微导管进入供应LAD远段的侧支血管,并逐渐旋转导丝到达LAD近段,将微导管送至LAD中段,但导丝无法通过LAD近段病变处到达LM

图13 选用Conquest Pro导丝穿刺LAD开口纤维帽,旋转导丝与LAD逆向导丝汇合

图14 多体位造影提示双导丝在LAD基本重叠,提示前向导丝在真腔

图15 送入Runthrough NS导丝通过LAD近段到达远段,撤出Conquest Pro导丝及逆向微导管

图16 LAD植入支架

图17 LAD植入支架

图18 在LAD远段、中段及近段、LM分别植入Firebird2 2.5mm×33mm、2.5mm×33mm、2.75mm×33mm及3.5mm×18mm药物支架

图19 以4.0mm×15mm球囊以12~14atm后扩中段到近段支架

图20 以4.0mm×15mm球囊以12~14atm后扩中段到近段支架

图21 术后造影

图22 术后造影

图23 术后造影

图24 术后多体位造影示:支架贴壁良好,血流通畅,远端血流TIMI 3级



