患者,男性,51岁。因“反复胸闷、胸痛5年”入院。
心血管病危险因素:高血压病史;吸烟;高脂血症;心血管病家族史。
心电图:未见异常。
心脏超声心动图:LVEDD 50mm,LVEF 60%,左室室间隔及后壁增厚,未见节段性室壁运动异常。
实验室检查:肌钙蛋白(-)
入院后给予阿司匹林、氯吡格雷、瑞舒伐他汀等治疗,择期行冠脉造影。
冠状动脉造影结果
经右侧桡动脉径路,5F TIG造影管。造影结果:左冠状动脉慢血流,TIMI血流2级,未见明显侧支循环至右冠状动脉;右冠状动脉在近段完全闭塞,通过自身桥侧支可见中远段隐约显影(图1~图4)。

图1 左冠慢血流,TIMI血流2级,未见明显侧支循环至右冠

图2 左冠慢血流,TIMI血流2级,未见明显侧支循环至右冠

图3 右冠在近段完全闭塞,通过自身桥侧支可见中远段隐约显影

图4 右冠在近段完全闭塞,通过自身桥侧支可见中远段隐约显影
PCI过程
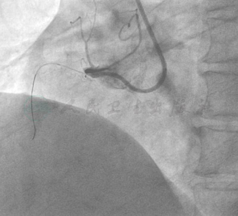
选择经右侧桡动脉径路,使用6F AL 0.75指引导管,在Finecross微导管的辅助下,先后尝试Pilot 50、Miracle 3、Conquest等导丝,并运用平行导丝技术,但由于是齐头闭塞,闭塞起始段走行方向不明确且闭塞段较长,经反复尝试钢丝均在内膜下穿行,不能通过闭塞段,且中段出现明显夹层,找到真腔的可能性变小,遂结束手术(图5、图6)。

图5 采用平行导丝技术,导丝不能通过闭塞段

图6 中段出现明显夹层
3个月后再次尝试开通右冠状动脉,仍采用右侧桡动脉径路,左冠造影显示左冠状动脉无明显狭窄,但血流仍缓慢,无明显侧支循环至右冠状动脉(图7);而右冠状动脉造影显示右冠中远段通过自身桥侧支显影较前次清晰,中间似可见微通道(图8)。采用6F AL 0.75指引导管,在Finecross微导管的辅助下,先尝试Pilot 50,过右冠第一弯后即无法前行,换用Conquest-pro穿刺较硬的纤维帽病变,至第二弯处感觉前行困难(图9),遂采用平行导丝技术,Conquest-pro占住原通道,另以一Pilot 50继续前行寻找真腔(图10),经反复尝试后顺利到达右冠远端后降支附近,但微导管在第二弯以远前行困难,换用Ryujin 1.25mm×15mm球囊努力通过并以16atm扩张病变部位(图11),造影示第二弯以远无显影,且可见局部造影剂滞留(图12),行IVUS检查提示Pilot 50导引导丝在第三段以远均在真腔内,但管腔周围可见壁内血肿形成,在第二弯附近则可见导丝在真腔与内膜下之间交替穿行(图13)。考虑到内膜撕裂较广,且由于弥漫性壁内血肿形成,远端正常参照血管结构无法判断,支架无法定位,遂结束手术,待3个月后夹层自行愈合后再行支架植入。

图7 3个月后左冠造影显示左冠无明显狭窄,但血流仍缓慢,无明显侧支循环至右冠

图8 造影显示右冠中远段通过自身桥侧支显影较前次清晰,中间似可见微通道

图9 Conquest-Pro穿刺较硬的纤维帽病变,至第二弯处感觉前行困难

图10 采用平行导丝技术,Conquest-Pro占住原通道,另以Pilot 50继续前行寻找真腔

图11 Pilot 50顺利到达右冠远端后降支附近,但微导管在第二弯以远前行困难

图12 造影示第二弯以远无显影,且可见局部造影剂滞留

图13 IVUS检查提示Pilot 50导引导丝在第三段以远均在真腔内,但管腔周围可见壁内血肿形成,在第二弯附近则可见导丝在真腔与内膜下之间交替穿行
3+个月后,经右桡动脉途径再次行冠脉造影示左冠无异常,未见明显侧支循环至右冠,右冠造影全程显影清晰,近中段有严重狭窄且可见陈旧夹层影像(图14),选用6F JR 3.5指引导管,BMW指引导丝很轻松地到达右冠远端(图15),再次行IVUS检查示血管远端壁内血肿完全吸收,正常参照血管结构清晰,BMW指引导丝全程大部分走行在真腔内,少部分仍经过残余的内膜下假腔(图16),遂决定置入支架。先以Sprinter 2.5mm×20mm球囊预扩后,在中远段植入一枚Taxus 3.5mm×32mm支架,然后在近段植入一枚Taxus 3.5mm×24mm支架,最后造影结果见图17。

图14 3+个月后,经右桡动脉途径再次行冠脉造影示左冠无异常,未见明显侧支循环至右冠,右冠造影全程显影清晰,近中段有严重狭窄且可见陈旧夹层影像

图15 BMW指引导丝很轻松地到达右冠远端

图16 IVUS检查示血管远端壁内血肿完全吸收,正常参照血管结构清晰,BMW指引导丝全程大部分走行在真腔内,少部分仍经过残余的内膜下假腔

图17 支架植入后最后造影结果
随访
1年后,患者偶有胸痛不适,休息可缓解,遂入院复查。冠脉造影示左冠状动脉较前无变化,右冠状动脉血流通畅,TIMI 3级血流,但原支架内弥漫性增生,并累及两支架之间区域,支架内狭窄最重约90%(图18)。考虑可能系紫杉醇药物涂层对患者血管内膜增生不能有效抑制,决定换用依维莫司药物涂层支架,遂植入2枚Promus Element 3.5mm×38mm支架,完全覆盖原支架及支架之间的区域,并以Quantum 3.5mm×15mm高压球囊后扩张,最后造影结果如图19。

图18 1年后复查造影示原支架内弥漫性增生,并累及两支架之间区域,支架内狭窄最重约90%

图19 最后造影结果



