患者,男性,44岁,因“反复胸闷痛6年”入院。1年半前因劳力型心绞痛行前降支和回旋支近中段支架植入术,右冠远段PCI术失败,具体不详。
心血管危险因素:高血压病史2年,规则服用“代文”降压,血压波动于130~140/80~90mmHg左右。
心电图:间位性室性期前收缩,III、aVF深q波。
心脏超声心动图:左室下壁节段性运动异常;LVEDD 52mm,LVEF 68%。
实验室检查:心肌标志物阴性。
入院后予阿司匹林、波立维负荷剂量后行冠脉造影检查。
冠状动脉造影结果
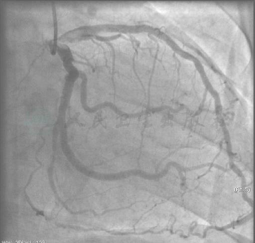
选用右侧桡动脉径路,6F血管鞘。造影发现:左主干短,前降支及回旋支原支架植入处未见明显狭窄,前降支通过穿隔支提供右冠远端TIMI 1~2级侧支血流;右冠远段闭塞(图1~图3)。

图1 造影可见良好前降支-间隔侧支至右冠远端

图2 回旋支无明显侧支至右冠

图3 右冠造影示远段闭塞
PCI过程
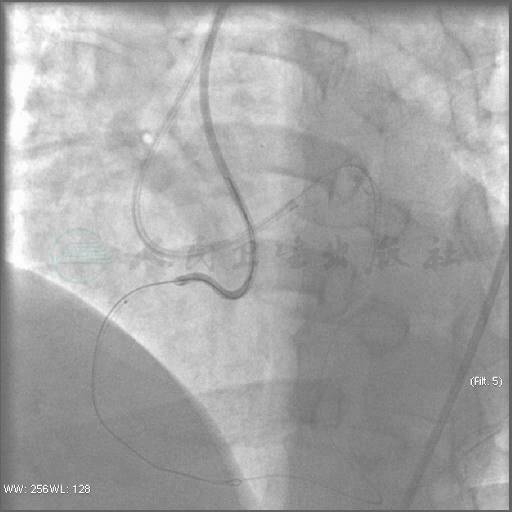
穿刺右股动脉,置入7F动脉鞘,7F AL1.0指引导管送至右冠口,在130cm Finecross微导管支撑下,先后使用Pilot 50(2根)、Pilot 150、Miracle 3(2根)、Conquest Pro导丝以及平行导丝技术均未能通过右冠远段闭塞处至血管真腔,遂放弃进一步正向PCI治疗(图4~图7)。

图4 导丝在微导管支撑下不能通过病变到达真腔

图5 采用双导丝技术

图6 平行导丝技术

图7 仍然无法到达右冠远端真腔,遂放弃
决定行逆向导丝技术,6F XB3.5指引导管送至左冠口,在150cm Finecross微导管支撑下XT导丝通过前降支-穿隔支侧支送至右冠远端,先后换用Conquest Pro和Miracle 3导丝后至右冠远段闭塞处内膜下(图8~图10),Sprinter 2.0mm×20mm、Kaneka 2.5mm×20mm、Voyage 3.0mm×15mm球囊沿正向导丝于内膜下扩张(反向CART技术)后,逆向导丝由右冠远段内膜下到达右冠真腔内,直至右冠指引导管内(图11~图13),将正逆向微导管置于右冠指引导管内对吻,重新将Runthrough导丝通过正向微导管至逆向微导管内并送至右冠远端,回撤逆向微导管至左冠系统内,退出正向微导管后,先后以Sprinter 2.0mm×20mm和Kaneka 2.5mm×20mm球囊扩张右冠中远段,Excel 2.5mm×33mm和 3.0mm×36mm支架于右冠中远段扩张释放,最后以高压球囊于支架内以8~14atm×5s扩张、塑形(图14~图17)。

图8 选用前降支远段间隔侧支

图9 微导管内注射显示侧支形态和径路

图10 逆向导丝无法通过右冠远端病变到达真腔

图11 顺向送入球囊于右冠远端内膜下扩张

图12 逆向导丝内膜下寻径

图13 逆向导丝送至指引导管内并行微导管对吻

图14 正向导丝通过逆向导管至远端

图14 正向导丝通过逆向导管至远端

图15 导丝在右冠远端真腔

图16 支架扩张释放

图17 最终造影结果



