患者,男性,49岁。因“反复劳力后胸痛1年,加重2周”入院。
心血管病危险因素:高血压病史1个月;吸烟半包/天×30年。
心电图:窦性心律。
超声心动图:LVEDD 45mm,LVEF 62.4%。
实验室检查:血肌钙蛋白(-),同型半胱氨酸57.1mmol/L,LDL-C 4.35mmol/L。
冠脉CTA:RCA近段起完全闭塞,LAD近段重度狭窄,LCX中段中度狭窄(图1~图4)。

图1 冠脉CTA提示RCA近段起完全闭塞(闭塞段很长),LAD近中段重度狭窄

图2 冠脉CTA提示RCA近段起完全闭塞

图3 冠脉CTA提示LAD近中段重度狭窄

图4 冠脉CTA提示LCX中段中度狭窄
冠状动脉造影结果
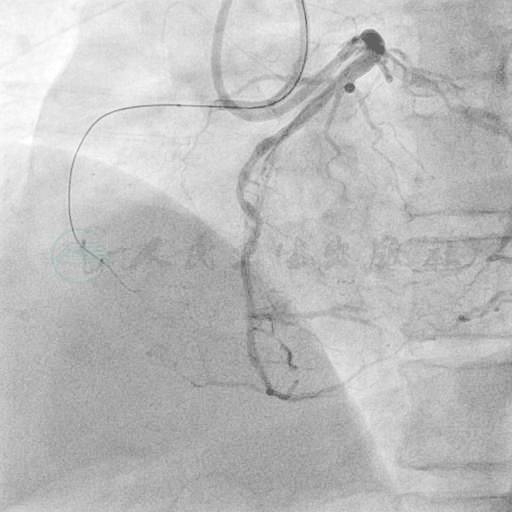
选用右侧桡动脉径路,6F血管鞘。造影发现:右冠状动脉(RCA)近端起完全闭塞,未见自身前向侧支循环供应远端(图5);左主干无严重狭窄,前降支近段至开口90%狭窄,回旋支中段70%狭窄(图6、图7);左冠侧支循环供应右冠远端(图8)。

图5 冠脉造影提示RCA近段起完全闭塞,自身前向未见侧支循环形成

图6 蜘蛛位造影提示左主干无严重狭窄,LCX中段70%狭窄

图7 头位造影提示LAD中段90%狭窄,左冠侧支循环供应RCA后降支,第3穿隔支似乎与后降支有直接连接(白色箭头所指)

图8 左冠LAO 45度造影可见侧支供应RCA远段及锐缘支,RCA中远段病变严重
PCI过程
因为右冠近端起就有严重病变,故选用了6F SAL 0.75指引导管,穿刺右侧股动脉置入7F鞘,6F EBU 3.5指引导管置于左冠口,在Finecross微导管的支撑下,Fielder XT导丝在右冠近中段能够进入边支,因此在真腔,但中远段反复调整导丝均在夹层(图9、图10)。决定尝试逆行途径,回顾造影发现第3穿隔支与RCA后降支连接(见图7,白色箭头所指),Sion导丝在Corsair微导管支撑下进入第3穿隔支,以Corsair微导管做选择性造影确认该侧支通道为CC2级(图11),但因为前降支近段严重狭窄,患者开始出现胸痛,故转为先处理前降支近段病变。以2.5mm×15mm Maverick球囊预扩(图12),植入Promus Element 3.5mm×38mm支架,支架释放后第2穿隔支尚有血流(图13),以Quantum Maverick 3.5mm×15mm球囊高压后扩(图14),再以Quantum Maverick 4.0mm×8mm球囊对支架近段进行优化扩张(图15),重复造影提示支架膨胀满意,但第2穿隔支闭塞(图16、图17)。以Fielder XT、Crosswire NT导丝反复尝试难以进入第2穿隔支,重复造影见其远端由第3穿隔支通过RCA后降支提供侧支(图18),此时患者胸闷较轻,但手术时间已较长,决定先终止手术,择期再处理RCA。

