男性,69岁。因“发作性胸闷、胸痛12年,加重2周”入院。
既往史:2001年急性下壁心梗(右冠脉急诊支架植入,左前降支闭塞病变未治疗),2013年8月外院造影复查提示前降支完全闭塞病变转入我院进一步治疗。
心血管危险因素:高血压,高脂血症(甘油三酯)。
心电图:陈旧性下壁、前壁心梗。
心脏超声心动图:左室壁节段活动异常,LVEF 61%。
实验室检查:血常规、生化、心肌酶未见异常。
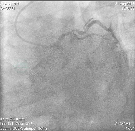
冠状动脉造影结果
近期外院造影结果提示:左主干、回旋支、中间支血管大致正常;前降支开口完全闭塞;右冠脉中段支架良好,可见侧支供应前降支血管(图1~图4)。

图1 前降支起始部闭塞,头位

图2 前降支起始部闭塞,右前斜足位

图3 右冠脉中段支架无明显内膜增生,提供侧支至前降支

图4 右冠脉造影,右侧位,提供前降支侧支
PCI过程
选取右侧桡动脉、股动脉穿刺,右冠选用6F 90cm JR 3.5指引导管,左冠选用6F BL 3.5指引导管,双侧造影(右前斜/头位)暴露前降支阻塞病变(图5)。
应用Field-XT和150cm Corsair微导管尝试前向开通前降支未能成功,随后加用Pilot-150钢丝(平行钢丝技术)及Pilot-50钢丝(多导丝技术),调整钢丝前行方向并不同体位造影均未能使钢丝成功到达远端前降支真腔(图6~图8)。

图5 双侧造影,左冠右前斜头位,提示前降支起始后闭塞,远端接受右冠脉侧支,闭塞段约20mm

图6 前向PCI治疗,平行钢丝技术,Field-XT+Pilot 150

图7 不同体位调整钢丝前行方向

图8 调整钢丝走向未能到达远端真腔
在前向尝试30分钟未果后采用逆向PCI治疗策略,Sion钢丝联合150cm Corsair微导管选取逆向侧支血管(图9),应用导丝试探方法(即导丝尝试性进入穿膈支血管,取得一定进程后再考虑微导管造影)最终成功选取连接较好的侧支血管,导丝到达前降支闭塞段远端(图10)。
Corsiar微导管尝试通过侧支血管未能成功(起始部扭曲),随后尝试Sion钢丝直接逆向穿透闭塞段失败(图11),换用Pilot-150尝试逆向穿越病变也未能成功(图12)。

图9 右冠脉进入Corsair+Sion钢丝

图10 Sion钢丝前行选择间隔支侧支

图11 Corsair微导管未能跟进,Sion钢丝未能逆向穿越前降支闭塞段

图12 换用Pilot 150钢丝仍未能逆向穿越前降支闭塞段
随后选用1.2mm×6mm球囊(mini-Trek)扩张侧支血管(图13),并换用150mm Finecross微导管成功穿越间隔支到达前降支闭塞段远端(图14)。随后在微导管内再次进入Pilot-150钢丝,在其支撑下调整行进方向,成功进入正向指引导管内(图15、图16)。

图13 应用1.2mm×6mm MiniTrek球囊扩张间隔支扭曲段

图14 150mm Finecross微导管跟进到达前降支闭塞段远端

图15 Pilot-150钢丝逆向穿越闭塞段

图16 调整逆向钢丝走向进入正向指引导管
从正向指引导管内预留钢丝上进入2.5mm×15mm球囊,在指引导管内扩张(12atm)锚定逆向钢丝,推送逆向微导管至正向指引导管内(图17)。将逆向钢丝交换为300cm Field-FC并由正向指引导管内推出(externalization),沿钢丝轨道正向送入1.25mm×15mm、2.5mm×15mm球囊扩张闭塞段血管(图18)。
闭塞段血管成功预扩张后正向置入钢丝成功到达前降支远端真腔血管(造影证实,图19),随后撤除逆向系统(包括300cm钢丝和微导管),在撤除所有逆向器械前造影证实没有任何血管性并发症(图20)。
随后沿正向导丝再次预扩病变并植入支架(SES:2.75mm×33mm+3.5mm×36mm),完成高压球囊后扩(图21~图24),最终造影提示前降支开通良好,主要分支开口未受累,结束手术(图25、图26)。

图17 正向指引导管内球囊锚定(2.5mm× 15mm-12atm),逆向微导管跟进进入正向指引导管

图18 通过微导管交换300cm Field FC钢丝后正向扩张前降支闭塞段

图19 正向扩张后置入钢丝至前降支远端,对侧造影证实真腔

图20 撤除逆向器械,造影证实无血管性并发症

图21 沿正向置入钢丝,再次扩张前降支闭塞段血管

图22 前降支植入支架

图23 前降支至左主干植入支架

图24 高压球囊后扩

图25 造影确认最终结果,右前斜足位

图26 造影确认最终结果,正头位



