患者,男性,49岁。因“反复胸闷2年,加重3个月”入院。
心血管病危险因素:吸烟史20年。否认高血压、糖尿病、高脂血症病史。
心电图:窦性心律,Ⅱ、Ⅲ、aVF导联见病理性Q波。
超声心动图:LVEDD 58mm,LVEF 40%。
实验室检查:TNI(-),LDL-C 3.85mmol/L。
入院后予以负荷剂量氯吡格雷和阿司匹林、他汀调脂治疗,并行冠状动脉造影检查。
冠状动脉造影结果
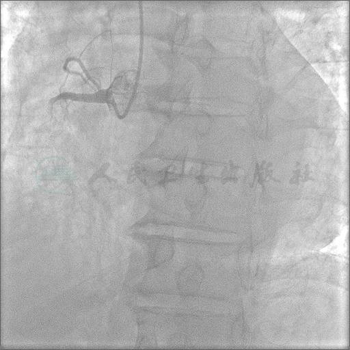
经右桡动脉径路,6F鞘管,造影示RCA近段100%闭塞(图1),LM正常,LAD近段临界病变,LCX轻度病变,LAD-RCA侧支形成(图2、图3)

图1 左前斜位右冠状动脉造影

图2 正位足左冠状动脉造影

图3 正位头冠状动脉造影
PCI过程
经右桡动脉、股动脉径路,选择经股动脉6F XB RCA指引导管,桡动脉行对侧造影,在微导管辅助下,先后尝试PT2MS、Pilot 150、Miracle 3、Conquest等导丝,但由于闭塞段较长,反复尝试,操控导丝造成多个假腔,最终未能进入真腔,正向未能成功开通RCA-CTO病变(图4)。
2周后,再次尝试开通右冠CTO病变。考虑前次PCI前向导丝技术失败且存在多个假腔,而患者LAD-RCA心外膜血管侧支较好,但经间隔支侧支不好,因此尝试逆向导丝技术。由于前次手术导致右桡动脉搏动不能触及,且考虑本次手术需要7F强支撑指引导管,因此选择双侧股动脉路径,选择7F动脉鞘。左冠指引导管选择7F EBU 3.5,右冠指引导管选择7F AL 1.0。左冠造影显示,经LAD心外膜血管到右冠侧支非常好(图5),经左冠状动脉指引导管送入Sion导丝及Corsair微导管,导丝逆向顺利到达RCA中段闭塞处,再交换Fielder XT导丝,反复尝试但导丝进入假腔(图6~图8)。再经右指引导管送入PT2MS导丝,经闭塞段近端正向进入假腔,先后送入1.25mm×10mm,2.0mm×20mm,2.5mm×15mm Sprinter Legend球囊于右冠近端假腔内扩张,再反复操控逆向导丝最终逆向进入前向球囊扩张的假腔通道并进入RCA近端管腔,再送入逆向导丝进入RCA指引导管(图9~图12)。逆向导丝由右冠指引导管拉出体外后,建立导丝轨道,沿此导丝送入微导管再交换为BMW导丝(图13、图14),球囊扩张后造影显示RCA前向血流通畅(图15、图16)。慢性闭塞血管长期失用性萎缩,冠状动脉造影常低估管腔直径,因此需要使用IVUS评估闭塞血管的真实管径,同时因为采用反向CART技术,近端血管存在大量夹层与假腔,不能过多和高压注射显影剂显示评估血管状况。本例患者进行了IVUS检查评估真实管腔直径,指导支架选择(图17、图18)。RCA血管远段到近段序贯植入3.0mm×30mm、3.5mm×30mm、3.5mm×30mm、4.0mm×30mm Resolute支架4枚(图19、图20),以12~14atm释放,再行3.5mm×15mm NC Sprinter高压球囊18~20atm后扩张(图21),术后行IVUS检查示支架膨胀良好(图22、图23),最终造影显示无残余狭窄,TIMI血管3级(图24、图25)。

图4 正位头正向导丝未能通过闭塞处进入假腔

图5 正位头显示LAD经心外膜血管向右冠侧支良好,经间隔支侧支形成不良

图6 逆向导丝到达LAD远端

图7 逆向导丝在Cossair支持下到达RCA闭塞远端

图8 逆向导丝不能通过闭塞处,进入假腔

图9 正向导丝进入假腔

图10 正向球囊假腔内扩张

图11 逆向导丝进入前向球囊扩张的假腔通道

图12 逆向导丝在Cossair微导管支持下进入正向指引导管内

图13 逆向导丝拉出正向指引导管外后正向送入微导管

图14 通过微导管交换导丝

图15 正向球囊预扩张

图16 球囊扩张后冠状动脉造影

图17 行IVUS检查

图18 IVUS显示管径及斑块负荷

图19 远段植入支架

图20 近段植入支架

图21 球囊后扩张

图22 支架释放后再行IVUS检查观察支架膨胀情况

图23 IVUS显示支架膨胀良好

图24 左前斜造影

图25 最终造影结果
随访造影结果
目前缺少患者造影随访结果。