图9 对侧造影提示前向Fielder XT导丝到达RCA远段后仍在内膜下

图10 左前头位对侧造影证实前向Fielder XT仍在内膜下

图11 Corsair微导管进入第3穿隔支行选择性造影,提示其远端分支与后降支连接

图12 LAD病变球囊预扩张

图13 LAD支架植入后中段膨胀欠佳,第2穿隔支开口受挤压狭窄严重

图14 LAD支架内Quantum Maverick 3.5mm×15 mm球囊高压后扩

图15 LAD支架近段以Quantum Maverick 4.0mm×8mm球囊高压后扩优化

图16 蜘蛛位造影提示LAD支架膨胀满意

图17 头位造影提示支架膨胀满意,但第2穿隔支闭塞

图18 重复造影见第2穿隔支远端由第3穿隔支通过RCA后降支提供侧支
3个月后再次尝试处理RCA病变。双侧桡动脉入路,6F血管鞘,6F SAL 0.75、EBU 3.5指引导管分别置于RCA、左冠口,造影提示右冠近段血流较前次明显改善(与第一次微导管通过有关)(图19),闭塞的第2穿隔支前向血流恢复(图20)。因RCA近段血流较前改善,故重新尝试前向方法约20分钟。在Finecross微导管的支撑下,Fielder XT导丝在右冠中远段仍未能进入真腔(图21),考虑与闭塞远端血管腔细小有关。遂改逆行途径,Sion导丝在150mm Finecross微导管支撑下通过第3穿隔支侧支通道到达RCA后降支(图22),随后,Finecross微导管也通过侧支通道进入后降支(图23),以微导管行选择性造影发现RCA远端狭窄较重(图24),改用Fielder XT导丝逆行通过闭塞段,但在RCA近段经反复调整仍在内膜下(图25)。决定采用Reverse CART技术,从前向导丝进2.5mm×15mm Maverick球囊12atm扩张造成夹层(图26),逆向Fielder XT导丝调整后进入真腔和前向指引导管(图27),仍以前向2.5mm×15mm Maverick球囊在前向指引导管内锚定逆向Fielder XT导丝,将逆向150mm Finecross微导管送入前向指引导管(图28),300mm Fielder导丝从逆向微导管进入前向指引导管并体外化(图29)。以2.5mm×15mm Maverick球囊扩张(图30),依次植入Promus Element 2.5mm×38mm、2.75mm×38mm、3.0mm×32mm支架,再以Quantum Maverick 3.0mm×15mm球囊高压后扩,最后造影结果满意,左冠造影提示侧支通道无损伤(图31~图34)。

图19 3个月后造影提示RCA近段血流较前次明显改善

图20 左冠造影提示闭塞的第2穿隔支前向血流恢复

图21 在Finecross微导管的支撑下,前向Fielder XT导丝在右冠中远段仍未能进入真腔

图22 Sion导丝在Finecross微导管支撑下通过第3穿隔支侧支通道到达RCA后降支

图23 Finecross微导管通过侧支通道进入后降支(白色箭头所指为微导管头端)

图24 微导管行后降支选择性造影发现RCA远端狭窄较弥漫而严重

图25 Fielder XT导丝逆行通过闭塞段,但在RCA近段经反复调整仍在内膜下(白色箭头)

图26 从前向导丝进2.5mm×15mm Maverick球囊12atm扩张造成夹层

图27 逆向Fielder XT导丝调整后进入真腔和前向指引导管(白色箭头指向逆向导丝头端)

图28 2.5mm×15mm Maverick球囊在前向指引导管内锚定逆向Fielder XT导丝,将逆向150mm Finecross微导管送入前向指引导管(白色箭头指向微导管头端)

图29 Fielder FC 300导丝体外化

图30 2.5mm×15mm Maverick球囊扩张

图31 植入Promus Element 2.5mm×38mm、2.75mm×38mm、3.0mm×32mm支架及后扩后造影结果

图32 左冠造影提示侧支通道无损伤

图33 左前头位造影提示最后结果满意

图34 左前造影提示最后结果满意



